вверх
отправить
поиск
админ
главная
|
Перелом проксимального отдела большеберцовой кости |
 |
 |
 |
Отправлено Зубенко Андрей 26 Январь 2014, 02:16
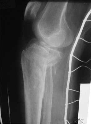
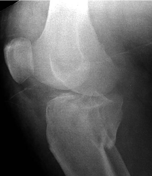
Уважаемые колллеги! Женщина 73 года, травма в результате падения с высоты своего роста, получила закрытый оскольчатый внутрисуставной перелом проксимального отдела большеберцовой кости. Сельский житель, ничем до травмы особо не болела, аткивная. Единственная жалоба на появление гематом и ран даже при незначительных ушибах. Рентгеновские снимки прилагаю, если есть необходимость, позже выложу КТ. А вот кожа... пальпаторно очень тонкая, практически пергамент, сухая, тургор снижен (есть фото). Прошу вашей помощи. Учитывая состояние мягких тканей, оскольчатый перелом большеберцовой кости на большом протяжении, есть вопросы: -чем фиксировать; - как (MIPO?) и в какой последовательности; -когда начинать операцию? Заранее благодарен
<
|
>
|
|
Ответить
|
Re: Перелом проксимального отдела большеберцовой кости
Олег Шепета 26 Январь 2014, 12:29
|
Учитывая такое состояние мягких тканей я бы порекомендовал (наверное первый раз в своей практике, потому как абсолютно не являюсь сторонником предложенного метода и особо даже опыта лечения таким методом не имею) лечение аппаратным путем
Сложный случай...
|
[
Ответить ]
|
Re: Перелом проксимального отдела большеберцовой кости
Alexander Chelnokov 26 Январь 2014, 14:07
|
Надо при поступлении наложить spanning external fixator (бедро-голень). Типа как, например, в этом обсуждении показано. После улучшения состояния тканей, через неделю-полторы уже планирвать окончательную фиксацию.
|
[
Ответить ]
|
Re: Перелом проксимального отдела большеберцовой кости
Mikhail gilev 26 Январь 2014, 15:28
|
Доброго времени суток.
Перелом нестабильный, двухмыщелковый (Schatzker VI). Учитывая возраст больной и состояние мягких тканей (судя по фотографии, выраженные расстройства микроциркуляции), первым этапом стабилизируйте перелом (скелетное вытяжение за бугор пяточной кости), в течение дней 10 - инфузионная вазотропная терапия (трентал, но-шпа, клексан).
Если соматический статус больной позволяет, операция - ЧКО АВФ по Илизарову . ORIF представляется достаточно опасным ввиду осложнений гнойно-воспалительного характера. Импрессионный дефект достаточно большой, и если, мягкие ткани будут позволять, то делайте пластику, поднимайте мыщелок, но заканчивайте все аппаратом.
С уважение.
|
[
Ответить ]
|
Re: Перелом проксимального отдела большеберцовой кости
Максимов Вадим 26 Январь 2014, 16:47
|
Какая помощь оказана при поступлении?Имеете в арсенале дистрактор?ВОЗМОЖНО наложение комбинированного АВФ с дистракцией перелома,ЭОП ИЛИ Rg контроль,санация кожи,вмешательство 10-14 сутки из двух доступов.Начинать с медиального мыщелка
|
[
Ответить ]
|
Re: Перелом проксимального отдела большеберцовой
Александр Ситник 26 Январь 2014, 23:40
|
MIPPO может не прокатить из-за состояния мягких тканей (1) и характера перелома (2).
1. Мягкие ткани. Сейчас вообще ни о каком погружном остеосинтезе речь не идет. Внешний фиксатор мостовидный трансартикулярный до нормализации состояния мягких тканей. А судя по фразам "появление гематом и ран даже при незначительных ушибах" и "кожа... пальпаторно очень тонкая, практически пергамент, сухая.." это может занять много времени, очень много.
Дальше все будет зависеть от того, как будет себя вести аппарат, вернее мягкие ткани у стержней (ну или спиц, не суть важно). Выделенные фразы настораживают очень, т.к. все высокие порывы могут на этом этапе и закончиться демонтажем аппарата и гипсовой гонитной повязкой.
Ну а если состояние мягких тканей нормализуется, тогда пункт 2.
2. В аппарате для уточнения анатомии повреждения (костного) нужно выполнить КТ (лучше в аппарате, а не до него). Там скорее всего увидим не только импрессию наружного мыщелка, но и перелом внутреннего со смещением.
Следовательно начинать фиксацию надо с внутреннего мыщелка и не снимая аппарата(доступ 1 задне-медиальный, ORIF, DCP 3.5 мм, LC-DCP 3.5 мм, но лучше LCP 3.5 мм), затем восстанавливать наружный мыщелок (доступ 2 - наружный парапателлярный с прямым контролем репозиции суставной поверхности, ORIF суставного компонента, LCP-PLT 5.0 мм). На втором доступе действительно можно немного сэкономить - протолкнуть пластину над костью и зафиксировать дистально из отдельного минидоступа или проколов.
Т.е. обозвать операцию MIPPO можно, но по совести "малоинвазивной" ее не назовешь.
|
[
Ответить ]
|
Re: Перелом проксимального отдела большеберцовой кости
Anatoly Lazarev 27 Январь 2014, 10:26
|
Следует сделать снимки в состоянии тракции по оси,
используя любые доступные средства - аппарат, вытяжение и прочее.
