Ответить
|
Re: Перелом дистального отдела плеча
Pavel L. 03 Март 2014, 22:48
|
Без К/Т нет полной четкости, но при отсутствии возможности в выборе конструкции, остеотомия локтевого отростка и фиксация отмоделированными пластинами с обеих сторон ( укрепить обе колонны).
|
[
Ответить ]
|
Re: Перелом дистального отдела плеча
Андрей 03 Март 2014, 23:28
|
Доступ с остеотомией локтевого отростка. Блок по Ro вроде цел. Репозиция блока и головчатого возвышения, создание конгруэнтности' временная фиксация спицами. Репозиция к диафизу, временная фиксация спицами. Завести винты с головчатого возвышения в блок. Остеосинтез надмыщелков спицами и проволочными петлями, если нет пластин. Возможно уложить 1/3 трубки по локтевому краю. Удачи.
|
[
Ответить ]
|
Re: Перелом дистального отдела плеча
Керимов Артур 03 Март 2014, 23:39
|
смотрите в Букварь!!!!:
https://www2.aofoundation.org/wps/portal/surgery?bone=Humerus&segment=Distal&classification=13-C1&showPage=indication
По другому успеха не будет!!! ведь это каноны, написанные кровью пациентов!
Если не выходит самим,(тем более коллега!) отдайте туда, где умеют оперировать такие случаи.
Успехов!
|
[
Ответить ]
|
Re: Перелом дистального отдела плеча
иван 04 Март 2014, 12:39
|
По снимку два крупных отломка можно попробовать и без остеотомии, есть еще и trap доступ. Но без адекватных конструкций думаю не обойтись.
|
[
Ответить ]
|
Re: Перелом дистального отдела плеча
Дмитрий 04 Март 2014, 17:43
|
Однозначно необходимо укрепление локтевой и лучевой колонн,фрагменты крупные должно быть не сложно,лучше еще взять с собой пару винтов герберта
|
[
Ответить ]
|
Re: Перелом дистального отдела плеча
николай 04 Март 2014, 18:21
|
Вы предложили правильную тактику
оперируйте как предложили, а чем фиксировать будет видно после открытой репозиции, можно и в аппарате и пластиной и винтами
|
[
Ответить ]
|
Re: Перелом дистального отдела плеча
Отправитель: Иван 04 Март 2014, 21:18
|
"а чем фиксировать будет видно после открытой репозиции" -
а как же предоперационное планирование? видно должно быть до открытой репозиции.
|
[
Ответить ]
|
Re: Перелом дистального отдела плеча
Отправитель: николай 05 Март 2014, 10:50
|
чем фиксировать-надо быть готовым до операции
к применению тех фиксаторов, что есть в наличии
а не ограничивать себя в выборе
после репозиции всегда наглядно чем лучше
|
[
Ответить ]
|
|
Re: Перелом дистального отдела плеча
Андрей 04 Март 2014, 21:45
|
Ув. Коллега!
Первично сфо.
В Ваших условиях как бы сделал я:
1. Доступ с остеотомией локтевого отростка с последующей фиксацией винтом и стягивающей петлей (возможна внесуставная остеотомия)
2. Репозиция эпиметафиза с фиксацией винтом
3. Репозиция епиметафиза к диафизу с использованием 2-х 1/3 тр пластин на 6 отверстий расположенных по ЛАТЕРАЛЬНЫМ ПОВЕРХНОСТЯМ плечевой кости.
З.Ы. Ревизия локтевого нерва обязательна и желательно его подкожная транспозиция.
Аксютин А.Г. Киев
|
[
Ответить ]
|
Re: Перелом дистального отдела плеча
Отправитель: Maxim Agalakov 05 Март 2014, 14:30
|
а Почему по латеральным БОЛЬШИМИ БУКВАМИ.
"Jacobson et al (1997) J South Orthop Assoc 6:241.
Biomechanical testing of five constructs
All were stiffer in the coronal plane than the sagittal plane
Strongest construct
medial reconstruction plate with posterolateral dynamic compression plate"
http://ota.org/education/resident-resources/core-curriculum/upper-extremity/
|
[
Ответить ]
|
|
Re: Перелом дистального отдела плеча
Anatoly Lazarev 04 Март 2014, 22:06
|
Самая короткая дорога - знакомая дорога.
