Ответить
|
Re: Остеосинтез локтевого отростка - оцените
Денис 09 Январь 2014, 23:02
|
Сколько помню, меня всегда учили, что оскольчатые переломы локтевого отростка - остеосинтез по Веберу противопоказан, операция выбора - остеосинтез пластиной...
|
[
Ответить ]
|
Re: Остеосинтез локтевого отростка - оцените
Volodymyr Kovalchuk 10 Январь 2014, 00:01
|
А что тут собственно комментировать? Это квази-остеосинтез. Вы бы лучше изменили тон сообщения и переделали.
В данном случае нужно переделать - операция это не объемная, а ваши описания "страстей" по поводу подготовки больной совершенно ни к чему. Во-первых, таких пациентов тут у всех предостаточно, во-вторых - 80 лет - средний нормальный контингент травматологических больных в развитых странах (часто бывают и 90 летние), в третьих, думаю вы поняли это вопрос анестезиологического обеспечения.
В данном (квази-)остеосинтезе много ошибок:
1. Репозиции нет абсолютно.
2. Спицы проходят через зону перелома.
3. Такое впечатление, что спицы либо вообще не проходят либо захватывают совершенно незначительную часть кости дистального фрагмента вблизи перелома.
4. Спицы проведены крест-накрест, а не паралельно, таким образом компрессия перелома решительно НЕ возможна (также учитывая п. 1,2,3).
5. Медиально спица выстоит очень сильно - будет раздражение тканей.
6. Зачем оставлять такую косичку из проволоки? Затянуть и откусить. 3-4 витка оставить и достаточно.
7. Учитывая п.1-6 результат без операции - приблизительно равен или даже лучше результата после такой операции.
Единственный выход: адекватный реостеосинтез с компрессией. Как? Смотреть AO Surgery Reference.
|
[
Ответить ]
|
Re: Остеосинтез локтевого отростка - оцените
Отправитель: Олег Шепета 10 Январь 2014, 13:30
|
Поддерживаю на 100%, полнее даже прокомментировать не берусь
На соседском опыте видел не мало "профессорских косяков", но для общей критики это не всегда уместно
|
[
Ответить ]
|
|
Re: Остеосинтез локтевого отростка - оцените
Павел К. 10 Январь 2014, 00:10
|
Так что комментировать и рекомендовать???
ГБ-3? Снятие со стола? Снимки? Уважаемого профессора? Или Ваши личные заслуги?
...на то Он и профессор, будете профессором - будете комментировать и делать лучше (если сможете)(НО ЭТО ИМХО).
|
[
Ответить ]
|
Re: Остеосинтез локтевого отростка - оцените
Anton Bekhterev 10 Январь 2014, 08:16
|
No comment. Вы хотите достать угли чужими руками. Вы можете не уважать профессора, но пользователи ортофорума не заслужили такого. Почему профессор должен показывать Вам свою пациентку? И что за рвение такое вывешивать грязное белье. Некрасиво.
|
[
Ответить ]
|
Re: Остеосинтез локтевого отростка - оцените
Отправитель: Alexey Semenisty 10 Январь 2014, 08:31
|
Да, деонтология это не наука о зубах (с)...
|
[
Ответить ]
|
|
Re: Остеосинтез локтевого отростка - оцените
Николай 10 Январь 2014, 08:38
|
Добрый день! В данном случае вы не указали предъявляемые жалобы больной, объем движений в локтевом суставе, применялась ли в послеоперационном периоде внешняя иммобилизация. Учитывая предоставленные R- снимки, интраоперационно имелись неточности при введении спиц в локтевой отросток, не устранен диастаз между фрагментами, проволочная петля Вебера не выполняет свои функции. Не исключено формирование ложного сустава. Если больная не предъявляет жалоб, объем движений в суставе удовлетворительный, учитывая возраст больной и сопутствующую соматическую патологию, возможно ограничиться консервативным ведением больной (продолжить ЛФК, физиолечение, разработка движений в суставе). Если же имеются жалобы в виде болей, отека, ограничение движений в суставе, то не исключен реостеосинтез перелома с дополнительной костной пластикой и устранением вышеперечисленных интраоперационных неточностей (выбор металлоконструкции на ваше усмотрение, скорее всего придется ограничится проведением спиц с компрессирующей петлей по Веберу, учитывая наличие остеопороза). В послеоперационном периоде использование внешней иммобилизации (гипсовой лонгеты) не желательно.
|
[
Ответить ]
|
Re: Остеосинтез локтевого отростка - оцените
Николай Гарькавый 10 Январь 2014, 14:10
|
Пациентка 100% останется довольной операцией и результатом, потому что - потому что. А Вам не мешало бы полистать науку не о зубах...
