AOTRAUMA.ORG Центр Илизарова  

Ортопедия и травматология Общие вопросы/General questions Help Информационные технологии в медицине
 вверх
 отправить
 поиск
 админ
 главная
 Предыдущее


Re: Некорректная установка
Volodymyr Kovalchuk 02 Сентябрь 2011, 01:53
Еще один очень важный нюанс при лечении диафизарных переломов бедра и голени - это лигаментотаксис. Простыми словами, перелом нужно достаточно растянуть. Нам известно три способа как это сделать:

1) мануальный руками (самый дешевый и распостраненный, требует недюжинных усилий и +1 ассистента)
2) ортопедический стол (самый дорогой, длительное время на подготовку)
3) большой бедренный дистрактор (самый любимый, золотая середина)

В данному случае, в том числе, перелом не был достаточно растянут. Во многих случаях (преимущественно все-таки при многооскольчатых переломах) именно тракция является основным репонирующим моментом, который и восстанавливает длину и ось. Остается только следить за ротацией. Мышечно-фасциальные футляры во время тракции восстановят правильные соотнешения, если только нет интерпозиции.




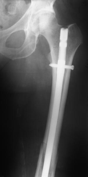
Представляю вам один из наших недавних случаев выполнения малоинвазивного остеосинтеза бедренной кости обычной пластиной 95 градусов. Длина восстановлена с помощью дистрактора (по сути это основная и б(о)льшая часть репозиции). Произведено два небольших доступа, проведена спица направитель. Рентген-контроль для подтверждения достаточной длины/оси (ЭОП использовался в другой операционной). Создание туннеля обратной стороной фиксатора. Поворот фиксатора, введение клинка по спице. Фиксация проксимального и дистального концов пластины.

  • Сообщения о Ортопедия и травматология
  • Также Volodymyr Kovalchuk
  • Связаться с автором
  • Ответить

    Re: Некорректная установка
    Сергей 03 Сентябрь 2011, 10:19
    Спасибо. Согласен про тракцию.
    [ Ответить ]

    Re: Некорректная установка
    Alexander Chelnokov 03 Сентябрь 2011, 16:19
    Приветствую,

    2 сентября 2011 г. 1:54 пользователь Volodymyr Kovalchuk написал:

    Еще один очень важный нюанс при лечении диафизарных переломов бедра и голени - это лигаментотаксис.


    При диафизарных переломах нет необходимости в лигаментотаксисе, то есть тяге за связки через сустав, тракционное усилие целесообразно прикладывать непосредственно к концам поврежденного сегмента.



    Простыми словами, перелом нужно достаточно растянуть. Нам известно три способа как это сделать:


    Есть возможность использовать дистрактор из полуколец и дуг аппарата Илизарова, которые крепятся к спицам.



    следить за ротацией. Мышечно-фасциальные футляры во время тракции восстановят правильные соотнешения, если только нет интерпозиции.


    Мышечная интерпозиция после восстановления длины с перерастяжением - не миф?


    Представляю вам один из наших недавних случаев выполнения малоинвазивного остеосинтеза бедренной кости обычной пластиной 95


    Получилось очень симпатично, поздравляю и восхищаюсь мастерством.
    Хотя закрытый остеосинтез блокированным гвоздем выглядит технически проще, особенно при диафизарных переломах. Не говоря о биомеханических преимуществах внутрикостного имплантата, еще меньшей инвазивности, возможности динамизации при проблемах со сращением... Стоимость гвоздей и пластин сопоставимая, на рынке есть масса отечественных предложений.



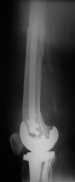
    В приложении - недавний перипротезный перелом.
    Методичка по закрытому интрамедулярному остеосинтезу при дистальных переломах бедра тут.

    [ Ответить ]

    • Re: Некорректная установка
      Отправитель: Сергей 04 Сентябрь 2011, 17:43
      Спасибо, рады любой информации, особенно методикам установки. Если бы еще муниципалитет нам гвозди помог приобрести... только мечты.


      [ Ответить ]

     

    ( Ответить )

    Powered by Zope  Squishdot Powered MedLink
    Посетитель: 0404695
      "По форме правильно, а по существу - издевательство" В.И.Ленин
    ©2001-2019Orthoforum Coordinator.
    [ Главная | Отправить сообщение | Поиск | Админ ]