Задний доступ с отсечением локтевого отростка, положение на животе,
рука на столике, локтевой сустав согнут - уже практически репозиция.
Выделите локтевой нерв, начиная не от сустава, а проксимальнее на плече, отведите его. Блок фиксируйте стягивающим винтом с неполной резьбой, если нет, то по методике стягивающего винта с рассверливанием. Восстановите обе колонны, временная фиксация спицами. Рентген контроль или ЭОП. Остеосинтез третьтрубчатыми пластинами вполне приемлем при некоторой подготовке последних. Моделируйте пластины по искусственному плечу
перед операцией с учетом положения пластин - под углом 90 гр или параллельно. Пластины несколько мягковаты, поэтому вложите одну в другую, т.е. двойные моделированные пластины.
Для предоперационного планирования и интраоперационного контроля хорошо иметь снимок здорового локтевого сустава в идентичных проекциях, в крайнем случае ЭОП, но рентген лучше.
Перед операцией, сравнивая снимки с двух рук, попытайтесь определиться с 3 отломками для правильного восстановления обеих колон. Аккуратнее со спицами для стягивающей петли, не ленитесь сделать контроль, даже если нет ЭОП.
Где то так. Успехов. ЛАФ.
|
[
Ответить ]
|
Re: Перелом дистального отдела плеча
Николай 05 Март 2014, 12:07
|
Полностью согласен с предложенным видом операции, но в виду отсутствия достаточного количества фиксаторов и ЭОПа после открытой репозиции, фиксация отломков можно произвести тем набором фиксаторов который имеется в ЛПУ.
|
[
Ответить ]
|
Re: Перелом дистального отдела плеча
erokhin alexandr 05 Март 2014, 14:22
|
А по мне,коли не хватает чего-то или фиксаторов, или опыта,то и не нужно ломать голову,а полечить консервативно- скелетным вытяжением по ХНИИОТ. Только не поленитесь провести 2 спицы через локтевой отросток,по одной скользит.Всё можно отрепонировать и вытяжением в течении 4-5 недель и,поверьте, результат будет не хуже,как минимум.
Когда-то и я пытался и просто спицами(а чего- запросто всё сопоставиться), и аппаратом- да можно и аппаратом,можно даже установить подшипники между сегментами плечо-предлечье,подходят от роликовых коньков )),только попотеть нужно с аппаратом,да и спорт напоминает,типа,"а вот я и так могу". Всё можно делать и пластины перегибать негодные для такого синтеза и всякой ерундой фиксировать,только зачем?
Да,ещё: почему нет пластин? Сейчас можно ведь и приобрести у разных медпредставителей.Не думаю,что будет очень дорого.. Удачи.
|
[
Ответить ]
|
Re: Перелом дистального отдела плеча
Отправитель: Maxim Agalakov 05 Март 2014, 15:24
|
>Сейчас можно ведь и приобрести у разных >медпредставителей
ссобщение c врачей РФ, много буков (но незарегестрированные пользователи не увидят полный текст письма по ссылке.
Медик получил 2,5 года условно за обман 99 пациентов
"вчера в 17:54 МедНовости
Исполняющий обязанности заведующего травматологическим отделением больницы в Уссурийске признан судом виновным в незаконных поборах с пациентов и осужден на 2,5 года лишения свободы условно. Как доказало расследование, медик вынудил 99 пациентов купить медицинские изделия, которые полагались им бесплатно.
«Установлено, что обвиняемый, работая в должности заведующего травматологическим отделением КГБУЗ «Уссурийская центральная городская больница», не принимал мер к обеспечению отделения металлоконструкциями для остеосинтеза, при этом доводил до сведения подчиненных, что администрация больницы не выполняет эти заявки, в связи с чем пациентам отделения необходимо их приобретать за свой счет. Пациенты, в свою очередь, приобретали необходимые изделия в рекомендованном магазине», — говорится в сообщении СК.
Между тем, требующиеся пациентам изделия врач поставлял в ортопедический салон сам. После реализации руководство магазина получало 20% от незаконной выручки, а остальную часть присваивал.
