Ответить
|
Re: Множественная травма нижней конечности
Alexander Chelnokov 02 Апрель 2013, 00:03
|
Доступно в принципе все, ЭОП отсутствует как данность (((.
Это сильно затрудняет дело.
А где все происходит? Перевести пациента в учреждение, где в операционной есть С-дуга, нереально?
Порядок видится таким. Короткий гвоздь или DHS в проксимальный отдел бедра, тут же spanning аппарат бедро-голень по передней поверхности. После КТ колена и плеча, ждем спадения отека и смотрим на рану. Между делом чиним проксимальное плечо - открытый остеосинтез пластиной или проксимальным гвоздем. После остеосинтез проксимального отдела большеберцовой после подъема импрессии, ретроградный синтез бедра. Ну и надколенника (не разглядел, что с ним.)
|
[
Ответить ]
|
Re: Множественная травма нижней конечности
Отправитель: Антон Лебединец 02 Апрель 2013, 01:06
|
Уважаемый Александр Николаевич, спасибо за рекомендации. По поводу перевода, я думаю, вряд ли. Смущает возможный конфликт DHS и ИМ-стержня (если этого избегать - не окажется ли последний слишком коротким (смущает протяженность зоны осколков). А так, тактика, предложенная вами, мне кажется достаточно оптимальной. Интересно, будут ли другие варианты?
|
[
Ответить ]
|
|
Re: Множественная травма нижней конечности
Алексей Гринь 02 Апрель 2013, 18:01
|
Здравствуйте Антон.
Мне кажется КТ можно выполнить и на скелетном вытяжении.
После, я вначале (используя ортопедический стол) выполнил бы остеосинтез проксимального бедра DHS с фиксацией вертела,после дистальное бедро гвоздем, конфликта гвоздя с DHS можно не опасаться если выбрать для DHS короткую пластину (длины диафиза достаточно и для пластины и для гвоздя).
После (по результатам КТ) остеосинтез голени пластиной с угловой стабильностью, после остеосинтез надколенника.
Для остеосинтеза плеча мне кажется целесообразно выделить отдельную операционную бригаду, т.к. неизвестно сколько времени Вы будете синтезировать бедро без ЭОПа. Для плеча так же пластина с угловой стабильностью.
С уважением Алексей Гринь.
|
[
Ответить ]
|
Re: Множественная травма нижней конечности
Максим 02 Апрель 2013, 18:04
|
Алексей, DHS при переломах шейки бедра не показан, да и хлопотен он в перспективе, шейка канюлированные винты с хорошей репозицией и межотломковой компрессией - перевести перелом во вколоченный. на бедре опорная мыщелковая пластина с у/с, без разрушения гематом и ... места перелома, для проф-ки остеомиелита, если есть сомнения обложите шариками из цемента с ванкомицином - 3 года активности аб в цементе, на плечо филос. голень без затей винты.в перспективе возможен протез т/бедренного сустава, независимо от выбора метода синтеза, после DHS быстрей.
|
[
Ответить ]
|
Re: Множественная травма нижней конечности
Отправитель: Евгений 04 Апрель 2013, 01:04
|
Максим,почему DHS не показан?
В представленном случае это оптимальный вариант.
|
[
Ответить ]
|
|
Re: Множественная травма нижней конечности
Afanasyev Oleg 03 Апрель 2013, 02:18
|
Добрый вечер.С такой высокоэнергетической травмой мягкие ткани размозжены,дополнительно снимки на вытяжении и стабилизация перелома бедра с к/суст. в АВФ.Открыто оперировать через 2-3 дня в разгар травматической болезни? Подойдите к больному клинически,а технически МОС шейки плеча, ретроградно БИОС бедра,ревизия к/сустава с востановлением плато Б/б кости,МОС надколенника.Латеральный п-м шейки бедра DHS.Успехов!
|
[
Ответить ]
|
Re: Множественная травма нижней конечности
Евгений 04 Апрель 2013, 02:14
|
Антон, как Вы планирует последовательность вмешательств?
