Ответить
|
Re: БИОС б/берцовой кости
Антон 01 Май 2014, 14:04
|
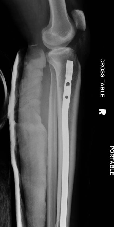
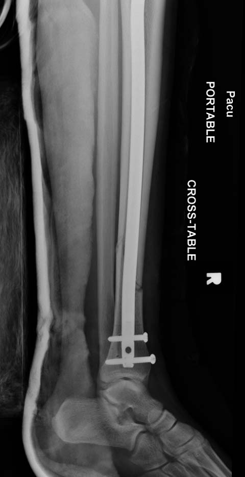
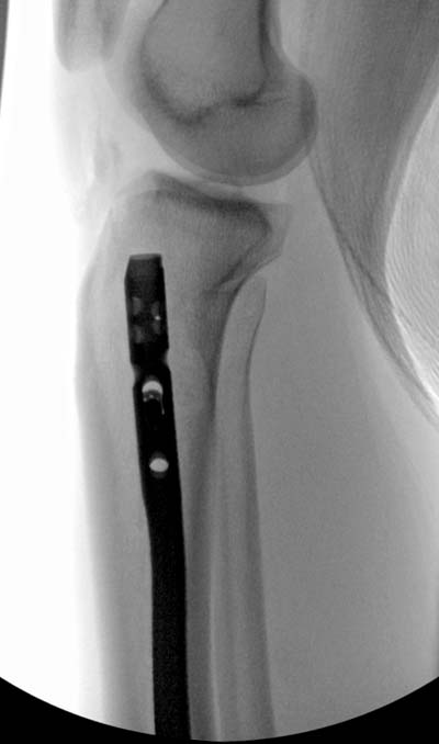
Гвоздь сильно коротковат, есть ощущение, что проксимальный блокирующий винт мимо гвоздя, ну и варус - не вальгус, конечно...
|
[
Ответить ]
|
Re: БИОС б/берцовой кости
Отправитель: Антон 01 Май 2014, 20:35
|
"проксимальный блокирующий винт мимо гвоздя"
дистальный, конечно же - тот, что попроксимальнее из 2х дистальных)
|
[
Ответить ]
|
Re: БИОС б/берцовой кости
Отправитель: Иван 02 Май 2014, 02:01
|
Это poller, а не мимо)
|
[
Ответить ]
|
Re: БИОС б/берцовой кости
Отправитель: Антон 02 Май 2014, 14:50
|
очень странный тогда поллер..
учитывая короткий гвоздь (что есть, как говорится)- тогда уж репозиция с помощью нескольких поллерных спиц/большой "цапки" и дистальное блокирование 2 винтами как минимум
|
[
Ответить ]
|
|
Re: БИОС б/берцовой кости
Иван 01 Май 2014, 16:04
|
Коллеги у нас всегда любят рубить с плеча) особенно, когда оперировал кто-то другой)
Хотя, по существу, гвоздь действительно короткий, и не смотря на это, заблокирован дистально только одним винтом - не стабильно
Не смотря на пойлерный винт остается варусное смещение дистального отломка и ротация его.
По моему, если бы вы выбрали гвоздь большего диаметра, многие проблемы бы решились
Вопрос - как вести дальше? Уж, по крайней мере, ранняя нагрузка здесь не получися(
|
[
Ответить ]
|
Re: БИОС б/берцовой кости
Денис Магсумов 01 Май 2014, 19:14
|
1. Гвоздь ОЧЕНЬ коротковат. Нет репозиции большеберецовой, гвоздь в дистальном отломке пошел по задней стенке.