По данным следствия, обманув таким образом 99 пациентов больницы в 2011 году, медик выручил незаконным путем более двух миллионов рублей.
Суд избрал для врача наказание в виде лишения свободы условно на 2,5 года с испытательным сроком на 2 года и 6 месяцев. Кроме того, врач лишен права на тот же срок заниматься врачебной деятельностью."
Ссылка на оригинал: http://medportal.ru/mednovosti/news/2014/03/03/329court/
Как-то так
|
[
Ответить ]
|
Re: Перелом дистального отдела плеча
Отправитель: erokhin alexandr 06 Март 2014, 11:59
|
"Между тем, требующиеся пациентам изделия врач поставлял в ортопедический салон сам. После реализации руководство магазина получало 20% от незаконной выручки, а остальную часть присваивал."-
так это жульничество чистой воды.
А,вот довести информацию до пациента прямая обязанность врача,так,как пациент "имеет право на информацию",а сокрытие информации,может так же привести на скамью подсудимых и ещё могут ,при грамотном адвокате вчинить иск на круглую сумму. Какая доведена информация-можно и в истории болезни отразить подробно,не полениться и дать пациенту расписаться.. В чем проблема?? Если нет нужной железки,а она нужна завтра,то её нужно купить или получить от больницы,по страховке. Нет бесплатно?-Извините..Сделал всё,что мог.
|
[
Ответить ]
|
|
Re: Перелом дистального отдела плеча
Роман Д. 05 Март 2014, 23:32
|
Огромное спасибо коллеги за помощь. Пластин нет потому что денег нет:)!
|
[
Ответить ]
|
Re: Перелом дистального отдела плеча
Александр Н. 07 Март 2014, 04:46
|
Уважаемые коллеги!
Тема розничных продаж в травматологии ВЕЧНА! На рынке всегда будут появляться новые, более удобные и совершенные импланты!
Для того чтобы избегать жалоб и неприятностей рекомендую: 1. Тщательно общайтесь с пациентом - в большинстве они не хотят быть вовлечены в процесс лечения!!!! Типа Вы доктор - Вам и решать - не попадайтесь! На этой стадии отношения пациента к своей травме, что бы вы не предложили все не впрок. Очень хорошо помогает пациентам скелетное вытяжение и время после травмы. Не спешите!!! У пациента должна появиться стойкая мотивация на восстановление двигательной способности. 2. Доведите до осознания пациента, что последствия любой травмы неизбежны!!!!! и задача пациента это принять и жить с этим! 3. Только после этого вовлекайте в обсуждение плана лечения (АВФ, пластина,штифт) - нами давно отработан пакет документов для розничных продаж, везде подписи и пациентов и администраторов - немного защищает, но не факт!
Беретесь лечить неподготовленного пациента - ждите
проблем и недовольства! Это Вам было нужно его лечить! Если пациент не идет на контакт, не мотивирован на совместную работу с врачом- то,,,,,,, Есть замечательная цитата из Сократа о том что нельзя голову лечить отдельно от тела,,,,, Этот вопрос поднимался врачами более 2000 лет назад!!!!!
|
[
Ответить ]
|
Re: Перелом дистального отдела плеча
В Машталов 07 Март 2014, 11:28
|
Я бы не отсекал локтевой отросток. Чрездельтовидный доступ вполне достаточен при таком переломе. Локтевой отросток является матрицой для репозиции суставной поверхности. Контроль срединного нерва. Мы на держалки его не берем,но всегда его надо видеть. До начала репозиции надо хорошо мобилизовать внутренний надмыщелок плеча Чаще всего повреждается при введении спицы через блок при введении с латеральной стороны Для латеральной колонны можно использовать моделированную 3,5 мм прямую пластину, а для медиального 1/3 трубчатую,3,5 полнорезьбовой винт через блок желательно ввести рез дисатльное отвертие медиальной пластины. Моделировать пластины до операции, дистальные конца округлить. В идеале премоделированные LCP медиальная и заднелатеральная (малобюджетный вариант Остеомед, много Синтез, Страйкер и. д.)Движения в суставе сразу (на 2-3 сутки)СРМ- терапия, индометацин 2-3 недели
|
[
Ответить ]
|
Re: Перелом дистального отдела плеча
Отправитель: Дмитрий 08 Март 2014, 14:44
|
2 вопроса:
- расскажите подробней как трансделтовидным доступом выйти на дистальный метаэпифиз плеча(если можно ссылку)
-как без отсечения локтевого отростка проконтролировать качество репозиции суставных отломков
Ps:пока писал возник 3 вопрос-зачем искать ЛУЧЕвой нерв на этом уровне?
