ВХОД ДЛЯ ПАЦИЕНТОВ
вверх
поиск
админ
главная
исходное
|
Re: Старый знакомый DHS
послал Djoldas Kuldjanov 09 Май 2012, 15:20
|
Считаю, что задачей форума и является дискуссия, обмен опытом и материалами, чего как я вижу немного достиг. Спасибо огромное за статью!!!
Подробный анализ ошибок проводим на ежемесячной конференции M&M (Morbidity and Mortality), где разбираются причины с выводом мероприятии по уменьшению подобных ошибок. Из хронологии сообщении кажется, что такой разбор состоялся и благодарим за описанный прогресс “как не надо лечить!”.
По поводу осторожности коллег, из предыдущих разборов некоторые коллеги без ведома хирурга дискутировали случай и как выяснилось, что мнение форума было необходимо для дискредитации коллеги. Поэтому выставляя случай, желательно конкретизировать, о чем идет речь, и дополнить выступление полной клинической информацией.
Для принятия правильной тактики каждый элемент имеет ценность, возраст, активность и сопутствующие заболевания. Описание преморбидного состояния, на что надо ориентироваться в тактике лечения, т.к. невозможно сделать ходячим household ambulatory или прикованных к коляске больных. Более агрессивная тактика - активным больным.
Послеоперацонные осложнения после стабилизации чрезвертельных переломов встречается от 4 до 12% и зависит от контролируемых и неконтролириуемых врачами факторов. Выбор фиксатора и качество репозиции контролируется врачом, а качество кости и геометрию перелома трудно контролировать. Kaufer, CORR 1980.
Технические погрешности во время операции являются одним из факторов осложнении, и в статье Michael Baumgaertner, The Value of the Tip-Apex Distance (TАD) in Predicting Failure of Fixation of Peritrochanteric Fracture of the Hip подробно описано о возможностях обойти осложнения. Но из практики TAD не всегда является предиктором осложнении, и случаи Cut Out с идеальным шеечным винтом доказывает, что качество кости и геометрия фрагментов имеют значение!
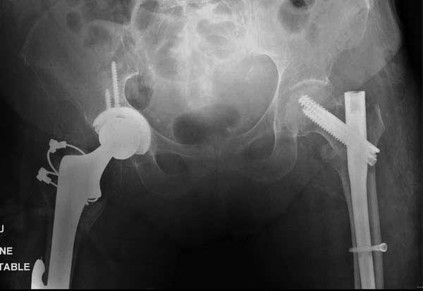
Первые снимки показывают технические погрешности установки DHS. Не была достигнута репозиция, конечность в флексии и шейка в ротации. Сегодня все меньше обращают внимание на параметры для оценки репозиции (S контуры Lowell в обеих проекциях и Garden Alignment Index, в норме 155 и 180 градусов), хотя такие простые тесты помогли бы дорепонировать смещение. Винт находится сзади в головке, что при нагрузке поменяет вектор и вместо компрессии в линии перелома срежет головку-Cut Out!
В зависимости от дистанции линии перелома и латерального кортекса надо использовать разной длины barrel, т.е. конец баррели не должен доходить до пределов перелома. Здесь конец длинного ствола упирается в медиальный фрагмент, что мешает созданию компрессии, а более короткий barrel создал бы запас для компрессии. В боковой пластине вместо 4х можно было ограничится двумя шурупами, потому что головка шурупа в 4.5 мм выдерживает давление до 350 кг.
Вторая операция- это фаза сохранения головки бедра. Желательно приложить все усилия и сохранить головку, но, как видно, “фиаско” продолжается. Здесь вместо нейтрализации сил между медиальной и латеральными сторонами была попытка удержать варус. Варус не удержать ни деротационными шурупами о котором говорили и не костными стружками вбитые в шейку, потому что вся нагрузка упирается в головку.
