Ответить
|
Re: перелом голени
Alexander Chelnokov 17 Ноябрь 2013, 16:14
|
Повторюсь еще раз: в данном случае показания явно перевешивают в пользу ЗЧКО.
Коллега, будьте терпимее к чужому мнению, от этого мы все только выиграем ;-)
В случае подобного перелома возможности любого современного хирургического подхода позволят достичь желаемой конечной точки в виде сращения с правильной длиной и осью, с хорошим функциональным восстановлением.
Внутренняя фиксация позволит только сократить путь до этой самой конечной точки. Закрытое штифтование - это тот же самый аппарат, только внутри, извините за банальность. И операция длится недолго, и уезжают домой хоть на следующий день, и когда там оно рентгенологически срастется - куда меньше забот, чем с аппаратом.
И метод Илизарова вовсе не в плачевном состоянии, любой конгресс ASAMI показывает и большое количество увлеченных ортопедов, и постоянное развитие и совершенствование метода.
Насчет "недавно у нас лечилась пациентка" - и у нас, и у вас, и у них всяких таких историй множество. Действительно, есть больные, которые в силу невежества метод Илизарова воспринимают как с неадекватным энтузиазмом, так и с категорическим отрицанием.
Безусловно, центр Илизарова - это один из немногих узнаваемых даже для обывателей брэндов отечественной медицины. Про современные хирургические технологии в травматологии и ортопедии население в массе своей знать не знает. Хотя благодаря Интернету некоторые быстро ориентируются в ситуации.

Насчет косметичности именно внешней фиксации в сравнении с малоинвазивной внутренней - вот примерчик. Первое фото после снятия аппарата перед штифтованием, а воторая картинка через год после штифтования. Поглядите, от чего осталось больше следов.
|
[
Ответить ]
|
Re: перелом голени
Отправитель: maxim agalakov 17 Ноябрь 2013, 18:07
|
Косметический эффект от аппарата всегда у меня вызывал большие сомнения. В местах введения спиц почти всегда остаются рубчики с гиперпигментацией. В принципе, даже остеосинтез мостовидной пластиной будет иметь лучший косметический эффект при малоинвазивной технике.
На счет сроков, тоже большой вопрос, часто пациенты в таком возрасте с подобными переломами приходят к нам на плановую динамизацию через 2 мес, а динамизировать уже нечего. На счет плеча, функциональное лечение по Сармиенто обеспечивает в стандартных случаях сращение за 4-5 нед, надо ли оперировать?
Комфорт для пациента, молодой девушке спать с аппаратом, 60 дней будет более комфортно, чем без всяких железяк. А еще надо ходить в травмпункт, продлевать больничный.
Квалификация хирурга, штифтование - довольно технологично. Уверен, что у нас в отделении подобный перелом с большой вероятностью заштифтует любой травматолог, а вот на счет аппарата - не уверен.
Перелом, который оперировать можно чем угодно, важнее - чем владеешь лучше.
Можно и по Сармиенто функционально, повреждение - низкоэнергетическое +, возраст +, не курит +.Где будет лучше косметический эффект, если на него упирать?:)
|
[
Ответить ]
|
Re: перелом голени
Отправитель: Leonid Solomin 18 Ноябрь 2013, 08:58
|
Уважаемаые коллеги!
... и мы, помницца, спорили о чем-то подобном. Может быть это дополнение к "показаниям и противопоказаниям" и Вам чем-либо будет полезным?:
"...Нередко абсолютные показания для применения чрескостного остеосинтеза отсутствуют, т.е. имеется обоснованный выбор между внутренней и внешней фиксацией. В подобных случаях чрескостный остеосинтез должен применяться, когда в конкретных условиях клиники он обеспечит результат лечения лучше (по крайней мере, не хуже), чем при применении внутренней фиксации, а угроза тяжелых осложнений ниже.
