ВХОД ДЛЯ ПАЦИЕНТОВ
вверх
поиск
админ
главная
исходное
|
Re: Перелом дистального отдела плеча
послал Djoldas Kuldjanov, M.D. 09 Март 2014, 16:41
|
Отсутствие фиксирующего материала минус, а наличие ЭОП повышает шансы сделать закрытую репозицию мыщелков. При наличии опыта можно аппаратом, но в нижней трети плеча имеется риск повреждения нервов.
Остеотомию локтевого отростка надо делать только тогда, когда нет возможности репонировать сустав закрыто, иначе много случаев несращений, когда фиксация проведена винтом, или когда не соблюдается технология методом Вебера. Более ожидаемый результат современными пластинами.
Если удастся репонировать закрыто сустав, тогда доступ к задней поверхности плеча можно достичь с двух сторон трицепса: медиального и латерального. Для фиксации можно применить 90 градусные пластины или Acumed key stone концепт с двух сторон.


Для экономии времени предварительная установка премоделированной пластины до остеотомии и фиксация теми же винтами облегчает репозицию в конце операции.
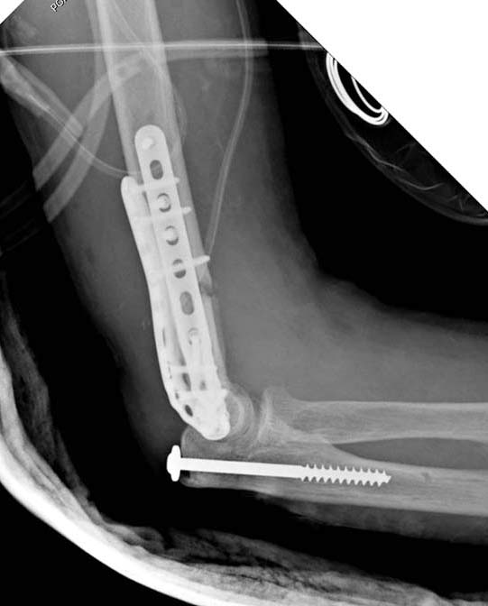
Здесь открытый перелом, временный наружный фиксатор и окончательная фиксация пластинами. Второй случай фиксация без остеотомии отростка пластинами Biomet-DePuy...
|
| Послать ответ |
Обратите внимание: Поля с жирными названиями обязательны.
Старайтесь отвечать в рамках обсуждаемой темы, а не начинать новые обсуждения.
Указывайте адекватную тему сообщения, чтобы было ясно, о чем оно.
Не послайте сообщений не по теме (оффтопик), раздраженных, грубых или обидных комментариев. Здесь это неуместно.
|