Ответить
|
Re: НЕСОСТОЯТЕЛЬНЫЙ ОСТЕОСИНТЕЗ ТАЗА
Докторов Алексей 06 Март 2013, 14:00
|
Ситуация типичная. При разрыве и соответственно несостоятельности крестцово-подвздошного сочленения изолированная фиксация лонного сочленения обречена на неудачу. В таких ситуациях целесообразно кроме пластины на лонное сочленение дополнительная фиксация либо таза в АВФ, либо крестцово-подвздошного сочленения винтами.
|
[
Ответить ]
|
Re: НЕСОСТОЯТЕЛЬНЫЙ ОСТЕОСИНТЕЗ ТАЗА
Отправитель: Юрий Булахтин 07 Март 2013, 01:39
|
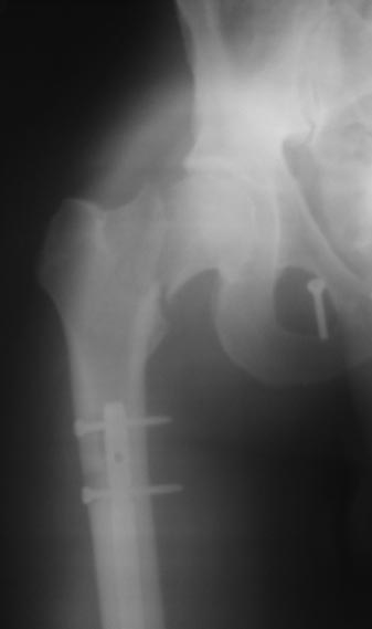
Крестцово-подвздошное фиксировать не стали из-за того, что с момента травмы прошло два месяца. Решили, что "сраслось"...
|
[
Ответить ]
|
|
Re: НЕСОСТОЯТЕЛЬНЫЙ ОСТЕОСИНТЕЗ ТАЗА
Михаил 06 Март 2013, 15:20
|
Почему-то только один снимок загружается (послеоперационный). Есть проекции inlet-outlet, КТ?
|
[
Ответить ]
|
Re: НЕСОСТОЯТЕЛЬНЫЙ ОСТЕОСИНТЕЗ ТАЗА
Отправитель: Юрий Булахтин 07 Март 2013, 01:42
|
inlet-outlet не делались. Выполнять их сейчас - зачем?
КТ в госпитале отсутствует. Делать за деньги в другом учреждении пациент отказался.
|
[
Ответить ]
|
|
Re: НЕСОСТОЯТЕЛЬНЫЙ ОСТЕОСИНТЕЗ ТАЗА
Юрий Булахтин 06 Март 2013, 16:09
|
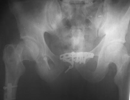
Снимок от 05/03/2013 см. выше.
|
[
Ответить ]
|
Re: НЕСОСТОЯТЕЛЬНЫЙ ОСТЕОСИНТЕЗ ТАЗА
Отправитель: Сергей 06 Март 2013, 21:55
|
Мне кажется, или есть перелом шейки справа? Наверное, кажется. Подобная больная была пару лет назад. Сначала был авф, его сняли зачем то по распоряжению з/о,синтезировали лоно пластиной или двумя, уже не помню. Винты мигрировали на одной пластине без нагрузки даже,еще в постели. Кр.пв.сочленение не синтезировали, смещение было незначительное. Вес больной около 120кг. Мигрировавший винт перфорировал мочевой пузырь. Удалили пластину, наложили скелетное вытяжение на 1,5 месяца. За это время у больной сформировался мочевой свищ. Правда позже заживший.Авф фирмы Synthes в не очень анатомически ровном положении синдесмоза, что через 1,5 мес. было вряд ли возможно. Больная через. 2 месяца выписалась, так самостоятельно и не пошла в стационаре. О судьбе ее не знаю. Это скорее пример как не нужно делать.
