AOTRAUMA.ORG Центр Илизарова  

Ортопедия и травматология Общие вопросы/General questions Help Информационные технологии в медицине
 вверх
 отправить
 поиск
 админ
 главная


После остеосинтеза лодыжек
Ортопедия и травматология Отправлено Vasily Gagarin 20 Сентябрь 2014, 23:53
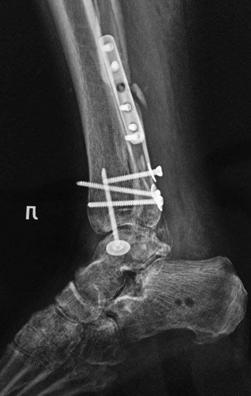
А вот такую задачку нам задали друзья с севера. Операция в мае этого года. На данный момент пациент опереться на конечность не может.
Возраст: за 50. Движений в голеностопном суставе практически нет ( в пределах 10-15 градусов) суставы стопы функционируют. Умеренная контрактура. Ходит с костылями, приступает на ногу. Нагрузка не по оси. Внешний вид: застарелый отек.Да, и забыл отметить. Обратите внимание на синтез заднего края. Доступ с отсечением ахилла

<  |  >

 

  • Сообщения о Ортопедия и травматология
  • Также Vasily Gagarin
  • Связаться с автором
  • Ответить

    Re: После остеосинтеза лодыжек
    Бережной Сергей 21 Сентябрь 2014, 00:48
    Это свежие снимки? Если нагрузка не по оси, то неплохо бы сделать снимки с нагрузкой. А так не очень понятно, что мешает наступать на ногу. Небольшой подвывих кнаружи? Не такая уж и причина. Или подвижность фрагментов малоберцовой? Но лизиса вокруг винтов не видно. Может быть процесс по типу КРБС? Застарелый отек, выраженный регионарный остеопороз, тугоподвижность: укладывается. Про ахилл Вы не пишете ничего. Состоятельна ли рефиксация? Так что если ахилл состоятелен, нужен хороший курс реабилитации: бинтование или компрессирующий гольф, физкультура, физиотерапия, остеогенон с СаД3. А потом уже, при отсутствии улучшения, думать о повторной операции (реостеосинтез лодыжек? Задний край хорошо стоит). И даже если ахилл несостоятелен лучше начать с консервативного лечения. Спешки ведь через 4 месяца никакой нет уже.
    [ Ответить ]

    Re: После остеосинтеза лодыжек
    Alexander Chelnokov 21 Сентябрь 2014, 01:08
    А опереться не может - почему? Где больно? Почему движения плохие - их пытались разрабатывать? По снимкам ничего уж такого явного не видно. То есть артродез тут, вероятно, придется делать, но хоть какое-то время пациент должен бы до него походить.

    [ Ответить ]

    Re: После остеосинтеза лодыжек
    A.Liberson 21 Сентябрь 2014, 05:53
    Complex Regional pain syn.?
    Alodynia? Colour changes?
    -A L

    [ Ответить ]

    Re: После остеосинтеза лодыжек
    Антон Бехтерев 21 Сентябрь 2014, 10:06
    Трудно рассуждать о комплексном региональном болевом синдроме только по рентгенограммам. Остеопороз может быть результатом длительной иммобилизации, боль - сохраняющимся подвывихом стопы, недорепонированным задним краем. И отек туда же. Я бы предлагал больному артродез гвоздем, как минимально агрессивный в отношении мягких тканей. Смысла в длительной реабилитации сейчас не вижу: на такой ноге он все равно ходить не будет.
    [ Ответить ]

    Re: После остеосинтеза лодыжек
    Максимов Вадим 22 Сентябрь 2014, 00:36
    Ув.Василий!Возможно предоставить больше информации
    которая отражает динамику лечения ?Снимки,КТ?
    По Rg, кроме подвывиха стопы,очень похоже на перелом таранной кости.Спасибо.
    [ Ответить ]

    Re: После остеосинтеза лодыжек
    Петр Ромчук 22 Сентябрь 2014, 01:36
    Если это свежие рентгенограммы, то у больного имеется несращение перелома медиальной лодыжки, неустраненное повреждение синдесмоза ---> нестабильность ---> неопорная конечность. Показан реостеосинтез медиальной лодыжки и, восстановление синдесмоза стягивающим (не позиционным, как в свежим случаях) винтом 4 кортикала в нейтральном положении стопы. Ранняя нагрузка в брейсе или без. Не споря о точной терминологии (КРБС, нейродистрофеский с-м и т.д.), следует максимально быстро восстановить опороспособность конечности. Для этой стопы осевая нагрузка важнее подвижности в суставе.