С уважением,дмитрий
|
[
Ответить ]
|
Re: Перелом дистального отдела плеча
Отправитель: Дмитрий 08 Март 2014, 20:37
|
Простите описался не ЛУЧЕвой ,а СРЕДинный)
|
[
Ответить ]
|
Re: Перелом дистального отдела плеча
Отправитель: Антон Бехтерев 09 Март 2014, 02:08
|
https://www2.aofoundation.org/wps/portal/!ut/p/c1/04_SB8K8xLLM9MSSzPy8xBz9CP0os3hng7BARydDRwN3Q1dDA08XN59Qz8AAQwMDA6B8JJK8haGFgYFnqKezn7GTH1DahIBuP4_83FT9gtyIcgBttnJy/dl2/d1/L2dJQSEvUUt3QS9ZQnB3LzZfQzBWUUFCMUEwRzFFMTBJREZMVUlRUDEwMDA!/?contentUrl=%2fsrg%2f13%2f04-Approaches%2f13_Appr_Post_Alonso-Llames.jsp&bone=Humerus&segment=Distal&showPage=approach&classification=13-C1&treatment=&method=&implantstype=&redfix_url=&approach=Posterior%20triceps-on%20(Alonso-Llames)%20approach%20to%20the%20distal%20humerus
https://www2.aofoundation.org/wps/portal/!ut/p/c1/04_SB8K8xLLM9MSSzPy8xBz9CP0os3hng7BARydDRwN3Q1dDA08XN59Qz8AAQwMDA6B8JJK8haGFgYFnqKezn7GTH1DahIBuP4_83FT9gtyIcgBttnJy/dl2/d1/L2dJQSEvUUt3QS9ZQnB3LzZfQzBWUUFCMUEwRzFFMTBJREZMVUlRUDEwMDA!/?contentUrl=%2fsrg%2f13%2f04-Approaches%2f13_Appr_post_Morrey.jsp&bone=Humerus&segment=Distal&showPage=approach&classification=13-C1&treatment=&method=&implantstype=&redfix_url=&approach=Posterior%20triceps-elevating%20approach%20(after%20Bryan-Morrey)
Имелся в виду локтевой нерв, полагаю.
|
[
Ответить ]
|
Re: Перелом дистального отдела плеча
Отправитель: Alexey Semenisty 09 Март 2014, 07:05
|
Нет, в оригинальном посте речь была о СРЕДинном нерве. ... что делает вопрос еще интереснее)
|
[
Ответить ]
|
|
Re: Перелом дистального отдела плеча
Alexey Semenisty 09 Март 2014, 07:03
|