Среди "конкретных условий клиники" в первую очередь должны учитываться опыт и умение применения внешней фиксации, оснащение, условия для ведения послеоперационного периода."
С уважением,
ЛС
|
[
Ответить ]
|
Re: перелом голени
Отправитель: Мацукатов Феодор 24 Ноябрь 2013, 19:54
|
"Закрытое штифтование - это тот же самый аппарат, только внутри"
Извините, но это абсолютно разные методы. Хотя бы только потому, что один нацелен на получение вторичного сращения, а второй - первичного. Не говоря о куче других существенных различий.
"конгресс ASAMI показывает и большое количество увлеченных ортопедов, и постоянное развитие и совершенствование метода"
Спасибо за лесть. Только вот полярность Ваших высказываний о методе чрескостного остеосинтеза не перестает удивлять.
"Первое фото после снятия аппарата перед штифтованием"
А что, Вы ожидали, что рубцы исчезнут на следующий день после снятия аппарата? Да, при длительном "ношении" аппарата или дистракционном остеосинтезе они имеют место, но я могу Вам предъявить сотни фотографий больных, у которых через четыре месяца после снятия аппарата они полностью исчезают. Так бывает при коротких сроках фиксации.
А насчет того, что у господина Понсетти плечи срастаются за 4-5 недель стоит только удивляться, почему нобелевский комитет не заинтересовался данным фактом. Рядом серьезных исследований доказано, что минимальные, генетически детерминированные, сроки сращения непрямой травмы у взрослых лежат в пределах 30-40 дней. Достичь их любыми, даже самыми функциональными, гипсовыми повязками, невозможно. Недавно проводил клиническую пробу пациенту на 30 сутки фиксации. Аммортизация полностью отсутствовала, но снять аппарат побоялся, потому что у нас еще недостаточно знаний о тактике дальнейшего ведения таких больных. К указанномым пределам может приблизиться только ЗЧКО. И здесь "неадекватный энтузиазм" ни при чем. Чистая наука. Мы уже вплотную приблизились к этому рубежу. На этом фоне говорить о качестве жизни, неудобстве и т.п. попросту несостоятельно. Сроки лечения и качество достигаемых результатов с лихвой перекрывают эти несущественные, но гипертрофированные в устах некоторых, неудобства.
Ничего личного!
|
[
Ответить ]
|
Re: перелом голени
Отправитель: Alexander Chelnokov 24 Ноябрь 2013, 22:37
|
Хотя бы только потому, что один нацелен на получение вторичного сращения, а второй - первичного.
Ну, и про первичное сращение уже поняли, что не стоит к нему стремиться. Так что даже хорошо, что аппараты в реальной практике обеспечивают все-таки относительную стабильность, не абсолютную.
Спасибо за лесть. Только вот полярность Ваших высказываний о методе чрескостного остеосинтеза не перестает удивлять.
Да какая лесть, о чем Вы, чистая констатация. Никакой полярности в моих высказываниях про чрескостный остеосинтез не припомню. Для плавного управления положением отломков чрескостный остеосинтез предоставляет наибольшие возможности. И для временной быстрой малоинвазивной фиксации при политравме монолатеральные фиксаторы - лучшее, что есть.
А вот для окончательной фиксации наружный фиксатор - непрактичен, неудобен, мешает движениям, требует наблюдения, да и снять страшно - вдруг чего произойдет при нагрузке. Все это очевидные всем обстоятельства.
Насчет сроков сращения. Сращение - это субъективное суждение (достаточно опытного) врача, что кость уже способна выдержать нормальные для этого пациента нагрузки. То есть при современной малоинвазивной фиксации это состояние возникает немедленно после операции ("хирургическое сращение"). И если фиксатор внутри, то неважно, когда там будет рентгенологическое сращение (а иногда неважно даже не то что когда, а и будет ли оно вообще) - фиксатор снимать не надо, штаны надевать не мешает.