|
[
Ответить ]
|
|
Re: НЕСОСТОЯТЕЛЬНЫЙ ОСТЕОСИНТЕЗ ТАЗА
Djoldas Kuldjanov, M.D. 06 Март 2013, 19:24
|
Юрий,
Я бы обратил бы внимание на состояние правого тазобедреннего сустава. Возможно из-за проекции, но проксимальное бедро во внутренней ротации, укорочение и неправильная Шентон линия. Отдельный снимок тазобедреннего сустава или КТ.
|
[
Ответить ]
|
Re: НЕСОСТОЯТЕЛЬНЫЙ ОСТЕОСИНТЕЗ ТАЗА
Алок Бансал 06 Март 2013, 22:23
|
Уважаемый Коллега,
Вы обратили внимание на межвертельный перелом или перелом шейки правой бедренной кости правой бедренной кости, кажется там еще есть укорочение, и смещ. отломков. Я бы обратил на это внимание. Может быть я ощибаюсь . Возможно у Вас есть КТ.
|
[
Ответить ]
|
Re: НЕСОСТОЯТЕЛЬНЫЙ ОСТЕОСИНТЕЗ ТАЗА
Докторов Алексей 07 Март 2013, 00:10
|
Извините Юрий, не очень хорошо видно, а проксимальный отдел правого бедра и седалищная кость слева - не сломаны?
|
[
Ответить ]
|
Re: НЕСОСТОЯТЕЛЬНЫЙ ОСТЕОСИНТЕЗ ТАЗА
Юрий Булахтин 07 Март 2013, 01:48
|
Лонное сочленение планируем фиксировать крюками на стержне с резьбой из набора для ТПФ.
|
[
Ответить ]
|
Re: НЕСОСТОЯТЕЛЬНЫЙ ОСТЕОСИНТЕЗ ТАЗА
Атом Тер-Григорян 07 Март 2013, 02:48
|
Полностью согласен с мнением Докторова Алексея. Скажите, пожалуйста, есть ли у пациента эректильная дисфункция? Урологические проблемы?
|
[
Ответить ]
|
Re: НЕСОСТОЯТЕЛЬНЫЙ ОСТЕОСИНТЕЗ ТАЗА
Отправитель: Юрий Булахтин 08 Март 2013, 02:00
|
Эректильной дисфункции и урологических проблем у пациента нет
|
[
Ответить ]
|
Re: НЕСОСТОЯТЕЛЬНЫЙ ОСТЕОСИНТЕЗ ТАЗА
Отправитель: Атом Тер-Григорян 08 Март 2013, 14:47
|
Спасибо, Юрий. Можно сказать повезло. Иногда, после установки пластины по передней поверхности, наблюдается эректильная дисфункция, когда широко выделяют лобковые кости и отпрепаровывается корень полового члена.
В наше клинике мы бы выполнили одномоментную операцию:
1. Удаление металлофиксаторов.
2. Металлодез симфиза. Одной или двумя пластинами - не принципиально. Скорее всего уложили одну пластину по краниальной поверхности лобковых костей. Минимум 4 винта с каждой стороны. Винты спонгиозные 4,0мм. Ближайшие к симфизу 2 винта - длиной не менее 45мм.
3. Артродез крестцово-подвздошного сочленения передним доступом. Времени прошло много и, вероятнее всего, фиксация сакральными винтами не будет эффективной. (Расшатывали и спустя 3-4 мес.). Если методика трудновыполнима - тогда закрыто два кан. винта 7.0 мм. Чем глубже в крестец - тем лучше.
К тому времени пройдет более 3-х месяцев с момента травмы и, возможно, с проксимальным бедром ничего делать и не понадобиться.
С уважением, Атом Тер-Григорян, Москва, ГКБ №15, 1 травм. отд.
|
[
Ответить ]
|
|
Re: НЕСОСТОЯТЕЛЬНЫЙ ОСТЕОСИНТЕЗ ТАЗА
Andrey Sereda 07 Март 2013, 12:02
|
Юрий Алексеевич, а что там с шейкой бедренной кости?