|
[
Ответить ]
|
Re: Остеосинтез локтевого отростка - оцените
Ajvan 10 Январь 2014, 14:17
|
Хорошо что...нет...даже отлично, что по ВАШЕМУ НАСТОЯНИЮ сделаны снимки...без них...бедный профессор
|
[
Ответить ]
|
Re: Остеосинтез локтевого отростка - оцените
Дедок Михаил 10 Январь 2014, 18:02
|
Хорошая функция часто бывает не благодаря а вопреки. 3 недельки покоя и ЛФК. И бабушка будет очень довольна функцией. Разгибательный аппарат будет состоятелен за счет фиброзного рубца. Вот я как то "скрутил" голень с ротацией стопы кнаружи- вот это было стремно и стыдно. Мы все иногда "косячим" и не всегда из за дури. Бывает все ОК в операционной, а на контроле ... даже у академиков.. хоть плачь..
|
[
Ответить ]
|
Re: Остеосинтез локтевого отростка - оцените
Отправитель: Исмаил Дибиров 11 Январь 2014, 12:48
|
Согласен с Михаилом. Если спицы начнут прорезываться, выкинуть их совсем. Разрабатывать не дожидаясь контрактуры, фрагмент небольшой, функция будет нормальная. Мало ли случаев, когда под кожей "болтается" фрагмент отростка, а разгибательная функция полная...
Тема, конечно, не новая...Но пинать за спиной стареющего льва, неэтично...Терпимее надо быть к чужим ошибкам, а всю молодецкую удаль направить на то, чтобы не допускать подобных косяков самому...Конечно, спицы бы попрямее (перпендикулярнее) к линии перелома, а вот делал по "АО-вской классике" , ну не сложились они как было задумано...На то он и "Зубр", чтобы взять на себя смелость в утверждении о благоприятном исходе... Картинка получилась неприглядная, а подана молодым коллегой отвратительно!
:
С уважением,
|
[
Ответить ]
|
|
Re: Остеосинтез локтевого отростка - оцените
Александр Ларионов 11 Январь 2014, 12:53
|
Операция технически выполнена не правильно. От и до. От проведения спиц до наложения и затягивания петли. Отсюда и результат. Рекомендую реостеосинтез.
А. ЛАРИОНОВ
|
[
Ответить ]
|
Re: Остеосинтез локтевого отростка - оцените
Volodymyr Kovalchuk 11 Январь 2014, 14:47
|
Полностью согласен с Др. Ларионовым.
Сложно комментировать такие вещи. Это не случайные "ошибки или неточности" как выразились некоторые коллеги. Создается впечатление полного непонимания техники операции, и не суть важно кто и где выполнял данное вмешательство. Я верю, что человек поймет свою ошибку и все исправит. Важно вовремя понять свою ошибку, сделать выводы и исправить ее.
Техника стягивающей петли была предложена Вебером 50 лет назад (в 1963 году Weber BG, Vasey H. Unfallmed Berufskr 1963, 56:90-96). Она остается "золотым стандартом" в лечении переломов локтевого отростка со смещением и с небольшим раздроблением - http://www.josr-online.com/content/3/1/9
|
[
Ответить ]
|
Re: Остеосинтез локтевого отростка - оцените
Sereda Andrey 11 Январь 2014, 14:57
|
>Прошу прокомментировать случай и дать рекомендации!
Мысленно поблагодарите профессора - он добровольно защищает вас от потенциальных проблем в случае неблагоприятного исхода. Если бы он вам показывал пациентку, то в тексте возможной жалобы уже бы фигурировал не только профессор, но и вы.
|
[
Ответить ]
|
Re: Остеосинтез локтевого отростка - оцените
Алексей 11 Январь 2014, 16:30
|
Все правильно, .......что все не правильно. Понятно, что на операции столкнулись с серьезными сложностями. Понятно, что выбранная методика остеосинтеза вызывает много вопросов, как и само исполнение. Даже понятно, что операция, по большому счету ничего не дала.