Какие методы обеспечивают оптимальные сроки лечения и качество достигаемых результатов при диафизарных переломах костей нижних конечностей - полагаю, все современные ортопеды в курсе, в том числе и мы с Вами.
|
[
Ответить ]
|
Re: перелом голени
Отправитель: Мацукатов Феодор 25 Ноябрь 2013, 20:55
|
"Ну, и про первичное сращение уже поняли, что не стоит к нему стремиться"
Кто это понял? Первичное сращение - эталон сращения, что для мягких тканей, что для костей. Это аксиома. Не может же природа сделать исключение для последних. В этом вопросе жирная точка поставлена еще в 60-е годы прошлого века. Это фундаментальные работы Краснова, Флоренского, Виноградовой, Лаврищевой,Стецулы, Friedenberg, Ford, Key, Decolux, Razemon и, конечно же, Г.А.Илизарова. В последние годы имеют место неуклюжие попытки пересмотреть данное положение. Это абсолютно несостоятельные и ненаучные потуги, извиняюсь за жесткий тон. Единственный предъявляемый аргумент - непрочность первичного сращения. Однако смотря в каких условиях оно достигнуто. Если в условиях абсолютной или близкой к ней стабильности, например. при накостном остеосинтезе, то оно однозначно непрочное и по сути первичным не является. Это как консолидация в условиях невесомости с образованием остеоподобной, бесструктурной спайки. Кстати, эта проблема хорошо освещена в работах S.Perren. При чрескостном остеосинтезе контактный регенерат формируется в условиях гравитационного напряжения вследствие прогиба спиц и постепенного снижения жесткости фиксации. Это структурно правильно ориентированный и прочный регенерат, т.е. истинное первичное сращение. В этом году у меня не было ни одной рефрактуры. Даже умеренно выраженная периостальная реакция для меня является неудачей, поскольку она является объективным признаком нестабильной фиксации. А так клинико-рентгенологические признаки первичного сращения с полным отсутствием периостальной реакции получаются у каждого 6 пациента. Однако о первичном сращении можно говорить только по результатам морфологического исследования. Отсюда следует, что оно является крайне редким явлением. Не всякое интермедиарное сращение можно расценивать как первичное. Очень интересные работы по данному вопросу у Баскевича.

Вот типичный пример консолидации с минимальной периостальной реакцией.
|
[
Ответить ]
|
Re: перелом голени
Отправитель: Alexey Semenisty 27 Ноябрь 2013, 01:34
|
Кто это понял? Первичное сращение - эталон сращения, что для мягких
тканей, что для костей. Это аксиома. Не может же природа сделать
исключение для последних.
Феодор, скорее, первичное костное сращение диафизарного перелома противоестественно, а не эталон. Кроме того, заживление перелома качественно отличается от заживления мягких тканей. Даже когда мы говорим о первичном заживлении мягких тканей (кожа, фасции, мышцы, сухожилия..) мы понимаем, что все равно между двумя участками неповрежденной ткани есть соединительно тканный рубец, т.е. другая ткань. Рубец между костными отломками способен полностью ремоделироваться, т.е. полностью перестроится и принять структуру кости. И никакого соединительно-тканного рубца не остается. Для этого нужны биологические и механические условия: сохранение питания и достаточная, относительная стабильность. При истинно первичном сращении нет промежуточных стадий регенерации, сразу прямое ремоделирование. И это возможно только в условиях анатомичнной репозиции и межфрагментарной компрессии - абсоллютной стабильности и, естественно, сохраненного кровоснабжения. Ремоделирование процесс не быстрый, и длится месяцами, в том числе и при так называемом первичном сращении.
прогиба спиц и постепенного снижения жесткости фиксации. Это структурно
правильно ориентированный и прочный регенерат, т.е. истинное первичное
сращение.
Феодор, мы разговариваем на разных языках((.
клинико-рентгенологические признаки первичного сращения с полным
отсутствием периостальной реакции получаются у каждого 6 пациента.
