ВХОД ДЛЯ ПАЦИЕНТОВ
вверх
поиск
админ
главная
исходное
|
Re: Перелом проксимального отдела большеберцовой кости
послал Djoldas Kuldjanov 28 Январь 2014, 23:12
|
“первым этапом стабилизируйте перелом (скелетное вытяжение за бугор пяточной кости), в течение дней 10 -инфузионная вазотропная терапия (трентал, но-шпа, клексан)”
Об отсутствии доказательной базы "противоотечной" инфузионной терапии при переломах не раз говорили. “Золотым стандартом” для уменьшение отеков в зоне травмы при внутрисуставных переломах является дистракция!
Перелом Schatzker VI является результатом высокой энергии, и здесь кроме мыщелков вовлечен диафиз и мягкие ткани. В данный момент мероприятия по улучшении состояния кожного покрова и мягких тканей можно разобрать вопросы остеосинтеза.
Дистракция улучшает оксигенацию, приводит к спадению отека, а также организует неправильно лежащие фрагменты. Конечность надо поднять на уровень или выше сердца, тогда в короткий срок отек спадет. При замедлении спадения отека, что обычно бывает из-за высокой энергии и огромных повреждений, мы применяем Sequential compression devices, которые ускоряют процесс.
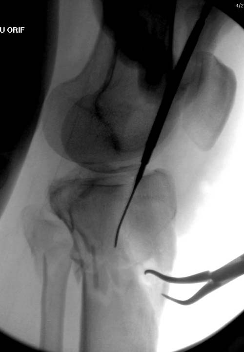
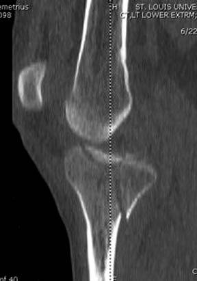
Вытяжение или наружный фиксатор “бедро-голень в виде дельты”. Фиксатор дает свободу, и если условия позволяют, можно отпускать домой. Но главное - надо ожидать проявления “wrinkle sign”! После дистракции можно делать КТ исследование, иначе нестабильные фрагменты искажают данные. Доступ делается по топографии расположения фрагментов, а 3Д картина лучше покажет расположение смещенных мыщелков.
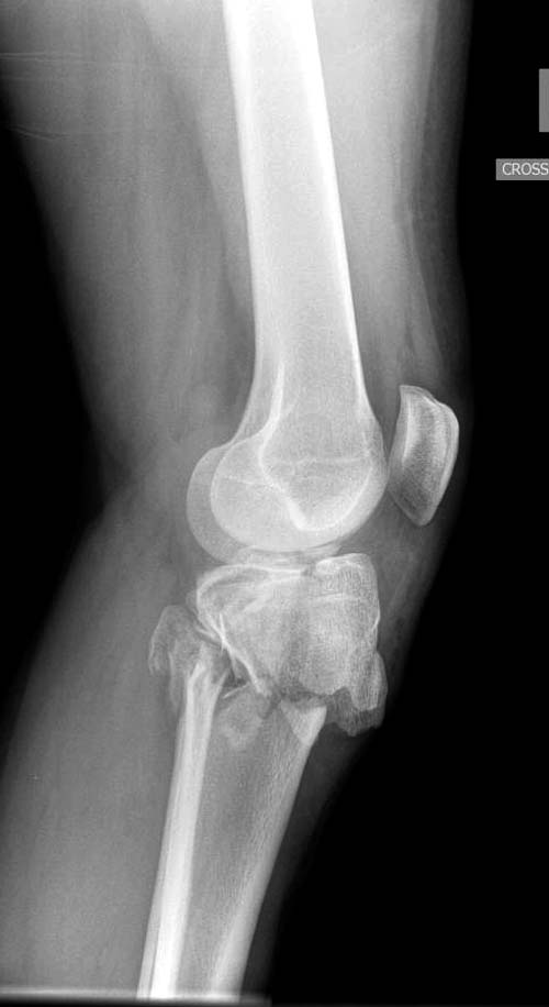
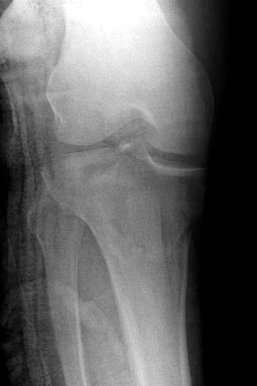
Еще одно дополнение, некоторые в прочтении перелома медиального мыщелка делают типичные ошибки, например, редко переломы медиального мыщелка бывают “только медиальными”, а часто с наличием сложного, заднего компонента, который часто смещается кзади.
