AOTRAUMA.ORG Центр Илизарова  

Ортопедия и травматология Общие вопросы/General questions Help Информационные технологии в медицине
 вверх
 отправить
 поиск
 админ
 главная
 Предыдущее


Re: Артроскопический остеосинтез таранной кости
Бережной Сергей 15 Июнь 2014, 03:05

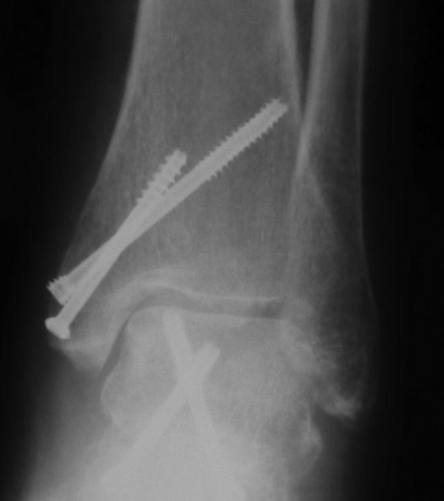
Два дня был без доступа к интернету. Во вложении недавний случай остеосинтеза оскольчатого переломовывиха таранной кости. Методика классическая. С анатомической репозицией и стабильной фиксацией. Без гипса после операции.

  • Сообщения о Ортопедия и травматология
  • Также Бережной Сергей
  • Связаться с автором
  • Ответить

    Re: Артроскопический остеосинтез таранной кости
    A.Liberson 20 Июнь 2014, 22:45
    Согласен с Сергеем
    фиксировать можно только репонированный перелом. в даном случайе есле не удалось вправить нужно открытся вправить и фексировать. иногда мелкие фрагменты сустава не держуся. но тогда картина будет инная - к сожалению все делается в день поступления для сохранения кровоснабжения. остеотомия одной из лодижак или обеих обычно нужна. я решаю каким или какими подходами идти по фрагментам видным на ст. советую остеотомию с углом для каждой из лодыжек.
    могу выложить картинки для этих сложных случаев
    A. Liberson

    [ Ответить ]


    ( Ответить )

    Powered by Zope  Squishdot Powered MedLink
    Посетитель: 0194825
      "По форме правильно, а по существу - издевательство" В.И.Ленин
    ©2001-2019Orthoforum Coordinator.
    [ Главная | Отправить сообщение | Поиск | Админ ]