Одномоментно синтезировать все переломы это слишком травматично и долго. Мы бы пошли 2 бригадами - 1 я - DHS проксимальное бедро, 2я - пластина проксимальное плечо, и после завершения - дистракционный аппарат бедро-голень. Окончательная фиксация переломов дистального бедра и проксимальной голени по истечении не менее 2 недель от момента травмы.
|
[
Ответить ]
|
Re: Множественная травма нижней конечности
maxim agalakov 04 Апрель 2013, 20:09
|
Если у вас нету тети, то..
Если у вас нет ЭОПа, примерный вариант следующий (на мой взгляд.
Frame, DHS, plating( как умеете, малоинвазивно без ЭОПа сложно) - для ноги.
Можно и плечо попробовать второй бригадой в одну сессию, если вы очень опытный хирург в этой локализации - пластиной (но, операция сама по себе очень сложная, скорее всего потребуется пластика). Думаю, что это буде долго.
Можно попробовать "запинить" шейку плеча, чтоб не расклинилась (лучше использовать спицы 2,5 мм с резьбой, можно "поиграть" джойстиком). Если получится - можно к плечу вернуться позже. Если не получится по срокам - проблемы с плечом будут, но боли не будет.
Как вариант, на дистальное бедро и голень - АВФ, только поизящнее,спице-стержневые, чтоб движениям не мешали.
В этом случае всегда будет возможность конверсии и подумать.
|
[
Ответить ]
|
Re: Множественная травма нижней конечности
Djoldas Kuldjanov, M.D. 09 Апрель 2013, 23:06
|
Очень часто случается, что, выставляя случай на Форум, участник имеет косвенное отношения к больному, и такие разборы после показа первичных снимков теряются из-за отсутствия интереса со стороны лечащих врачей. Если Вы имеете прямое отношение к пациенту, тогда Вам надо добиться стандартного обследования больных по протоколу политравмы!
О доступности обеспечения понятно, но для выработки тактики лечения неординарно-сложных внутрисуставных переломов: шейки, тибиал плато и плеча без КТ будет сложно. А желанием оставить у себя Вы лишаете права на лечение, и кто знает, не окажется ли такое решение катастрофическим для больного.
Для соблюдения интересов больного можно проводить обследования в других учреждениях, и такая тактика очень популярная там, где нет возможности проводить полное обследование. Мы не стесняемся отправлять наших “огромных” больных, которых нельзя втолкнуть в тубус КТ или МРТ, в клиники зоопарка. Надо организовать транспортировку, возможно кто то из родственников подскажет выход...
Пока надо делать снимки в классических укладках, т.е. хотя бы в двух проекциях. А по тактике из всех переломов: шейка является приоритетным и ургентным. Идеально фиксировать канюлированными винтами, но усложняется тем, что имеется перелом верхушки вертела. Навряд ли получится закрыто, надо открывать. Все зависит от возможностей на месте (писали насчет DHS), можно и интрамедуллярный гвоздь, но не надо укорачивать, только пустить overlapping, т.е. пластина от DHS покрывает часть гвоздя.
В фиксации тибиал плато надо соблюдать осторожность, потому что по снимку кажется поврежденной только медиальная часть, и медиальные переломы имеют тенденцию вовлечения задней поверхности плато. Боковой снимок покажет, куда идет линия перелома, а также покажет состояние перелома надколенника. Фиксировать надо buttress-опорной пластиной иначе винты не удержат варусный коллапс. В зависимости от вовлечения разгибательного механизма фиксация надколенника.
Проксимальный перелом плеча надо выяснить, состоит из скольких частей? Если из трех, тогда фиксировать пластиной, или если из 4х фрагментов тогда остеонекроз головки обеспечен, можно оставить в косынке. Со временем будет видно, иногда на остатке костного остова получается неплохой результат...
