Ответить
|
Re: Перелом головки бедренной кости. Эндопротез?
Максим Королев 30 Декабрь 2011, 00:25
|
А есть возможность выложить обычные рентген снимки в прямой и аксиальной проекции
|
[
Ответить ]
|
Re: Перелом головки бедренной кости. Эндопротез?
Леонид Пак 30 Декабрь 2011, 06:28
|
Перелом Пипкин 1 - открытая репозиция остеосинтез винтамии чем быстрее тем лучше! Удачи!
С наступающим новым годом!
С уважением Леонид Пак
|
[
Ответить ]
|
Re: Перелом головки бедренной кости. Эндопротез?
Леонид Пак 30 Декабрь 2011, 06:29
|
Перелом Пипкин 1 - открытая репозиция остеосинтез винтамии чем быстрее тем лучше! Удачи!
С наступающим новым годом!
С уважением Леонид Пак
|
[
Ответить ]
|
Re: Перелом головки бедренной кости. Эндопротез?
Андрей Волна 30 Декабрь 2011, 07:39
|
Сегодня же остеосинтез! С Наступающим!
|
[
Ответить ]
|
Re: Перелом головки бедренной кости. Эндопротез?
Отправитель: Alexey Semenisty 30 Декабрь 2011, 23:23
|
Нет, не сегодня! А месяц назад, т.е. 30 ноября
|
[
Ответить ]
|
|
Re: Перелом головки бедренной кости. Эндопротез?
Алексей 30 Декабрь 2011, 14:54
|
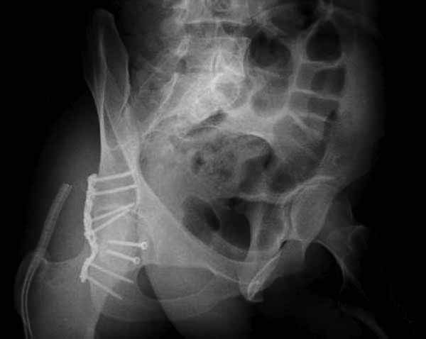
Движение в суставе, отведение - 35 гр., згибання- 90 гр., внутр. ротация- відсутня, зовн. ротація - 20 гр. Ещё снимки:
|
[
Ответить ]
|
Перелом головки бедренной кости. Эндопротез?
Бен. Э. М. 30 Декабрь 2011, 17:06
|
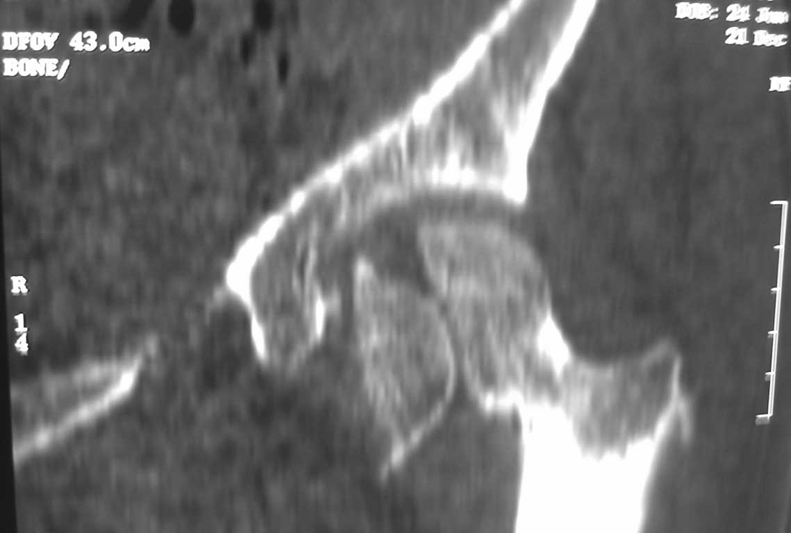
Оставить как есть ненадо, т. к. отломок перевёрнут на 180 градусов, а чтобы делать остеосинтез время упущено, большая вероятность что закончится асептическим некрозом, в приложенном файле подходящий эндопротез для него.

Приложите рентген.снимок если есть.
|
[
Ответить ]
|
Re: Перелом головки бедренной кости. Эндопротез?
Отправитель: Андрей Волна 30 Декабрь 2011, 19:22
|
И со стратегий (протез) Вы ошибаетесь - и с тактикой - ресёрфесинг (прошу прощения) уж точно не для него
|
[
Ответить ]
|
Перелом головки бедренной кости. Эндопротез?
Отправитель: Бен. Э. М. 31 Декабрь 2011, 04:17
|
Давайте обсудим и то и другое,
1. остеосинтез закончится псевдартрозом, или асептическим некрозом, ведь месяц прошёл после травмы, а коксартроз гарантирован через 10 лет.
также больного ждёт большой срок нетрудоспособности, много ЛФК и контрольных осмотров, много терпения и стресса со стороны больного перед тем как нагружать конечность.
2. Ресёрфесинг реально сокращает срок нетрудоспособности, и позволит обнадёжить больного и дать ему определённую гарантию.
|
[
Ответить ]
|
|
Re: Перелом головки бедренной кости. Эндопротез?
Алексей 30 Декабрь 2011, 19:22
|

Еще снимки
|
[
Ответить ]
|
Re: Перелом головки бедренной кости. Эндопротез?
Игорь Девин 30 Декабрь 2011, 23:21
|
остеосинтез!
|
[
Ответить ]
|
Re: Перелом головки бедренной кости. Эндопротез?
Андрей Каминский 30 Декабрь 2011, 23:22
|
Эндопротезирование с керамикой в паре трения.
С уважением Каминский Андрей, г.Курган
|
[
Ответить ]
|
Re: Перелом головки бедренной кости. Эндопротез?
Djoldas Kuldjanov 31 Декабрь 2011, 01:32
|
В молодом возрасте (23 лет) даже самый продвинутый эндопротез не заменит собственную головку, и здесь рекомендуется органосохраняющая операция.
При сопутствующем переломе головки с ацетабулум, тогда артротомия из того доступа, который позволит фиксировать перелом впадины и фиксировать головку шурупами. На сегодня Headless Screw Synthes имеет преимущества перед другими, но при отстутствии их можно сделать обычными 3.5 мм., только головку надо утопить. При изолированном переломе доступ через trochanteric flip approach, который позволяет вывихнуть головку из ацетабулума и свободно работать без риска АВН. В вашем случае можно из переднего Smith Petersen доступа, потому что осколок спереди.

Представлены несколько вариантов фиксации: первый случай перелом головки с задним краем, операция из заднего доступа Кохер, а второй случай изолированный перелом головки - из трохантерного доступа.
Djoldas Kuldjanov, M.D.
Associate Professor
Department of Orthopedic Surgery
St. Louis University
|
[
Ответить ]
|
Re: Перелом головки бедренной кости. Эндопротез?
Отправитель: Бен. Э. М. 31 Декабрь 2011, 04:26
|
травма месячной давности, в этом случае меняется показание к остеосинтезу.
как Вы думаете?
|
[
Ответить ]
|
|
( Ответить )
|