ВХОД ДЛЯ ПАЦИЕНТОВ
вверх
поиск
админ
главная
исходное
|
Re: БИОС б/берцовой кости
послал Djoldas Kuldjanov 13 Май 2014, 22:49
|
Влад, спасибо за выложенный случай.
Из дискуссии понял, что результат операции устраивает, и никто не собирается делать ревизию. Прошло достаточно времени, и если “соседи” уже не сделали, то можно оставить как есть. Такие смещения допускаются для консервативного лечения, но для оперативного лечения деформация считается неудовлетворительной. Проверенный метод Илизарова дал бы возможность улучшить положение отломков, в отличие от дескредитированного БИОС.
Разбор любого случая кому-то поможет лучше ориентироваться в решении вопросов, потому что в нашей работе встречаются разные связанные и несвязанные с мастерством хирурга ситуации. Возможно, отсутствие полного набора гвоздей повлияло на выбор короткого имплантата, имеется угловая и ротационная деформации. Независимо от локализации, стабильность создается, когда гвоздь проксимально не глубже 1.5 см (облегчает удаление) и дистально доходит до epiphyseal scar.
Кроме этого, имеет значение предварительная репозиция и риминг в центре канала. Интактная малоберцовая иногда затрудняет репозицию, но существуют разные приемы, нп. при застарелом можно применить дистракторы: стержневой или кольца Илизарова, а при свежих - перкутанно Weber clamp.
Мнение о том, что гвоздь сделает репозицию не всегда соответствует истине. Снимки показывают на неудачную попытку исправить направление гвоздя с помощью “поллеров”. Прием возможен только тогда, когда проход риминга в центре канала, иначе толкать гвоздь некуда.
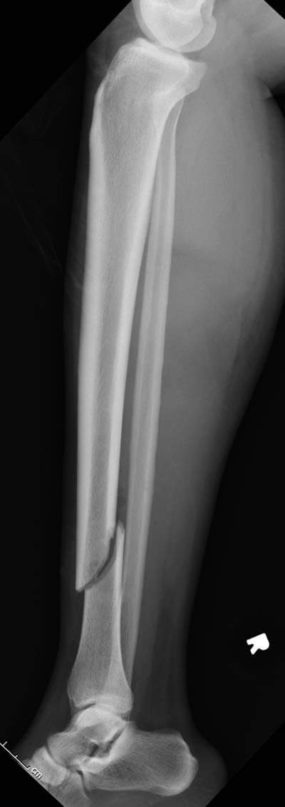
Здесь несколько снимков изолированного перелома большеберцовой с интактной малоберцовой. Weber clamp, блокирующие спицы и риминг в центре канала отрепонировал перелом....

|
| Послать ответ |
Обратите внимание: Поля с жирными названиями обязательны.
Старайтесь отвечать в рамках обсуждаемой темы, а не начинать новые обсуждения.
Указывайте адекватную тему сообщения, чтобы было ясно, о чем оно.
Не послайте сообщений не по теме (оффтопик), раздраженных, грубых или обидных комментариев. Здесь это неуместно.
|