вверх
отправить
поиск
админ
главная
|
Остеомиелит-ваши методы лечения |
 |
 |
 |
Отправлено Евгения Рязанова 21 Октябрь 2014, 23:38
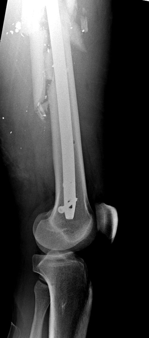
ДТП, открытый оскольчатый перелом левого бедра со смещением Наложение АВФ на левое бедро 31.03.12 *Перемонтаж АВФ на левом бедре 20.04.12 *Снятие АВФ 25.07.12 Перелом регенерата 28.07.12 -Повторное наложение АВФ. В последующем с образованием функционирующего свища. *1.11.12 Демонтаж АВФ с левого бедра, удаление отломка стержня *20.11.12 БИОС левого бедренной кости *21.06.13 Удаление стержня из левого бедра. *8.10.13 Секвестрнекрэктомия левой бедренной кости ,коллапано-мышечная пластика секвестральной полости *21.01.14 Фистулосеквестрнекрэктомия левого бедра с коллапанопластикой
С января 2014 года неоднократные обострения с подъёмом температуры и местными проявлениями (отёк, гиперемия левого бедра, обильное гнойное отделяемое из свища). Посев Staf.epiderm MSSA –антибиотикотерапия Амоксиклав 1.2 в\в 3 раза в день с переходом на таблетированную форму курсами до 21 дня. Инфузионная терапия, физиолечение, баротерапия, местное лечение- сохраняется функционирующий свищ, без тенденции к заживлениюВаши предложения по лечению
<
|
>
|
|
Ответить
|
Re: Остеомиелит-ваши методы лечения
Alexander Larionov 22 Октябрь 2014, 14:48
|
Фистулография. КТ.
ААЛ
|
[
Ответить ]
|
Re: Остеомиелит-ваши методы лечения
Отправитель: Alexander Chelnokov 22 Октябрь 2014, 15:19
|
Скорее, обычные бы рентгенограммы на протяжении бедра увидеть хотелось бы, чем КТ.
Вопросы лучше бы почетче сформулировать, и дать для ответа информацию - снимки, сведения о нагрузке...
Есть там сращение хотя бы на участке каком-то? Как ходит сейчас? Что с движениями в колене?
Абстрактно - надо лечить инфекцию, делать некрсевестрэктомию (возможно, несколько раз), использовать цементные бусы с антибиотиком снаружи кости и либо цементный спейсер в канал (если есть прочная спайка, и все уже хорошо держится), либо гвоздь с антибактериальным покрытием (если нет сращения, или все хлипко очень), или спейсер+аппарат. Откуда вера в чудесные свойства этого коллапана - непонятно.
Детали можно обсуждать, их очень много - но надо почетче сформулировать, чего не хватает для принятия решения.
|
[
Ответить ]
|
Re: Остеомиелит-ваши методы лечения
Отправитель: Евгения Рязанова 26 Октябрь 2014, 02:03
|

Ходит с полной нагрузкой на ногу, без трости, движения в коленном и тазобедренном суставах в полном объёме. К сожалению, рентгеновских снимков на данный момент нет.
|
[
Ответить ]
|
Re: Остеомиелит-ваши методы лечения
Отправитель: Дедок М 26 Октябрь 2014, 09:58
|
Фистулография и кт. Удалить скевестры, рассверлить канал, спейсер
|
[
Ответить ]
|
|
Re: Остеомиелит-ваши методы лечения
Alexander 23 Октябрь 2014, 14:37
|
Возможный вариант: после некрсеквестрэктомии, комбинированное удлинение бедренной кости АВФ на установленном блокируемом стержне с цементным антибактериальным покрытием, сохранив длину конечности.
|
[
Ответить ]
|
Re: Остеомиелит-ваши методы лечения
Djoldas Kuldjanov 26 Октябрь 2014, 09:54
|
В данном случае причиной остеомиелита может быть чрезмерное увлечение наружным фиксатором, потому что неоднократные манипуляции по установке или перемонтаже не проходят даром, может произойти воспаление мягких тканей, затем остеомиелит! Для damage control можно установить наружный фиксатор, но на бедре, если его оставить до окончания лечения, имеется риск осложнения, и поэтому при первой возможности после стабилизации состояния лучше перевести на менее агрессивный метод фиксации (пластина или гвоздь).
Для диагностики остеомиелита достаточны клинические проявления и обычный снимок. КТ срезы отвечает на вопросы консолидации перелома, а фистулография при краевых поражениях дает топографию, но при вовлечении канала не имеет диагностической ценности!
Любые долго незаживающие послеоперационные раны или образование свищей после установки гвоздя являются сигналом для срочной замены. Ожидания, антибиотики и долгие обработки ран не очень эффективны. Чем дольше ожидание, тем хуже для канала. Рекомендуется удалить гвоздь, Irrigation and Debridement (I&D), до очистки канала обработать римером, и заполнение пустоты (spacer).