А вот вы можете себе представить молодого доктора, критикующего профессора? Думаю, они ровесники, или даже профессор моложе.....отсюда и непонятки......ведь в каждом коллективе свои "проблемы". А у бабушки все будет работать, как ни странно, а если убрать спицу из мягких тканей, то еще и лучше.
|
[
Ответить ]
|
Re: Остеосинтез локтевого отростка - оцените
Георгий 12 Январь 2014, 06:17
|
Интересно, профессор читает форум?
|
[
Ответить ]
|
Re: Остеосинтез локтевого отростка - оцените
Верещагин Николай Александрович 12 Январь 2014, 15:39
|
А хорошо бы на ОРТОФОРУМ не допускать анонимные публикации...
|
[
Ответить ]
|
Re: Остеосинтез локтевого отростка - оцените
Отправитель: Alexander Chelnokov 12 Январь 2014, 22:00
|
Боюсь, от этого сообщество больше потеряет, чем приобрет.
|
[
Ответить ]
|
Re: Остеосинтез локтевого отростка - оцените
Отправитель: Volodymyr Kovalchuk 13 Январь 2014, 12:45
|
Зачем? Должна быть свобода слова и плюрализм мнений, даже таких. Все дали человеку понять, что тон его сообщения мягко говоря не совсем корректен. С другой стороны все понимают, что данный синтез не адекватен. Я думаю, и автор поста и автор "синтеза" сделали правильные выводы и в дальнейшем будут действовать корректнее.
А запреты - это всегда самое простое, но мы ведь понимаем, что это путь в никуда.
В случае отключения функции анонимных постов, будут создавать фейковые эккаунты.
|
[
Ответить ]
|
Re: Остеосинтез локтевого отростка - оцените
Отправитель: Игорь Кучерявый 13 Январь 2014, 17:26
|
В этом обсуждении не только травматология, а еще и деонтология, этика и психология! Наоборот его надо перепостить на соответствующие профессиональные форумы!)))
Что касается остеосинтеза. Бывает со всеми, и профессора — тоже люди. Иногда бывает нет банальных спиц, или дрель барахлит, или голова болит— чего в России только не бывает))) Главное, чтобы это не было закономерностью!
|
[
Ответить ]
|
|
Re: Остеосинтез локтевого отростка - оцените
Максим Банецкий 12 Январь 2014, 19:27
|
Профессор всегда прав Оставьте его покое, он большой дядя, разберется. Поди не глупый, коли профессор.
|
[
Ответить ]
|
Re: Остеосинтез локтевого отростка - оцените
Денис Туголуков 12 Январь 2014, 19:29
|
Безусловно нужно оперировать пациента повторно. Я один раз своими глазами в Германии видел, как после обсуждения результатов остеосинтеза перелома проксимального метаэпифиза бедренной кости на 2-е сутки бригада расшивалась и переделывала операцию. В данном конкретно случае нет ничего сложного, нужно просто взять и исправить неточности.
|
[
Ответить ]
|
Re: Остеосинтез локтевого отростка - оцените
Отправитель: Андрей Волна 13 Январь 2014, 23:29
|
Господи, наконец-то... Как то мы, мне кажется, в пылу дискуссии о деонтологии, анонимности, профессоре, терапевтах, неделями готовящих больных, анестезиологах, у которых не получается анестезия, правах врачей как-то забыли о главном. О больном. Об интересах пациента. А в интересах пациента - взять и переделать. Другое дело, возможно ли это в конкретной клинике, как, чем, и так далее
И последнее. Как же всё-таки глубоко в нас сидит психология раба. Это плохо, ибо идет не в пользу пациента.
|
[
Ответить ]
|
|
Re: Остеосинтез локтевого отростка - оцените
Батал Шушания 14 Январь 2014, 22:14
|
Полностью разделяю точку зрения Андрея Анатольевич. А больной тот тут причем. Пока решаются вопросы этики и профессиональных взаимоотношений, здоровье пациента то страдает. Поле непаханное для юристов о возмещении ущерба. Прошли или проходят времена, когда можно было спрятать результаты операции глубоко в ящик.
|
[
Ответить ]
|
Re: Остеосинтез локтевого отростка - оцените
Владимир 15 Январь 2014, 18:27
|
|На протяжении месяца больная под его руководством занимается ЛФК.|
Спустя месяц вряд ли имеет смысл что-то переделывать.
С уважением В.Шипунов
|
[
Ответить ]
|
Re: Остеосинтез локтевого отростка - оцените
Oleg Afanasyev 16 Январь 2014, 00:44
|
У каждого травматолога свой "скелет в шкафу".
|
[
Ответить ]
|
Re: Остеосинтез локтевого отростка - оцените
Отправитель: Андрей Волна 16 Январь 2014, 10:07
|
И не один. Это иногда называют "опытом". Так и есть.
|
[
Ответить ]
|
|
Re: Остеосинтез локтевого отростка - оцените
Игорь Атманский 17 Январь 2014, 15:30
|
Имею сравнительно небольшой опыт разбора различных жалоб в нашей специальности. Начало их в большинстве случаев стандартно - слова одного из "докторов": "Кто сделал Вам эту х...". Однако, очень редко видел положительный исход для пациента и, как правило, это всегда сопровождалось с большим негативизмом на всё наше сообщество. А порядочность, почему-то приводило к прямо противоположному результату. Наверно, деонтология это не наука о зубах.
