Ответить
|
Re: Перелом дистального отдела костей голени
Алексей 19 Июль 2012, 22:37
|
Пациент молодой здоровый мужчина, конечно необходима реконструкция. Артродезирование никуда не уйдет.
|
[
Ответить ]
|
Re: Перелом дистального отдела костей голени
VlaD 20 Июль 2012, 01:51
|
Здравствуйте, уважаемые коллеги.
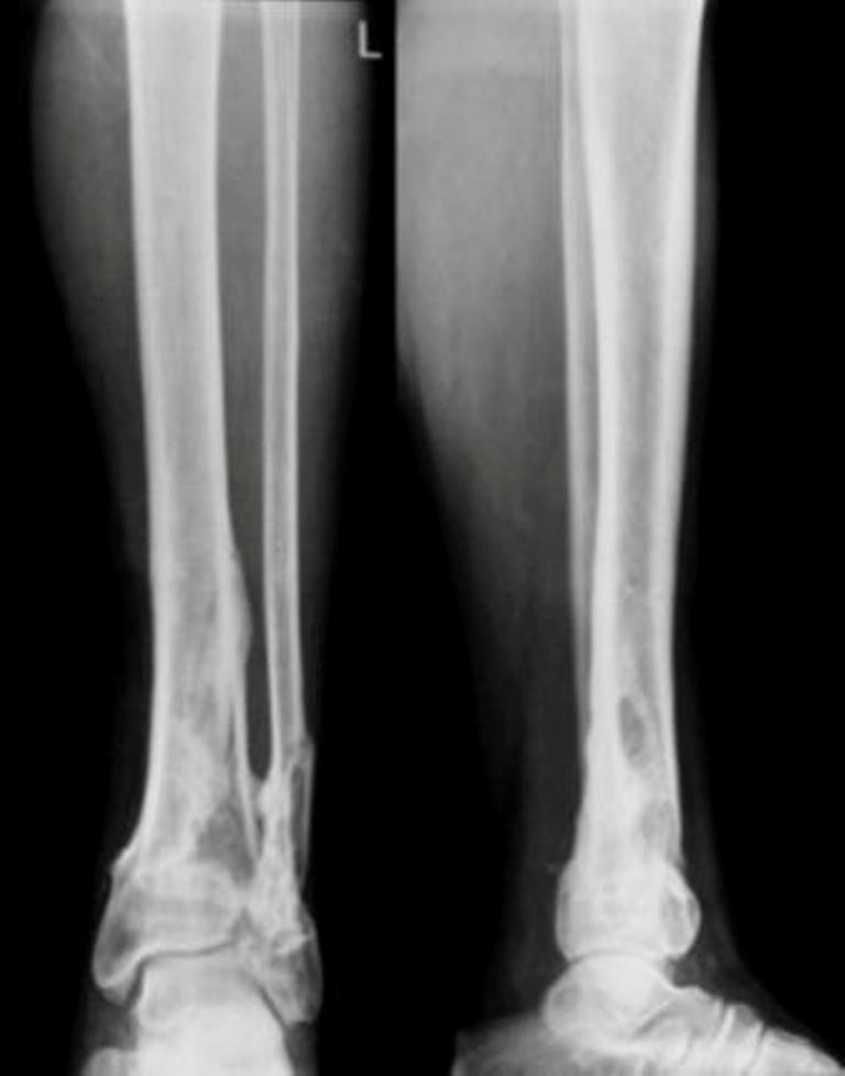
На рентгенограммах – классический перелом пилона (C3). Современный подходы к лечению таких повреждений – двухэтапный протокол. Сначала - дистракционный аппарат (стержневой или спицевой) в течение двух недель. На этом этапе следуют принципу: повреждения мягких тканей – всё, повреждения костей – ничто. Никаких оперативных вмешательств в этот период выполнять не рекомендуется (несмотря на «удовлетворительное состояние» мягких тканей). КТ необходимо выполнять в дистракционном аппарате. Будет более понятная картина, позволяющая спланировать ход последующей открытой репозиции и остеосинтеза. Сдержано относятся к первичному артродезированию. Многое зависит от опыта хирурга и технического оснащения. Ход оперативного вмешательства можно будет обсудить после выполнения рентгенограмм и КТ в дистракционном аппарате. Более информативна КТ со срезами в корональной плоскости. Результат при прочих равных условиях находится в прямой зависимости от точности репозиции суставной поверхности. Долгосрочный прогноз, как правило, плохой. В 60-70% случаев через пять лет всё заканчивается артродезом.
