Ответить
|
Re: перелом луча
Савранский Александр 11 Октябрь 2011, 10:42
|
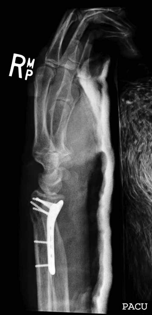
в гипсе
|
[
Ответить ]
|
Re: перелом луча
Бен. Э. М. 11 Октябрь 2011, 16:43
|
Открытая репозиция, накостный остеосинтез(передняя пластина), и в зависимости от стабильности дополнительно внеочаговый остеосинтез. готовьте спицы разных калибров, они могут пригодиться.
|
[
Ответить ]
|
Re: перелом луча
Василий Монастырев 11 Октябрь 2011, 22:21
|
Конечно открытая репозиция, но не указан срок давности травмы, если более 3 недель то дополнительно АВФ кисть-преплечье.
|
[
Ответить ]
|
Re: перелом луча
Отправитель: Савранский Александр 11 Октябрь 2011, 23:28
|
Давность травмы- неделя.
Интересует доступ, рекомендуемые фиксаторы.
Если есть,то примеры на снимках.
|
[
Ответить ]
|
|
Re: перелом луча
Др.Бахтамян из Еревана 12 Октябрь 2011, 01:40
|
Увжаемый Др.Савранский,
Скорей всего у Вашего пациента перелоп Barton-а

Порекомендую волярный срединный доступ (осторожно выделите n.medianus!), oстеосинтез АО малой 3,5мм Т-образной волярной пластиной, если есть locking plate - еще лучше! Pри ушивании - ни в коем случае не сшивать карпальную поперечную связку!- будет компрессионная нейропатия n.medianus !
Удачи!
|
[
Ответить ]
|
Re: перелом луча
Дедок Михаил 12 Октябрь 2011, 02:44
|
Стандартная волярная пластина для дистального отдела лучевой кости (Synthes; Stryker; Chm; Рыбинск;ЦИТО;Остеомед,De puy; Intercus GmbH)
Лучше с угловой стабильностью.
Хорошие волярные (ладонные) пластины предмоделированны и репозиция происходит на пластине.
Стандартный ладонный (волярный) доступ.
На самый худой конец- репозиция под наркозом с экстензией к ТЫЛУ и чрезкожная фиксация спицами.
К сожалению аналогичную картинку у оперированной больной не нашел (хотя и копировал- бардак в компе). Там поставили волярную пластинку ChM, которую закупила больница.
Удачи.
|
[
Ответить ]
|
Re: перелом луча
Evgueny 12 Октябрь 2011, 10:10
|
Александр,
У вашего больного нестабильный характер перелома, поэтому консервативное лечение не эффективно. Показана открытая репозиция и фиксация Т образной реконструктивной пластиной по волярной поверхности и чем раньше, тем технически проще будет восстановить анатомию сустава. Важный момент - интраоперационная флюороскопия, позволит избежать неожиданных *сюрпризов* на постоп. Ргграммах и повторных вмешательств.
Успехов,
Е.Чекашкин
|
[
Ответить ]
|
Re: перелом луча
Djoldas Kuldjanov 12 Октябрь 2011, 10:40
|
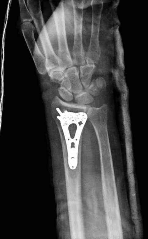
Неплохо было бы выставить информацию о возрасте? А так доступ волярный, фиксатор любой из DVR.
Переломы волярной пластины (ладонные) со смещением относится к нестабильным переломам и удержать подвывих кисти можно только волярной (Butress) пластиной. Одной из первых пластин для лечения дистальных переломов луча
является DVR Hand Innovation (сегодня DePuy)
http://www.rcsed.ac.uk/fellows/lvanrensburg/classification/surgtech/depuy/manuals/DVR%20distal%20radius.pdf
http://www.depuy.com/sites/default/files/products/files/DO_DVR_Surgical_Technique_US_1_4_0.pdf
Сегодня все компании: Synthes, Stryker, Zimmer, Acumed, TriMed и т.д. имеют пластины для фиксации дистального перелома лучевой кости. На снимке метод фиксации дистальных переломов, справа Stryker, а слева пластина Synthes,
женщина 58 лет, политравма.

Djoldas Kuldjanov, M.D.
Associate Professor
Department of Orthopedic Surgery
St. Louis University
|
[
Ответить ]
|
Re: перелом луча
Савранский Александр 12 Октябрь 2011, 21:15
|
Уважаемые коллеги!
Спасибо всем принявшим участие в обсуждении.
Свое мнение совпадает с предложенными вариантами лечения.Хотелось бы сделать как представлено у Доктора Кулджанова,но пациенту доступны только бюджетные способы.
|
[
Ответить ]
|
Re: перелом луча
Отправитель: Victor Melnikov 14 Октябрь 2011, 01:43
|
Извините за позднее вмешательство в Вашу полемику. Хотелось начать по порядку. На мой субъективный взгляд одномоментного сочетание методов накостного и чрескостного остеосинтеза уменьшают достоинства обоих. Достоинства накостного остеосинтеза: более ранняя социальная реабилитация больного, т.к. не требуется специального ухода (как при использовании ЧКДО). Достоинство аппарата внешней дистракции - меньшая травматичность по сравнению с накостным остеосинтезом.
Касаемо замечаний д-ра Бахтамяна из г-да Ереван: при остеосинтезе пластинами с применением ладонного доступа - ладонный доступ выполняется проекции лучевого, что полностью исключает визуализацию срединного нерва, т.к. это является ошибкой хирурга и влечет за собой невропатию.
Что касается вариантов накостного остеосинтеза: возможно два варианта - остеосинтез волярной пластиной или фрагмент-специфическая фиксация отломков по Мedoff, но в связи с тем что перелом внутрисуставной очень часто требуется артротомия, т.к. наличие даже ЭОПа не обеспечивает точного восстановления суставной поверхности лучевой кости. Второй менее травматичный способ визуализации репозиции внутрисуставных отломков, признаный рутинным в ходе заседания EWAS в рамках FESSH 2010 (конгресс европейского общества хирургов кисти), проходивший в Бухаресте, это артроскопия кистевого сустава. Думаю данный способ вряд ли доступен в данном случае.
Остается как самый уместный способ - чрескостный остеосинтез с применением аппарата внешней фиксации: т.к. он весьма бюджетный и позволяет достичь необходимой репозиции.