И вряд ли стоит смешивать в одну тему скелеты - опыт - пациентов.
И. Атманский
|
[
Ответить ]
|
Re: Остеосинтез локтевого отростка - оцените
Отправитель: Михаил 17 Январь 2014, 21:48
|
Спасибо! Вы Умница! Все правильно!
|
[
Ответить ]
|
|
Re: Остеосинтез локтевого отростка - оцените
Мацукатов Феодор 18 Январь 2014, 11:42
|
Какая милая дискуссия на тему деонтологии?! Только вот непонятно, почему реагируем в одном случае так остро, а вот в другом, уважаемый Александр Николаевич, к хамству чистой воды относимся с отеческой добротой? Это с Вашего молчаливого одобрения на форуме появляются вот такие посты, не делающие никому чести:
"На счет плеча,представьте, что это ваша любимая женщина, представьте, что у нее есть перелом плеча и бедра, леченные аппаратом. И она захотела вас обнять ночью во сне (бескровно и малоинвазивно прооперировали, потому выписали в ранние сроки). Сначала вам в глазницу впивается спица, заботливо ( a может и специально, кто знает?) кем-то недозагнутая/недооткушенная/расфиксированная. А затем ваша мошонка оказывается надетой на стержень/тяжку/ спицу/ мальчика-девочку и т.д.
Чисто гипотетически такое возможно?"
|
[
Ответить ]
|
Re: Остеосинтез локтевого отростка - оцените
Отправитель: Alexander Chelnokov 18 Январь 2014, 16:44
|
к хамству чистой воды относимся с отеческой добротой?
Пока происходящее IMHO носит вполне конструктивный характер. Обсуждена как клиническая проблема, так и этически небезупречный вариант ее представления даже в отсутствие фамилий, названий учреждения, города и страны. Все происходящее не выходило за рамки нетикета - не было перехода на личности, оскорблений, ругани, злонамеренного отхода от темы и т.п.
Это с Вашего молчаливого одобрения на форуме появляются вот такие посты, не делающие никому чести:
"На счет плеча,представьте, что это ваша любимая женщина, представьте, что у нее есть перелом плеча и бедра, леченные аппаратом. И она захотела вас обнять ночью во сне (бескровно и малоинвазивно прооперировали,
В приведенной цитате нет ни оскорблений в чей-то персональный адрес, ни перехода на личности, ни тем более рекламы, оффтопика, дезинформации, клеветы... Ну и у всех участников по умолчанию подразумевается присутствие чувства юмора.
|
[
Ответить ]
|
Re: Остеосинтез локтевого отростка - оцените
Отправитель: Мацукатов Феодор 18 Январь 2014, 22:04
|
Тогда считайте, что в этом самом проткнутом спицей органе более достойные гены, чем у автора этих слов (юмор по умолчанию, по-Челноковски). Не к лицу нам прикидываться шлангами, коллега.
|
[
Ответить ]
|
Re: Остеосинтез локтевого отростка - оцените
Отправитель: maxim agalakov 19 Январь 2014, 14:47
|
Хватит уже дуться. Приношу свои извинения, не хотел вас лично обидеть и метод тоже, но нельзя же всегда использовать один и тот же метод, будь то аппараты, гвозди или пластины.
|
[
Ответить ]
|
|
Re: Остеосинтез локтевого отростка - оцените
Djoldas Kuldjanov, M.D. 18 Январь 2014, 19:06
|
С фиксацией получилось не так, как задумано. Слабая техника и отсутствие оснащении и так далее... Большинство коллеги едины во мнении и высказались за то, чтобы переделать операцию. Но без клинических данных, которыми владеет “профессор” я бы посоветовал не спешить с заключением. Не все переломы локтевого отростка, даже после неудачной операции, заканчиваются потерей функции.

Здесь примеры, разные по возрасту случаи: В первом, 84-летняя проперирована в другом месте каннюлированным шурупом, потом наблюдалась у нас. Обнаружена несостоятельность винта, но с сохранением движений в суставе. Винт удалили, и от реконструкционной операции отказались... Второй случай у молодого 23 лет, пропущенный перелом локтевого отростка. Обнаружен через 6 недель. Из-за припухлости сделали рентген, движение в полном обьеме. Молодой, не стали рисковать, оперирован...
“Должна быть свобода слова и плюрализм мнений”, “Не допускать анонимные публикации”.
