Ответить
|
Re: Старый знакомый DHS
Nikita Zadneprovsky 28 Апрель 2012, 21:52
|
Предлагаю поделиться опытом работы с DHS,
Дело наверно хорошее. Но как-то уже неактульна конструкция-то.
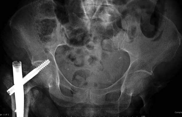
Банальный рутинный перелом чрезвертельной зоны лечимый DHS.
Не по теме, но все же спрошу. А почему выбран именно такой вариант фиксации? Мы бы поставили цефаломедуллярный гвоздь (Gamma) и нагрузка сразу.
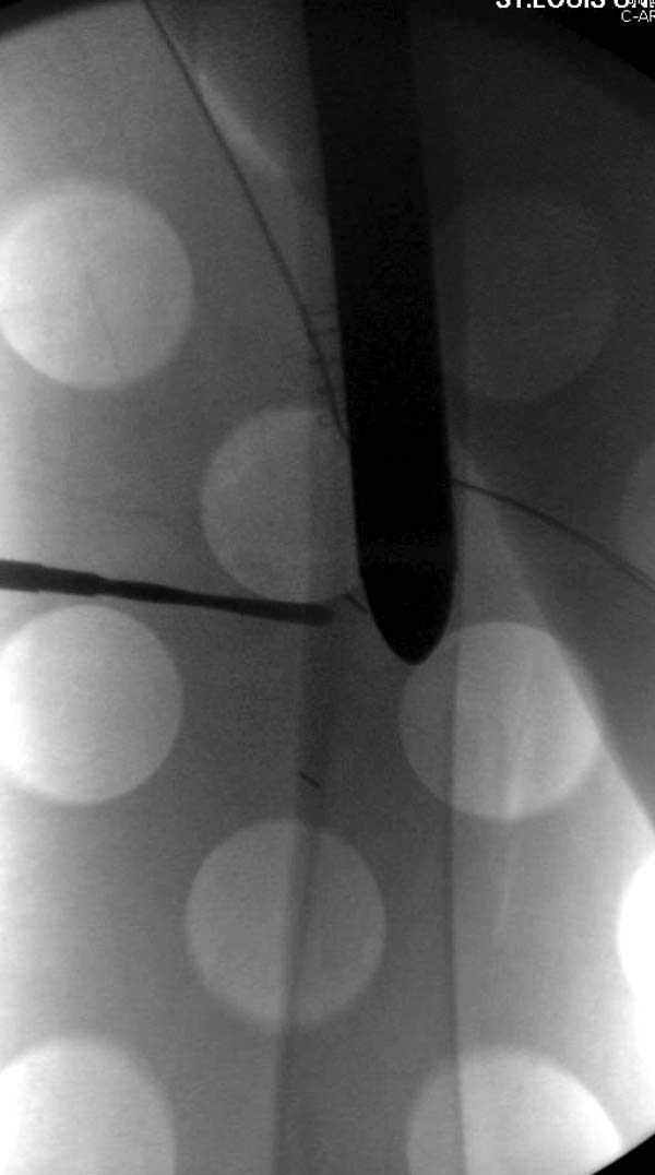
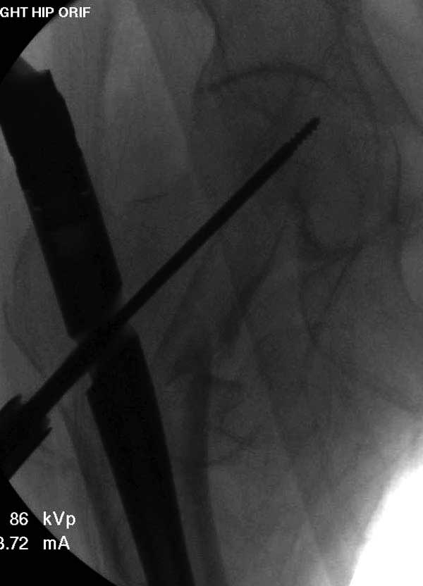
А по картинке можно сказать, что вроде бы все и неплохо. Предупредить миграцию шеечного винта при наружной ротации диафиза во время ходьбы достигают введением последнего поближе к переднему кортексу шейки. На Вашей картинке винт "смотрит" кзади. Отсутствие дополнительной боковой опоры для винта создает предпосылки для несостоятельности фиксации. (См. статью в прикреплении). Поэтому с ранней активизацией пациента в данном случае я бы подождал.
