ВХОД ДЛЯ ПАЦИЕНТОВ
вверх
поиск
админ
главная
исходное
последующие
|
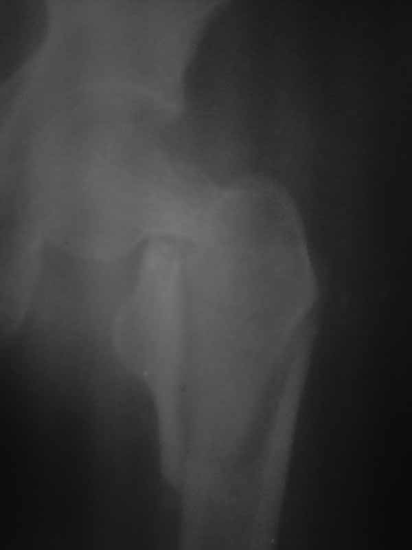
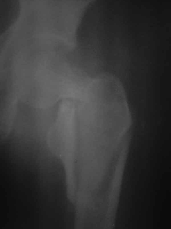
Re: перелом шейки бедра
послал Юрий 02 Октябрь 2011, 12:13
|

Хотелось услышать дискуссию, по-этому выложил некачественный снимок с вопросом. Стараюсь выложить немного лучше. Гамму она приобрести не сможет. Смущает то что шейка больно хлипкая и винтом развалим ее до конца. На снимке кажется что и фрагмент шейки также сломан вдоль.
|
| Послать ответ |
Обратите внимание: Поля с жирными названиями обязательны.
Старайтесь отвечать в рамках обсуждаемой темы, а не начинать новые обсуждения.
Указывайте адекватную тему сообщения, чтобы было ясно, о чем оно.
Не послайте сообщений не по теме (оффтопик), раздраженных, грубых или обидных комментариев. Здесь это неуместно.
|