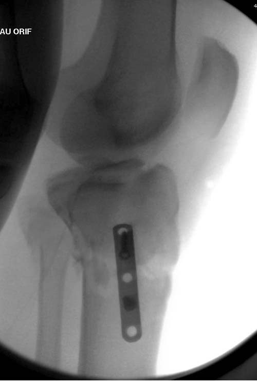
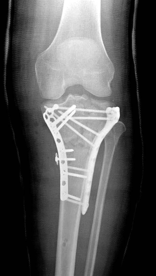
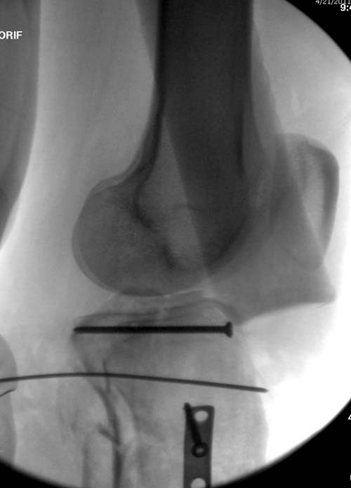
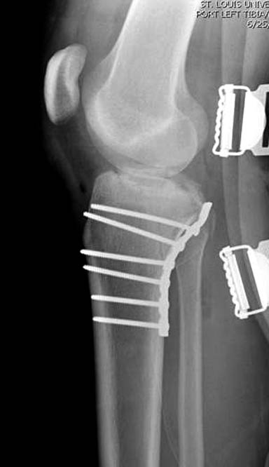
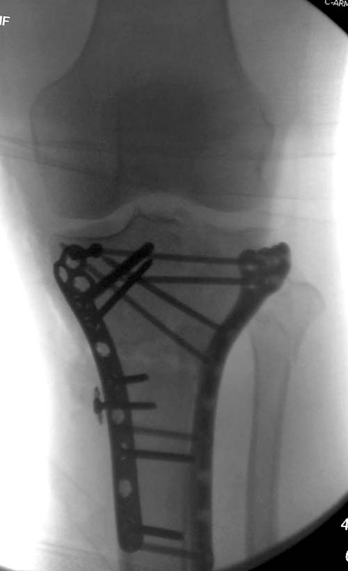
На боковом рентгене, явный задний смещенный компонент. КТ поможет увидеть "вершину" перелома, куда надо поставить антискользящую пластину из заднего или задне-медиальнего доступа. Для стабилизации боковой колонны традиционный боковой доступ через Girdle tubercle с длинной блокирующей пластиной. Одна задняя подпорка не удержит медиальную колонну, требуется длинная медиальная пластина.
Пластин для медиальной колонны не бывает, и поэтому подойдет любая тонкая пластина. Сегодня отходим от установки для тибиал плато толстых пластин, больше, чем 3.5 мм. Задача удержать, а нагрузка разрешается только после сращения в 3 мес., и поэтому нет смысла устанавливать толстые пластины
Еще надо быть готовым к импрессионному перелому, который надо поднять и заместить. Закрыть дефект можно любым пластическим материалом, а наличие алло-материалов облегчает процесс и предупреждает осложнения в области донорского участка.
>“я бы порекомендовал (наверное первый раз в своей практике, потому как абсолютно не являюсь сторонником предложенного метода и особо даже опыта лечения таким методом не имею) лечение аппаратным путем”
Отсутствие опыта не беда, со временем можно приобрести. А метод Илизарова - идеальный для внутрисуставных переломов, и беда тех, кто не владеет. Современный ортопед обязан владеть в совершенстве всеми видами репозиции и остеосинтеза.
Кстати на этом примере коллеги, которые занимаются методом Илизарова, могли отличиться - более убедительно показать примеры лечения внутрисуставных переломов, более сложных, чем диафизарные.
Перелом сложный, и для окончательного успеха потребуется арсенал фиксаторов и наличие опыта разных доступов. К успеху приведет только тщательное планирование. Возможно, фиксировать не удастся все за раз. Если во время операции возникнет опасность развития отека в ране, “damage control” операцию надо отложить, лучше поэтапно, чем осложнение.
Если имеется сомнение, надо планировать отходные пути. “Travelling spanning” фиксатор облегчит процесс транспортировки...
.Здесь примеры...


|
| Послать ответ |
Обратите внимание: Поля с жирными названиями обязательны.
Старайтесь отвечать в рамках обсуждаемой темы, а не начинать новые обсуждения.
Указывайте адекватную тему сообщения, чтобы было ясно, о чем оно.
Не послайте сообщений не по теме (оффтопик), раздраженных, грубых или обидных комментариев. Здесь это неуместно.
|