С уважением, Никита Заднепровский
 A. Sarmiento "The stability of intertrochanteric fractures" 2011
|
[
Ответить ]
|
Re: Старый знакомый DHS
Ostanin 29 Апрель 2012, 17:04
|
А пациент-то какой из себя?
При таком переломе мы бы тоже поставили вертельный гвоздь - на следующий день встать и побежать - чем не перспектива? На прямом снимке винт стоит замечательно, а коварный аксиальный подкачал, хотелось бы больше по центру шейки и головки завести. Да и смещение, какое-никакое, но есть. Посему - нагрузка 15 кг, а расширяли бы не раньше, чем через 5 недель.
|
[
Ответить ]
|
Re: Старый знакомый DHS
Alexey Semenisty 29 Апрель 2012, 21:43
|
Как-то странно звучит предложение поделиться опытом. Больше смахивает на тестирование форума. Угадайка какая-то. Такое впечатление, что результат уже известен автору, и он пытается спровоцировать дискуссию.
|
[
Ответить ]
|
Re: Старый знакомый DHS
Отправитель: Alexander Chelnokov 29 Апрель 2012, 22:29
|
Как-то это чуть ли не с упреком звучит. Что плохого в дикуссии на интересную многим тему?
Если получится "спровоцировать дискуссию", с удовольствием ее почитаем, может, поучаствуем. У нас вот опыт с DHS близкий к нулю, разве что удаляли. А в Англии - это и сегодня доминирующий имплантат при вертельных переломах.
|
[
Ответить ]
|
Re: Старый знакомый DHS
Отправитель: Alexey Semenisty 30 Апрель 2012, 10:45
|
Как-то это чуть ли не с упреком звучит. Что плохого в дикуссии на интересную многим тему?
Плохого ничего, только положительное. Подискутируем. Автор просит прокомментировать и как бы оценить сделанное. Но сначала пару вопросов к автору темы: Alexbone, 1) Что, на Ваш взгляд, было сделано хорошо на этой операции? 2) Что в следующий раз при лечении такого же перелома Вы сделали бы по-другому и почему?
|
[
Ответить ]
|
Re: Старый знакомый DHS
Отправитель: Андрей Волна 29 Апрель 2012, 22:59
|
Троллинг.
Лёш, созвонимся завтра, ОК?
|
[
Ответить ]
|
|
Re: Старый знакомый DHS
А.Ситник 30 Апрель 2012, 00:14
|
Да, какой-то подвох тут чуется:)
Что касается данного перелома, то по-моему DHS или гамма - принципиальной разницы здесь конкретно нет - медиальная опора сохранена, при правильном исполнении можно ногу нагружать. Технически здесь выполнено на 3+, но если так же винт гаммы поставить - лучше не было бы.
По нагрузкам - можно вертикализироать с частичной опорой, дальше по рентген-контролям.
|
[
Ответить ]
|
Re: Старый знакомый DHS
Отправитель: Alexbone 30 Апрель 2012, 17:24
|
Очень рад и благодарен всем откликнувшимся и задумавшимся. Считаю, что задачей форума и является дискуссия, обмен опытом и материалами, чего как я вижу немного достиг. Спасибо огромное за статью!!! Потому что тема на мой взгляд очень актуальна. Как правильно заметил Александр, в Англии, а я думаю и в Европе (как в России матушке - скажите мне сами) преобладает DHS в лечении переломов проксимального отдела бедра. Как более легкое, быстрое (вопрос еще), знакомое дело, особенно для ортопедов "старой" школы. Поэтому сплошь и рядом вижу подобные случаи, а если их не видно - значит пациент домирает в доме по уходу, которые очень распространены в Англии. Статистика этого острова - смертность в первый месяц 10%, в течении года - 30%, поэтому имеется циничная тенденция системы - ну чё мол стараться? Последнее время наблюдаю перемену в некоторых местах в сторону гвоздей, это где эмигрантов побольше. В данном конкретном случае подвоха никакого нет, а осложнения и нам уроки - скока хошь. Случай не мой, в госпитале проходил. Предлагаю учиться на ошибках чужих, как делают умные люди.