--
C уважением, Середа Андрей Петрович.
|
[
Ответить ]
|
Re: НЕСОСТОЯТЕЛЬНЫЙ ОСТЕОСИНТЕЗ ТАЗА
В.Ю.Худобин 07 Март 2013, 12:06
|
Здравствуйте Доктор Ю. Булахтин. Для начала слелать КТ таза.
Если не вдаваться в подробности как было надо, то тактика следующая.
Удаление металлоконструкций( один винт мигрировал в нехороше место, так что
надо быть вниательным при его извлечении).Наложение
переднего АВФ для устранения разрыва симфиза. Поворот больного на бок
и ввести 2 винта( под ЭОПОМ или рентгеном -лучше канюлированные) для
стабилизации левого крестцово-подвздошного сустава. Говорю для стабилизации, так как закрыто вправить и тем более компрессировать вряд ли возможно - срок большой, а если делать открыто, то нужно иметь тазовый набор инструментов Матта. Без него и открыто сделать
анатомично - невозможно. После этого можно реостеосинтезировать лоно.
Понимаю, что пластин для симфиза у вас нет, поэтому можно той которую вы наложили по лону переложить на место реконструкционной,т.е спереди.
Мы для надёжности(что бы винты не вырывало с внутренней поверхности (в рециевом пространстве) винты блокируем гайками. При таком варианте рецидива не будет.
Но у вас мне кажется ещё одна проблема. Посмотрите правый
проксимальный отдел бедра. Ощущение, что есть перелом шейки, который из вколоченного превратился в расколоченный(сделайте укладку по
Лауэштейну и всё увидите).
С ув. В.Худобин. Донецк
|
[
Ответить ]
|
Re: НЕСОСТОЯТЕЛЬНЫЙ ОСТЕОСИНТЕЗ ТАЗА
Alexey Semenisty 07 Март 2013, 12:14
|
Это типичное осложнение, причиной которого является пренебрежение фиксации разорванного илеосакрального сочленения. Андрей Середа прав, что-то там с проксимальным отделом правого бедра не все благополучно, похоже есть базальный перелом. Наверно поэтому больной и правую ногу не нагружал? Нагружал левую половину таза с нефиксированным задним повреждением тазового кольца. Осложнение закономерно. Что делать? Реостеосинтез: спереди симфиз пластиной (или опять двумя), сзади илеосакральные винты слева (или с обеих сторон? СТ делали?). И с проксимальным отделом правого бедра разбираться...
|
[
Ответить ]
|
Re: НЕСОСТОЯТЕЛЬНЫЙ ОСТЕОСИНТЕЗ ТАЗА
Отправитель: Булахтин Ю.Ю. 08 Март 2013, 15:16
|
Правую ногу больной не нагружал в связи с открытыми переломами правой бедренной кости в нижней трети, обеих костей правой голени в верхней трети...
|
[
Ответить ]
|
|
Re: НЕСОСТОЯТЕЛЬНЫЙ ОСТЕОСИНТЕЗ ТАЗА
Леонид Пак 07 Март 2013, 19:02
|
Юрий Алексеевич приветствую. Отталкиваясь от снимков от 05.03 могу предположить что имеется не только вырывание винтов с лонной кости справа , но и ятрогенный перелом лонной кости нисходящей и горизонтальной ветви справа . Для уточнения конечно КТ обязательно, может быть функциональные снимки на спине и на боку. Если мое предположение имеет место быть то ресинтез имеющимися пластинами практически невозможен. На сколько расхождение симфиза фиксированое(ригидное) ? Какой диастаз на самом деле имеется на сегодняшний день? Если диастаз большой и деформация фиксированная то одноэтапно устранить думаю будет трудновато, Железяки убирать надо в любом случае, далее аппарат - передняя рама , постепенно устранить расхождение, после устранения - винты сзади в КПС(2 шт) и можно вести в аппарате до сращения или пластину но как говорится от "уха до уха". Как выглядит пациент ? На сколько выражен жировой слой , масса пациента? Эти данные очень важны для принятия решения... И конечно с шейкой бедра тоже надо разобраться
С уважением Леонид Пак
PS Почему Алексей Владимирович Рунков молчит?