Как отметил Евгений, 95 degree Blade Plate Fixed Angle device расчитана на восстановление взаимоотношении между головкой и диафизом, а все остальные фиксаторы (Gamma, Afifuxus и др.) работают за счет нагрузки в верхнем полюсе головки. Верхний полюс успели разрушить, и в головке единственное место, который смог бы удержать широкий клинок конструкции, это медиально-низкий сегмент. После установки клинка засчет дистракции можно удлинить конечность на 15мм, а добавленный в дефект ауто-графт закончил бы дело.
Третья операция-продолжения усилии “синьорами пэрами” по разрушению нормальной анатомии. Крест на головку! По видимому возраст позволяет биполярную конструкции, и при дефекте calcar пошли на обычный цементный. Ягодичные мышцы потеряли связь с вертелом, т.е. отсутствует верхний удержатель, и результат “a Big Screw Up!” Снимки вызывают головокружение!
В заключение: чрезвертельные переломы можно лечить разными методами, включая наружные фиксаторы, но для начала надо определиться, какой это перелом? Стабильные переломы А1 (1-3), А2 (1) можно фиксировать DHS или гвоздем, а нестабильные переломы - гвоздями или современными пластинами для проксимального бедра. Трудным считается Reverse obliquity A3 (1) который из-за скоса перелома лучше удерживает Blade Plate, но современные гвозди неплохо зарекомендовали в лечении таких переломов.
Если хирурги не устали от своих “творчеств”, тогда можно ре-оперировать с calcar replacement stem, и собрать остаток ягодичных мышц. Глубина и отстутствие артроза позволяет применить любой, биполярный или тотальный, хотя принять решение можно после ревизии ацетабулума.
Малознакомый для российских коллег “старый DHS” до сих пор является одним из бестселлеров не только в Англии, а также у большинства хирургов остального мира. Рандомизированные исследования DHS против nail показали, что для стабильных переломах нет разницы. Отрицательная сторона доступ и кровопотеря, а положительная сторона гвоздей - механические. Современные гвозди трудно установить без ЭОП, а при знании специальных расчетов DHS можно обойтись без рентгена.
Всеобщая любовь к цефаломедуллярным конструкциям в СНГ, это из-за того, что многие коллеги в эволюции развития в лечении чрезвертельных переломов без промежуточного применения (DHS) (как в х-СССР из феодального в социализм) перешли на более современные. Кроме этого, обученные только на публикациях (Челнокова и др.) многие коллеги принимают гвозди как единственные для фиксации чрезвертельных переломов.
Хотя глубоко убежден, что современный ортопед не должен ограничиться (Bloodless) техникой, а должен владеть всеми видами (пластинами тоже) фиксации переломов, включая открытые.
Такие “чужие осложнения” встречаются у всех и представляю банальный случай, который шаг за шагом показано как перерос в более сложный процесс... Больная 70 лет, множественные ко-морбидности, чрезвертельный перелом первоначально фиксирован Гамма 3. Осложнение в течение 6 недель, ревизия тотальной артропластикой и во время установки ножки обнаружена трещина диафиза (17), из малого доступа фиксация алло-графтом.
Обычно после чрезвертельных переломов, за исключением молодых, у пожилых остается нестабильность при движении. Часто падают и после 3х мес. в результате падения обнаружен перипротезный перелом (22-23), который зафиксирован Синтез пластиной.
Повторно поступает после двух с половиной лет, где обнаруживается перелом на второй стороне. Немного сложно, но для фиксации выбрали Antegrade InterTan Smith Nephew Nail и с момента фиксации более 3х мес.


|
| Послать ответ |
Обратите внимание: Поля с жирными названиями обязательны.
Старайтесь отвечать в рамках обсуждаемой темы, а не начинать новые обсуждения.
Указывайте адекватную тему сообщения, чтобы было ясно, о чем оно.
Не послайте сообщений не по теме (оффтопик), раздраженных, грубых или обидных комментариев. Здесь это неуместно.
|