В понимании биологии костного сращения Вы сейчас находитесь на стадии развития АО 60-70-годов.
Однако о первичном сращении можно говорить только по результатам
морфологического исследования. Отсюда следует, что оно является крайне
редким явлением. Не всякое интермедиарное сращение можно расценивать как
первичное.
Когда Вы говорите о первичном костном сращении у ваших пациентов через 50-60 дней, Вы утверждаете это по данным морфологических исследований, или это Вам так кажется, что оно первичное?
С уважением, А.Семенистый.
ГКБ № 13, Москва.
|
[
Ответить ]
|
Re: перелом голени
Отправитель: Мацукатов Феодор 27 Ноябрь 2013, 19:12
|
"Феодор, мы разговариваем на разных языках"
Это правда.
"В понимании биологии костного сращения Вы сейчас находитесь на стадии развития АО 60-70-годов"
Это тоже правда, только не АО, а принципов Илизарова. Они были сформулированы именно в те годы. Это: атравматичная и точная репозиция, управляемая стабильность и ранняя функция поврежденной конечности. Идеальные принципы, всеми это признается. Их правильность подтверждена не в таких бесплодных дискуссиях, как эта, а на огромном экспериментальном и клиническом материале. Они пока что не нуждаются в "эволюции". Тот, кто следует их букве и духу, добивается феноменальных результатов.
Извиняюсь, на этом я остановлюсь. С уважением ко всем и ничего личного.
|
[
Ответить ]
|
Re: перелом голени
Отправитель: Maxim Agalakov 27 Ноябрь 2013, 10:07
|
отличный случай для лечения по Сармиенто
|
[
Ответить ]
|
Re: перелом голени
Отправитель: Мацукатов Феодор 25 Ноябрь 2013, 21:09
|

Фото в аппарате. За редким исключением диафизарные переломы плеча фиксирую двумя опорами. Предельно функционально. Пациенты на второй неделе по моей рекомендации широко пользуются конечностью в быту - убираются, готовят, моют посуду...
|
[
Ответить ]
|
Re: перелом голени
Отправитель: Мацукатов Феодор 25 Ноябрь 2013, 21:12
|

Фото через 3 месяца после снятия аппарата
|
[
Ответить ]
|
Re: перелом голени
Отправитель: Alexey Semenisty 25 Ноябрь 2013, 18:53
|
Извините, но это абсолютно разные методы. Хотя бы только потому, что
один нацелен на получение вторичного сращения, а второй - первичного. Не
говоря о куче других существенных различий.
Уважаемый Феодор, значит ли это, что у всех (или хотя бы у большинства) ваших пациентов вы достигаете методои ЧКДО первичного костного сращения диафизарных переломов, в том числе средне- и высокоэнергетических?
А насчет того, что у господина Понсетти плечи срастаются за 4-5 недель
стоит только удивляться, почему нобелевский комитет не заинтересовался
данным фактом. Рядом серьезных исследований доказано, что минимальные,
генетически детерминированные, сроки сращения непрямой травмы у взрослых
лежат в пределах 30-40 дней. Достичь их любыми, даже самыми
функциональными, гипсовыми повязками, невозможно.
Странно, у нас консервативно тоже примерно в такие сроки происходит заживление переломов плечевых костей, функционально достаточного.
--
С уважением, А.Семенистый.
ГКБ № 13, Москва.