С уважением, VlaD.
|
[
Ответить ]
|
Re: Перелом дистального отдела костей голени
Олег Бондарев 20 Июль 2012, 03:06
|
Пусть неделю повисит на вытяжении, работая в г.ст. суставе. Лигоментотаксис окажит свое благотворное влияние. По контрольным ртг можно будет думать о способе фиксации.
|
[
Ответить ]
|
Re: Перелом дистального отдела костей голени
игорь 20 Июль 2012, 06:43
|
Лечение можно разделить на 2 этапа. 1ое остеосинтез малоберцовой кости из задне-наружного доступа после дистракции. Попытаться выполнить чрезкожно репозицию и остеосинтез простого перелома метафиза большеберцовой кости стягивающим винтом. фиксация аппаратом внешей фиксации. 2ое. Через 10-14 дней, при хорошем состоянии мягких тканей ORIF, возможно даже из двух доступов, накостный остеосинтез с костной пластикой. Если перелом метафиза неотрепонирован, то следует начать с него. Затем либо задневнутренние либо наружные отделы большеберцовой кости. Следует начать с того, что проще. Временно фиксировать спицами. Затем стягивающими винтами. Остеосинтез двумя пластинами. Лучше всего Lобразная LCP спереди, медиально метафизарная LCP. Пластины проксимально должны выходить за место перелома минимум на 4 отверстия.Желательно проводить пластины подкожно, а фиксировать через небольшие разрезы. Если нет пластин, то аппарат Илизарова. Принципы тебе. Если время упущенно и состояние мягких тканей очень плохое, то аппарат внешней фиксации с хорошей дистракцией. На представленных снимках дистракция недостаточна. можно чтото попытаться закрыто и ждать.
|
[
Ответить ]
|
Re: Перелом дистального отдела костей голени
Paul 20 Июль 2012, 22:33
|
VlaD четко прописал действия в предложенной ситуации. Можно только добавить медикаментозную поддержку н первом этапе. Могу сказать - если появились пузыри, то в этом есть и заслуга врача, поэтому на пером этапе нужно приложить максимум уилий и знаний по патофизилогии и биохимии повреждений.
|
[
Ответить ]
|
Re: Перелом дистального отдела костей голени
Сергей 21 Июль 2012, 08:45
|
Уважаемый, Евгений. Следует осуществлять лечение с помощью аппарата Илизарова от начала и до конца. Исключить вопрос фиксации с помощью накостных пластин и винтов.
|
[
Ответить ]
|
Re: Перелом дистального отдела костей голени
Мацукатов Феодор 21 Июль 2012, 09:54
|
Сложнейший перелом, ничего не скажешь. Хоть у меня и небольшой опыт в травматологии, но успел понять, что срастить такой перелом и не довести пациента до потери сустава - высший пилотаж. Усвоил и другое - не стоит особо уповать на различные рекомендации о поэтапном подходе. Всего лишь красивые слова. Наш опыт подсказывает, что такие переломы надо лечить свежими. В РНЦ "ВТО" всегда так и делаем.
Такое надо лечить АВФ, наш опыт открытого вмешательства негативный. Начните с того, что поставьте рентгенограммы на негатоскоп и изучите их тщательно. Не жалейте для этого времени. Определитесь с положением основных фрагментов, участвующих в формировании сустава.
Далее. Соберите "трубу" из аппарата Илизарова. Она должна состоять из 3-х колец на голени и 3/4 кольца на стопе. Определяющим в этой компоновке аппарата является дистальное кольцо голени. Оно должно быть расположено на 1,5 см выше г/ст сустава, проксимальное должно быть расположено на уровне бугристости б/б кости, а промежуточное - по верхнему полюсу перелома. Примерьте собранную "трубу" по снимкам и конечности пациента и отдайте на стериллизацию.