Прилагаю снимок сделанный еще в стационаре через 2 недели после операции.

Кстати, я придерживаюсь мнения проводить шеечный шуруп через calcar - как самый прочный участок, сзади-снизу шейки. Есть мнения что лучше по центру - избежать эксцентрических сил и момента. По-моему трудно определить центр вращения (а может он уже определен) в плече бедра и шейке. Если calcar - это самое прочное место, то скорее всего это и есть центр нагрузки и ось вращения. Идея позиции перед передним кортексом - интересная, требует обдумывания.
|
[
Ответить ]
|
Re: Старый знакомый DHS
Отправитель: Alexbone 30 Апрель 2012, 17:40
|
Да, согласен, в такой же репозиции Гамма был бы таким же несостоятельным фиксатором. Проблема в репозиции медиального кортекса, который судя по снимку на месте и опора есть, а на самом деле не так. Как можно его проконтролировать? Дигитально, указательным пальцем пробраться через рану и пощупать? Иногда можно так репонировать перелом шурупом DHS - щупать пальцем язык перелома, который часто около малого вертела и можно до него достать пальцем и при малом разрезе, и поворачивая шуруп еще закручивая его на рукоятке репонировать перелом когда шуруп начнет брать кость. Если остеопороз не сильный и шуруп берет сразу, можно поставить антиротационный шуруп при репонированном положении перелома.
|
[
Ответить ]
|
Re: Старый знакомый DHS
Отправитель: Alexander Chelnokov 30 Апрель 2012, 20:12
|
Проблема в репозиции медиального кортекса
При переломах типа A2 - с фрагментированием медиальной стенки - не получится ее репозиция никогда, что ж теперь, остеосинтез не делать?
Проблема основная тут в остаточном варусе. Даже если отломки по медиальной стенке при этом окажутся в контакте, от cutout это не спасет. Плюс короткий винт, еще и эксцентрично расположенный, так что совсем мало кости ему резать надо.
А так - чем более оскольчатый и дистально распространенный перелом, тем больше выбор склоняется к гвоздю. Но и он не спасет, если основные отломки оставить в варусе.
|
[
Ответить ]
|
Re: Старый знакомый DHS
Отправитель: Alexbone 30 Апрель 2012, 17:51
|

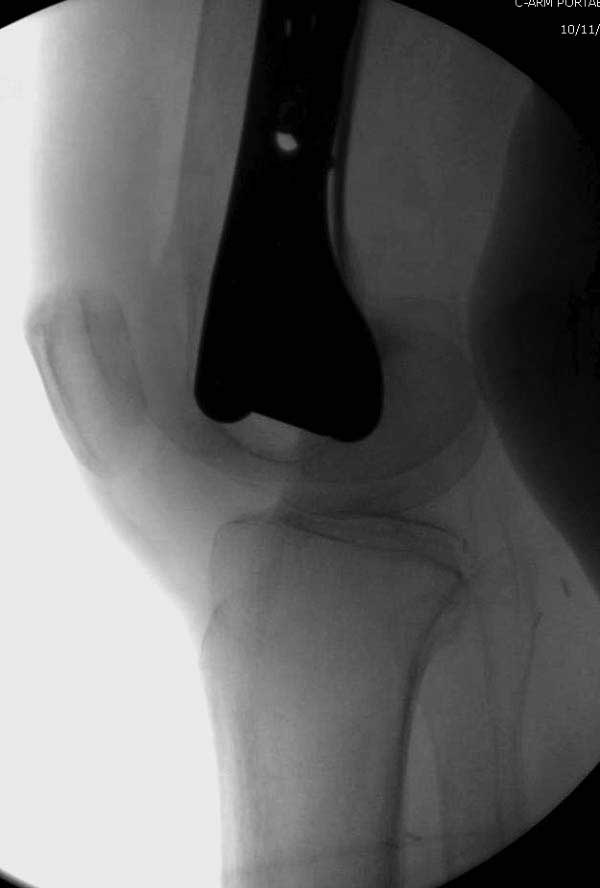
Сеньоры-пэры ревизировали гвоздем, шуруп поставили по той же дорожке, только поглубже. Да еще и bone graft не пожалели. "Результат" уже был через 2 дня.