|
[
Ответить ]
|
Re: перелом голени
Отправитель: Maxim Agalakov 27 Ноябрь 2013, 10:14
|
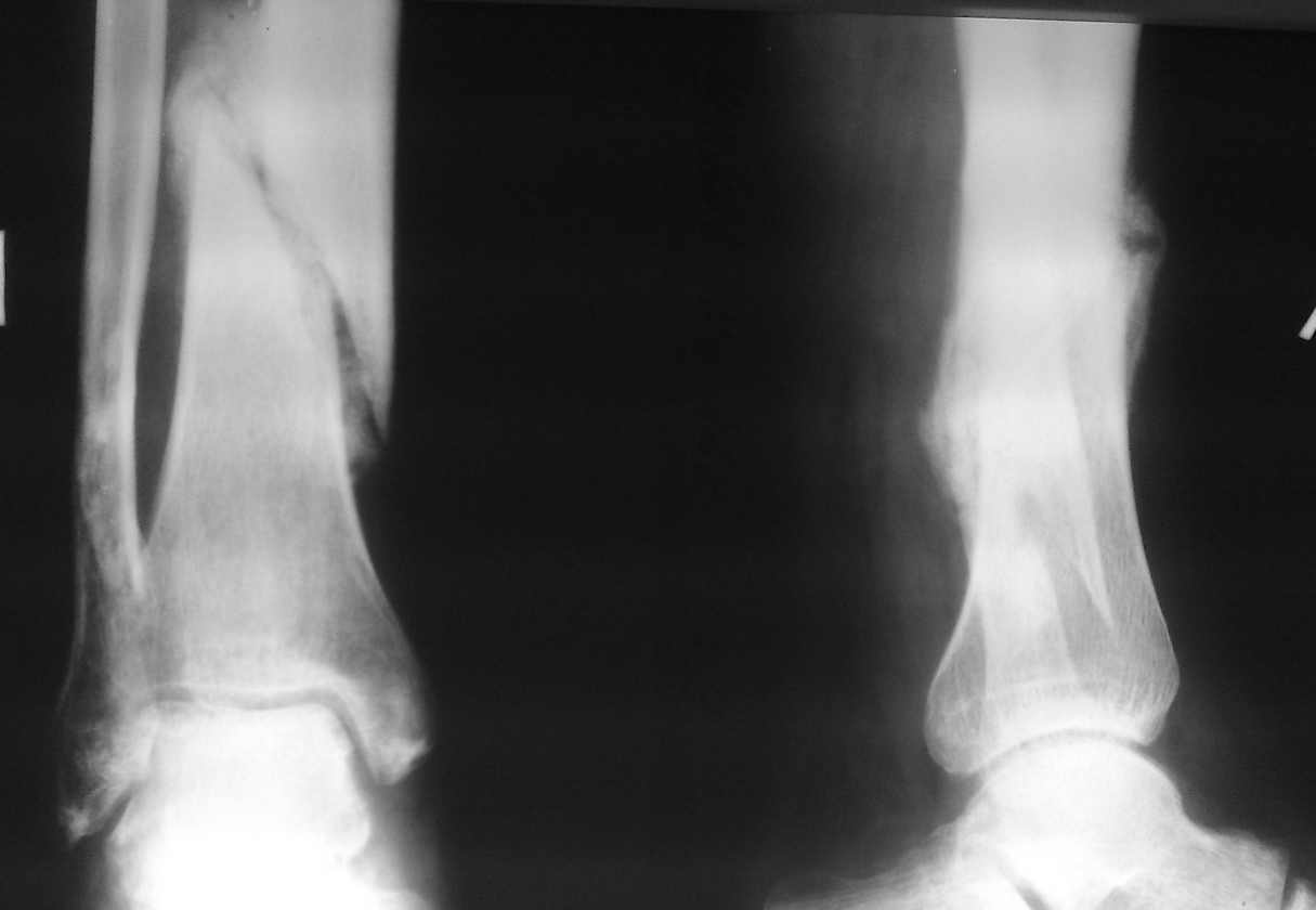
пример функционального лечения по Сармиенто похожего перелома. Рентгенограммы в 1 мес, 3,5 мес, фото и видео 3,5 мес. Движения в колене в полном объеме, в голеностопе - небольшое ограничение (пара дней после снятия повязки), нагрузка безболезненная.