Если есть необходимость пишите на мыло, поделюсь опытом и нюансами наложения дистракционного аппарата.
|
[
Ответить ]
|
Re: перелом луча
Отправитель: Савранский Александр 16 Октябрь 2011, 02:22
|
Большое спасибо за участие в обсуждении.
Вариант чрескостного остеосинтеза обдумывался.
Но при повторной репозиции с экстензией кисти к тылу было отмечено недостаточное смыкание отломков суставной фасетки луча.
Учитывая,что при ЧКДО репозиция и удержание отломков происходит за счет лигаментотаксиса, мне более надежным показался вариант накостного остеосинтеза.
P.S (дистрактор на предплечье накладывать случалось- особенно удобно при застарелых переломах с деформацией )
|
[
Ответить ]
|
Re: перелом луча
Отправитель: Victor 16 Октябрь 2011, 14:29
|
Накостный остеосинтез более стабильный в данном случае жэто верно, но и более травматичный, т.к. достоверно выставить фасетку луча можно только при артротомии и визуальным контролем, ЭОП не всегда дает объективную картинку, либо с помощью артроскопа. Артротомия негативно скажется на дальнейшей функции кистевого сустава. Аппаратный метод в случае внутрисуставного перелома минимизирует травму от лечения и даже в случае неполной репозиции суставной фасетки функция кистевого сустава на выходе будет лучше и восстановится значительно быстрее. Мое очень субъективное мнение что накостный остесинтез более адекватен при внесуставных переломов дистального эпиметафиза лучевой кости, когда репозиция не требует выполнения артротомии.
|
[
Ответить ]
|
Re: перелом луча
Отправитель: Антон Жаглин 16 Октябрь 2011, 13:58
|
Виктор! А локтевая у Вас не в вывихе?
|
[
Ответить ]
|
Re: перелом луча
Отправитель: Victor 16 Октябрь 2011, 14:16
|
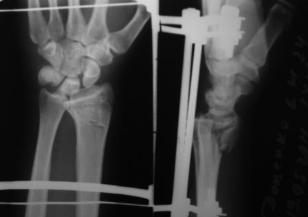
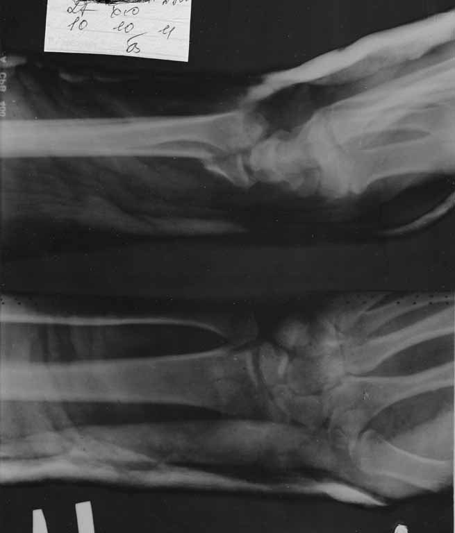
Нет не в вывихе, т. К. Из-за спицы проведенной через обе кости предплечья, то ротационные движения и подвижность локтевой кости резко ограничены, это может в некоторых проекциях расцениваться как подвывих, если найду покажу финальный снимок, там все рентгенологические показатели восстановлены.
|
[
Ответить ]
|
Re: перелом луча
Отправитель: Обухов Игорь 16 Октябрь 2011, 16:12
|
Согласен с последним предложением относительно применения аппарата внешней фиксации. Повреждения луча по типу "переднего Бартона" очень хорошо закрыто устраняеются в АВФ, при этом завершающим элементом (после достижения репозиции посредством постепенной дистракции) может быть введение спицы с упором (конечно, вне проекции срединного нерва и сухожилий сгибателей пальцев)и обеспечение боковой компрессии переднего отломка к основному фрагменту.
|
[
Ответить ]
|
Re: перелом луча
Отправитель: Victor 17 Октябрь 2011, 14:05
|
АВФ очень разнообразны, мы (отделеие хирургии кисти ГКБ 4 г. Москвы) используем только две полудуги и две штанги смонтированные на двух спицах Киршнера, проведенных через кости предплечья и основания 2-5 пясьных костей (аппарат Лазарева-Коршунова), дополнительных спиц не проводим.
|
[
Ответить ]
|
|
( Ответить )
|
|