AOTRAUMA.ORG Центр Илизарова  

Ортопедия и травматология Общие вопросы/General questions Help Информационные технологии в медицине
 вверх
 отправить
 поиск
 админ
 главная


Остеомиелит бедренной кости?
Ортопедия и травматология Отправлено Иван 19 Июль 2013, 00:21
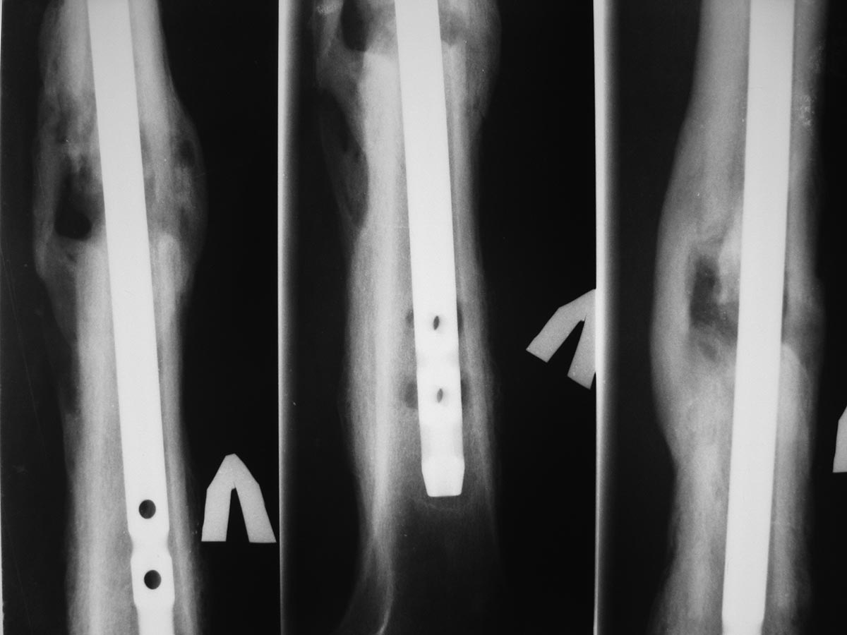
Уважаемые коллеги, представляют на обсуждение клинический случай!Пациент 26 лет, около года назад получил травму в результате ДТП. По поводу перелома диафиза бедренной кости выполнялся БИОС.
Заживление ран в области дистальных блокирующих винтов происходило вторичным натяжением, однако, в ходе местного лечения раны зажили.
Спустя 4-5 мес. пациент обратился с болями в нижней трети бедра (проекция дистальных блок. винтов). При RG выявлена их миграция, выполнено их удаление.
Спустя еще 4-5 мес обратился с жалобами на припухлость в области дистального блокирования. В поликлинике сделали снимки и, с подозрением на остеомиелит, оправили в стационар.
Сегодня: местно - без признаков инфекции. В области дистального блокирования припухлость плотно-эластичной консистенции. При пункции получить ничего не удалось. Лейкоциты 6,0; СОЭ - 22. СРБ-18. Температура в вечерние часы 37-37,2
Снимки представлены.
Какова дальнейшая тактика?
1. ничего не делать
2. Удалить стержень + приливно-отливное дренирование.
3. Удалить стержень +_ АБ спейсеры или АБ стержень
4. Удалить стержень + приливно-отливное дренирование, а затем Цементные АБ импланты.

<  |  >

 

  • Сообщения о Ортопедия и травматология
  • Также Иван
  • Связаться с автором
  • Ответить

    Re: Остеомиелит бедренной кости?
    Дедок Михаил 26 Июль 2013, 00:57
    Перелом сросся.
    Удалить стержень, аккуратно рассверлить канал и спейсер. Через 2 месяца его удалить и забыть. После удаления дозированная нагрузка с костылями месяца на 2.
    [ Ответить ]


    ( Ответить )

    Powered by Zope  Squishdot Powered MedLink
    Посетитель: 0392416
      "По форме правильно, а по существу - издевательство" В.И.Ленин
    ©2001-2019Orthoforum Coordinator.
    [ Главная | Отправить сообщение | Поиск | Админ ]