Лично я вытяжением в таких случаях в операционной не пользуюсь. Хоть и критикуют меня за это, считаю, что оно ограничивает пространство для маневра.
Перед операцией взгляните хорошенько на здоровую голень. Вам надо определить величину ее торсии, т.е. угол отклонения стопы кнаружи от вертикальной линии при горизонтально расположенном надколеннике. Очень важный момент: при фиксации травмированной конечности в аппарате стопу надо установить точно в такое положение, т.е. тем самым Вы устраните ротационный компонент смещения, а это во многом Вам поможет.
Операцию начните с проведения одной спицы-метки на 1,5 см выше голеностопного сустава и произведите рентгеновские снимки в 2-х проекциях. Данная метка послужит Вам ориентиром для правильного расположения дистального кольца голени и проведения в ней спиц. Коротко скусите оба ее конца, чтобы они не мешали. Далее, наденьте "трубу" на голень. Установите ее именно так, чтобы дистальное кольцо голени оказалось там, где вы планировали. Далее ассистент берет стопу двумя руками и делает вытяжение. Хирург еще раз центрирует аппарат и проводит спицу в проксимальном кольце, крепит и натягивает ее. После этого проводит вторую спицу через пяточную кость. Перед креплением ее установите стопу в положении того угла торсии, который мы видели на здоровой ноге. Крепим спицу в этом положении. Смотрим на то, что получилось. Если первые цели достигнуты (правильная центрация голени в аппарате, симметричная здоровой стороне установка стопы при отсутствии визуальных признаков деформации), то идем дальше. Добавляем еще по одной спице в верхней опоре голени и опоре стопы, натягиваем их. Даем дистракцию в аппарате около 1,5 см и повторяем снимки. Каждый раз, когда будете делать снимки, надо сводить дистальное кольцо на голени в линию, иначе ничего не увидите. После получения снимков проводим две спицы в промежуточной опоре голени, по одной напайке с каждой стороны, натягиваем их. Изучаем снимки. Если Вы в замешательстве, то на этом этапе завершите операцию. Изучите снимки несколько дней подряд, наверняка появятся мысли и возьмете пациента второй раз - благо с таким переломов не стыдно это делать. Если же Вы настроены решительно, то зафиксируйте в первую очередь те фрагменты, которые сопоставились хорошо. Но не забудьте перед этим удалить спицу-метку,т.к. она наверняка прошивает несколько фрагментов. Далее - индивидуальная шахматная партия, где сложно давать советы. Кроме одного: Если фрагменты (осколки)сопоставлены недостаточно, то я их фиксирую изолированно консольными спицами. Так больше возможностей для маневров в дальнейшем. Если же несколько неправильных фрагментов прошить одной спицей, то ничего хорошего из этого не получится. Прошивать необходимо только тогда, когда они сопоставлены.
Сложно, но возможно. У меня где-то в архиве есть подобные переломы. Будет время - найду и выложу.
Будут вопросы - обращайтесь. Можно писать в личку.
С уважением Мацукатов Ф.А.