|
[
Ответить ]
|
Re: перелом голени
Отправитель: Maxim Agalakov 27 Ноябрь 2013, 15:27
|
почему-то не приложились снимки, продублирую
|
[
Ответить ]
|
Re: перелом голени
Отправитель: Мацукатов Феодор 27 Ноябрь 2013, 18:35
|
Уважаемый Максим. Я бы постеснялся выставлять такие снимки. Во-первых потому, что давно считается аксиомой: нельзя лечить нестабильные переломы консервативными методами. Во-вторых кость срослась в положении поперечного смещения на 1/3 диаметра, нарушена биомеханическая ось, а это аукнется на суставах. В-третьих, консолидация достигнута в положении укорочения 1-1,5 см. По предложенной нами шкале оценок исходов лечения данный исход тянет в лучшем случае на удовлетворительную оценку.
|
[
Ответить ]
|
Re: перелом голени
Отправитель: maxim agalakov 27 Ноябрь 2013, 21:35
|
>Во-первых потому, что давно считается аксиомой: нельзя лечить нестабильные переломы консервативными методами
- почему же, есть в лекциях OTA, есть в книжке Сармиенто, да и много где
>Во-вторых кость срослась в положении поперечного смещения на 1/3 диаметра
- какое это имеет клиническое значение?
>нарушена биомеханическая ось
- это что за зверь такой? Анатомическую знаю, механическую тоже. И как о них можно судить по неполному снимку одного сегмента?
> а это аукнется на суставах
- почему?
> В-третьих, консолидация достигнута в положении укорочения 1-1,5 см
- что из этого, у людей вообще ноги разные
>По предложенной нами шкале
- никто не мешает оценивать по ней собственные результаты, в чем проблема?
Прошу заранее извинить, за , возможно, грубоватые ответы, но вы говорите о далеко неочевидных вещах.
PS Ну согласитесь, у нас косметический результат все равно лучше получился - никаких рубцов, немного мышцы подкачает и вообще ничего не видно будет, уверяю вас.
|
[
Ответить ]
|
Re: перелом голени
Отправитель: Alexander Chelnokov 27 Ноябрь 2013, 21:51
|
Во-первых потому, что давно считается аксиомой: нельзя лечить нестабильные переломы консервативными методами.
Это в каком современном международном руководстве можно прочитать про такую глобальную аксиому?
Метод Sarmiento очень наглядно демонстрирует успешность именно консервативного лечения именно нестабильных переломов. Хорошие результаты независимо воспроизведены многими исследователями. Например, для изолированных диафизарных переломов плеча именно консервативное лечение в функциональном брэйсе является "золотым стандартом" в развитых странах.
а это аукнется на суставах
Есть такое суеверие. Не подтверждается исследованиями.
См. классическую уже работу Merchant T.C., Dietz F.R. Long-term follow-up after fractures of the tibial and fibular shafts (1989): The clinical and radiographic outcomes were unaffected by the amounts of anterior or posterior and of varus or valgus angulation, as well as by the level of the fracture.
А также Milner S.A. et al. Long-term outcome after tibial shaft fracture: is malunion important? (2002): Fracture malunion is not the cause of the higher prevalence of symptomatic ankle and subtalar osteoarthritis on the side of the fracture.
По предложенной нами шкале оценок исходов лечения данный исход
"Предложенная нами шкала" может быть очень удобной и простой: все, что я сделал - прекрасно, а если не я - то "тянет в лучшем случае на удовлетворительную оценку". Поэтому любая шкала, прежде чем ею пользоваться, должна быть сопоставлена с другими известными инструментами оценки по чувствительности, надежности, валидности.
|
[
Ответить ]
|
Re: перелом голени
Отправитель: Мацукатов Феодор 28 Ноябрь 2013, 19:00
|
"Например, для изолированных диафизарных переломов плеча именно консервативное лечение в функциональном брэйсе является "золотым стандартом" в развитых странах"
Развитые страны тоже ошибаются, да еще как! История не раз доказывала, что их стандарты неприемлемы для нас. Типичный пример - современная травматология. Но не переломов костей бедра и голени. В представленном примере конечный рентгенологический результат явно не располагает к труду, надо ждать еще около 1,5 месяцев. То, что пациент ходит, еще ни о чем не говорит. Итого 5 месяцев. Это золотой стандарт, травматология 21 века? За такое время я вылечу двух пациентов с аналогичной патологией, причем с несравненно лучшим результатом.
