ВХОД ДЛЯ ПАЦИЕНТОВ
вверх
поиск
админ
главная
исходное
|
Re: Перелом головки бедренной кости. Эндопротез?
послал Djoldas Kuldjanov 31 Декабрь 2011, 01:32
|
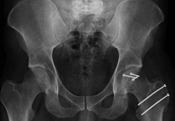
В молодом возрасте (23 лет) даже самый продвинутый эндопротез не заменит собственную головку, и здесь рекомендуется органосохраняющая операция.
При сопутствующем переломе головки с ацетабулум, тогда артротомия из того доступа, который позволит фиксировать перелом впадины и фиксировать головку шурупами. На сегодня Headless Screw Synthes имеет преимущества перед другими, но при отстутствии их можно сделать обычными 3.5 мм., только головку надо утопить. При изолированном переломе доступ через trochanteric flip approach, который позволяет вывихнуть головку из ацетабулума и свободно работать без риска АВН. В вашем случае можно из переднего Smith Petersen доступа, потому что осколок спереди.

Представлены несколько вариантов фиксации: первый случай перелом головки с задним краем, операция из заднего доступа Кохер, а второй случай изолированный перелом головки - из трохантерного доступа.
Djoldas Kuldjanov, M.D.
Associate Professor
Department of Orthopedic Surgery
St. Louis University
|
| Послать ответ |
Обратите внимание: Поля с жирными названиями обязательны.
Старайтесь отвечать в рамках обсуждаемой темы, а не начинать новые обсуждения.
Указывайте адекватную тему сообщения, чтобы было ясно, о чем оно.
Не послайте сообщений не по теме (оффтопик), раздраженных, грубых или обидных комментариев. Здесь это неуместно.
|