С плюрализмом и свободой согласен. Хотя интересно, что делается у соседей, но с анонимным не согласен. Анонимность среди врачей непрывычна, все выражают мнения открыто. Тем более анонимность могут вычислить, без сожаления сдадут свои же.
Желание добиться хорошего результата любым методом является позитивной чертой врача. Такая принципиальность дает уважение и позволяет считаться с его мнением.
Во всем мире существует правило - специалист после резидентуры получает право самостоятельно принимать решения по поводу лечения своих больных. Любая удача или осложнение является его собственными, из которого, без посторенних выходит сам. А где одни диктуют, а другие делают черную работу, и где надо согласовать каждое движение с руководством - вызывает огорчение. Отодвинутый от бонуса, начинает вендетту!
Вместе запрета анонимности надо создать правила, где все случаи разбираются коллегиально на утренних конференциях. Не ради наказания, а доброжелательные ежемесячные разборы “ошибок и осложнений”, и доступность позволяет коллективу более лояльно относится к “профессору”
По поводу техники фиксации. Каждый вид перелома требует своего подхода, и с выходом пластин для локтевого отростка (более10 лет) метод Вебера не является “золотым стандартом”. В дизайне специальных пластин некоторые компании пошли уже по второму кругу. Еще характер перелома тоже изменился и сегодня редко встречаются только поперечные переломы локтевого отростка!
|
[
Ответить ]
|
Re: Остеосинтез локтевого отростка - оцените
Тот самый профессор 29 Январь 2014, 14:32
|

Уважаемые коллеги! События заставили меня обратиться в интернет-сообщество травматологов-ортопедов с разъяснением ситуации, сложившейся в связи с публикацией информации по лечению пациентки с переломом локтевого отростка («один доктор» 09.01.14). В данной публикации почему-то очень много неточностей, и откровенных искажений фактов, что, естественно, смутило некоторых пользователей форума.
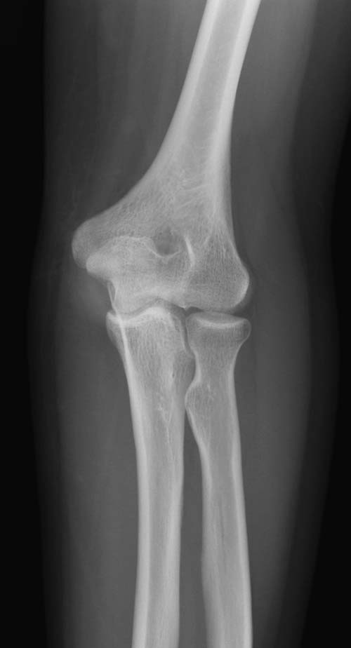
Обстоятельства дела. Пациентка Ш., 85 лет, поступила в отделение с оскольчатым переломом локтевого отростка с диастазом отломков. Из сопутствующей патологии: гипертоническая болезнь III ст.Б, АГ III ст, сахарный диабет, варикозное расширение вен н/конечностей, костный анкилоз левого локтевого сустава в порочном положении (после травмы более 30 лет назад). При более детальном осмотре рентгенограмм выявлен многооскольчатый перелом локтевого отростка с диастазом отломков, остеопороз (см. фото 1,2).
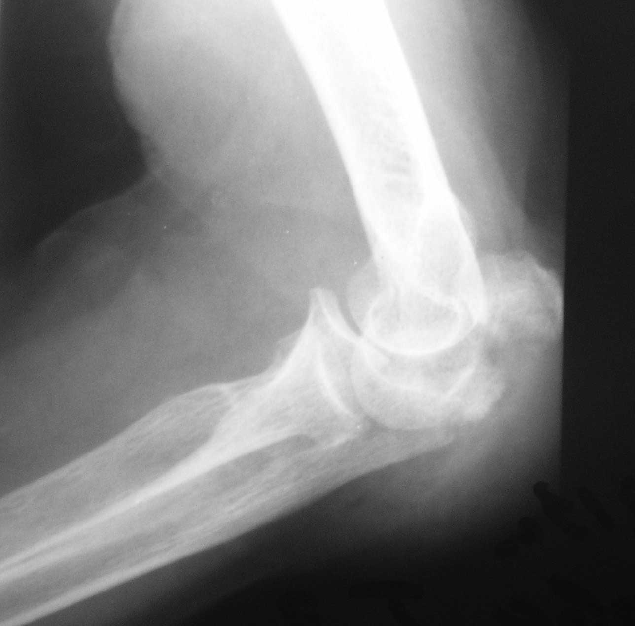
Первоначально на клиническом разборе планировалась костная аутопластика с фиксацией пластинкой или аппаратом внешней фиксации. Однако в течение нескольких дней у больной систематически отмечался подъем АД до 200-220 мм.рт.ст., трудно снимаемый гипотензивной терапией, назначенной по рекомендации терапевта. Через 1 неделю п/травмы больная взята в операционную и … снята со стола с очередным гипертоническим кризом (АД 230/100 мм.рт.