Если по существу: анатомическая репозиция простого суставного перелома возможна и без отсечения локтевого отростка. Контролировать качество репозиции приходится тактильно пальцем и под рентгеноскопией. Но если есть сомнения в качестве репозиции, то необходим прямой визуальный контроль- т.е. Необходима остеотомия. Фиксация: суставные фрагменты - стягивающим винтом. Суставной блок к диафизу - пластинами ( 90 и ли 180 град. техника
|
[
Ответить ]
|
Re: Перелом дистального отдела плеча
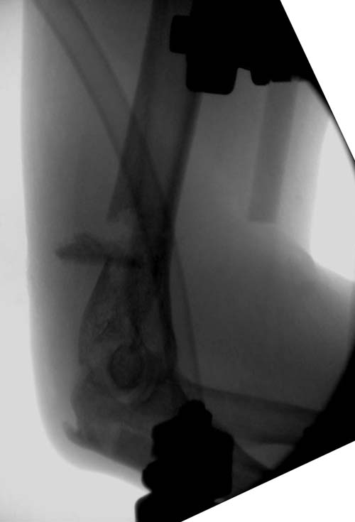
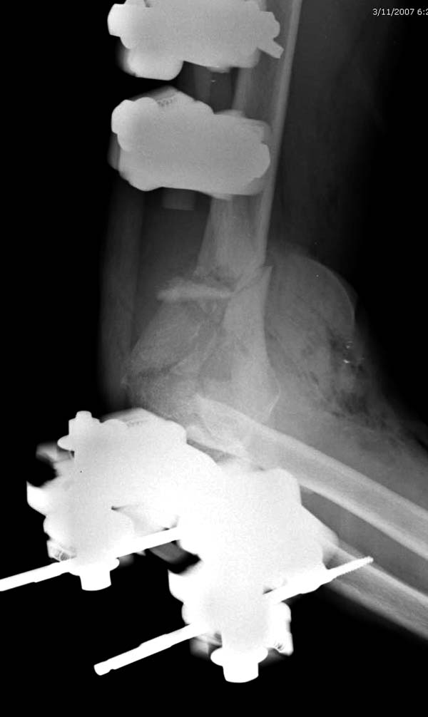
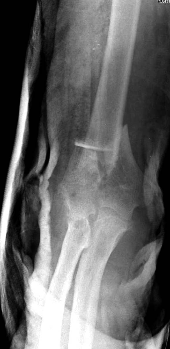
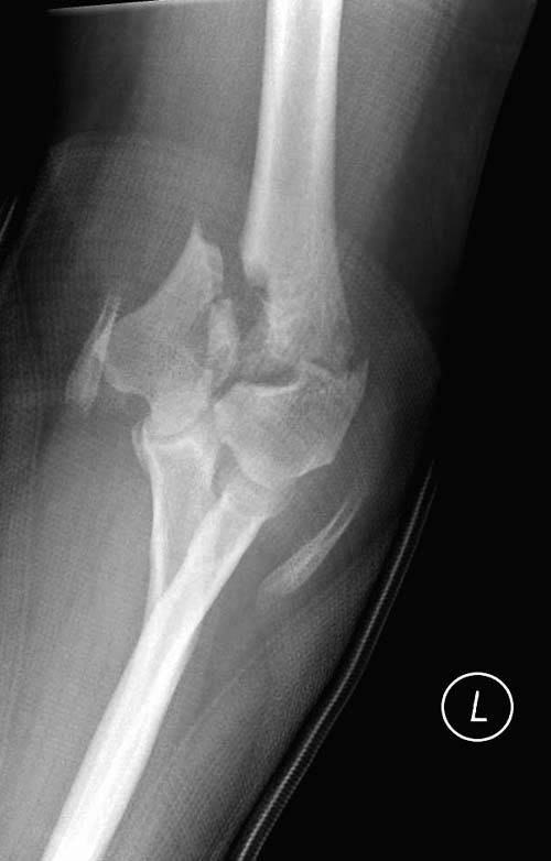
Djoldas Kuldjanov, M.D. 09 Март 2014, 16:41
|
Отсутствие фиксирующего материала минус, а наличие ЭОП повышает шансы сделать закрытую репозицию мыщелков. При наличии опыта можно аппаратом, но в нижней трети плеча имеется риск повреждения нервов.
Остеотомию локтевого отростка надо делать только тогда, когда нет возможности репонировать сустав закрыто, иначе много случаев несращений, когда фиксация проведена винтом, или когда не соблюдается технология методом Вебера. Более ожидаемый результат современными пластинами.
Если удастся репонировать закрыто сустав, тогда доступ к задней поверхности плеча можно достичь с двух сторон трицепса: медиального и латерального. Для фиксации можно применить 90 градусные пластины или Acumed key stone концепт с двух сторон.


Для экономии времени предварительная установка премоделированной пластины до остеотомии и фиксация теми же винтами облегчает репозицию в конце операции.
Здесь открытый перелом, временный наружный фиксатор и окончательная фиксация пластинами. Второй случай фиксация без остеотомии отростка пластинами Biomet-DePuy...
|
[
Ответить ]
|
( Ответить )
|
|