AOTRAUMA.ORG Центр Илизарова  

Ортопедия и травматология Общие вопросы/General questions Help Информационные технологии в медицине
 вверх
 отправить
 поиск
 админ
 главная
 Предыдущее


Re: перелом шейки бедра
Alexander Chelnokov 29 Сентябрь 2011, 23:34
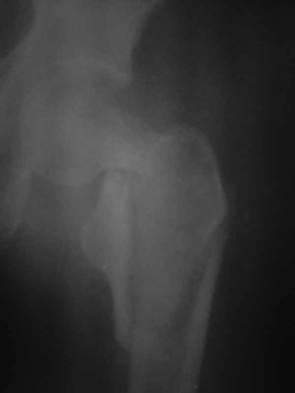
Снимок, конечно, паршивый - лучше было повременить с размещением вопроса до возможности сопроводить его нормального качества иллюстрациями.
как расшифровывается DXS?

Перелом идет на диафиз, так что если придется использовать пластину, то надо длинную, да с угловой стабильностью - клинковую, может.

Тут, видимо, лучше использовать реконструкционный гвоздь - не знаю, какова на месте степень недоступности такого типа имплантатов. Где вы находитесь? Может, попытаться прислать подходящую железку?

Немало доводится лечить пациентов с несостоятельной фиксацией подобных переломов всякими случайными пластинами и винтами.
  • Сообщения о Ортопедия и травматология
  • Также Alexander Chelnokov
  • Связаться с автором
  • Ответить

    Re: перелом шейки бедра
    Юрий 02 Октябрь 2011, 12:13


    Хотелось услышать дискуссию, по-этому выложил некачественный снимок с вопросом. Стараюсь выложить немного лучше. Гамму она приобрести не сможет. Смущает то что шейка больно хлипкая и винтом развалим ее до конца. На снимке кажется что и фрагмент шейки также сломан вдоль.


    [ Ответить ]


    ( Ответить )

    Powered by Zope  Squishdot Powered MedLink
    Посетитель: 0000083
      "По форме правильно, а по существу - издевательство" В.И.Ленин
    ©2001-2019Orthoforum Coordinator.
    [ Главная | Отправить сообщение | Поиск | Админ ]