Если сохранять головку - думаю надо было в валгусе фиксировать перелом гвоздем, или DCS, т.к. все-равно разрезали, чтоб достать DHS.
Как фиксировать дальше?
|
[
Ответить ]
|
Re: Старый знакомый DHS
Отправитель: Evgueny Tschekashkine 01 Май 2012, 10:13
|
95 degr.Blade plate
Чужие косяки демонстрировать и комментировать, сдаётся мне, не совсем этично - это не изменит уже содеянного, думаю, что и автор, и больной не в восторге от результата.
Хотелось бы надеяться, чтобы у вас подобных проблем никогда не возникало.
Евгений И.Чекашкин
|
[
Ответить ]
|
|
Re: Старый знакомый DHS
Maxim Agalakov 01 Май 2012, 13:37
|
а сколько лет пациенту/ке, какие требования, сопутствующие болячки?
С уважением Максим Агалаков, Е-бург
|
[
Ответить ]
|
Re: Старый знакомый DHS
Alexbone 01 Май 2012, 22:54
|
Среднестатистическая старушка, которых много. Сопутствующие болезни, ходила с палочкой. Готовили к операциям как обычно. По поводу этики - может замечание и правильное. Было бы мое - сказал. Думаю это здесь не главное. Главное - избегать подобных ситуаций. В своей практике не припомню cutout DHS. Возможно, работает calcar. Для многих evidence based TAD - Tip to Apex Distance. Но если проводить через calcar, то TAD может быть больше 25 мм.

Думаю, что гвоздь или DHS - надо ставить через calcar. Логично, что на прочном месте будет меньше cutout. Да и дорожка для cutout в этом случае длиннее.
|
[
Ответить ]
|
Re: Старый знакомый DHS
Alexbone 01 Май 2012, 23:01
|

Продолжение следует ...
|
[
Ответить ]
|
Re: Старый знакомый DHS
Alexbone 01 Май 2012, 23:05
|

No comment.
End of story.
|
[
Ответить ]
|
Re: Старый знакомый DHS
Отправитель: Савранский Александр 03 Май 2012, 00:13
|
Бедная бабушка!
Неужели фиксация протеза бесцементная? Да и чашка не запрессована как надо.Грустно(
|
[
Ответить ]
|
Re: Старый знакомый DHS
Отправитель: Станислав Дмитриев 03 Май 2012, 22:59
|
Эт -ж биполяр:)) Ножка цементная. Страйкеровский Exeter.1
|
[
Ответить ]
|
Re: Старый знакомый DHS
Отправитель: Савранский Александр 04 Май 2012, 02:19
|
биполярный эндопротез все же не лучший выбор для данной ситуации.судя по снимкам мышечные прикрепления на вертелах утрачены.Возможно здесь подошла бы более стабильная конструкция.Ваше мнение?
C ув.Савранский Александр.
|
[
Ответить ]
|
Re: Старый знакомый DHS
Отправитель: Alexbone 04 Май 2012, 15:29
|
Constrained Acetabular Liners???
Biomet RingLoc® II
Что еще можно найти?
|
[
Ответить ]
|
Re: Старый знакомый DHS
Отправитель: Савранский Александр 05 Май 2012, 08:09
|
Наверное как раз какой-то из "связанных" эндопротезов при потере мышечных креплений будет здесь уместнее.
|
[
Ответить ]
|
Re: Старый знакомый DHS
Отправитель: Evgueny Tschekashkine 04 Май 2012, 02:17
|
Алекс,
а куда делся фрагмент большого вертела? Очевидно,
Если среднеягодичная мышца не рефиксирована, то ничто не держит протез во впадине и это закономерный результат.
