вверх
отправить
поиск
админ
главная
|
Патологический перелом мыщелка бедра |
 |
 |
 |
Отправлено Айрапетов Георгий 03 Ноябрь 2014, 18:28
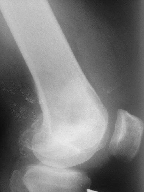
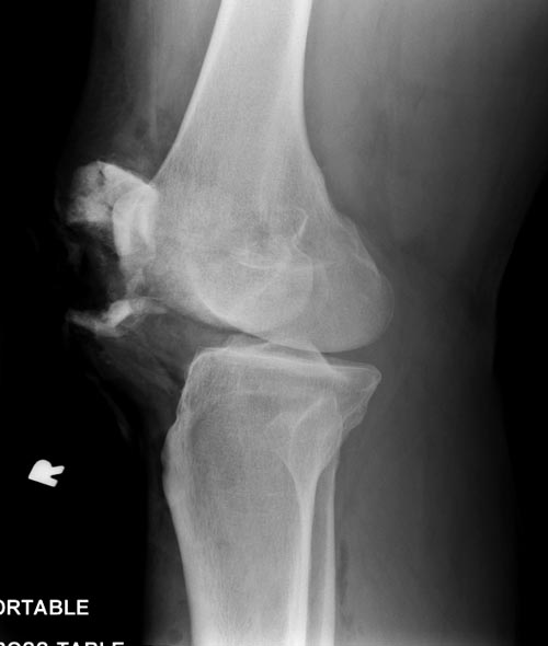
Пациент 37 лет. Около полугода беспокоила боль и припухлость в области коленного сустава. Не обследовался. неделю назад оступился и почувствовал резкую боль в коленном суставе. В настоящий момент находится в одной из больниц на скелетном вытяжении. Кт сделали, выложу позже (отмечается довольно большой дефект наружного мыщелка. Полностью обследован, первичный очаг не обнаружен.
1. Стоит искать возможность пациенту отправиться в Москву (отделение костной патологиии), либо оперировать своими силами?
2. Костная аутопластика с фиксацией пластиной? 3. Какие варианты? Спасибо
<
|
>
|
|
Ответить
|
Re: Патологический перелом мыщелка бедра
Айрапетов Георгий 03 Ноябрь 2014, 23:38
|

Рентгеновский снимок
|
[
Ответить ]
|
Re: Патологический перелом мыщелка бедра
Отправитель: Пивень Игорь Михайлович 05 Ноябрь 2014, 17:08
|
Уважаемый коллега! Видимо, это гигантоклеточная опухоль,которая протекала с не выраженной клинической симптоматикой, пока не произошел патологический перелом.Я бы попытался сохранить сустав. Сделать КТ оценить взаимоотношение отломков.
Операция не самая простая. Важно радикально удалить опухоль, при этом сохранить кость, не перфорировать ее в зоне сустава. Этапы операции следующие. Пневмотурникет. Иметь ЭОП.Наружный доступ. Через дефект(можно немного резецировать кости, чтобы было пространство для удаления) по наружной поверхности начать удалять опухоль используя различные костные ложки. Делать это очень аккуратно, беречь кость, постараться не "провалиться" в сустав. Далее тщательная обработка электрокоагулятором всех стенок опухоли. Потом репозиция. Попытаться максимально восстановить анатомию и зафиксировать временно отломки спицами не проходящими через полость опухоли.Рентгенологический контроль. На вышеуказанных этапах возможно целесообразно применение внеочагового дистракционного аппарата внешней фиксации. Сам обходился без этого, но думаю в данном случае сработает лигаментотаксис и поможет в репозиции. Следующий этап заполнение костным цементом, так чтобы не было попадания в сустав. Проконтролировать можно ренгенографически и артроскопически. Это и будет остеосинтез. Удалить металлофиксаторы все. Имею опыт подобных операций не менее 15-20 (перелом был подобный у 1).В остальных случаях было обширное поражение эпиметафиза. Отметил, что при оставление спиц высокий процент рецидива опухоли. Послеоперационная фиксация в шарнирном брейсе. Ранняя функция, нагрузка позняя по ситуации. Конечно? если нет опыта лучше отправить в специализированный центр. С пациентом подробно поговорить, объяснив, что это только попытка сохранить конечность, сустав. Возможна и малигнизация.(во время операции весь материал отправить на исследование). Ранее когда не было цемента и эндопротезов делали артродез с радикальной резекцией очага. Потом стали доступны онкопротезы. Все эти моменты подробно обговорить с больным.
|
[
Ответить ]
|
|
Re: Патологический перелом мыщелка бедра
Djoldas Kuldjanov 13 Ноябрь 2014, 09:35
|
Посты: “Патологический перелом мыщелка бедра” и “Опухоль дистального метаэпифиза бедренной кости” идентичны, и это картина одного того заболевания, только в различных стадиях. Окончательный диагноз любого опухолевого процесса ставится на основании биопсии, а предварительный диагноз можно установить на основании рентгенологических данных.
С предварительным диагнозом отлично справляются рентгенологи, но в первом случае рентгенолог отписался “шаблонным” заключением, которое не помогло, и поэтому самому необходимо попытаться дифференцировать опухоль. В диагностике опухолей главным является возраст, где для каждой декады жизни характерны различные патологические состояния.
В возрасте между 20-40 годами из доброкачественных опухолей встречаются гигантоклеточные и энхондромы, а из злокачественных - только хондросаркома! Интенсивность и характер боли также имеет значение, например, усиление боли означает быстро растущую остеобластому, ГКТ или малигнизацию. Стрессовые и патологические переломы могут встречаться при злокачественном и при доброкачественном опухолях. Разрыв или вовлечение кортикального слоя означает метастазирование или стрессовый перелом. Четкие контуры показывает неагрессивную форму.
На основании этих данных можно предположить, что здесь имеем ГКТ дистального бедра. Первый случай, оперировать можно в обычном ортопедическом отделении. Доступ латеральный, удалить содержимое и заполнить цементом. Цитотоксичний эффект создается за счет температуры при твердении цемента. И опухоли с вовлечением в процесс более чем 40% нуждаются в дополнительной фиксации, иначе после удаления опухоли может пострадать стабильность. Любая латеральная пластина подойдет для этой цели.
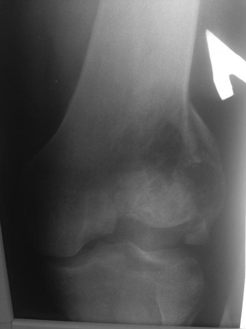
Второй случай, коллапс латерального мыщелка за счет стрессового перелома. До операции надо уточнить диагноз биопсией и определить границу поражения на КТ и МРТ. Здесь имеется вовлечение кортикального слоя и вряд ли дистракционный метод поможет восстановить контур мыщелка. Онкологический вариант замещения с удалением неплохой вариант, но агрессивный. Возраст молодой и при наличии костного банка можно было восстановить аллографтом. Сегодняшняя технология (3Д и КТ) позволяет подобрать идеальный размер целого мыщелка (аллографт).
Здесь представлен посттравматический дефект латерального мыщелка и лечение аллографтом.
|
[
Ответить ]
|
( Ответить )
|
|