|
[
Ответить ]
|
Re: НЕСОСТОЯТЕЛЬНЫЙ ОСТЕОСИНТЕЗ ТАЗА
Отправитель: Булахтин Ю.Ю. 08 Март 2013, 15:20
|
"На сколько расхождение симфиза фиксированое(ригидное) ? Какой диастаз на самом деле имеется на сегодняшний день?" - на эти вопросы до 11.03. ответить не смогу...
Масса пациента - 80 кг, жировой слой выражен слабо.
С уважением, Булахтин Ю.Ю.
|
[
Ответить ]
|
|
Re: НЕСОСТОЯТЕЛЬНЫЙ ОСТЕОСИНТЕЗ ТАЗА
igor 08 Март 2013, 04:08
|
Если нет возможности сделать то, необходимо рентген таза в трех протекции. Вход, выход в таз. Для определения состояния крестцово-повздошного сочленения. А так же поможет выявить смещения передних отделах таза в сагитальной плоскости. Лучше кт, т.к. шейка справа сломана. Также рентген при нагрузке на здоровую ногу. От результата обследования будет определяться тактика дальнейшего обследования и лечения!
|
[
Ответить ]
|
Re: НЕСОСТОЯТЕЛЬНЫЙ ОСТЕОСИНТЕЗ ТАЗА
Отправитель: Булахтин Ю.Ю. 08 Март 2013, 15:23
|
"Также рентген при нагрузке на здоровую ногу." - рентген чего? И как дать нагрузку с учетом того, что пациент - постельный?
С уважением, Юрий Булахтин
|
[
Ответить ]
|
|
Re: НЕСОСТОЯТЕЛЬНЫЙ ОСТЕОСИНТЕЗ ТАЗА
Булахтин Ю.Ю. 08 Март 2013, 15:12
|
Уважаемые коллеги, спасибо за обсуждение.
Практически во всех ответах указывается необходимость в проведении КТ - оно больному не выполнялось и выполнено не будет по организационно-социально-экономическим причинам...
Подозрения по-поводу проблем с проксимальным бедром обусловлены на мой взгляд проекцией, т.к. никаких клинических данных нет. Но не учитывать мнение уважаемых форумчан было бы глупо - снимки сделаем, выложу. К сожалению в связи с "мудрым и дальновидным" решением руководства рентген-лаборант в праздничные и выходные дни дежурит "на дому" и вызывается только при экстренных поступлениях... В общем снимки сделать сможем только 11.03.2013г.
Комментарий уважаемого Докторова Алексея насчет возможного перелома седалищной кости слева - можно ли поподробней? Может выделите на снимке зону вызывающую сомнение. Заранее спасибо.
В связи с предположением уважаемого Леонида Пака
"что имеется не только вырывание винтов с лонной кости справа , но и ятрогенный перелом лонной кости нисходящей и горизонтальной ветви справа" - хотелось бы немного сместить направление дискуссии в сторону тактики лечения и метода фиксации лонного сочленения при вышеуказанных повреждениях...
Всем огромное спсаибо, с уважением Ю.Ю.Булахтин
|
[
Ответить ]
|
Re: НЕСОСТОЯТЕЛЬНЫЙ ОСТЕОСИНТЕЗ ТАЗА
Отправитель: Андрей Волна 08 Март 2013, 21:54
|
Если это - только ПОДОЗРЕНИЕ на перелом проксимального бедра справа, то, интересно, что же должно произойти для констатации очевидного факта. Сразу хотелось бы предостеречь от попыток остеосинтеза винтами. Или штифтом. Закрытая репозиция не получится. Даже если более дистальное бедро фиксировано не очень корректно ( не знаю, снимков нет), попытки остеосинтеза всего на свете одним гвоздиком могут быть провальными. Я бы фиксировал DHS с антиротационным винтом. С тазом работал бы по плану Семенистого. И это, подчеркну, если с правым более дистальным бедром все ОК. А так.... Начать и закончить, как говорится. К сожалению, для этого пациента все только начинается... Трудно избавиться от этого ощущения, трудно.
|
[
Ответить ]
|
|
Re: НЕСОСТОЯТЕЛЬНЫЙ ОСТЕОСИНТЕЗ ТАЗА
Керимов Артур 09 Март 2013, 02:24
|
Всех посетительниц ОРТОФОРУМА с праздником Весны!
