Ответить
|
Re: перелом луча
Victor Melnikov 14 Октябрь 2011, 01:43
|
Извините за позднее вмешательство в Вашу полемику. Хотелось начать по порядку. На мой субъективный взгляд одномоментного сочетание методов накостного и чрескостного остеосинтеза уменьшают достоинства обоих. Достоинства накостного остеосинтеза: более ранняя социальная реабилитация больного, т.к. не требуется специального ухода (как при использовании ЧКДО). Достоинство аппарата внешней дистракции - меньшая травматичность по сравнению с накостным остеосинтезом.
Касаемо замечаний д-ра Бахтамяна из г-да Ереван: при остеосинтезе пластинами с применением ладонного доступа - ладонный доступ выполняется проекции лучевого, что полностью исключает визуализацию срединного нерва, т.к. это является ошибкой хирурга и влечет за собой невропатию.
Что касается вариантов накостного остеосинтеза: возможно два варианта - остеосинтез волярной пластиной или фрагмент-специфическая фиксация отломков по Мedoff, но в связи с тем что перелом внутрисуставной очень часто требуется артротомия, т.к. наличие даже ЭОПа не обеспечивает точного восстановления суставной поверхности лучевой кости. Второй менее травматичный способ визуализации репозиции внутрисуставных отломков, признаный рутинным в ходе заседания EWAS в рамках FESSH 2010 (конгресс европейского общества хирургов кисти), проходивший в Бухаресте, это артроскопия кистевого сустава. Думаю данный способ вряд ли доступен в данном случае.
Остается как самый уместный способ - чрескостный остеосинтез с применением аппарата внешней фиксации: т.к. он весьма бюджетный и позволяет достичь необходимой репозиции.

Если есть необходимость пишите на мыло, поделюсь опытом и нюансами наложения дистракционного аппарата.
|
[
Ответить ]
|
Re: перелом луча
Отправитель: Савранский Александр 16 Октябрь 2011, 02:22
|
Большое спасибо за участие в обсуждении.
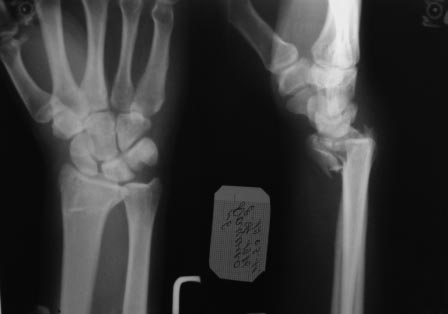
Вариант чрескостного остеосинтеза обдумывался.
Но при повторной репозиции с экстензией кисти к тылу было отмечено недостаточное смыкание отломков суставной фасетки луча.
Учитывая,что при ЧКДО репозиция и удержание отломков происходит за счет лигаментотаксиса, мне более надежным показался вариант накостного остеосинтеза.
P.S (дистрактор на предплечье накладывать случалось- особенно удобно при застарелых переломах с деформацией )
|
[
Ответить ]
|
Re: перелом луча
Отправитель: Victor 16 Октябрь 2011, 14:29
|
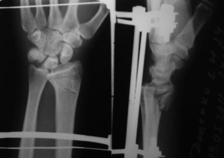
Накостный остеосинтез более стабильный в данном случае жэто верно, но и более травматичный, т.к. достоверно выставить фасетку луча можно только при артротомии и визуальным контролем, ЭОП не всегда дает объективную картинку, либо с помощью артроскопа. Артротомия негативно скажется на дальнейшей функции кистевого сустава. Аппаратный метод в случае внутрисуставного перелома минимизирует травму от лечения и даже в случае неполной репозиции суставной фасетки функция кистевого сустава на выходе будет лучше и восстановится значительно быстрее. Мое очень субъективное мнение что накостный остесинтез более адекватен при внесуставных переломов дистального эпиметафиза лучевой кости, когда репозиция не требует выполнения артротомии.
|
[
Ответить ]
|
Re: перелом луча
Отправитель: Антон Жаглин 16 Октябрь 2011, 13:58
|
Виктор! А локтевая у Вас не в вывихе?
|
[
Ответить ]
|
Re: перелом луча
Отправитель: Victor 16 Октябрь 2011, 14:16
|
Нет не в вывихе, т. К. Из-за спицы проведенной через обе кости предплечья, то ротационные движения и подвижность локтевой кости резко ограничены, это может в некоторых проекциях расцениваться как подвывих, если найду покажу финальный снимок, там все рентгенологические показатели восстановлены.
|
[
Ответить ]
|
Re: перелом луча
Отправитель: Обухов Игорь 16 Октябрь 2011, 16:12
|
Согласен с последним предложением относительно применения аппарата внешней фиксации. Повреждения луча по типу "переднего Бартона" очень хорошо закрыто устраняеются в АВФ, при этом завершающим элементом (после достижения репозиции посредством постепенной дистракции) может быть введение спицы с упором (конечно, вне проекции срединного нерва и сухожилий сгибателей пальцев)и обеспечение боковой компрессии переднего отломка к основному фрагменту.
|
[
Ответить ]
|
Re: перелом луча
Отправитель: Victor 17 Октябрь 2011, 14:05
|
АВФ очень разнообразны, мы (отделеие хирургии кисти ГКБ 4 г. Москвы) используем только две полудуги и две штанги смонтированные на двух спицах Киршнера, проведенных через кости предплечья и основания 2-5 пясьных костей (аппарат Лазарева-Коршунова), дополнительных спиц не проводим.
|
[
Ответить ]
|
|
( Ответить )
|
|