Жаль бабульку
|
[
Ответить ]
|
|
Re: Старый знакомый DHS
Ушаков Сергей 03 Май 2012, 23:59
|
Добрый вечер! Гемипротез конечно же с цементной фиксацией ножки (вероятно Exeter). Видимо это прикол. перелом простой вертельный. фиксатор для перелома адекватный.репозиция хорошая и локализация винта в задневерхнем сегменте головки орпавдана по мнению многих коллег. Но "катаут" предусматривает не только прорезывание, но и ротационное смещение на фоне моновинтовой конструкции. Мы обязательно дополняем подубную конструкцию компрессирующим антиротационным винтом, опыт небольшой, но осложнений не имели. С уважением Ушаков СА.
|
[
Ответить ]
|
Re: Старый знакомый DHS
Отправитель: Alexander Chelnokov 05 Май 2012, 00:56
|
репозиция хорошая
Хорошая репозиция - вальгусная. А тут репозиция была как раз плохая.
|
[
Ответить ]
|
|
Re: Старый знакомый DHS
Ivan Petrov 04 Май 2012, 12:03
|
Еще один технический момент, приводящий к вырезыванию DHS при вертельных переломах: недостаточно "глубокая" посадка винта.
Baumgaertner et al. The value of the tip-apex distance in predicting failure of fixation of peritrochanteric fracture fixation. J Bone Joint Surg Am. 1995;77-A:1058–1064 указывают, что расстояние от кончика винта до верхушки головки бедренной кости (Tip-apex Distance)должно быть менее 25 мм, в противном случае вероятность "cut out" повышается.
|
[
Ответить ]
|
Re: Старый знакомый DHS
Отправитель: Alexander Chelnokov 05 Май 2012, 05:38
|
расстояние от кончика винта до верхушки головки бедренной кости (Tip-apex Distance)должно быть менее 25 мм
Во-1-х, 25 мм - по одной проекции это сильно далеко, так что TAD - это сумма этих расстояний по прямой и боковой проекциям.

Во-2-х, tip (этот самый кончик винта) может располагаться на одинаковом расстоянии от apex, но по разные стороны от него. См. исходную картинку из статьи Баумгартнера (c одной проекцией), а на другой - вот это самое по обе стороны. Самоочевидно, который из двух вариантов введения ближе к cut-out, несмотря на одинаковое расстояние от apex.
|
[
Ответить ]
|
Re: Старый знакомый DHS
Отправитель: Ivan Petrov 05 Май 2012, 20:07
|
Александр,спасибо за существенное дополнение, конечно же, суммарно в 2 проекциях.
|
[
Ответить ]
|
|
Re: Старый знакомый DHS
Андрей 07 Май 2012, 00:53
|
Ув. коллеги!
Сам попал в аналогичную ситуацию:
остеосинтез пластиной с угловой стабильностью, несостоятельность остеосинтеза через 1.5 мес., удаление фиксаторов на 2 мес., через 10 мес. с момента травмы однополюсное цементное протезирование - вывих протеза через 10 дней п/о.
Снимки как у меня (не могу показать отдал больной) из особенностей - не было малого вертела, довольно тяжелое вправление (может не достатосно глубоко погрузил ножку).
Основной вопрос какие мысли, что делать дальше?
|
[
Ответить ]
|
Re: Старый знакомый DHS
Отправитель: Дедок Михаил 07 Май 2012, 20:00
|
Вправить закрыто и на отводящую шину на 2 месяца.
|
[
Ответить ]
|
|
Re: Старый знакомый DHS
Djoldas Kuldjanov 09 Май 2012, 15:20
|
Считаю, что задачей форума и является дискуссия, обмен опытом и материалами, чего как я вижу немного достиг. Спасибо огромное за статью!!!