|
[
Ответить ]
|
Re: Перелом дистального отдела костей голени
Отправитель: Мацукатов Феодор 21 Июль 2012, 21:02
|

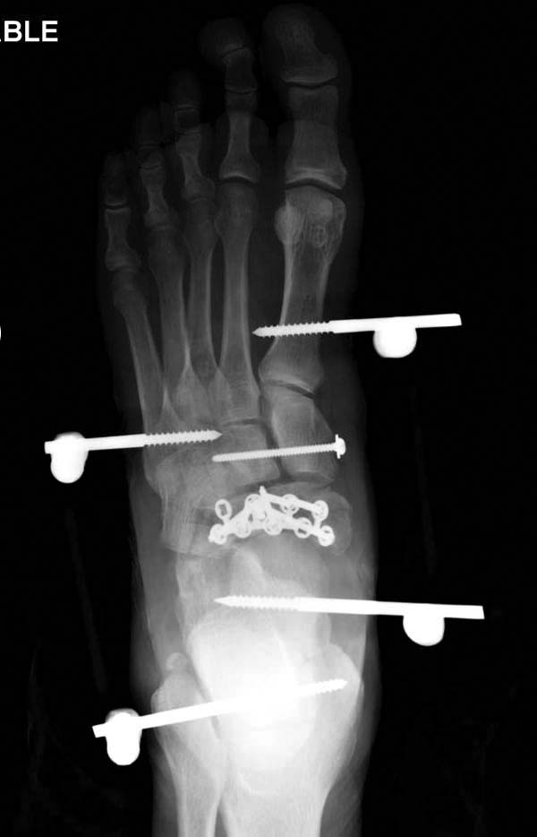
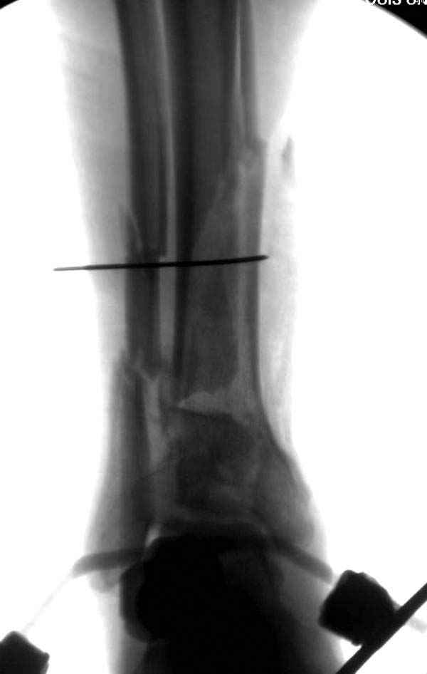
До лечения, в процессе, через 8 мес.
|
[
Ответить ]
|
Re: Перелом дистального отдела костей голени
Отправитель: Alexander Chelnokov 22 Июль 2012, 19:21
|
Спасибо за пример. Он демонстрирует закономерно успешное закрытое лечение повреждения типа 43A3, то есть околосуставного. А обсуждается повреждение куда более тяжелое, 43-C3.3. Это вдребезги расколотая суставная поверхность, ее фрагменты далеко смещены. Основная проблема тут - воссоздать дистальный суставной конец большеберцовой кости из этой мозаики. После того, как это сделано, можно выполнить фиксацию в том числе и циркулярным аппаратом, так, как в этом примере показано.
|
[
Ответить ]
|
Re: Перелом дистального отдела костей голени
Отправитель: Мацукатов Феодор 22 Июль 2012, 21:08
|
Перелом внутрисуставной. Конечно, не такой тяжелый ,как представленный, но эпифиз б/б кости тоже расколот пополам, это видно на боковом снимке плюс перелом наружной лодыжки.
|
[
Ответить ]
|
Re: Перелом дистального отдела костей голени
Отправитель: Alexander Chelnokov 23 Июль 2012, 00:18
|
То, что есть какие-то линии, проникающие в сустав, дела не меняет, форма суставной поверхности практически не пострадала, надо только закрепить.
А при C3.3 картина принципиально другая - когда и раскалывание, и импрессия, невозможно сделать закрыто точную репозицию суставной поверхности.
|
[
Ответить ]
|
Re: Перелом дистального отдела костей голени
Отправитель: Мацукатов Феодор 23 Июль 2012, 22:16
|
Насчет А3 Вы, конечно, погорячились, Александр Николаевич. Так можно дойти и до факта отрицания наличия перелома.
|
[
Ответить ]
|
Re: Перелом дистального отдела костей голени
Отправитель: Alexander Chelnokov 24 Июль 2012, 00:11
|
И на самом деле не так велика разница между A3 и, скажем, C1 или С2 (articular simple) с небольшим и/или легко устраниым смещением суставной поверхности. C1 может превратиться в A3 введением одного винта или спицы.
А вот С3 (articular multifragmentary) , типа того, что обсуждается, совсем другое дело.
|
[
Ответить ]
|
|
Re: Перелом дистального отдела костей голени
Djoldas Kuldjanov 21 Июль 2012, 10:34
|
Современную тактику лечения переломов пилона описали коллеги, а мне остается подтвердить клинически. В многоэтапном лечении главное - это предупреждение сокращения мягких тканей, от которого зависит судьба конечности. Дистракция любым наружным фиксатором, и по готовности мягких тканей - премежуточная или окончательная фиксация.
