AOTRAUMA.ORG Центр Илизарова  

Ортопедия и травматология Общие вопросы/General questions Help Информационные технологии в медицине
 вверх
 отправить
 поиск
 админ
 главная


Hallux rigidus+Hallux valgus: интересно мнение коллег
Ортопедия и травматология Отправлено Алексей Рыкунов 18 Февраль 2013, 12:23
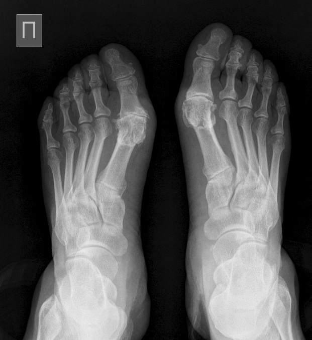
Уважаемые коллеги, интересно Ваше мнение по поводу данной деформации. Пациентку беспокоит боль в обеих стопах, часто по ночам.


<  |  >

 

  • Сообщения о Ортопедия и травматология
  • Также Алексей Рыкунов
  • Связаться с автором
  • Ответить

    Re: Hallux rigidus+Hallux valgus: интересно мнение коллег
    Бережной 19 Февраль 2013, 00:36
    Хоть бы возраст указали. Да и профессию, заодно. Если пожилого возраста полная повариха - так отчего же по ночам стопам не болеть при таком артрозе. Или молодая оффисная работница, добирающаяся до работы из далекого подмосковья в часы пик с пересадками в модельной обуви. А если серьезно - артроз первых плюснефаланговых суставов вполне объясняется врожденной особенностью стоп в виде преобладания длин первых плюсневых. А вот изменения в межфаланговых суставах латеральных пальцев непонятны. Или это полиостоартроз. Тогда опять возраст нужен, снимки кистей. Или полиартропатия. Тогда искать системное воспалительное заболевание.
    [ Ответить ]

    Re: Hallux rigidus+Hallux valgus: интересно мнение коллег
    Алексей Рыкунов 19 Февраль 2013, 16:36
    Возраст 63 года, лишний вес присутствует.Системного заболевания нет. Боль по ночам не основная проблема, я некорректно описал симптомы: боль беспокоит в основном при ходьбе, причем больше слева. Но ночью пациентка временами не может уснуть. Ортопедические стельки носит, но без выраженного эффекта. Вопрос надо ли восстанавливать правильное положение 1го луча на правой стопе или просто сделать артродез? Вопрос ношения обуви на высоком каблуке для нее не стоит. И что бы Вы сделали с левой стопой?
    [ Ответить ]

    • Re: Hallux rigidus+Hallux valgus: интересно мнение коллег
      Отправитель: Всеволод 19 Февраль 2013, 19:36
      Зачем артродез...
      Выполните scarf-остеотомию 1 плюсневых костей с укорочением за счет поперечных пропилов. коррекцию угла PASA. Длина первого луча позволяет укоротить.
      При опиле остеофитов смоделируйте тыл головки для увеличения тыльной флексии 1 пальца. При недостаточной коррекции дополните Aikin-остеотомией основной фаланги 1 пальца. Фиксаторы - винты Барука.

      [ Ответить ]
      • Re: Hallux rigidus+Hallux valgus: интересно мнение коллег
        Отправитель: Pavel Volykov (ЦКБ №1 ОАО РЖД) 20 Февраль 2013, 16:39
        На левой стопе такой вариант возможен, на правой, на мой взгляд, показан артродез.

