AOTRAUMA.ORG Центр Илизарова  

Ортопедия и травматология Общие вопросы/General questions Help Информационные технологии в медицине
 вверх
 отправить
 поиск
 админ
 главная
 Предыдущее


Re: Внутрисуставной перелом дистального метаэпифиза лучевой кости
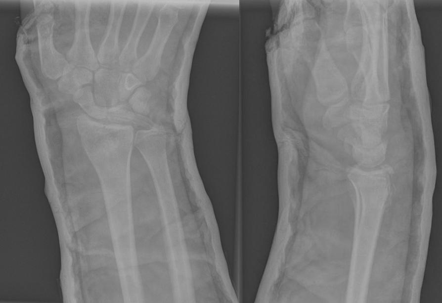
Владимир 12 Май 2014, 12:58


Коллеги, спасибо большое за Ваше активное участие и советы. Прилагаю снимок через 7 суток.



  • Сообщения о Ортопедия и травматология
  • Также Владимир
  • Связаться с автором
  • Ответить

    Re: Внутрисуставной перелом дистального метаэпифиза лучевой кости
    Савранский Александр 13 Май 2014, 23:27
    Прикольно! Обсуждали луч, а на контроле - голень! Метаморфоза однако!
    [ Ответить ]


    ( Ответить )

    Powered by Zope  Squishdot Powered MedLink
    Посетитель: 0195845
      "По форме правильно, а по существу - издевательство" В.И.Ленин
    ©2001-2019Orthoforum Coordinator.
    [ Главная | Отправить сообщение | Поиск | Админ ]