    [ Ответить ]

    • Re: После остеосинтеза лодыжек
      Отправитель: алекс 24 Сентябрь 2014, 21:34
      Руки необходимо поотбивать тому, кто делал остеосинтез. Подвывих стопы, несращение внутренней лодыжки, остеопороз. Разве этого мало?
      Необходимо всё переделать!!!!!

      [ Ответить ]
    Re: После остеосинтеза лодыжек
    Антон Андрианов 26 Сентябрь 2014, 11:38
    С завидным постоянством подобные случаи всплывают на этом форуме, вызывая оживленное обсуждение. И вновь на одни и те же грабли наступают коллеги.
    Естественное желание путем операции за час-полтора восстановить анатомию и добиться лучшего функционального результата оказывается недостижимым при недостаточном знании основных ОА принципов. Я вспоминаю, как в 1991 году уважаемый профессор В.В. Кузьменко, знакомя нас с инструментами и фиксаторами Матис, сказал- купив эти железки Вы обязаны делать все, как придумали мудрые швейцарцы, не пытаясь упрощать или улучшать. Подобные переломы успешно лечились и до АО эпохи. Старшее поколение помнит и этапы вправления по Богданову и пыточный аппарат Свердлова.
    Скорее всего репозиция медиальной лодыжки не достигнута из=за укорочения малоберцовой кости. Любая операция в этом состоянии трофики лишь усилит боль и пороз, не позволит добиться функционального результата. Согласен с коллегами, которые предлагают нагружать ногу в ортезе. Возможно подключить бисфосфанаты, большие дозы Дз и ударно-волновую терапию. Последнее я практикую уже 9 лет , отмечается быстрая редукция боли и отека. Через пару месяцев я бы удалил винт из медиальной лодыжки и не пытался бы ее фиксировать,а косой остеотомией удлинил бы малоберцовую, что позволит исправить латерализацию таранной кости. В дальнейшем ходьба с супинаторами , время определит сроки артродеза.
    [ Ответить ]

    Re: После остеосинтеза лодыжек
    Дедок Михаил 27 Сентябрь 2014, 00:13
    Данные противоречат. Движений в голеностопном суставе нет, в то же время умеренная контрактура. Выраженный остеопороз. Доступ через ахилл :(

    Всегда интересно такое "пощупать" самому.

    По поводу дискуссии.

    1. Выраженный остеопороз. Ахилл ретрагирован, рубцы. Сразу лезть не стоит, надо восстановить объем движений. А вот с осевая нагрузка - дозированная.
    2. А с тибиальным нервом все в порядке, он в рубец не вовлечён?
    3. Внутренняя лодыжка иногда не срастается и при хорошей репозиции. Наружная укорочена. Внутренняя смещена латерально. Такое возможно, если не рентгенконтроля в операционной. Отсюда вопрос: а он во всех больницах есть? Надо не бить по рукам, а обучать и оснащать. По рукам любят бить жители столицы и крутые клинические ординаторы. Хотел бы посмотреть на Вас в районе Владимирской или Рязанской области без С дуги (вообще нет) и портативного рентгена в оперблоке. (Сломался). Извините, если резок, но мы не были в операционной. Может анестезиолог орал заканчивай быстрей или экстренность торопила ?!
    4. Оперировать надо. Но надо восстановить объем движений. Если не получится. То ревизия ахилла.
    [ Ответить ]

    • Re: После остеосинтеза лодыжек
      Отправитель: A.Liberson 27 Сентябрь 2014, 20:44
      Agree cimpletely. I am unhappy with the result, though if there is a nerve disease it was not diagnosed by EMG or clinical picture. The fact we have a lancet and hammer shouldn't indicate we have to operate. Let us have a clinical picture. Emg might indicate need for nerve surgery. I would diagnose and start Pregabaline 50 a day if the kidney function is Ok. Weekly increase in dosage will probably yeald a result at 225 mg a day or twice as much. Hydrotherapy.
      Good luck in this difficcult case. AL


      [ Ответить ]

     

    ( Ответить )

    Powered by Zope  Squishdot Powered MedLink
    Посетитель: 0174950
      "По форме правильно, а по существу - издевательство" В.И.Ленин
    ©2001-2019Orthoforum Coordinator.
    [ Главная | Отправить сообщение | Поиск | Админ ]