2. Не зафиксирована малоберцовая кость: уровень перелома достаточно низкий, чтобы им пренебрегать. Да и состояние дистального синдесмоза сомнительное.
|
[
Ответить ]
|
Re: БИОС б/берцовой кости
Mark Eidelman 01 Май 2014, 19:21
|
A v chem zagvozdka?: pomerte mechanical axis deviation , angles of distal and proximal tibia, compare to the normal side - I Vy uvidite chto sosedi pravy
|
[
Ответить ]
|
Re: БИОС б/берцовой кости
Иван Кравченко. Киржачская ЦРБ. 02 Май 2014, 10:54
|
По моему, Вам в данной ситуации стоит сделать только одно: позвонить в ту самую "другую больницу" и в вежливой форме сказать, что так говорить не очень этично (даже если "накосячили"). А ножку оставить в покое.
С Уважением КИА.
|
[
Ответить ]
|
Re: БИОС б/берцовой кости
Alexey Semenisty 02 Май 2014, 11:06
|
Нет, не накосячили, накосорезили!
|
[
Ответить ]
|
Re: БИОС б/берцовой кости
Alexander Larionov 02 Май 2014, 11:08
|
Я за то чтобы пустой винтик убрать, ось под ЭОПчиком поправить и в дырочку винт ввести. Нагрузку ограничить, но приступать можно будет и подождать полгодика.
|
[
Ответить ]
|
Re: БИОС б/берцовой кости
erokhin alexandr 03 Май 2014, 22:08
|
А к чему на такой перелом ставить БИОС? Без него никак разве? Ладно если частичный дефект,замедленная консолидация итд. Но здесь, ничего похожего..
Оценивать не буду. Вы и сами оценили..
|
[
Ответить ]
|
Re: БИОС б/берцовой кости
Отправитель: Антон Жаглин 05 Май 2014, 13:46
|
Александр, а что на "такой перелом" надо ставить?
|
[
Ответить ]
|
Re: БИОС б/берцовой кости
Отправитель: alexandr erockyin 06 Май 2014, 18:01
|
Непринципиально что: пластина,аппарат(от Илизаровского,до стержневого с цанговым эффектом,на всё про всё уходит 10-15 мин,вот как называется не знаю-),хотя ставил много,пластина,тоже непринципиально какая LCP,DCP- что есть. Даже 2 винта из маленького разреза. БИОС всё-таки дорогая щтука и повозиться нужно.
|
[
Ответить ]
|
|
Re: БИОС б/берцовой кости
maxim agalakov 05 Май 2014, 12:01
|
Остеосинтез неидеальный, но БИОС и такое прощает, ось вроде бы ничего. Можно вести стандартно, только наблюдать почаще, при признаках замедленной консолидации - реостеосинтез.
|
[
Ответить ]
|
Re: БИОС б/берцовой кости
Aleks 06 Май 2014, 22:34
|
Ещё не понятно как тут с ротацией, мне кажется это даже более важно , чем варус.
|
[
Ответить ]
|
Re: БИОС б/берцовой кости
Djoldas Kuldjanov 13 Май 2014, 22:49
|
Влад, спасибо за выложенный случай.
Из дискуссии понял, что результат операции устраивает, и никто не собирается делать ревизию. Прошло достаточно времени, и если “соседи” уже не сделали, то можно оставить как есть. Такие смещения допускаются для консервативного лечения, но для оперативного лечения деформация считается неудовлетворительной. Проверенный метод Илизарова дал бы возможность улучшить положение отломков, в отличие от дескредитированного БИОС.