"Есть такое суеверие. Не подтверждается исследованиями"
Вы взялись за все и сразу, Александр Николаевич. Даже на этом сайте есть немало тех, кто заработал не один геморрой на изучении роли биомеханической оси конечностей. По-Вашему они занимались чепухой?
"все, что я сделал - прекрасно, а если не я - то "тянет в лучшем случае на удовлетворительную оценку"
А вот это не только не уважение к коллеге, но и в определенной степени хамство. Если бы у меня был такой моральный облик, я бы начал с того, что выставил снимки пациента, у которого на прошлой неделе в соседней операционной мои коллеги удаляли металлоконструкции именно с такого перелома, каккой был представлен benedok. Ложный сустав. Сам пациент лечился в первопрестольной, где и проживает. Я бы выставил на всеобщее обозрение рентгеновкие снимки пациента с тотальным остеомиелитом обеих берцовых костей, стержни из которых удаляли днем раньше. Ему почему-то стержни посадили на цемент. Так вот две бригады несколько часов выдалбливали их оттуда. С трах божий!А пациент, кстати, из Екатеринбурга. Таких случаев у нас не десятки, а сотни.
Но проблема не в том, кто и что напартачил. Право на ошибку имеют все. Но Вы крайне агрессивно относитесь к тому, что не приемлете лично. Это должно стать Вашей личной проблемой, а не проблемой отечественной травматологии. Это мое последнее слово на Вашем сайте. Живите с миром!
|
[
Ответить ]
|
Re: перелом голени
Отправитель: Alexander Chelnokov 28 Ноябрь 2013, 21:02
|
Развитые страны тоже ошибаются, да еще как! История не раз доказывала, что их стандарты неприемлемы для нас. Типичный пример - современная травматология. Но не переломов костей бедра и голени.
Непонятно, что за исторические эпизоды неприемлемости (в чем именно выражавшейся?) для нас (кого именно?) их стандартов (каких?) подразумеваются. Если речь о неприемлемости из-за невозможности внедрить современные "стандарты наилучшей практики" по причине неготовности отечественных учреждений (да и их сотрудников) - отсутствия современной материально-технической базы, плохой организации и недостатка образования - тут спорить не с чем.
В представленном примере конечный рентгенологический результат явно не располагает к труду, надо ждать еще около 1,5 месяцев. То, что пациент ходит, еще ни о чем не говорит. Итого 5 месяцев. Это золотой стандарт, травматология 21 века? За такое время я вылечу двух пациентов с аналогичной патологией, причем с несравненно лучшим результатом.
В представленном примере (то, что показал М.Агалаков) результат представлен опороспособной, безболезненной и функционально пригодной конечностью. И то, что пациент ходит, как раз это подтверждает.
За 2,5 мес. лечением в аппарате возвращать к труду (да даже и к просто ходьбе без хромоты) всех подряд пациентов с любыми переломами костей голени если кому и удается, то, очевидно, только выдающимся виртуозам. Которых мало, к сожалению, и на все учреждения и всех больных не хватает. Другим врачам эти рекордные результаты воспроизвести не удается. А воспроизводимость - еще и один из критериев научности.
В Даже на этом сайте есть немало тех, кто заработал не один геморрой на изучении роли биомеханической оси конечностей. По-Вашему они занимались чепухой?
Вполне может быть, что наряду с геморроем, подразумеваемым Вами коллегам удалось получить ценные и интересные результаты, но вряд ли они дают основание игнорировать результаты тех исследований, которые были приведены в предыдущем сообщении.