В нашем случае, травма в результате коллапса крыши. Открытый перелом. Ургентные Irrigation and Debridment, дистракция наружным фиксатором. В госпиталях первого уровня редко бывает изолированная травма, и на другой стороне повреждение стопы с переломом навикулярной кости. После обработки раны - вакуум и двухсторонние наружные фиксаторы.
Вначале нет смысла заказывает КТ, только дистракция организует на свое место свободных фрагментов. По топографии отломком преоперационный план, а готовность мягкой ткани подтвердит появившиеся морщины на поверхности кожи, “Wrinkle Sign”.
Трудно предсказать, что в течение именно двух недель решится готовность к операции. Все зависит от энергии травмы, иногда образование морщин ждали более чем две недели. Любая интервенция без подготовки кожных покровов - это риск осложнений!
Через три дня повторная I&D, где через рану манипулировали дистальным фрагментом с установкой пары межфрагментарных шурупов. На рану вакуум и следующая обработка закончилась закрытием раны. Отек держался немного дольше, чем обычно.
После спадения отека вариантов фиксации много, включая мининвазивную технику, но данный случай закончили установкой простого аппарата Илизарова.

Через три дня оперирована стопа и для нейтрализации сил колонн оставили наружный фиксатор.
Djoldas Kuldjanov, MD
Associate Professor
Department of Orthopedic Surgery
St. Louis University Medical Center
|
[
Ответить ]
|
Re: Перелом дистального отдела костей голени
Alexander Chelnokov 21 Июль 2012, 11:39
|
Переломы пилона не раз на форуме обсуждались, вот тут довольно много всего.
|
[
Ответить ]
|
Re: Перелом дистального отдела костей голени
Игорь Беленький 21 Июль 2012, 11:49
|
Здравствуйте, Евгений!
Для определения тактики лечения я бы наложил дистракционный аппарат и повторил рентгенограммы в режиме дистракции. Не уверен, но думаю, что возможен остеосинтез. Нужно быть готовым к пластике дефекта.
С уважением,
Игорь Беленький. СПб
|
[
Ответить ]
|
Re: Перелом дистального отдела костей голени
Alexander Artemiev 21 Июль 2012, 12:31
|
Здравствуйте.
1. Представленные картинки не очень информативны, точнее совершенно неинформативны, так как выполнены в условиях отсутствия вытяжения. Несмотря на формально наложенное скелетное вытяжение, при помещении на томограф вытяжение ведь пришлось снять? Поэтому и информации от этого исследования - ноль. В этой связи есть смысл сделать обычные рентгенограммы на скелетном вытяжении. Хотя бы примерно будет ясна степень повреждения и потенциальная тенденция к восстановлению. На этом этапе уже можно будет примерно ответить на вопрос - что делать. В смысле артродез или пытаться сохранить сустав.
2. Без вариантов - внешний остеосинтез. Оценить объем вмешательства по представленным рентгенограммам сложно. Но даже артродез будеть выполнить очень непросто.
3. Буквально таких случаев под рукой нет, но можете пройти по ссылке на мой сайт:
http://www.correction.ru/content/view/34/30/
Особо обратите внимание на рис.8.
Сразу скажу, материал ориентирован не на врачей, поэтому комментарии нарочито простые, но если что-то заинтересует, готов рассказать подробнее.