Уважаемый Юрий Алексеевич!
Конечно в настоящее время необходимо дообследовать пациента в рекомендованном ВЫШЕ обьеме (КТ и как минимум косые проекции таза). Если есть проблемы с до обследованием и конструкциями для реостеосинтеза и если пациент имеет отношение к "Красной армии", пишите в личку насчет перевода.
С уважением!
Керимов Артур Асланович
ФГКУ "ГВКГ им.Н.Н.Бурденко МО РФ"
|
[
Ответить ]
|
Re: НЕСОСТОЯТЕЛЬНЫЙ ОСТЕОСИНТЕЗ ТАЗА
maxim agalakov 10 Март 2013, 09:27
|
На мой взгляд, никакой стандатной ошибки по нефиксированным задним отделам нет. Во всяком случае, выглядит это как APC II и фиксация сзади избыточна.
Проблема скорее случилась из-за некорректного остеосинтеза передних отделов. Рентгнологически щель лонного сочленения выглядит слишком узкой и сохраялось передне-заднее смещение, скорее всего - не хватило контакта, вот и разъехалось.
На сегодня-дообследовать. Если деформация ротационная- реостеосинтез передних отделов +передняя рама. Но инфы для принятия решения мало
|
[
Ответить ]
|
Re: НЕСОСТОЯТЕЛЬНЫЙ ОСТЕОСИНТЕЗ ТАЗА
Белоногов Александр 10 Март 2013, 19:20
|
Почему все упираются в остеосинтез пластинами а где АВФ по Илизарову и вертикализазации раньше, а зачем подняли больного так рано. что хотел и то и получили, извините за эмоции.
|
[
Ответить ]
|
Re: НЕСОСТОЯТЕЛЬНЫЙ ОСТЕОСИНТЕЗ ТАЗА
Белоногов Александр 10 Март 2013, 19:28
|
Не забываем остеосинтез пластиной неуправляемый! Зачем первично выполнять? Хотите раньше поднять на ноги -АВФ.
|
[
Ответить ]
|
Re: НЕСОСТОЯТЕЛЬНЫЙ ОСТЕОСИНТЕЗ ТАЗА
Отправитель: maxim agalakov 10 Март 2013, 23:58
|
Ну у нас в Е-бурге накоплен некий опыт лечения таких повреждений и авф и пластины-все применяем.
|
[
Ответить ]
|
|
Re: НЕСОСТОЯТЕЛЬНЫЙ ОСТЕОСИНТЕЗ ТАЗА
Литвина 10 Март 2013, 23:07
|
Уважаемые коллеги! Спасибо Артуру Аслановичу и Александру Николаевичу за поздравления! Впечатляет масса различных мнений и советов, особенно ненавязчивые сомнения по поводу "проблемы" правого тазобедренного сустава. Мне тоже "кажется", однако эта проблема, безусловно, называется базальный перелом шейки правого бедра, что подтверждается измененным шеечно-диафизарным углом почти до прямого, нарушением линии Шентона и дуги Адамса. Учитывая время, прошедшее с момента травмы, молодой возраст пациента, нельзя исключить, что уже имеются признаки коснолидации, тогда, увы, будет необходима открытая репозиция с коррекцией смещений и фиксация (согласна с А.А.Волной) DHS.
Но, по-моему, начинать надо с таза. Предлагаю такую последовательность:
1. Р-граммы inlet-outlet
2.На операционном столе больной на спине: мобилизация области лонного сочленения, удаление фиксаторов.
