ВХОД ДЛЯ ПАЦИЕНТОВ
вверх
поиск
админ
главная
исходное
|
Re: Перелом дистального отдела костей голени
послал Djoldas Kuldjanov 21 Июль 2012, 10:34
|
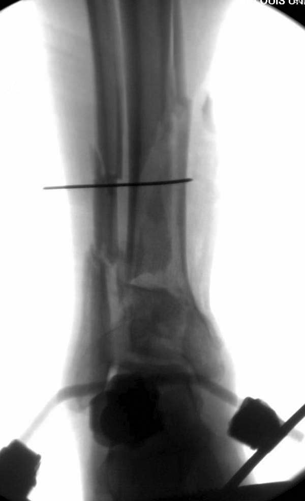
Современную тактику лечения переломов пилона описали коллеги, а мне остается подтвердить клинически. В многоэтапном лечении главное - это предупреждение сокращения мягких тканей, от которого зависит судьба конечности. Дистракция любым наружным фиксатором, и по готовности мягких тканей - премежуточная или окончательная фиксация.
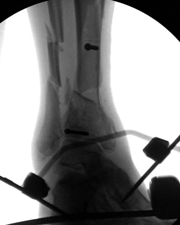
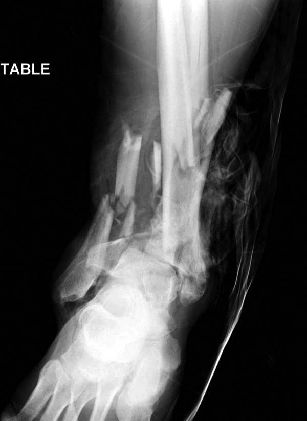
В нашем случае, травма в результате коллапса крыши. Открытый перелом. Ургентные Irrigation and Debridment, дистракция наружным фиксатором. В госпиталях первого уровня редко бывает изолированная травма, и на другой стороне повреждение стопы с переломом навикулярной кости. После обработки раны - вакуум и двухсторонние наружные фиксаторы.
Вначале нет смысла заказывает КТ, только дистракция организует на свое место свободных фрагментов. По топографии отломком преоперационный план, а готовность мягкой ткани подтвердит появившиеся морщины на поверхности кожи, “Wrinkle Sign”.
Трудно предсказать, что в течение именно двух недель решится готовность к операции. Все зависит от энергии травмы, иногда образование морщин ждали более чем две недели. Любая интервенция без подготовки кожных покровов - это риск осложнений!
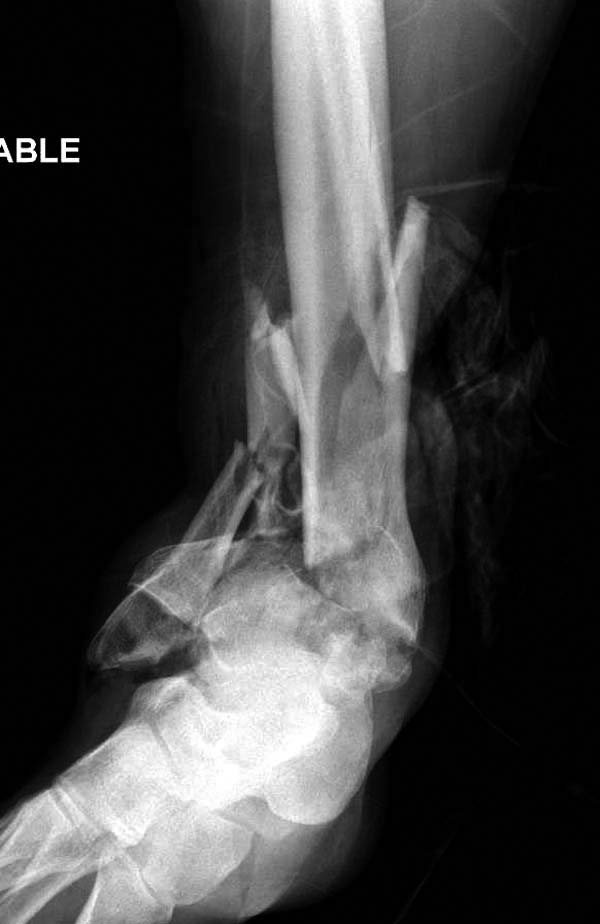
Через три дня повторная I&D, где через рану манипулировали дистальным фрагментом с установкой пары межфрагментарных шурупов. На рану вакуум и следующая обработка закончилась закрытием раны. Отек держался немного дольше, чем обычно.
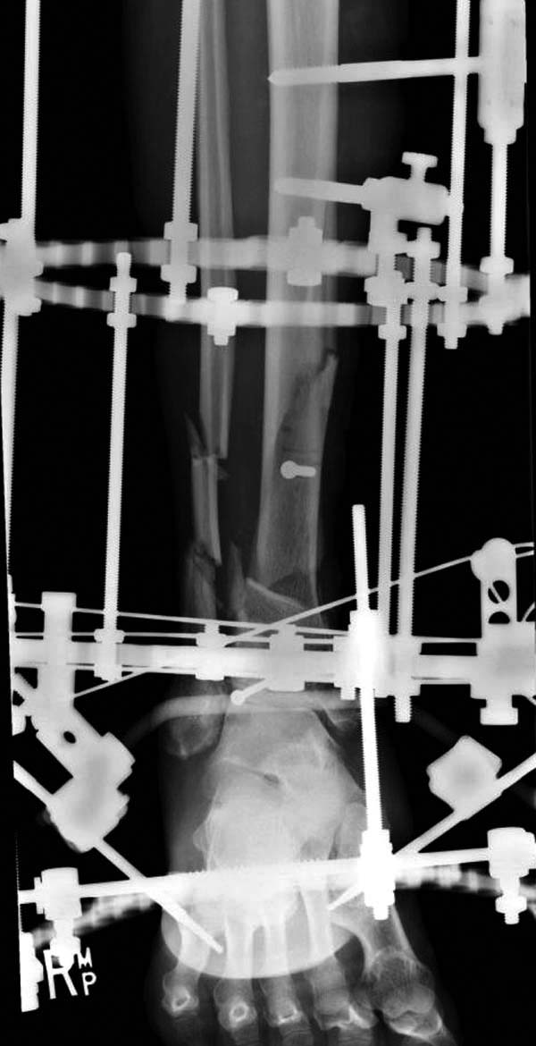
После спадения отека вариантов фиксации много, включая мининвазивную технику, но данный случай закончили установкой простого аппарата Илизарова.

Через три дня оперирована стопа и для нейтрализации сил колонн оставили наружный фиксатор.
Djoldas Kuldjanov, MD
Associate Professor
Department of Orthopedic Surgery
St. Louis University Medical Center
|
| Послать ответ |
Обратите внимание: Поля с жирными названиями обязательны.
Старайтесь отвечать в рамках обсуждаемой темы, а не начинать новые обсуждения.
Указывайте адекватную тему сообщения, чтобы было ясно, о чем оно.
Не послайте сообщений не по теме (оффтопик), раздраженных, грубых или обидных комментариев. Здесь это неуместно.
|