вверх
отправить
поиск
админ
главная
Предыдущее
|
Re: ПЕРЕЛОМ ГОЛОВКИ ЛУЧЕВОЙ КОСТИ.
Djoldas Kuldjanov, M.D. 19 Ноябрь 2013, 06:56
|

Уважаемые коллеги,
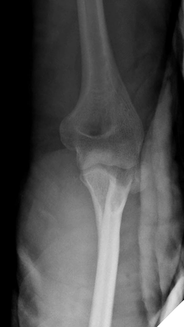
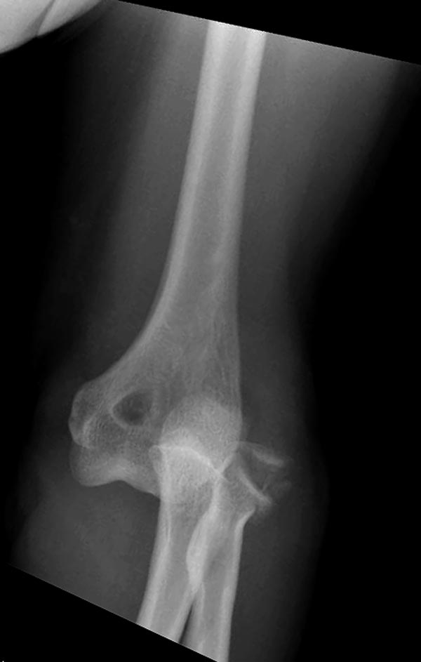
Вместе обычных простых рентгенограм, участились злоупотребления дорогими исследованиями. Хотя многие переломы, даже внутрисуставные, можно увидеть на обычных рентген снимках. Негативный рентген при исследовании локтевого сустава не означает отсутствие перелома. Если имеется “fat pad sign”, характерный симптом для внутрисуставных повреждений, тогда можно ставить диагноз перелом головки луча! Гематома внутрисуставного перелома смещает жировое тело и на боковом снимке проявляется в виде “паруса”.
Chapman S (1991). "The sail sign". Br J Hosp Med 46 (6): 399–400.
На переломы головки луча надо обратить внимание, потому что головка луча является важным стабилизатором в локтевом суставе: удерживает от заднего вывиха и от боковых смещений. Изолированный перелом головки луча встречается очень редко и, в основном, в сопровождении с другими повреждениями, вывихом сустава, переломом Monteggia, венечного отростка или повреждением латерального лигамента.
Для выработки показаний достаточным бывают стандартные снимки, но иногда требуется косая рентгенограмма по Coyle. И для подтверждения смещений и оценки внутрисуставных фрагментов рекомендуется КТ, а 3D снимки показывают только поверхность, т.е. получается общая картина. МРТ дает возможность оценить состоянии связок.
Иногда бывает трудно выявить показания к операции, тогда нужно Evaluation Under Anesthesia (EUA), т.е. вальгус стресс тест поможет найти правильный вариант лечения. Тест надо провести с адекватной анестезией, иначе трудно получить результат. Обьем локтевого сустава небольшой, и для анестезии достаточным бывает всего 35-40 мл раствора.
Переломы по Mason первой степени без блокировки и смещение до 2х мм можно лечить в обычной косынке, или брейсом - консервативно. Перелом второй степени оперативно, а многооскольчатые переломы третьей степени лечатся заменой головки.
Кроме классификации Масон, еще существует более простая классификация, которая разделяет на нуждающиеся в фиксации повреждения, и на переломы, не подлежащие реконструкции.
Популярная в странах СНГ резекция головки луча в наших условиях делается очень редко, потому что без упора луча могут проявиться симптомы нестабильности в дистальном радио-ульнарном сочленении. Реконструкция с сохранением головки дает лучший результат, но не всегда возможна.
Видел больных с резицированной головкой, который подтягивался на руке без проблем, а также проблемных после фиксации. Поэтому трудно судить, хотя при подозрении на Essex-Lopresti, когда повреждается межкостная мембрана на всем протяжении, надо протезировать - пространство!
Здесь представлены несколько случаев и как видно больше больных с серьезными повреждениями, чем изолированные..
В первом случае перелом Монтеджи, где доперационно сделано оценка положения головки к остальным элементам под рентгеном. Учитывая правильность взаимотношении произведена фиксация только локтевого отростка, Второй случай, заменена на протез, и третий, кроме фиксации головки - реконструкция capitellum латерального мыщелка.
Джолдас Кульджанов
|
|
|