ВХОД ДЛЯ ПАЦИЕНТОВ
вверх
поиск
админ
главная
исходное
последующие
|
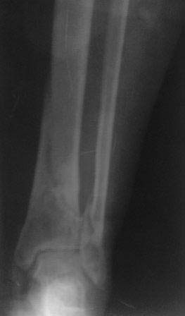
Re: Вялоконсолидирующийся перелом дистального метадиафиза костей левой голени
послал Абдурашид 16 Март 2012, 23:46
|

Р-снимки после закрытой остеоклазии и коррекции деформации, а также после фиксации аппаратом, дистальные спицы прошли близко к линии излома но фиксация стабильная, деформация клинически исчезла,
больная довольна, начала ходит дозированной нагрузкой.
С уважением Абдурашид.
|
| Послать ответ |
Обратите внимание: Поля с жирными названиями обязательны.
Старайтесь отвечать в рамках обсуждаемой темы, а не начинать новые обсуждения.
Указывайте адекватную тему сообщения, чтобы было ясно, о чем оно.
Не послайте сообщений не по теме (оффтопик), раздраженных, грубых или обидных комментариев. Здесь это неуместно.
|