вверх
отправить
поиск
админ
главная
|
Вялоконсолидирующийся перелом дистального метадиафиза костей левой голени |
 |
 |
 |
Отправлено Абдурашид Тураев 10 Март 2012, 18:55
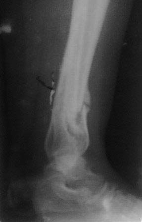
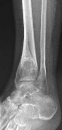
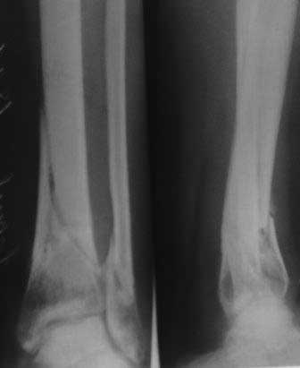
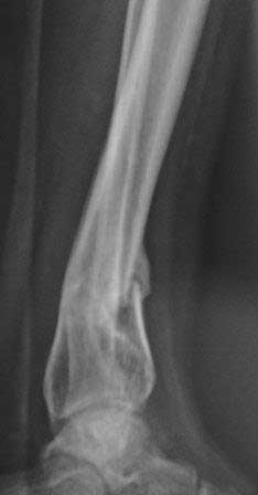
Пациентка 32 года, травму получила в результате ДТП, лечилась в гор.б-це №? Москвы с 19.07.по04.08.11г скелетным вытяжением, после наложена гипсовая повязка,(р-снимок 1,2.) после спадения отека гипс переведена в циркулярную, (видимо на другой вид лечения не хватило средств), гипс снят 19.11.11г(снимок-3) .Жалобы на боли при ходьбе через несколько шагов, увеличение отека в голени и г/стопном суставе, боли ноющего и неприятного характера, хромота, при осмотре отечность голени в с-н/з и г/с суставе, при пальпации умеренная болезненность в н/з голени, подошвенное сгибание в г/с суставе ограничена и болезненна. Работа связана с ходьбой, просить помочь чтобы не потерять работу. Пока в голове только КДО аппаратом Илизарова, уважаемые коллеги помогите советом! Доступно БИОС, пластины DCP. и прилагается последние р-снимки.
<
|
>
|
|
Ответить
|
Re: Вялоконсолидирующийся перелом дистального метадиафиза костей левой голени
Дедок Михаил 11 Март 2012, 01:08
|
Аппарат- будет контрактура. Обычную DCP можно, но сложно отмоделировать (если только есть дистальная большеберцовая типа лист клевера). Можно и БИОС, если есть хороший стержень и большой опыт.
Я бы сделал остеотомию обеих костей. Остеосинтез наружной лодыжки с восстановлением ее длинны пусть DCP, а большеберцовую кость в идеале дистальной большеберцовой пластиной с угловой стабильностью, (да хоть рыбинской)или тщательно отмоделированной DCP. И затем БЕЗ ГИПСА.
Удачи!
|
[
Ответить ]
|
Re: Вялоконсолидирующийся перелом дистального метадиафиза костей левой голени
Leonid Solomin 11 Март 2012, 01:32
|
Уважаемый Абдурашид,
В данном случае лечить, "как перелом" (репонируя костные фрагменты), полагаю, не следует.
Мы бы, очевидно, выполнили остеотомию большеберцовой кости на высоте деформации, косую остеотомию д/3 малоберцовой кости и устранили деформацию приемами чрескостного остеосинтеза. На рис. 25 методички
http://rniito.org/download/Ref-Lines-Angl.pdf сходная ситуация, но не забывайте и о дистальном механическом угле во фронтальной плоскости.
Если "решитесь" на пластинку - обязательно (костнопластическое) восстановление длины fibula. Ну и, конечно, - интраоперационный контроль за точным восстановлением референтных линий-углов в двух
плоскостях до фиксации имплантом.
