вверх
отправить
поиск
админ
главная
|
Ложный сустав базальной части шейки бедра |
 |
 |
 |
Отправлено Виктор 06 Декабрь 2011, 22:56
Больная 61 год. Травма 1 год назад – закрытый базальный перелом бедренной кости без смещения. Перелом рентгенологически был диагностирован только через 6 недель (на первичных снимках не визуализировался, КТ не проводилось, повторную травму отрицает). Проведен курс консервативного лечения (ходьба на костылях без опоры на левую ногу до 4-х месяцев, ЛФК, физиолечение и т.п.).В настоящее время передвигается при помощи костылей с незначительной опорой на левую ногу. Больная страдает сахарным диабетом.Возможные варианты лечения: 1) Тотальное эндопротезирование.2) Ревизия ложного сустава, возможно костная пластика, МОС углообразной пластиной 130, DHS, AFN.
<
|
>
|
|
Ответить
|
Re: Ложный сустав базальной части шейки бедра
Андрей 08 Декабрь 2011, 02:21
|
Я бы предложил пациентке тотальное безцементное протезирование (если есть возможность). Не мучайте диабетиков, пусть и 2 типа, долгим лечением.
|
[
Ответить ]
|
Re: Ложный сустав базальной части шейки бедра
Alexander Chelnokov 09 Декабрь 2011, 23:56
|
Здесь сустав интактный, так что эндопротезирование избыточно. Нужна коррекция шеечно-диафизарного угла и ротации, и затем фиксация. Если вправить получается за счет подвижности несращения - то закрыто синтезировать, как свежий перелом любым доступным подходящим имплантатом. Если не вправляется - дополнить вальгизирующей остеотомией.
Для дообследования надо сделать снимки в максимальном приведении и отведении. Снимок с отведением можно будет сделать уже в условиях анестезиии, когда можно ожидать и большего.
Фиксировать после остеотомии можно и клинковой пластиной, и DHS - это традиционная техника, хорошо описанная в книжках. Проксимальным бедренным гвоздем привлекательнее тем, что можно остеотомию делать с открытым клином.
|
[
Ответить ]
|
Re: Ложный сустав базальной части шейки бедра
Отправитель: Александр Рыков 10 Декабрь 2011, 13:31
|
Тотальная артропластика и вероятно цементная (возраст, диабет, застарелая ситуация, прогнозируемый краткосрочный результат. А Рыков Хабаровск
|
[
Ответить ]
|
Re: Ложный сустав базальной части шейки бедра
Отправитель: Alexander Chelnokov 10 Декабрь 2011, 13:51
|
Дорогой Александр Геннадьевич, коллеги
Диабет направляет выбор в сторону менее инвазивного вмешательства, не так ли?
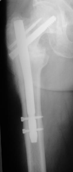
Закрытый интрамедуллярный остеосинтез или он же в сочетании с чрескожной межвертельной остеотомией в случае внесуставного несращения - это, по сути, эндопротезирование с собственной шейкой и головкой бедра. Но через 3-4 разреза по 1,5-2 см. Нога сразу опорная, сустав конгруэнтный - чего еще надо? В приложении - похожее несращение тоже у пациента за 60 и с диабетом 2 типа...

Если доктор хорошо умеет делать эндопротезирование, а вальгизирующие остеотомии - нет, то выбор в пользу эндопротезирования, наверно, более оправдан.
|
[
Ответить ]
|
Re: Ложный сустав базальной части шейки бедра
Отправитель: Michael Berenstein 11 Декабрь 2011, 00:17
|
Важно достигнуть хорошую ротационную стабильность фиксации. Угловая V-образная пластинка стабильнее , а еще лучше два винта. Проксимальный бедренный гвоздь с двумя винтами - PFN, Syntes или любой похожий по моим понятиям лучший вариант.
Михаил Беренштейн
|
[
Ответить ]
|
Re: Ложный сустав базальной части шейки бедра
Отправитель: Александр Рыков 11 Декабрь 2011, 11:50
|
Здравствуй дорогой Александр Николаевич! Нет отрицания сохранной операции в мыслях моих........... Однако я имел в виду диабет - как заболевание
приводящее и приведшее уже к несращению за счет своих сосудистых осложнений, инфекционные риски при нем и риски плохого заживления не так уж и значительны. А вот сосудистые проблемы не исчезли и только усугубились.
Идеальный малотравматичный остеосинтез с коррекцией ШДУ. горизонтализацией линии несращения - и.....не факт, что сращение будет получено, а время будет потеряно и далее.... эндопротезирование в худших условиях с наличием металла и других следов остеосинтеза. Решение, что
предпринять - наверное, неоднозначное. Много условий (кроме анализа рентгенограмм) - масса, состояние здоровья в целом, претензии пациента (что
он желает, риски), предпочтения хирурга лично и клиники в целом, возможности и т.д. Я бы выбрал - эндопротезирование по вторичным (Уже) показаниям. Подчеркиваю ....я бы, у нас бы. Все условия для остеосинтеза есть! С приветом А Рыков
|
[
Ответить ]
|
|
Re: Ложный сустав базальной части шейки бедра
Др.Бахтамян из Еревана 11 Декабрь 2011, 19:02
|
КОллеги!
А почему никто не говорит о гемиартропластике?
|
[
Ответить ]
|
Re: Ложный сустав базальной части шейки бедра
Отправитель: Александр Рыков 12 Декабрь 2011, 22:00
|
Возраст не для геми. А Рыков Хабаровск
|
[
Ответить ]
|
|
Re: Ложный сустав базальной части шейки бедра
Др.Бахтамян из Еревана 13 Декабрь 2011, 02:15
|
Уважаемый Др.Рыков,
61 год - это рано или поздно для геми?
|
[
Ответить ]
|
( Ответить )
|
|