Наша тактика, независимо от времени поступления, ургентная фиксация шейки бедра, через пару дней фиксация бедра дистальной пластиной и надколенника. Затем фиксация плеча.

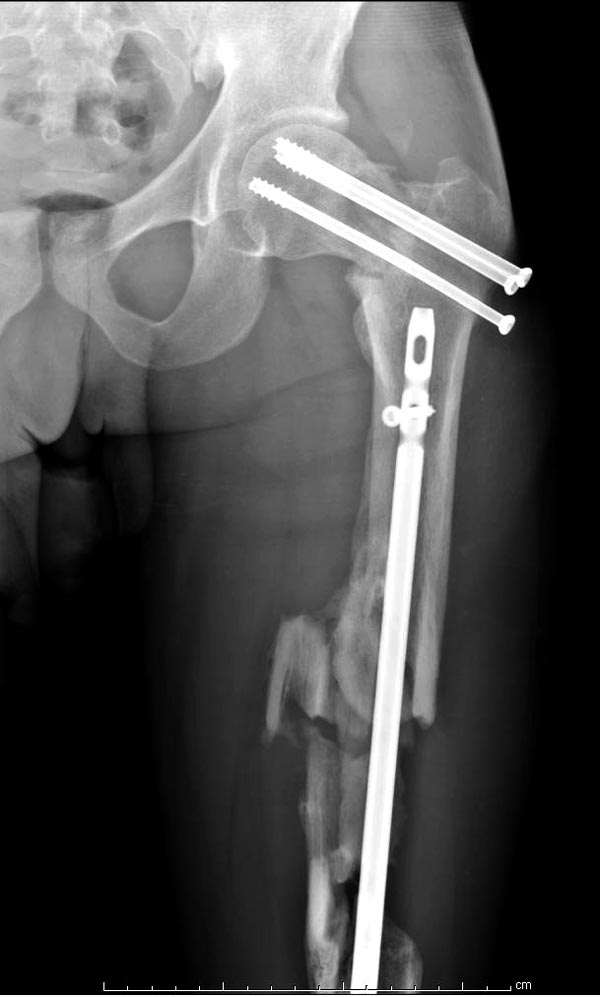
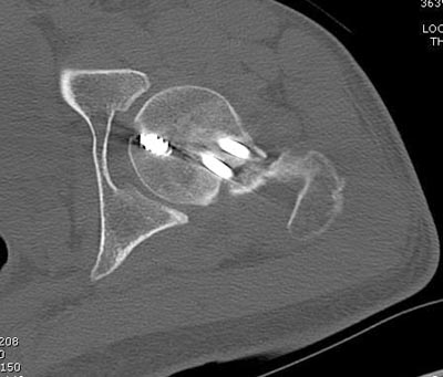
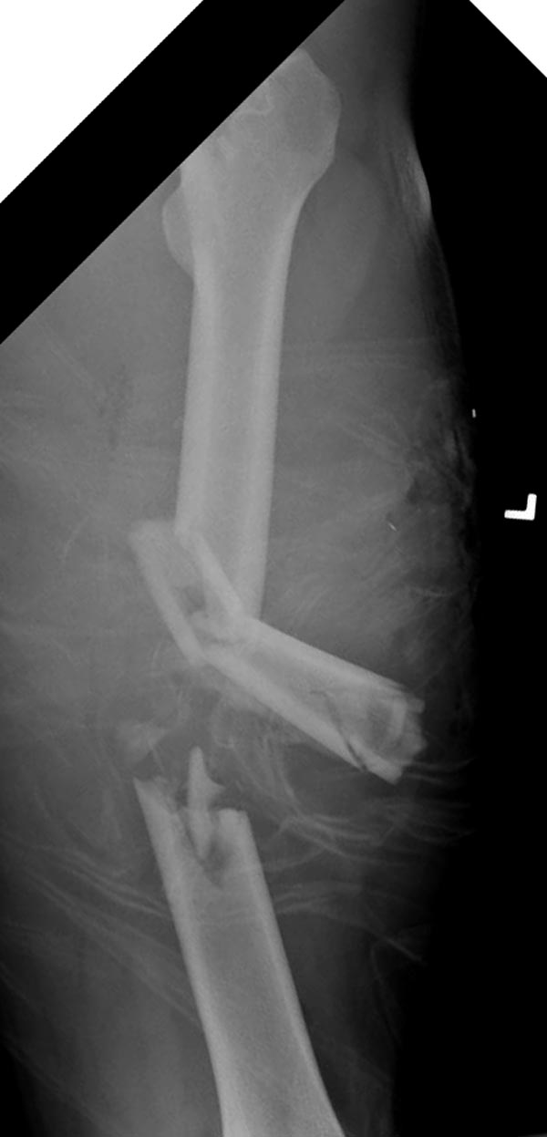
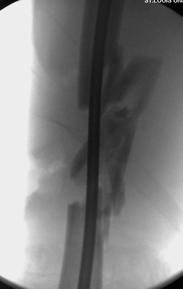
Здесь выставлен ренгенограммы больного, ему 21, травму получил в результате высокоскоростной погони на украденной машине, которая закончилась смертью трех остальных “боевых комрадов”. Начатую коллегой открытую операцию на шейке пришлось закончить мне, установкой винтов и ретроградной фиксацией бедра. Выписка в обычное сроки и наблюдался амбулаторно. Каждый раз напоминали о возможности осложнений ввиде несращения! По истечению 4 месяцев появились признаки варусной деформации. На СТ срезах несращение шейки и бедра. Риминг, замена на более толстый гвоздь и вальгусная остеотомия.
Надеюсь результаты ваших операции увидим в следующих постах...
|
[
Ответить ]
|
Re: Множественная травма нижней конечности
Отправитель: Антон Лебединец 10 Апрель 2013, 12:00
|
Уважаемый Джолдас! Спасибо за ваши ,как всегда, академичные рекомендации.
