AOTRAUMA.ORG Центр Илизарова  

Ортопедия и травматология Общие вопросы/General questions Help Информационные технологии в медицине
 вверх
 отправить
 поиск
 админ
 главная


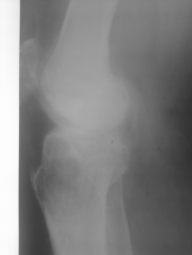
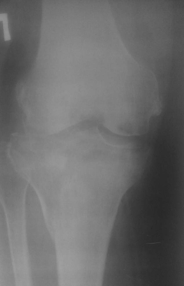
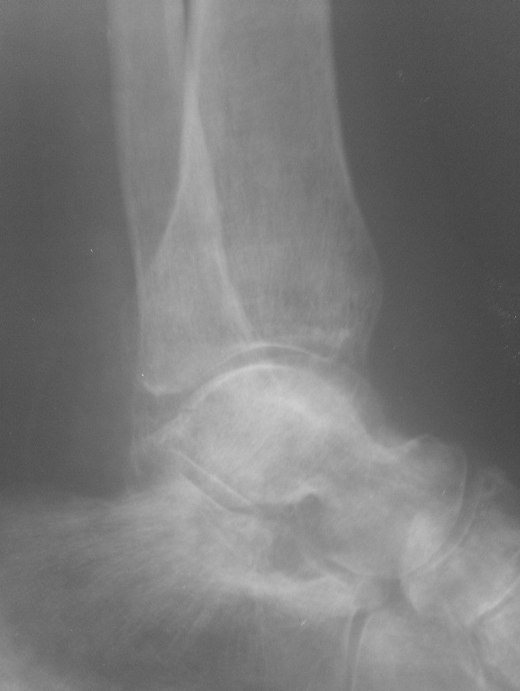
Консолидированные в неправильном положении мыщелки ББК
Ортопедия и травматология Отправлено Ostanin 16 Март 2012, 23:05
Пациент 1944 г.р. На данный момент находится на лечении в хирургическом отделении с посттромбофлебитическим синдромом, отек голени и бедра при поступлении был +9 см.
Травма от июля 2011 года, лечили консервативно гипсовым тутором (про травму лодыжек - не помнит или не знает). Через 2 недели после травмы - легочная эмболия и илеофеморальный тромбоз, находился на стац лечении. После теоретического сращения мыщелков и снятия гипсового тутора разработка движений безрезультативна, опорности конечности нет. Со слов - прыгает на костылях до самого настоящего момента.Сейчас - боль, передний ящик, люфт при нагрузке на ВБС. Боль в области внутренней лодыжки. Движения в голеностопе 5-0-15, в коленном суставе - 0-0-10, болезненные. При попытке встать полным весом и сделать шаг - нестабильность, ногу подворачивает.Ваши предложения?Пациент просит опорной ноги, сам вроде как активный (хотя толком объяснить, чем он занимался целый год, не может..)С Уважением, Останин

<  |  >

 

  • Сообщения о Ортопедия и травматология
  • Также Ostanin
  • Связаться с автором
  • Ответить

    Re: Консолидированные в неправильном положении мыщелки ББК
    Алексей В 17 Март 2012, 20:45
    доброго времени суток. сформулируйте диагноз пациента на сегодняшний день.
    [ Ответить ]

    Re: Консолидированные в неправильном положении мыщелки ББК
    Дедок Михаил 18 Март 2012, 12:58
    Валерий привет!

    Здесь несколько проблемм:
    1. Посттромбофлебитический синдром.
    Чем пациент лечится? Антикоагулянты и венотоники принимает? Эластичное бинтование есть? Данные последнего УЗДГ?
    И наконец- без активных движений в голеностопном и коленном суставе толку от лечения не будет (венозный "насос" не работает).
    2. Неправильно сросшиеся переломы- оперировать надо бы но на фоне ПТФС ??? Нужны данные УЗДГ и предварительно активное его лечение (а оно включает активные движения в суставах)
    3. Повреждение ПКС и ВБС (и возможно мениски) и хроническая нестабильность. Стабилизировано сейчас нельзя. Для этого необходима хорошая анатомия, сохранный хрящ и достаточный объем движений в коленном суставе.
    Вывод:
    1. Хорошо обследовать (УЗБГ, ПТИ,МНО и т д) и активное лечение ПТФС.
    2. Разработка движений в коленном и голеностопном сустава (пусть хоть кровью писает, но работает). Если нестабильность- ортез. Запретить эластичное бинтование коленного сустава- только всю конечность + ортез и агрессивня ЛФК.
    3. С коленным суставом - или сразу эндопротез или лечение в 2 этапа- а)артроскопия, остеотомия, восстановление анатомии, разработка движений б)- пластика связок после консолидации и восстановления объема движений.
    4. С голеностопом- либо пока оставить как есть (колено важнее) либо реконструкция одномоментно с мыщелками голени, либо артродез (что проще, но хуже с точки зрения флебологии)


    От всего толку не будет если пациент лентяй.

    [ Ответить ]

    Re: Консолидированные в неправильном положении мыщелки ББК
    Павел Константинович 20 Март 2012, 00:42
    Больному 68 лет.Реабилитационный прогноз неблагоприятный.При движениях в колене 0-0-10(N5-0-140),в голеностопном 5-0-15(N20-0-40) шанс вернуть функцию "опороспособности" для больного надо использовать,учитывая все пожелания пациента...забейте.."от подмышки до лодыжки" и не мучайте совесть.АРТРОДЕЗ КОЛЕННОГО СУСТАВА(конечно сегодня -это преступление,но провокация ТЭЛА в виде "активации"-вообще убийство.
    [ Ответить ]

    • Re: Консолидированные в неправильном положении мыщелки ББК
      Отправитель: Дедок Михаил 20 Март 2012, 22:24
      Уважаемые Павел Константинович!
      О какой провокации ТЭЛА Вы говорите?! ПТФС подразумевает, что у пациента НЕТ эмбологенной ситуации. Поэтому я и пишу о необходимости данных УЗДГ. Если есть флотирующий тромб- дело одно это не ПТФС а острый тромбоз, опять же флотирующий или нет? Если флотирующий- да покой, кава фильтр и т.д. Если ПТФС и если уже реканализация- другое. А артродез не преступление а иногда неплохая альтернатива.

      [ Ответить ]
    Re: Консолидированные в неправильном положении мыщелки ББК
    Олег Бондарев 20 Март 2012, 03:02
    Неплохо было бы увидеть КТ мыщелков или рентгенограммы;) Что означает нестабильность при попытке сделать шаг? Передний ящик -сомнительно при таком объеме движений. Люфт и ногу подворачивает - а что люфтит? и куда он ее подворачивает (похоже больше чем на сгибание)? Если речь идет о вальгусном отклонении, то следует разделить: вальгус от импрессии, вальгус от боковой связочной нестабильности или повреждено и то и другое? Не совсем понятно где болевой синдром более выраженный? Если больной не может понять где болит больше - я бы шел от переферии к центру (плюс к тому, на моем нечетком мониторе голеностоп выглядит хуже).
    В ожидании результатов исследований,
    Олег.
    [ Ответить ]


    ( Ответить )

    Powered by Zope  Squishdot Powered MedLink
    Посетитель: 0196450
      "По форме правильно, а по существу - издевательство" В.И.Ленин
    ©2001-2019Orthoforum Coordinator.
    [ Главная | Отправить сообщение | Поиск | Админ ]