ВХОД ДЛЯ ПАЦИЕНТОВ
вверх
поиск
админ
главная
исходное
|
Re: Множественная травма нижней конечности
послал Djoldas Kuldjanov, M.D. 09 Апрель 2013, 23:06
|
Очень часто случается, что, выставляя случай на Форум, участник имеет косвенное отношения к больному, и такие разборы после показа первичных снимков теряются из-за отсутствия интереса со стороны лечащих врачей. Если Вы имеете прямое отношение к пациенту, тогда Вам надо добиться стандартного обследования больных по протоколу политравмы!
О доступности обеспечения понятно, но для выработки тактики лечения неординарно-сложных внутрисуставных переломов: шейки, тибиал плато и плеча без КТ будет сложно. А желанием оставить у себя Вы лишаете права на лечение, и кто знает, не окажется ли такое решение катастрофическим для больного.
Для соблюдения интересов больного можно проводить обследования в других учреждениях, и такая тактика очень популярная там, где нет возможности проводить полное обследование. Мы не стесняемся отправлять наших “огромных” больных, которых нельзя втолкнуть в тубус КТ или МРТ, в клиники зоопарка. Надо организовать транспортировку, возможно кто то из родственников подскажет выход...
Пока надо делать снимки в классических укладках, т.е. хотя бы в двух проекциях. А по тактике из всех переломов: шейка является приоритетным и ургентным. Идеально фиксировать канюлированными винтами, но усложняется тем, что имеется перелом верхушки вертела. Навряд ли получится закрыто, надо открывать. Все зависит от возможностей на месте (писали насчет DHS), можно и интрамедуллярный гвоздь, но не надо укорачивать, только пустить overlapping, т.е. пластина от DHS покрывает часть гвоздя.
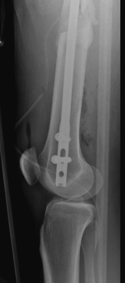
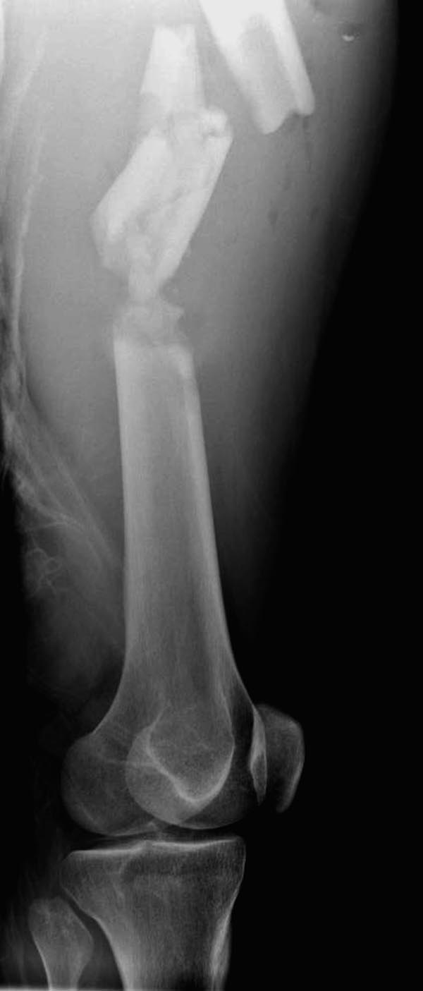
В фиксации тибиал плато надо соблюдать осторожность, потому что по снимку кажется поврежденной только медиальная часть, и медиальные переломы имеют тенденцию вовлечения задней поверхности плато. Боковой снимок покажет, куда идет линия перелома, а также покажет состояние перелома надколенника. Фиксировать надо buttress-опорной пластиной иначе винты не удержат варусный коллапс. В зависимости от вовлечения разгибательного механизма фиксация надколенника.
Проксимальный перелом плеча надо выяснить, состоит из скольких частей? Если из трех, тогда фиксировать пластиной, или если из 4х фрагментов тогда остеонекроз головки обеспечен, можно оставить в косынке. Со временем будет видно, иногда на остатке костного остова получается неплохой результат...
Наша тактика, независимо от времени поступления, ургентная фиксация шейки бедра, через пару дней фиксация бедра дистальной пластиной и надколенника. Затем фиксация плеча.

Здесь выставлен ренгенограммы больного, ему 21, травму получил в результате высокоскоростной погони на украденной машине, которая закончилась смертью трех остальных “боевых комрадов”. Начатую коллегой открытую операцию на шейке пришлось закончить мне, установкой винтов и ретроградной фиксацией бедра. Выписка в обычное сроки и наблюдался амбулаторно. Каждый раз напоминали о возможности осложнений ввиде несращения! По истечению 4 месяцев появились признаки варусной деформации. На СТ срезах несращение шейки и бедра. Риминг, замена на более толстый гвоздь и вальгусная остеотомия.
Надеюсь результаты ваших операции увидим в следующих постах...
|
| Послать ответ |
Обратите внимание: Поля с жирными названиями обязательны.
Старайтесь отвечать в рамках обсуждаемой темы, а не начинать новые обсуждения.
Указывайте адекватную тему сообщения, чтобы было ясно, о чем оно.
Не послайте сообщений не по теме (оффтопик), раздраженных, грубых или обидных комментариев. Здесь это неуместно.
|