С уважением Александр Артемьев
|
[
Ответить ]
|
Re: Перелом дистального отдела костей голени
VlaD 22 Июль 2012, 02:51
|

Ещё несколько слов по поводу стратегии и тактики лечения обсуждаемого перелома. Из всех переломов пилона С3, переломы с одновременной деструкций эпифиза, дистального метафиза и нижней трети диафиза большеберцовой кости являются наиболее проблемными при выборе способа финального остеосинтеза. К общепринятому способу остеосинтеза переломов пилона пластинками по медиальной либо латеральной поверхности большеберцовой кости в таких случаях следует относиться критически. Имплантация необходимой длины пластинок (иногда до 20-25 см) требует такой же длины разрезов кожи и мягких тканей, отслоение надкостницы, что ставит на грань разумного их применение из-за возникающих впоследствии тяжёлых осложнений. MIPO (Minimally Invasive Plate Osteosynthesis) крайне сложно реализовать на практике из-за необходимости точной репозиции отломков, имеющих суставную поверхность на уровне эпифиза, и недопустимости угловых деформаций на уровне метафиза и диафиза. Поэтому в последнее время всё большую популярность приобретает комбинированный способ финального остеосинтеза. Если ставить перед собой задачу сохранения сустава, надо исходить из понимания, что дистракция и лигаментотаксис в большинстве случаев переломов пилона не обеспечат репозицию отломков, образующих суставную поверхность. Открытая репозиция неизбежна, так как почти всегда имеются отломки с суставной поверхностью «вбитые» в метафиз. Но открытая репозиция из разрезов длиной 5-6 см должна применяться только для репозиции и фиксации между собой отломков, образующих суставную поверхность. Для этих целей применяются спицы и спонгиозные винты диаметром до 4,5 мм. Реконструированный таким образом дистальный эпиметафиз и проксимальный отломок большеберцовой кости фиксируются спицевым или стержневым аппаратом.
О месте интерлокинга в лечении переломов пилона типа С3 исходя из личного опыта. Метод подкупает полным отсутствием отрицательного воздействия на мягкие ткани и, в связи с этим, возможностью более раннего финального остеосинтеза. Но при переломах пилона типа С3 практически не используется чаще всего из-за невозможности обеспечить гарантированную стабильность фиксации дистальных блокирующих винтов в реконструированном эпиметафизе большеберцовой кости. Два случая из личной практики.
В первом случае после дистракции и КТ было установлено, что дистальный эпифиз состоит из трёх крупных фрагментов, в которых полиаксиально могут быть размещены три блокирующих винта. После открытой реконструкции суставной поверхности, выполненной через трансфибулярный доступ и фиксации отломков, содержащих суставную поверхность спицами, выполнен интрамедуллярный блокированный остеосинтез. Лечение без внешней иммобилизации. Полная нагрузка на ногу – через три месяца.
Второй случай. Не уверен в целесообразности и приемлемости выбранного подхода, но внешние обстоятельства требовали от больной передвижения и полной нагрузки на ногу сразу после операции. Размер костных фрагментов не позволял разместить блокирующие винты в дистальном эпифизе. Была выполнена открытая репозиция перелома из передне-медиального доступа, остеосинтез спицами, интрамедуллярный блокированный остеосинтез с созданием временного артродеза голеностопного сустава. Разрешена полная нагрузка на ногу сразу после операции. Через 3,5 месяца стержень удалён.
С уважением, VlaD.
|
[
Ответить ]
|
Re: Перелом дистального отдела костей голени
Марат Кадиев 23 Июль 2012, 02:41
|
Добрый вечер. В какие сроки после травмы выполнены снимки? Если перелом свежий дайте дистракцию на ортопедической приставке с помощью спицы проведенную за пяточную кость. Начните с латеральной лодыжки пластиной 1/3 трубки предпочтительнее MIPO. Далее передним доступом откройте сустав отграничив суставню поверхность таранной кости прямыми средними элеваторами, сделайте репозицию фиксировав отломки губчатыми или стягивающими винтами. Наиболее крупный отломок разверните и репонируйте с помощью стержня Шанца. Фиксируйте Т образной пластиной LCP или пластиной LCP для медиального пилона, предпочтительнее MIPO. Активные движения в г/стопном суставе в раннем п/о периоде.
отделение сочетанной травмы МБУЗ " ГБ 1" г. Махачкала.
|
[
Ответить ]
|
Re: Перелом дистального отдела костей голени
Alexander Chelnokov 23 Июль 2012, 23:58
|
(pdf, 688 Kb)
Вот подробно про сегодняшнее состояние проблемы переломов пилона - обзорная статья "Decisions and Staging Leading to Definitive Open Management of Pilon Fractures: Where Have We Come From and Where Are We Now?" из августовского 2012 г. номера JOT.
|
[
Ответить ]
|
( Ответить )
|
|