ст.). Подключена терапия, на этот раз назначенная кардиологом. Повторное обсуждение случая с врачами отделения. Предложения: или от операции отказаться, или выполнить остеосинтез локтевого отростка, в любом случае - без наркоза. Учитывая «злокачественное» течение гипертонической болезни с исключительно лабильной гемодинамикой в ответ на малейшее эмоциональное волнение пациентки, решено выполнить остеосинтез спицами с проволочной петлей и костной аутотрансплантацией из дистального отломка локтевой кости (из этого же оперативного доступа) под проводниковой анестезией. АД удалось стабилизировать за 2 дня до операции. Через 2 недели после травмы больная вновь взята в операционную. Выполнена верхняя проводниковая анестезия по Соколовскому. Непосредственно перед началом операции на операционном столе у больной опять отмечен подъем АД до 190 мм.рт. ст. . В течение 30 минут анестезиологом проводилась коррекция АД и с давлением 150 мм.рт.ст. операция начата. После выполнения заднего доступа по Фарабефу обнажена зона перелома. Выявлен раздробленный перелом локтевого отростка с множеством промежуточных мелких костных фрагментов и отсутствием губчатой кости (остеопороз), проксимальный отломок представлен 3 –мя отломками размером 1-1,5см каждый, местами связанных между собой надкостницей. В момент ревизии костных отломков АД упало до 100/60 мм.рт. ст. Решено отказаться от выполнения костной аутопластики, и как можно быстрее заканчивать операцию. Произведен остеосинтез локтевого отростка двумя спицами и проволочной петлей, при этом обнаружено, что малейшее стягивание петли, проведенной в виде «обычной восьмерки» ведет к деформации локтевого отростка за счет компрессии (сминания) промежуточных фрагментов. В связи с этим спицы проведены перекрестно друг к другу, а проволока закручена вокруг выстоящих концов спиц (для увеличения стабильности проксимальных отломков), при этом закрученные концы ее не скушены, а уложены вдоль локтевого отростка для предупреждения вторичного смещения промежуточных фрагментов. Продолжительность операции – 35 минут. На контрольных рентгенограммах (доставленных в операционную уже после ушивания раны) – отломки в положении контакта, положение костных отломков локтевой кости удовлетворительное (см. фото 3,4). Гипсовая иммобилизация не проводилась. Правая верхняя конечность подвешена в косыночной повязке.
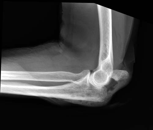
В послеоперационном периоде под личным контролем проводилась разработка движений в суставах правой верхней конечности. Рана зажила первичным натяжением. Больная выписана из клиники на 12 сутки после операции. Непосредственно в день выписки по настоянию «одного доктора» выполнена рентгенография локтевого отростка, на которой обнаружено расхождение костных отломков (на 2-3 мм (см. фото 5). Назначена врачебная внутрибольничная конференции по данному случаю, которая и проведена в ноябре 2013 года. На конференции приведены убедительные доводы об особенности клинического случая, обоснована необходимость остеосинтеза перекрестно проведенными спицами и проволокой, озвучены заключения двух известных на всю Россию профессоров-травматологов, которые подтвердили, что на рентгенограммах, сделанных в операционной «положение костных отломков локтевой кости удовлетворительное. Костные отломки в состоянии контакта друг с другом. Ось локтевой кости правильная. Учитывая преклонный возраст пациентки, следует признать возможным и допустимым выполненный вариант остеосинтеза локтевого отростка проволочной петлей и двумя спицами». Мнение «одного доктора» о необходимости повторной операции на конференции не поддержано ни одним из врачей. В решении конференции указано, что следует продолжить консервативное лечение пациентки под контролем врачей.
