AOTRAUMA.ORG Центр Илизарова  

Ортопедия и травматология Общие вопросы/General questions Help Информационные технологии в медицине
 ВХОД ДЛЯ ПАЦИЕНТОВ
 вверх
 поиск
 админ
 главная
 исходное


Re: Патологический перелом мыщелка бедра
послал Djoldas Kuldjanov 13 Ноябрь 2014, 09:35
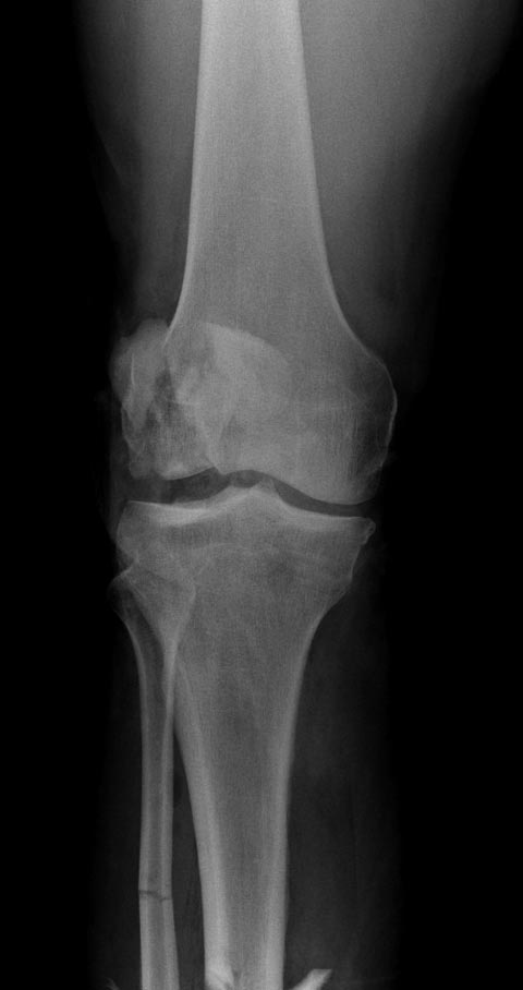
Посты: “Патологический перелом мыщелка бедра” и “Опухоль дистального метаэпифиза бедренной кости” идентичны, и это картина одного того заболевания, только в различных стадиях. Окончательный диагноз любого опухолевого процесса ставится на основании биопсии, а предварительный диагноз можно установить на основании рентгенологических данных.
С предварительным диагнозом отлично справляются рентгенологи, но в первом случае рентгенолог отписался “шаблонным” заключением, которое не помогло, и поэтому самому необходимо попытаться дифференцировать опухоль. В диагностике опухолей главным является возраст, где для каждой декады жизни характерны различные патологические состояния.

В возрасте между 20-40 годами из доброкачественных опухолей встречаются гигантоклеточные и энхондромы, а из злокачественных - только хондросаркома! Интенсивность и характер боли также имеет значение, например, усиление боли означает быстро растущую остеобластому, ГКТ или малигнизацию. Стрессовые и патологические переломы могут встречаться при злокачественном и при доброкачественном опухолях. Разрыв или вовлечение кортикального слоя означает метастазирование или стрессовый перелом. Четкие контуры показывает неагрессивную форму.

На основании этих данных можно предположить, что здесь имеем ГКТ дистального бедра. Первый случай, оперировать можно в обычном ортопедическом отделении. Доступ латеральный, удалить содержимое и заполнить цементом. Цитотоксичний эффект создается за счет температуры при твердении цемента. И опухоли с вовлечением в процесс более чем 40% нуждаются в дополнительной фиксации, иначе после удаления опухоли может пострадать стабильность. Любая латеральная пластина подойдет для этой цели.
Второй случай, коллапс латерального мыщелка за счет стрессового перелома. До операции надо уточнить диагноз биопсией и определить границу поражения на КТ и МРТ. Здесь имеется вовлечение кортикального слоя и вряд ли дистракционный метод поможет восстановить контур мыщелка. Онкологический вариант замещения с удалением неплохой вариант, но агрессивный. Возраст молодой и при наличии костного банка можно было восстановить аллографтом. Сегодняшняя технология (3Д и КТ) позволяет подобрать идеальный размер целого мыщелка (аллографт).



Здесь представлен посттравматический дефект латерального мыщелка и лечение аллографтом.


Послать ответ

Имя
Email
Уведомление Сообщить мне по e-mail об ответах на это сообщение
Название
Комментарий
(Проверьте URL! Не забудьте написать http://!)
Кодировка
Если не знаете, что выбрать, выберите "Просто текст"!
Приложение
Можно приложить к сообщению файл c изображением, который затем будет доступен увидевшим сообщение.
Подготовка иллюстраций:
  • Рентгенограммы: черно-белые полутоновые изображения в формате JPEG (8 bit, greyscale) с разрешением от 300х200 до 1024х768 пикселов;
  • Клинические фотографии: полноцветные изображения в формате JPEG (24 bit, truecolor) с разрешением от 300х200 до 1024х768 пикселов;
  • Схемы и рисунки: черно-белые (2 bit) штриховые (line-art) изображения в формате GIF или compressed TIFF
  • Подберите степень сжатия файла JPEG и размер изображения таким образом, чтобы необходимые детали были различимы, но размер файла не превышал 75 кб.
  • Учтите, что текущая версия программного обеспечения Форума позволяет приложить к одному сообщению лишь один файл-вложение. Поэтому, если необходимо отправить несколько изображений, можно либо послать каждое как отдельное сообщение, либо в графическом редакторе объединить изображения в одно (сделать коллаж).
  • Если при подготовке изображений встречаются трудности, не стесняйтесь обратиться к координатору Форума.

  • Введите видимые символы в обратном порядке. Enter the above characters in reverse order (*Обязательно)
    В тексте сообщения можно использовать теги HTML <B> <I> <P> <A> <LI> <OL> <UL> <EM> <BR> <TT> <HR> <STRONG> <BLOCKQUOTE> <DIV .*> <DIV> <P .*>
  • Обратите внимание: Поля с жирными названиями обязательны.
  • Старайтесь отвечать в рамках обсуждаемой темы, а не начинать новые обсуждения.
  • Указывайте адекватную тему сообщения, чтобы было ясно, о чем оно.
  • Не послайте сообщений не по теме (оффтопик), раздраженных, грубых или обидных комментариев. Здесь это неуместно.
  • Powered by Zope  Squishdot Powered MedLink
    Посетитель: 0000376
      "По форме правильно, а по существу - издевательство" В.И.Ленин
    ©2001-2019Orthoforum Coordinator.
    [ Главная | Отправить сообщение | Поиск | Админ ]