Всего добро
|
[
Ответить ]
|
Re: Вялоконсолидирующийся перелом дистального метадиафиза костей левой голени
Отправитель: Абдурашид 12 Март 2012, 16:35
|
Многоуважаемый Леонид. Спасибо!
http://rniito.org/download/Ref-Lines-Angl.pdf
не могу открывать, подскажите пожалуйста, что нужно сделать?
С уважением Абдурашид.
|
[
Ответить ]
|
|
Re: Вялоконсолидирующийся перелом дистального метадиафиза костей левой голени
armen 11 Март 2012, 01:42
|
Для БИОС перелом "низковат",с DCP возможно потеряет работу."Хороший" аппарат Илизарова оптимальный вариант для нее , ее работы и ее г/стопного сустава.А перелом по-моему внутрисуставной,да?
|
[
Ответить ]
|
Re: Вялоконсолидирующийся перелом дистального метадиафиза костей левой голени
Отправитель: Абдурашид 11 Март 2012, 23:48
|
Нет, это не внутрисуставной, а скорее всего это
43А2,3(2).больная согласна на КДО аппаратом Илизарова, думаю база I,VIII или IX, и надо ли блокировать г/стопный сустав.
С уважением Абдурашид.
|
[
Ответить ]
|
Re: Вялоконсолидирующийся перелом дистального метадиафиза костей левой голени
Отправитель: Эльдар Шамадаев 12 Март 2012, 03:21
|
А укорочение сколько см? Снимки проксимального отдела голени есть?
|
[
Ответить ]
|
|
Re: Вялоконсолидирующийся перелом дистального метадиафиза костей левой голени
armen 12 Март 2012, 02:12
|
Думаю можно так: I(2-8;4-10)V(3-9;1-7)VIII(2-8;4-10;+проведение "сторонней" спицы(снизу вверх,снаружи внутрь)),попробовать(только немножко попробовать) одномоментно исправить уголок(авось исправиться,чем черт не шутит)с использованием шарниров, и обязательно "встречно-боковая" компрессия в зоне перелома.И еще,добиться хорошего натяжения спиц без изгибов,чтобы непобояться дать нагрукзку.Фиксировать стопу не считаю нужным.А вообще, думаю в гипсовой повязке без нагрузки, тоже срастется.
|
[
Ответить ]
|
Re: Вялоконсолидирующийся перелом дистального метадиафиза костей левой голени
дамир 13 Март 2012, 21:54
|
Возможно остеотомия б/берцовой кости с фиксацией LCP Distal Tibia Plate (или аналоги)+ остеотомия м/берцовой с восстановлением длинны и фоксацией 1/3 трубки, Желательна фиксация синдесмоза ( с предварительным иссечением рубцовых тканей) позиционными винтами.Возможно боли и нарастание отека связаны с нестабильностью вилки. С уважением Дамир
|
[
Ответить ]
|
Re: Вялоконсолидирующийся перелом дистального метадиафиза костей левой голени
Pavel Volykov 14 Март 2012, 12:34
|
Хотелось бы посмотреть чем все-таки сердце успокоилось. Заранее спасибо
|
[
Ответить ]
|
Re: Вялоконсолидирующийся перелом дистального метадиафиза костей левой голени
Отправитель: Абдурашид 14 Март 2012, 23:17
|
Cегодня больная оперирована, удалось произвести закрытую остеоклазию обеих костей, одномоментно устранить рекурвацию голени, фиксация аппаратом Илизарова из трех колец (II, V, VIII), дистально тремя спицами. Завтра выложу рентген.снимки.
С уважением Абдурашид.
|
[
Ответить ]
|
Re: Вялоконсолидирующийся перелом дистального метадиафиза костей левой голени
Отправитель: Абдурашид 16 Март 2012, 23:46
|

Р-снимки после закрытой остеоклазии и коррекции деформации, а также после фиксации аппаратом, дистальные спицы прошли близко к линии излома но фиксация стабильная, деформация клинически исчезла,
больная довольна, начала ходит дозированной нагрузкой.
С уважением Абдурашид.
|
[
Ответить ]
|
|
( Ответить )
|
|