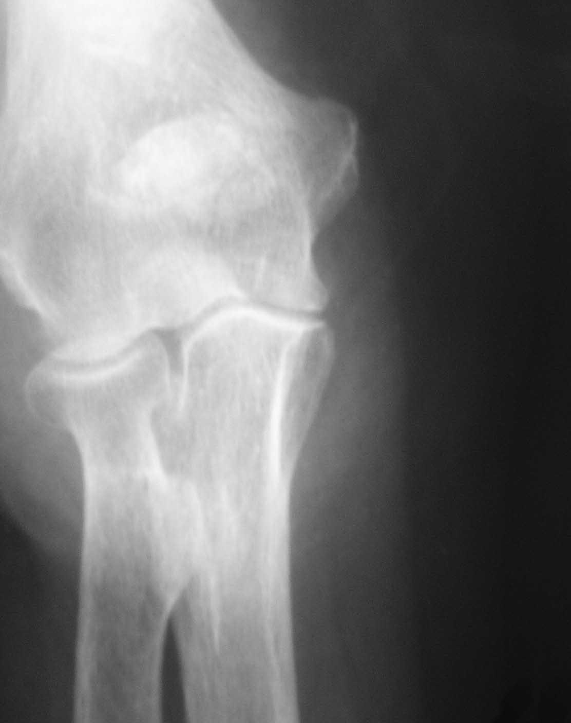
В последующие недели под личным контролем проводилась разработка движений в локтевом суставе. В конце декабря при контрольном осмотре в присутствии еще одного профессора и самого «одного доктора» выявлено: движения в локтевом суставе – 80/150°, пациентка довольна проводимым лечением, выполняет этой рукой все основные действия (умывание, причесывание, прием пищи и пр.), болей в локтевом суставе нет. На рентгенограммах – смещение костных отломков не увеличилось, положение металлофиксаторов – стабильное (см. фото 6). Промежуточный функциональный результат вполне удовлетворительный (фото 7,8). В настоящее время разработка движений в локтевом суставе продолжается.
Комментарии к случаю:
1) перелом - не оскольчатый, а раздробленный, с повреждением большей части локтевого отростка (С2 по А0, Тип IIIB по Mayo) с явлениями остеопороза, сминания промежуточных костных фрагментов. Подтверждением этому является наличие промежуточных костных фрагментов неопределенной формы, несоответствующей суставной части локтевого отростка, а также хорошо видимый передний подвывих костей предплечья (см. фото 2).
2) При раздробленных переломах локтевого отростка у пожилых людей до сих пор методом выбора является удаление проксимальных осколков локтевой кости и шов сухожилия трехглавой с дистальным отломком локтевой кости (см. Национальное рук-во «Травматология», 2008). Между тем, еще Каплан А.В. (1979) предупреждал, что «резекции локтевого отростка следует избегать в тех случаях, когда одновременно с переломом имеется вывих, так как после удаления локтевого отростка могут повторяться передние вывихи предплечья». Удаление локтевого отростка у данной пациентки добавило бы смещение предплечья кпереди к имеющемуся переднему подвывиху и привело бы к вывиху костей предплечья, и неблагоприятному функциональному результату. В связи с этим данный метод лечения было решено не применять. Напомню, что левая рука пациентки находится в положении костного анкилоза в локтевом суставе под углом 100°, и восстановление функции правой верхней конечности имело для пациентки принципиальное значение (качество жизни).
3) Применение любого из вариантов остеосинтеза (пластиной, спицами и петлей или аппаратом) в данном случае должно было быть сопряжено с использованием костной аутопластики, для замещения полости, образовавшейся вследствие остеопороза проксимального конца локтевого отростка (похожей на «яичную скорлупку», расколотую на множество мелких осколков). Как уже было сказано выше, из-за тяжести соматического состояния пациентки выполнить костную аутопластику не представлялось возможным. Ни один из перечисленных методов «в одиночку» не обеспечил бы стабильности отломков. Особенно это касается применения пластины. Как известно, использование пластины в условиях раздробленных переломов при наличии остеопороза, в принципе, неэффективно. Подтверждением сказанному является предложение ассоциации АО использовать для остеосинтеза С2 повреждений – остеосинтез спицами и проволочной петлей, а не пластиной.
4) Вероятно, следует напомнить, что продольная (по оси локтевой кости) компрессия в случае раздробления костных отломков недопустима. Именно в связи с этим проведение двух спиц параллельно друг другу со стягивающей петлей является противопоказанием при многооскольчатых (и тем более раздробленных переломах). Проведение двух спиц не параллельно, а перекрестно друг к другу как раз и не дает компрессии в момент натяжения петли. В свою очередь, проволока в этом случае выполняет роль стабилизатора положения одновременно и спиц, и промежуточных костных отломков, предотвращая смещение их в стороны. Подтверждением этому являются этапные рентгенограммы (выполненные в конце декабря), на которых отмечено стабильное положение костных отломков и металлофиксаторов, несмотря на разработку движений в суставе.
Практически, все эти вышеизложенные позиции были озвучены на внутрибольничной конференции, проведенной по разбору данного случая в конце октября 2013 г.
В заключение, хочу выразиться и по поводу этики:
1) Операция была сделана мной по просьбе зав. отделением, где находилась пациентка. «Один доктор» имел все условия, чтобы выполнить операцию этой необычной пациентке самому.