Подробный анализ ошибок проводим на ежемесячной конференции M&M (Morbidity and Mortality), где разбираются причины с выводом мероприятии по уменьшению подобных ошибок. Из хронологии сообщении кажется, что такой разбор состоялся и благодарим за описанный прогресс “как не надо лечить!”.
По поводу осторожности коллег, из предыдущих разборов некоторые коллеги без ведома хирурга дискутировали случай и как выяснилось, что мнение форума было необходимо для дискредитации коллеги. Поэтому выставляя случай, желательно конкретизировать, о чем идет речь, и дополнить выступление полной клинической информацией.
Для принятия правильной тактики каждый элемент имеет ценность, возраст, активность и сопутствующие заболевания. Описание преморбидного состояния, на что надо ориентироваться в тактике лечения, т.к. невозможно сделать ходячим household ambulatory или прикованных к коляске больных. Более агрессивная тактика - активным больным.
Послеоперацонные осложнения после стабилизации чрезвертельных переломов встречается от 4 до 12% и зависит от контролируемых и неконтролириуемых врачами факторов. Выбор фиксатора и качество репозиции контролируется врачом, а качество кости и геометрию перелома трудно контролировать. Kaufer, CORR 1980.
Технические погрешности во время операции являются одним из факторов осложнении, и в статье Michael Baumgaertner, The Value of the Tip-Apex Distance (TАD) in Predicting Failure of Fixation of Peritrochanteric Fracture of the Hip подробно описано о возможностях обойти осложнения. Но из практики TAD не всегда является предиктором осложнении, и случаи Cut Out с идеальным шеечным винтом доказывает, что качество кости и геометрия фрагментов имеют значение!
Первые снимки показывают технические погрешности установки DHS. Не была достигнута репозиция, конечность в флексии и шейка в ротации. Сегодня все меньше обращают внимание на параметры для оценки репозиции (S контуры Lowell в обеих проекциях и Garden Alignment Index, в норме 155 и 180 градусов), хотя такие простые тесты помогли бы дорепонировать смещение. Винт находится сзади в головке, что при нагрузке поменяет вектор и вместо компрессии в линии перелома срежет головку-Cut Out!
В зависимости от дистанции линии перелома и латерального кортекса надо использовать разной длины barrel, т.е. конец баррели не должен доходить до пределов перелома. Здесь конец длинного ствола упирается в медиальный фрагмент, что мешает созданию компрессии, а более короткий barrel создал бы запас для компрессии. В боковой пластине вместо 4х можно было ограничится двумя шурупами, потому что головка шурупа в 4.5 мм выдерживает давление до 350 кг.
Вторая операция- это фаза сохранения головки бедра. Желательно приложить все усилия и сохранить головку, но, как видно, “фиаско” продолжается. Здесь вместо нейтрализации сил между медиальной и латеральными сторонами была попытка удержать варус. Варус не удержать ни деротационными шурупами о котором говорили и не костными стружками вбитые в шейку, потому что вся нагрузка упирается в головку.
Как отметил Евгений, 95 degree Blade Plate Fixed Angle device расчитана на восстановление взаимоотношении между головкой и диафизом, а все остальные фиксаторы (Gamma, Afifuxus и др.) работают за счет нагрузки в верхнем полюсе головки. Верхний полюс успели разрушить, и в головке единственное место, который смог бы удержать широкий клинок конструкции, это медиально-низкий сегмент. После установки клинка засчет дистракции можно удлинить конечность на 15мм, а добавленный в дефект ауто-графт закончил бы дело.
Третья операция-продолжения усилии “синьорами пэрами” по разрушению нормальной анатомии. Крест на головку! По видимому возраст позволяет биполярную конструкции, и при дефекте calcar пошли на обычный цементный. Ягодичные мышцы потеряли связь с вертелом, т.е. отсутствует верхний удержатель, и результат “a Big Screw Up!” Снимки вызывают головокружение!