        [ Ответить ]
    Re: Hallux rigidus+Hallux valgus: интересно мнение коллег
    Бережной Сергей 20 Февраль 2013, 01:48
    Все-таки остается много непонятного. Вы спрашиваете, нужна ли коррекция 1 луча. Но по представленным снимкам невозможно точно судить о величине 1 межплюсневого угла. Хотя, подвывиха сесамовидных нет, значит угол нормальный. В такой ситуации планировать остеотомию scarf - стрелять из пушки по воробьям. Укорочения 1 плюсневой можно добиться и шевронной и Вейль остеотомиями. Намного менее травматично и дешевле (1 винт). Если же речь идет только об отклонении кнаружи 1 пальца, так его можно исправить в любой момент, хоть при выполнении артродеза за счет обработки под нужным углом основания основной фаланги или путем корригирующей остеотомии, если будет избрана другая тактика. Но Вы ведь не описываете что именно болит в стопе. 1 плюснефаланговый? Или есть симптомы центральной метатарсалгии? Или недостаточности 2 луча? Периостальный слой на 2 плюсневой левой стопы значимо толще, чем на 2 плюсневой справа. Это говорит о ее функциональной перегрузке. При этом ее относительная длина также больше слева. Есть ли натоптыш под ее головкой или симптомы нестабильности 2 плюснефалангового сустава? Ведь если боли связаны со 2 лучом, укорочение 1 плюсневой только усугубит ситуацию. Получается, что мы никак не можем объяснить сейчас, почему слева болит больше. И при таких начальных симтомах артроза слева идти на артродез... Может подавать НПВС, сделать блокаду с дексаметазоном, провести курс физиотерапии?
    [ Ответить ]

    Re: Hallux rigidus+Hallux valgus: интересно мнение коллег
    Олег 20 Февраль 2013, 01:54
    Простой вариант,резекция основания основной ф-ги 1п. стоны по Шеде-Брандесу.
    [ Ответить ]

    • Re: Hallux rigidus+Hallux valgus: интересно мнение коллег
      Отправитель: Александр Стаханов 20 Февраль 2013, 20:21
      Думаю будет уместен артродез 1ПФС правой стопы, а на левой либо серьезный релиз сустава с хейлэктомией и укорочением первого луча(скарф, шеврон), но как написал д-р Бережной, только при отсутствии метатарзалгий и натоптышей в области 2-3 лучей. И чисто в теоритическом аспекте хотел спросить коллег по поводу метода Келлера-Брандес. Первый описал резекционную артропластику основной фаланги что-тот около 1905 г в ввиде резекции основания ф-ги. А первая публикация Брандес появилась лет через 20 в виде журнальной статьи и там говорилось о резекции 2/3 основной фаланги, что в настоящее время мало кто делает, но многие пользуются термином "по Брандес" или "Шедэ-Брандес". Так каким все-таки термином пользоваться?

      [ Ответить ]
      • Re: Hallux rigidus+Hallux valgus: интересно мнение коллег
        Отправитель: Бережной Сергей 21 Февраль 2013, 02:37
        Тут дело в традиционно сложившихся терминах. Первым резекционную артропластику описал Davies-Colley в 1887 г. Keller популяризовал эту технику. Первая из его статей (The surgical treatment of bunions and hallux valgus. NY Med J. 80: 741–2) вышла в 1904 г. А в 1929 в немецком журнале вышла статья Брандеса. С тех пор в англоязычной литературе чаще используется термин "операция Келлера", у нас прижилось название Шеде-Брандес. Но есть огромное количество работ, использующих в названии оба имени. Вот совсем недавний пример: P. Reize, J. Schanbacher, N. Wülker. K-wire transfixation or distraction following the Keller-Brandes arthroplasty in Hallux rigidus and Hallux valgus? International Orthopaedics. June 2007; 31(3): 325-331.

        [ Ответить ]
    • Re: Hallux rigidus+Hallux valgus: интересно мнение коллег
      Отправитель: Дмитрий 07 Март 2013, 03:40
      Согласен.

      [ Ответить ]
    Re: Hallux rigidus+Hallux valgus: интересно мнение коллег
    Алексей Рыкунов 20 Февраль 2013, 11:10
    Об артродезе думал, т.к. уж очень выражен артроз и движений в суставе почти нет.
    Кликните для загрузки файла Right foot_side view.jpg
    40KB (41075 bytes)

    [ Ответить ]


    ( Ответить )

    Powered by Zope  Squishdot Powered MedLink
    Посетитель: 0000299
      "По форме правильно, а по существу - издевательство" В.И.Ленин
    ©2001-2019Orthoforum Coordinator.
    [ Главная | Отправить сообщение | Поиск | Админ ]