AOTRAUMA.ORG Центр Илизарова  

Ортопедия и травматология Общие вопросы/General questions Help Информационные технологии в медицине
 вверх
 отправить
 поиск
 админ
 главная
 Предыдущее


Re: Ложный сустав голени
Alexander Chelnokov 08 Октябрь 2011, 16:56
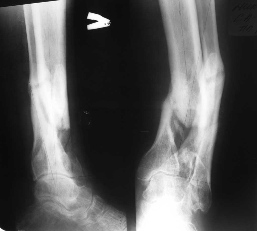
А можно увидеть для начала не 3D, а стандартные рентгенограммы (фас и профиль)?
  • Сообщения о Ортопедия и травматология
  • Также Alexander Chelnokov
  • Связаться с автором
  • Ответить

    Re: Ложный сустав голени
    Дмитрий 08 Октябрь 2011, 22:38


    Уважаемый Александр Николаевич! Вот фото рентгенограмм.


    [ Ответить ]


    ( Ответить )

    Powered by Zope  Squishdot Powered MedLink
    Посетитель: 0190012
      "По форме правильно, а по существу - издевательство" В.И.Ленин
    ©2001-2019Orthoforum Coordinator.
    [ Главная | Отправить сообщение | Поиск | Админ ]