Хорошо бы посмотреть боковую проекцию здоровой ноги чтобы определиться с анатомической индивидуальной рекурвацией.
В плане лечения возможна комбинация - перкутанный рафтинг
суставной площадки и шинирование модулем аппарата внешней фиксации вне поврежденной кожи.
Удачи. ЛАФ.
|
[
Ответить ]
|
Re: Перелом проксимального отдела большеберцовой кости
Djoldas Kuldjanov 28 Январь 2014, 23:12
|
“первым этапом стабилизируйте перелом (скелетное вытяжение за бугор пяточной кости), в течение дней 10 -инфузионная вазотропная терапия (трентал, но-шпа, клексан)”
Об отсутствии доказательной базы "противоотечной" инфузионной терапии при переломах не раз говорили. “Золотым стандартом” для уменьшение отеков в зоне травмы при внутрисуставных переломах является дистракция!
Перелом Schatzker VI является результатом высокой энергии, и здесь кроме мыщелков вовлечен диафиз и мягкие ткани. В данный момент мероприятия по улучшении состояния кожного покрова и мягких тканей можно разобрать вопросы остеосинтеза.
Дистракция улучшает оксигенацию, приводит к спадению отека, а также организует неправильно лежащие фрагменты. Конечность надо поднять на уровень или выше сердца, тогда в короткий срок отек спадет. При замедлении спадения отека, что обычно бывает из-за высокой энергии и огромных повреждений, мы применяем Sequential compression devices, которые ускоряют процесс.
Вытяжение или наружный фиксатор “бедро-голень в виде дельты”. Фиксатор дает свободу, и если условия позволяют, можно отпускать домой. Но главное - надо ожидать проявления “wrinkle sign”! После дистракции можно делать КТ исследование, иначе нестабильные фрагменты искажают данные. Доступ делается по топографии расположения фрагментов, а 3Д картина лучше покажет расположение смещенных мыщелков.
Еще одно дополнение, некоторые в прочтении перелома медиального мыщелка делают типичные ошибки, например, редко переломы медиального мыщелка бывают “только медиальными”, а часто с наличием сложного, заднего компонента, который часто смещается кзади.
На боковом рентгене, явный задний смещенный компонент. КТ поможет увидеть "вершину" перелома, куда надо поставить антискользящую пластину из заднего или задне-медиальнего доступа. Для стабилизации боковой колонны традиционный боковой доступ через Girdle tubercle с длинной блокирующей пластиной. Одна задняя подпорка не удержит медиальную колонну, требуется длинная медиальная пластина.
Пластин для медиальной колонны не бывает, и поэтому подойдет любая тонкая пластина. Сегодня отходим от установки для тибиал плато толстых пластин, больше, чем 3.5 мм. Задача удержать, а нагрузка разрешается только после сращения в 3 мес., и поэтому нет смысла устанавливать толстые пластины
Еще надо быть готовым к импрессионному перелому, который надо поднять и заместить. Закрыть дефект можно любым пластическим материалом, а наличие алло-материалов облегчает процесс и предупреждает осложнения в области донорского участка.
>“я бы порекомендовал (наверное первый раз в своей практике, потому как абсолютно не являюсь сторонником предложенного метода и особо даже опыта лечения таким методом не имею) лечение аппаратным путем”
Отсутствие опыта не беда, со временем можно приобрести. А метод Илизарова - идеальный для внутрисуставных переломов, и беда тех, кто не владеет. Современный ортопед обязан владеть в совершенстве всеми видами репозиции и остеосинтеза.
Кстати на этом примере коллеги, которые занимаются методом Илизарова, могли отличиться - более убедительно показать примеры лечения внутрисуставных переломов, более сложных, чем диафизарные.
Перелом сложный, и для окончательного успеха потребуется арсенал фиксаторов и наличие опыта разных доступов. К успеху приведет только тщательное планирование. Возможно, фиксировать не удастся все за раз. Если во время операции возникнет опасность развития отека в ране, “damage control” операцию надо отложить, лучше поэтапно, чем осложнение.
Если имеется сомнение, надо планировать отходные пути. “Travelling spanning” фиксатор облегчит процесс транспортировки...
.Здесь примеры...


|
[
Ответить ]
|
Re: Перелом проксимального отдела большеберцовой кости
Отправитель: maxim agalakov 29 Январь 2014, 16:50
|
>Дистракция улучшает оксигенацию, приводит к >спадению отека,
- я бы добавил, только "без фанатизма", чрезмерная дистракция может привести к обратному эффекту и компартменту.
А в остальном, большое спасибо за красивую минилекцию.
|
[
Ответить ]
|
|
Re: Перелом проксимального отдела большеберцовой кости
Зубенко Андрей 29 Январь 2014, 01:49
|
Коллеги! Большое СПАСИБО за действительно ПОЛЕЗНЫЕ советы и рекомендации. Больная была уложена насистему вытяжения сразу (к сожалению в нашем отдлении к смене метода фиксации относятся плохо), курс сосудистой терапии назначен был также сразу. Независимо от результата операции снимки выложу. Интересно обсудить. Спасибо еще раз
|
[
Ответить ]
|
Re: Перелом проксимального отдела большеберцовой кости
Alman Aliyev 03 Февраль 2014, 18:55
|
ЧКДО голени под СМА
|
[
Ответить ]
|
( Ответить )
|
|