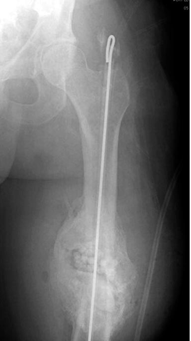
На снимках осложнение огнестрельного перелома бедра поздней инфекцией. 7 лет назад оперирован: правое бедро, сперва на ExFix, затем заменен на гвоздь, а левая - гвоздь при поступлении.
Беспокойство проявил недавно, по поводу жалоб на боли сделано МРТ и дренирование абсцесса терапевтами. Мы удалили гвоздь, сделали I&D, рассверливание канала, и ввели гвоздь с антибиотиком. Для гвоздя использовали стерильную трубку-форму, а антибиотик по 1.0 Tobramycin c Vancomycin.
В замкнутом без перелома пространстве во время риминга повышается давление внутри канала, и имеется риск тромбообразования. Для профилактики и для дренажа - каннюлированный винт 6.5 мм в дистальной части бедра. Обработку заканчивают культурой из раны и канала. Иногда процедуру надо будет повторить.
Рекомендуется: антибиотический гвоздь на цементе. Нагрузку можно разрешить сразу, перелом сросся давно!
|
[
Ответить ]
|
Re: Остеомиелит-ваши методы лечения
Отправитель: Иван 27 Октябрь 2014, 18:52
|
Уважаемый Джолдас,скажите на сколько Вы рассверливаете канал? Что на счет удаления установленного цементно-антибактериального стержня: через сколько рекомендуете удалять? Назначаете ли параллельно антибиотики и на сколько?
Спасибо!
|
[
Ответить ]
|
Re: Остеомиелит-ваши методы лечения
Отправитель: Евгения Рязанова 28 Октябрь 2014, 00:10
|
А спейсер самостоятельно можно сделать?
|
[
Ответить ]
|
|
Re: Остеомиелит-ваши методы лечения
Djoldas Kuldjanov 28 Октябрь 2014, 20:56
|
В борьбе против инфекции главная задача - удаление пораженного участка канала рассверливанием до очистки (обычно на пару мм больше, чем установленный гвоздь) и уменьшение пустоты внутри канала. Канал надо хорошо промыть и взять посев на культуру с поверхности раны. Назначения антибиотиков после операции зависит от контаминации и на основании чувствительности, иногда до двух месяцев, а отрицательный результат не требует антибиотиков.
В большинстве случаев инфицирование канала происходит в ранний период, т.е. до наступления сращения кости. Рассверливание канала создает условия для стимуляции сращения и удаляет пораженные участки канала. После такой обработки канала наблюдается бурное сращение за короткий период, и необходимость в замене гвоздя на больший по диаметру отпадает. Бессимптомные имплантаты, включая гвозди с антибиотиком, мы не трогаем, можно их оставить на долгое время!
Гвозди с антибиотиком все custom made, т.е. делаются во время операции. Диаметр зависит от внутреннего диаметра канала. Обычно достаточным бывает 10 мм, и редко применяется готовые гвозди для армирования цемента. Трубка в 10 мм для плевральной полости как форма и армирование 2.8 или 3.2 мм guide wire для гвоздей, которая срезается по длине, на конце делается петля для облегчения удаления.
В представленном случае, из-за большого диаметра первичного гвоздя (13мм) применили готовый гвоздь в 11 мм, а трубка с внутренним диаметром 16 мм.

Здесь представлены примеры подготовки гвоздя....
|
[
Ответить ]
|
|
|
Re: Остеомиелит-ваши методы лечения
ИСТ 12 Ноябрь 2016, 22:26
|
Здравствуйте, уважаемые коллеги.
Хочу возобновить данную тему. Больно актуальна для меня в связи с некоторыми кадровыми перестановками в нашем ЛПУ.
Вопрос в следующем: есть ли опыт лечения больных с септическим некрозом головки бедра одновременно с несросшимся переломом диафиза бедра. Просьба поделиться материалом.
В понедельник пришлю рентгенограммы, КТ.
|
[
Ответить ]
|
( Ответить )
|
|