3. Через надацетабулярные области провести два винта Шанца, к ним смонтировать либо дистрактор, либо просто штангу, которые помогут устранить постепенно диастаз в области симфиза.
4. Фиксировать крестцово-подвздошное сочленение слева 2 канюлированными винтами в S1 и 1 винтом в S2
5. Рефиксировать лонное сочленение более длинной пластиной, расположив ее по верхней поверхности, а, при необходимости, может быть и еще одной по передней поверхности.
6. И пусть пациент исключит нагрузку на левую половину таза хотя бы на месяц, а потом - в зависимости от состояния правой нижней конечности.
В любом случае - удачи Вам и пациенту.
|
[
Ответить ]
|
Re: НЕСОСТОЯТЕЛЬНЫЙ ОСТЕОСИНТЕЗ ТАЗА
Юрий Алексеевич Булахтин 11 Март 2013, 12:01
|
Здравствуйте, уважаемые коллеги!
Приношу свои извинения за задержку с ответами на письма - две недели отсутствовал в отделении, не имея доступа к первоисточникам не видел смысла делиться соображениями. На форум, по моему предложению, случай представил младший коллега. Пишу об этом не с целью как-то уменьшить свою ответственность - ОПЕРИРОВАЛ Я, ТАКТИКУ ОПРЕДЕЛЯЛ Я, ПРОКСИМАЛЬНЫЙ ПЕРЕЛОМ ПРОПУСТИЛ Я... Теперь об одном обстоятельстве, которое меня не оправдывает, но может быть полезно в дальнейшей работе. В моей ошибке есть поучительный аспект: больной переведен в отделение 25.12.2013г., без снимков. На основании диагноза в выписке мы сняли таз (рис.1). Думаю, все согласятся, что картина там была, в отношении выявления перелома шейки несколько иная. В дальнейшем наше внимание занимала в первую очередь голень - высокий открытый перелом, массивная рвано-ушибленная рана мягких тканей вокруг бугристи, которая полностью не закрыта и по сегодня. Снимок, выставленный в первом сообщении, как "при поступлении" - от 15.12.2012г., т.е. сделан был при поступлении в ЦРБ. Родственники привезли его позже, мне пытались показать, но я сказал, что он уже не нужен - мы сделали свои. Думаю, что не проигнорировав его, я перелом бы заподозрил, верх переснял, не объяснял-бы себе картину после фиксации симфиза проекционным искажением.
По тазу - изолированный металоостеосинтез лонного сочленения двумя пластинами рассматривался как минимальный объем оперативного пособия, необходимый для активизации пациента в пределах постели. При этом было неверно оценено состояние крестцово-подвздошного сочленения, вывод о достаточной фиксации которого, образовавшимися рубцами, был сделан на основании прошедших двух месяцев с момента травмы, которые пациент находился на постельном режиме, т.к. сам по себе указанный срок сравним с периодом ограничения осевой нагрузки после операции на крестцово-подвздошном сочленении. К сожалению, не отличающийся конструктивностью поведения и эмоционально лабильный на фоне травматической болезни, больной, при первых признаках улучшения самочувствия, в виде отсутствия болевого синдрома при поворотах в кровати, начал неконтролируемую ходьбу на костылях по палате, закончившуюся «вырыванием» фиксатора из правой половины таза 05.03.2013г.
Больше сказать нечего, сейчас пытаемся дообследовать пациента в краевой больнице, дальнейшую ситуацию представлю по получении результатов.
Всем огромное спасибо, прошу извинить за краткость - по отдельным сообщениям отвечу в ближайшее время, т.к. на два ближайших месяца в от
делении будет 1,5 врача на 30 коек.