2) Все обстоятельства данного случая досконально известны «одному доктору». Этот врач видел и функциональный результат у пациентки, и рентгенограммы больной, сделанные в конце декабря. По мнению еще одного профессора, присутствовавшего при осмотре пациентки в декабре, функциональный результат вполне удовлетворительный, и естественно, не требует каких-либо повторных оперативных вмешательств (см. фото 7,8). Больная очень довольна результатом лечения, рукой достает до лица, обслуживает себя, может умываться, причесаться, одеваться и пр.
Признателен врачам, чутко определившим, в чем истинная суть дела, и высказавшим свою бескомпромиссную позицию по отношению к данной ситуации. СПАСИБО!
|
[
Ответить ]
|
Re: Остеосинтез локтевого отростка - оцените
Отправитель: Олег Шепета 29 Январь 2014, 20:24
|
Именно в споре рождается истина
Большое спасибо за предоставленный результат и за "другую сторону медали", так как мнение было выслушано до этого времени одно
Для собственного опыта из даной ситуации черпнул глобальный подход к лечению в травматологии
Спасибо за аргументы, детально отображенные в ответе, которым "не только не ушли от вопросов", но и доказали, что "в споре рождается истина"
|
[
Ответить ]
|
Re: Остеосинтез локтевого отростка - оцените
Отправитель: Alexey Semenisty 30 Январь 2014, 15:53
|
Спасибо, Тот самый профессор, за такой развернутый, детальный, и достаточно деонтологически выдержанный ответ по сравнению с топикстартером. Сразу захотелось высказаться по существу:
1. Что делать сейчас, нужно ли переделывать? - Нив коем случае! Боже упаси браться за нож! "Лучшее - враг хорошего".
2. Если уж все таки разрезали (первый раз), можно ли было сделать лучше?* - Очень сильно сомневаюсь! И параллельно введенные спицы ситуацию бы наверно действительно ухудшили бы. Здесь классический принцип динамической компрессии Tension Band не применим, и то, что мы видим на рентгенграммах, это не Tension Band, это фиксация спицами и проволокой, не более. Я немного знаком с классификацией АО и никак не могу согласиться с тем, что это перелом тип С. Это конечно же перелом АО 2.1-В.1.3. И если честно, никогда не слышал о "предложении ассоциации АО использовать для остеосинтеза С2 (или же В1.3) повреждений– остеосинтез спицами и проволочной петлей, а не пластиной". Можете дать ссылку на рекомендацию?
3. Если бы эта пациентка попала к нам, что мы сделали бы по-другому? - Мы ее конечно бы не оперировали с таким букетом и фоном, тем более, через з недели после травмы. Личный опыт убеждает, что функциональный результат консервативного лечения для 85-летней больной был бы не хуже, быстрее, и что самое главное - безопаснее. "Безопасное лечение - приоритет нашей клиники":))
"Тому самому профессору" желаю быть таким же удачливым хирургом в дальнейшем, как и с этой пациенткой. "Одному доктору"- учиться, учиться и учиться (с).
С уважением ко всем.
Алексей Семенистый.
|
[
Ответить ]
|
Re: Остеосинтез локтевого отростка - оцените
Отправитель: Исмаил Дибиров 30 Январь 2014, 15:54
|
Вот Вашему такту "Одному травматологу" или "одинокому травматологу" следовало бы поучиться! Как в одной молодежной передаче :" Вот, оно как Михалыч!" И действительно, некрасиво.. Лучшим уроком в жизни мог бы стать этот случай, было бы желание и хватило бы ума. Выставляя не свои "огрехи" хотя бы надо оставаться принципиально честными в изложении фактов. Не искажать, не передергивать, чего то не знаешь-уточни!
|
[
Ответить ]
|
|
Re: Остеосинтез локтевого отростка - оцените
maxim agalakov 05 Февраль 2014, 17:59
|
Я бы хотел коснуться еще одного аспекта. Если уж решили оперовать - делать как следует, согласуясь с современными представлениями. Для обычного врача в этой стране такой остеосинтез может быть простителен, поскольку он подвержен давлению разных факторов. Профессор в этом смысле более свободен и должен " задавать тон" в операциях. Никакие конференции о пользе перекрестных спиц здесь не помогут. Возможности современных пластин позволяют выполнить адекватный остеосинтез оскольчатых переломов даже в условиях плохого качества кости без костной пластики при хорошей хирургической технике. Результат функционального лечения, на мой взгляд, был бы сопоставим с результатом представленного случая
|
[
Ответить ]
|
( Ответить )
|
|