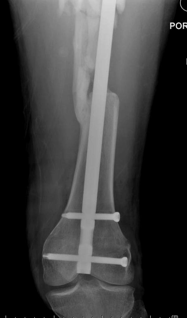
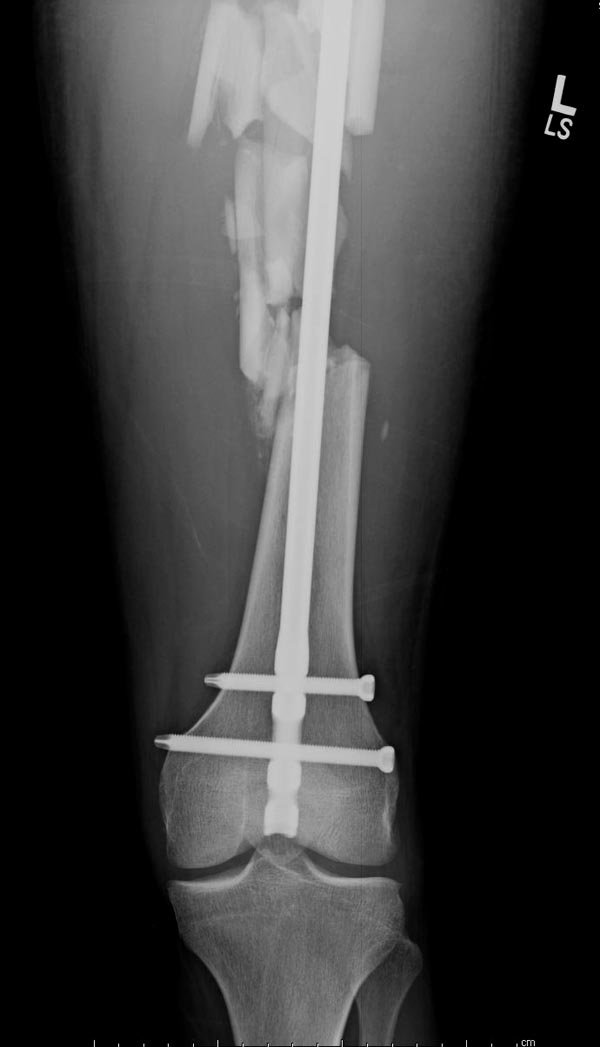
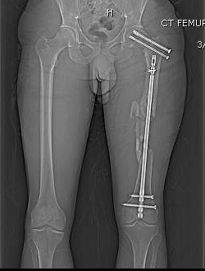
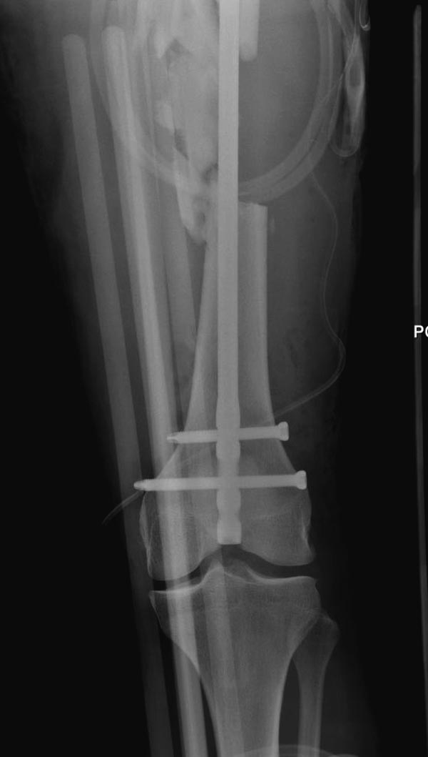
Сразу скажу, что пациент вчера (8.04) прооперирован - артротомия, остеосинтез мыщелков большеберцовой кости канюлированными винтами, открытая репозиция отломков бедренной кости, ретроградный БИОС, остеосинтез надколенника (центральных его отломков) спицами с проволочной петлей. Двухкратная попытка закрытой репозиции шейки на операционном столе после синтеза бедра - абсолютно неэффективна. Учитывая продолжительность и травматичность операции, шейка отложена на 2-й этап. Плечо наверное на 3-й (если вообще делать). Снимки постараюсь предоставить, но чуть позже.
По некоторым моментам вашего поста:
...разборы после показа первичных
снимков теряются из-за отсутствия интереса со стороны лечащих врачей...
Ни в коем случае )) - пациент действительно с довольно редкой травмой и интерес к его лечению не угасает.
... надо добиться стандартного обследования больных по протоколу политравмы!
С удовольствием, но сделать это достаточно сложно из-за непонимания администрации и коллег-хирургов...
...без КТ будет сложно...
КТ тазобедренного и коленного суставов сделали - картина удручающая, постараюсь выложить.
...А желанием оставить у себя Вы лишаете права
на лечение, и кто знает, не окажется ли такое решение катастрофическим для больного...
Да мы не сильно "горели желанием" курировать столь проблемного (хотя и интересного) пациента, тем более он порывался практически на следующий день перевестись в другое ЛПУ, но затем решил продолжить лечение в нашей больнице.
... А по тактике из всех переломов: шейка является приоритетным и ургентным...
В принципе согласен с вами, но мы в отделении на разборе решили придерживаться вышеизложенной тактики.
...Навряд ли получится закрыто, надо открывать....
Я думаю, так и будет. Но какие в этом случае останутся шансы на сращение? ((
Еще раз повторюсь - пациент интересный и лечение его еще не завершено. П/о Р-граммы выложу, о дальнейшей судьбе обязуюсь держать уважаемое сообщество в курсе.
И вопрос по представленному вами случаю - перелом шейки вроде как латеральный, почему остеосинтез винтами? Несращение и варус - закономерный результат?
С уважением А. В. Л.
|
[
Ответить ]
|
|
( Ответить )
|
|