Отдельная благодарность доктору Керимову - уважаемый Артур Асланович, спасибо, что всегда находите время для обсуждение проблем с нашими пациентами, и за предложение конкретной помощи. К сожалению не знаю Ваш e-mail? мой vertebra@mail.iks.ru
С уважением ко всем,
Юрий Алексеевич Булахтин
Камчатский Военно-морской госпиталь
|
[
Ответить ]
|
Re: НЕСОСТОЯТЕЛЬНЫЙ ОСТЕОСИНТЕЗ ТАЗА
Отправитель: maxim agalakov 12 Март 2013, 05:45
|
Действительно, ситуация несколько прояснилась, повреждение было APC III, необходимо было добавить IS винт. Сейчас: пластина с аппаратом или винтом.
|
[
Ответить ]
|
Re: НЕСОСТОЯТЕЛЬНЫЙ ОСТЕОСИНТЕЗ ТАЗА
Отправитель: Юрий Алексеевич Булахтин 15 Март 2013, 16:03
|
Уважаемые коллеги!

Представляю материалы по больному на сегодня. Сделали 13.03.2013г. снимки.
|
[
Ответить ]
|
Re: НЕСОСТОЯТЕЛЬНЫЙ ОСТЕОСИНТЕЗ ТАЗА
Отправитель: Юрий Алексеевич Булахтин 15 Март 2013, 16:14
|
Голень до операции - верхняя треть голени пострадала больше всего - как мягкие ткани, так и кость. Из-за того, что все, буквально "дышало" пришлось отказаться от предполагавшейся фиксации стержнем и собирать на пластине.
Голень до операции.JPG
44KB (45140 bytes)
|
[
Ответить ]
|
Re: НЕСОСТОЯТЕЛЬНЫЙ ОСТЕОСИНТЕЗ ТАЗА
Отправитель: Юрий Алексеевич Булахтин 15 Март 2013, 16:23
|
Так как пациент от операции на просимальном бедре и рефиксации таза в нашем отделении отказался на КТ не настаивали.
Чтобы закрыть рану на голени, при установке пластины 13.02.2013г., после иссечения участков некроза, использовали медиальный мостовидный лоскут. В последствии часть его также некротизировалась с обнажением пластины.
Остаточная рана на голени.JPG
69KB (71420 bytes)
|
[
Ответить ]
|
Re: НЕСОСТОЯТЕЛЬНЫЙ ОСТЕОСИНТЕЗ ТАЗА
Отправитель: Юрий Алексеевич Булахтин 15 Март 2013, 16:41
|
Пролежень закрыт также. После чего удалены металлоконструкции с таза.
С предложением фиксировать проксимальное бедро DHS согласен, к сожалению теперь уже только теоретически.
Уважаемый Артур Асланович, Владивосток, по приему пациента, энтузиазма не высказал, да и родственники настаивают на Москве, так что, похоже Ваше приглашение оказалось пророческим. Извините за... Всегда стараюсь, до последней возможности, разгребать за собой сам.
С уважением, Юрий Алексеевич Булахтин
Камчатский Военно-морской госпиталь
Кожный лоскут на пролежень.JPG
32KB (33779 bytes)
|
[
Ответить ]
|
|
Re: НЕСОСТОЯТЕЛЬНЫЙ ОСТЕОСИНТЕЗ ТАЗА
Юрий Алексеевич Булахтин 16 Март 2013, 02:40
|
Голень боковой после операции
Голень - боковой 13.03.2013.JPG
46KB (47674 bytes)
|
[
Ответить ]
|
Re: НЕСОСТОЯТЕЛЬНЫЙ ОСТЕОСИНТЕЗ ТАЗА
Керимов Артур 16 Март 2013, 16:53
|
по поводу возможности перевода к нам пишите в личку
kerartur@ya.ru
С уважением!
Керимов Артур Асланович
ФГКУ "ГВКГ им.Н.Н.Бурденко МО РФ"
|
[
Ответить ]
|
Re: НЕСОСТОЯТЕЛЬНЫЙ ОСТЕОСИНТЕЗ ТАЗА
Высоцкий Александр 28 Август 2013, 18:57
|
Какова судьба этого пациента на сегодня?
|
[
Ответить ]
|
( Ответить )
|
|