А вот это не только не уважение к коллеге, но и в определенной степени хамство.
Феодор, да честно - максимум это дружеская подначка. Не обижайтесь.
удаляли металлоконструкции именно с такого перелома, каккой был представлен benedok. Ложный сустав. Сам пациент лечился в первопрестольной, где и проживает. Я бы выставил на всеобщее обозрение рентгеновкие снимки пациента с тотальным остеомиелитом обеих берцовых костей, стержни из которых удаляли днем раньше. Ему почему-то стержни посадили на цемент. Так вот две бригады несколько часов выдалбливали их оттуда. С трах божий!А пациент, кстати, из Екатеринбурга.
И у нас тоже много пациентов из разных мест с несращениями и деформациями (а то и хронической инфекцией - правда, нам нельзя таких класть) после всевозможных вариантов лечения в разных местах. Что то должно подтвердить или опровергнуть?
Но Вы крайне агрессивно относитесь к тому, что не приемлете лично. Это должно стать Вашей личной проблемой, а не проблемой отечественной травматологии.
Ну вот, пошел переход на личности. О какой "крайней агрессивности" вообще идет речь? Давал советы, основанные на своем опыте, приводил вполне рациональные доводы, сослался на серьезные исследования... И приходится доказывать, что ты не верблюд.
Это мое последнее слово на Вашем сайте.
Это Вы сгоряча. Сайт это в той же степени и Ваш.
Надеюсь, мы еще и поспорим, и узнаем о новых решениях старых проблем. Удачи!
|
[
Ответить ]
|
Re: перелом голени
Отправитель: maxim agalakov 28 Ноябрь 2013, 22:23
|
> Развитые страны тоже ошибаются, да еще как!
- на мой взгляд и свое мнение пересматривают гораздо оперативнее в соответствии с цивилизованными (ну вы в курсе - воспроизводимость, валидность и тд) исследованиями
>В представленном примере конечный рентгенологический результат явно не располагает к труду, надо ждать еще около 1,5 месяцев.
- пациент отпросился с работы
>То, что пациент ходит, еще ни о чем не говорит.
- , то, что пациентка, молодая женщина через 3 мес с банальным переломом плеча, с идеальными показаниями для "золотого стандарта" сгибает в локте до 90 град, да еще и с "портачками" отаппарата - вообще ужас и повод для судебных претензий
> на изучении роли биомеханической оси конечностей.
- расскажите мне про нее, или ссылку дайте, что это то такое?
>А вот это не только не уважение к коллеге, но и в определенной степени хамство
- здесь уж вы точно не правы, А.Н. высказывался максимально корректно ( уверяю, он может и по-другому:))
>Я бы выставил на всеобщее обозрение рентгеновкие снимки пациента с тотальным остеомиелитом обеих берцовых костей, стержни из которых удаляли днем раньше. С трах божий!А пациент, кстати, из Екатеринбурга. Таких случаев у нас не десятки, а сотни.
- Трах божий меня особенно впечатлил, в плане покрытия антибиотиком - no comments (вы видимо не с нами, а где-то в параллельной вселенной)
>А пациент, кстати, из Екатеринбурга.
- только в нашем отделении мы сделали 3 ревизии эндопротезов по поводу нагноения из Кургана. Разве это значит, что в Кургане плохо оперируют? Конечно же НЕТ! Этому есть много причин.
>Это должно стать
- совершенно неприемлемая фраза для форума
>Это мое последнее слово на Вашем сайте
- жаль, только без суицида, прошу вас
|
[
Ответить ]
|
Re: перелом голени
Отправитель: Александр Ситник 28 Ноябрь 2013, 23:01
|
Феодор, а можно вас попросить разработанную шкалу выложить на форуме. Мы тоже что-то такое придумываем, а может и не надо колесо изобретать:)
|
[
Ответить ]
|
|
( Ответить )
|
|