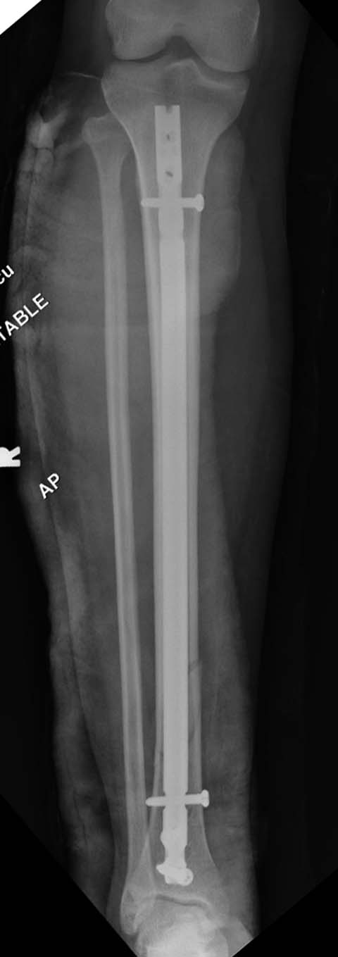
Разбор любого случая кому-то поможет лучше ориентироваться в решении вопросов, потому что в нашей работе встречаются разные связанные и несвязанные с мастерством хирурга ситуации. Возможно, отсутствие полного набора гвоздей повлияло на выбор короткого имплантата, имеется угловая и ротационная деформации. Независимо от локализации, стабильность создается, когда гвоздь проксимально не глубже 1.5 см (облегчает удаление) и дистально доходит до epiphyseal scar.
Кроме этого, имеет значение предварительная репозиция и риминг в центре канала. Интактная малоберцовая иногда затрудняет репозицию, но существуют разные приемы, нп. при застарелом можно применить дистракторы: стержневой или кольца Илизарова, а при свежих - перкутанно Weber clamp.
Мнение о том, что гвоздь сделает репозицию не всегда соответствует истине. Снимки показывают на неудачную попытку исправить направление гвоздя с помощью “поллеров”. Прием возможен только тогда, когда проход риминга в центре канала, иначе толкать гвоздь некуда.
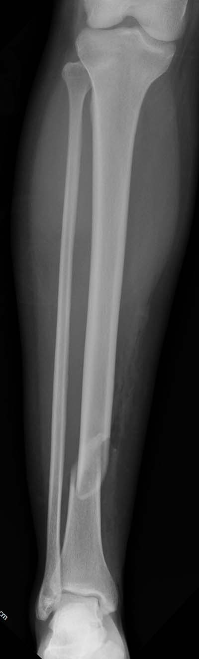
Здесь несколько снимков изолированного перелома большеберцовой с интактной малоберцовой. Weber clamp, блокирующие спицы и риминг в центре канала отрепонировал перелом....

|
[
Ответить ]
|
Re: БИОС б/берцовой кости
Отправитель: maxim agalakov 16 Май 2014, 08:05
|
а гипс зачем? Вы его рутинно используете для профилактики эквинуса? если да. то на какое время?
|
[
Ответить ]
|
Re: БИОС б/берцовой кости
Отправитель: Djoldas Kuldjanov, M.D. 18 Май 2014, 00:23
|
Это не гипс, а послеоперационная дисциплинирующая повязка Robert Jones Bandage (Dressing). Во-первых, в первые сутки желательно закрывать свежую операционную рану, потому что не все переносят вид операционных разрезов. Повязка, состоящая из нескольких слоев ваты и шины, отвечает этим требованиям. Кроме этого, помогает безболезненно двигать конечностью, и в отличие от тех, где операционный разрез закрыта тонким слоем стерильной повязки создается равномерное давление вокруг и предупреждает образованию отека конечности. Профилактику образования эквинуса предупреждает брейс.
Здесь описание...The Robert Jones Bandage
http://www.bjj.boneandjoint.org.uk/content/68-B/5/776.full.pdf
|
[
Ответить ]
|
Re: БИОС б/берцовой кости
Отправитель: Djoldas Kuldjanov 20 Май 2014, 10:38
|
В нашем распоряжении были все размеры гвоздей, но взяли этот.
Следующий размер на 15 мм больше и доходил до уровня сустава. Иногда даже самая идеальная фиксация не гарантирует сращение, надо оставить запас для динамизации. Дистально исчерпан лимит, а проксимально достаточно места...
|
[
Ответить ]
|
|
( Ответить )
|
|