ВХОД ДЛЯ ПАЦИЕНТОВ
вверх
поиск
админ
главная
исходное
|
Re: перелом луча
послал Djoldas Kuldjanov 12 Октябрь 2011, 10:40
|
Неплохо было бы выставить информацию о возрасте? А так доступ волярный, фиксатор любой из DVR.
Переломы волярной пластины (ладонные) со смещением относится к нестабильным переломам и удержать подвывих кисти можно только волярной (Butress) пластиной. Одной из первых пластин для лечения дистальных переломов луча
является DVR Hand Innovation (сегодня DePuy)
http://www.rcsed.ac.uk/fellows/lvanrensburg/classification/surgtech/depuy/manuals/DVR%20distal%20radius.pdf
http://www.depuy.com/sites/default/files/products/files/DO_DVR_Surgical_Technique_US_1_4_0.pdf
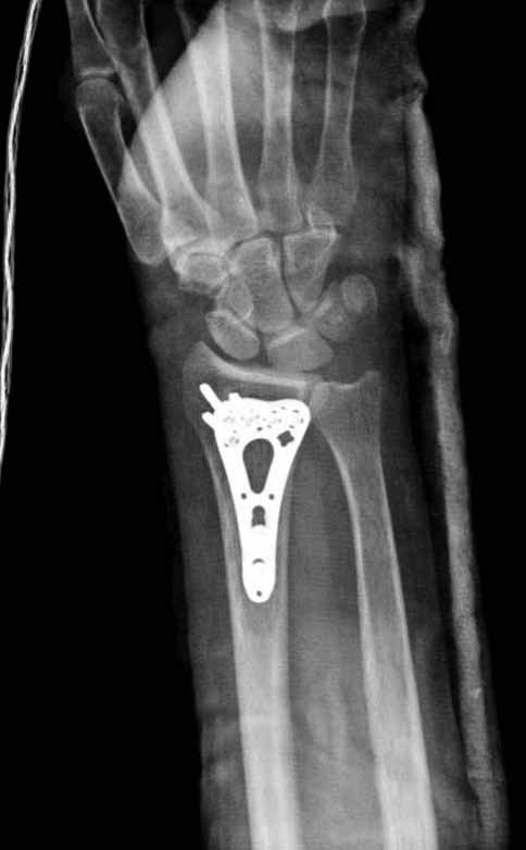
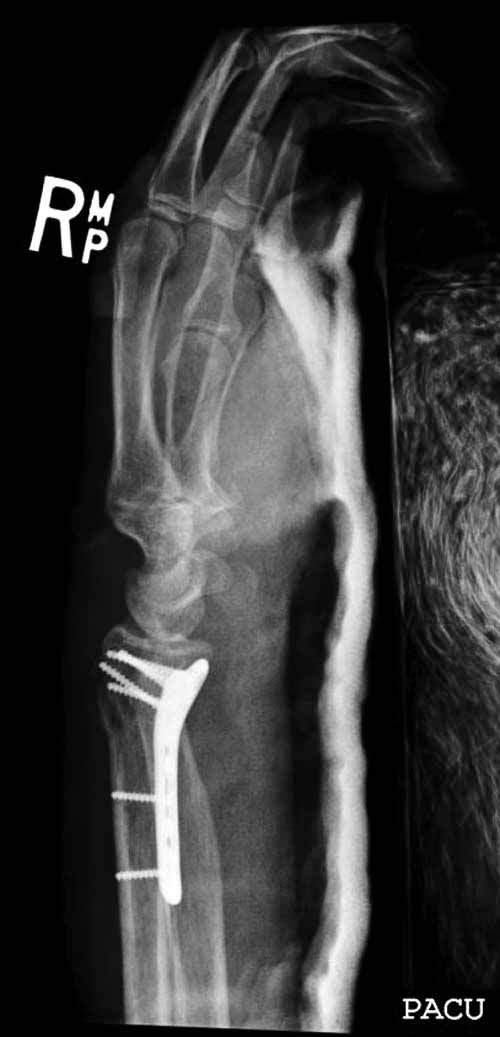
Сегодня все компании: Synthes, Stryker, Zimmer, Acumed, TriMed и т.д. имеют пластины для фиксации дистального перелома лучевой кости. На снимке метод фиксации дистальных переломов, справа Stryker, а слева пластина Synthes,
женщина 58 лет, политравма.

Djoldas Kuldjanov, M.D.
Associate Professor
Department of Orthopedic Surgery
St. Louis University
|
| Послать ответ |
Обратите внимание: Поля с жирными названиями обязательны.
Старайтесь отвечать в рамках обсуждаемой темы, а не начинать новые обсуждения.
Указывайте адекватную тему сообщения, чтобы было ясно, о чем оно.
Не послайте сообщений не по теме (оффтопик), раздраженных, грубых или обидных комментариев. Здесь это неуместно.
|