В заключение: чрезвертельные переломы можно лечить разными методами, включая наружные фиксаторы, но для начала надо определиться, какой это перелом? Стабильные переломы А1 (1-3), А2 (1) можно фиксировать DHS или гвоздем, а нестабильные переломы - гвоздями или современными пластинами для проксимального бедра. Трудным считается Reverse obliquity A3 (1) который из-за скоса перелома лучше удерживает Blade Plate, но современные гвозди неплохо зарекомендовали в лечении таких переломов.
Если хирурги не устали от своих “творчеств”, тогда можно ре-оперировать с calcar replacement stem, и собрать остаток ягодичных мышц. Глубина и отстутствие артроза позволяет применить любой, биполярный или тотальный, хотя принять решение можно после ревизии ацетабулума.
Малознакомый для российских коллег “старый DHS” до сих пор является одним из бестселлеров не только в Англии, а также у большинства хирургов остального мира. Рандомизированные исследования DHS против nail показали, что для стабильных переломах нет разницы. Отрицательная сторона доступ и кровопотеря, а положительная сторона гвоздей - механические. Современные гвозди трудно установить без ЭОП, а при знании специальных расчетов DHS можно обойтись без рентгена.
Всеобщая любовь к цефаломедуллярным конструкциям в СНГ, это из-за того, что многие коллеги в эволюции развития в лечении чрезвертельных переломов без промежуточного применения (DHS) (как в х-СССР из феодального в социализм) перешли на более современные. Кроме этого, обученные только на публикациях (Челнокова и др.) многие коллеги принимают гвозди как единственные для фиксации чрезвертельных переломов.
Хотя глубоко убежден, что современный ортопед не должен ограничиться (Bloodless) техникой, а должен владеть всеми видами (пластинами тоже) фиксации переломов, включая открытые.
Такие “чужие осложнения” встречаются у всех и представляю банальный случай, который шаг за шагом показано как перерос в более сложный процесс... Больная 70 лет, множественные ко-морбидности, чрезвертельный перелом первоначально фиксирован Гамма 3. Осложнение в течение 6 недель, ревизия тотальной артропластикой и во время установки ножки обнаружена трещина диафиза (17), из малого доступа фиксация алло-графтом.
Обычно после чрезвертельных переломов, за исключением молодых, у пожилых остается нестабильность при движении. Часто падают и после 3х мес. в результате падения обнаружен перипротезный перелом (22-23), который зафиксирован Синтез пластиной.
Повторно поступает после двух с половиной лет, где обнаруживается перелом на второй стороне. Немного сложно, но для фиксации выбрали Antegrade InterTan Smith Nephew Nail и с момента фиксации более 3х мес.


|
[
Ответить ]
|
Re: Старый знакомый DHS
Отправитель: Савранский Александр 11 Май 2012, 23:33
|
Спасибо за интересную презентацию.
Для меня непонятно почему устанавливалась такая толстая ножка протеза- явно больше диаметра канала и потребовала значительного рассверливания,что могло вызвать раскол.
|
[
Ответить ]
|
Re: Старый знакомый DHS
Отправитель: Evgueny Tschekashkine 12 Май 2012, 22:09
|
Джолдас,
Спасибо за пост и комментарии.
Абсолютно с тобой согласен и по-другому быть не может - анализ проблемных случаев необходим, чтобы их не случалось в будущем и он должен быть произведён с соблюдением принципов профессиональной этики - ведь цель этих обсуждений не раскатывание коллег (с которыми не всегда возникают прямые и добрые отношения по разным причинам), а распознование сути проблемы. Не ошибается тот, кто ничего не делает. Профессиональная мудрость, принятие оптимального и правльного решения в каждом конкретном случае с неба не сваливется - результат личного, мирового опыта. В силу личных качеств кто-то останавливается на уровне ремесленника, кто-то становится мастером...
Одно пожелание к участникам форума - постарайтесь не пользоваться форумом для сведения счётов со своими коллегами - это не делает вам чести, пожалуй, наоборот - разрушает вас самих.
Е.И. Чекашкин
|
[
Ответить ]
|
|
( Ответить )
|
|