AOTRAUMA.ORG Центр Илизарова  

Ортопедия и травматология Общие вопросы/General questions Help Информационные технологии в медицине
 ВХОД ДЛЯ ПАЦИЕНТОВ
 вверх
 поиск
 админ
 главная
 исходное


Re: Пилон - спортивная травма
послал Djoldas Kuldjanov 04 Июнь 2015, 01:36




Уважаемый Денис,

С ответом немного задержался, хотел подобрать материал, но трудно найти идентичный случай. На всякий случай подобрал пару, надеюсь, поможет.
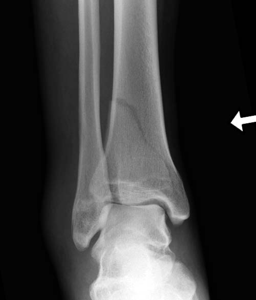
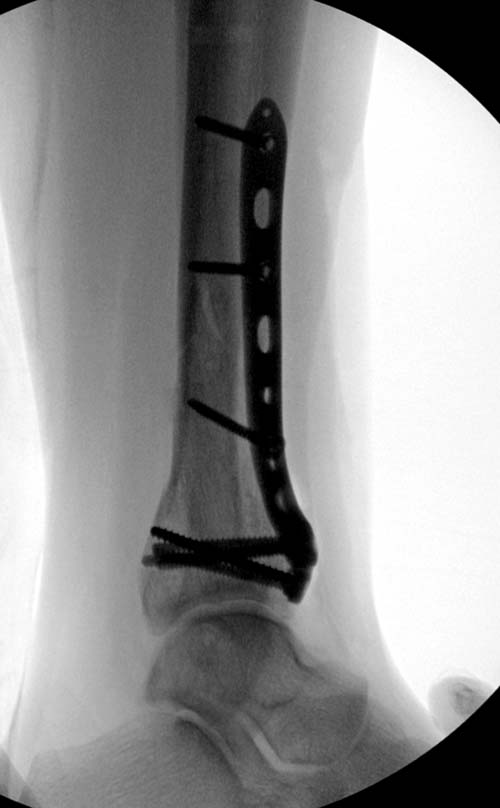
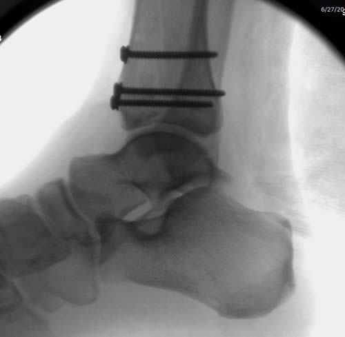
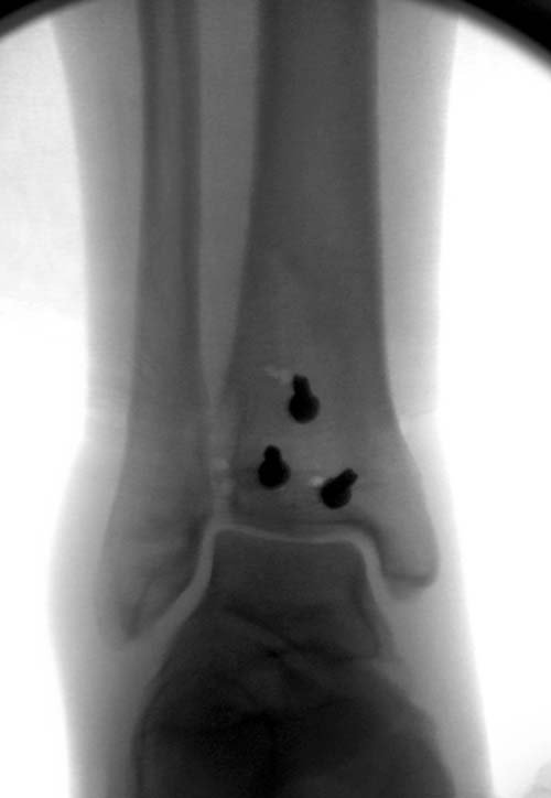
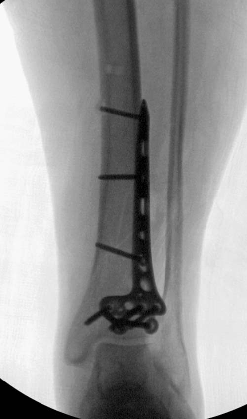
Первый случай, где перелом в результате падения с небольшой высоты, где мортиз рентген снимок показал отстутствие укорочения наружной
лодыжки и КТ срезы подсказали направления атаки. После такой фиксации нет надобности в гипсовой повязке, брейс и через две недели движения в
суставе без нагрузки.

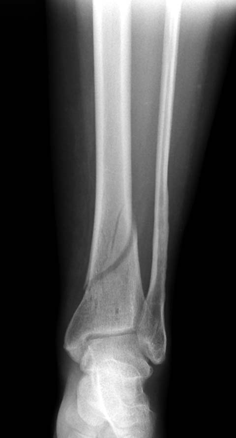
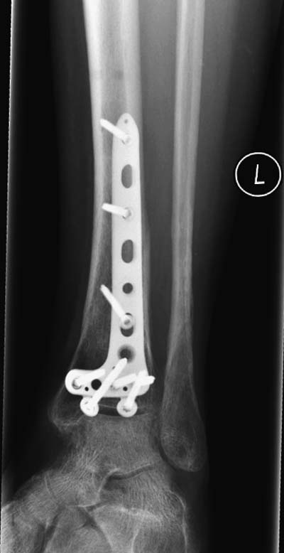
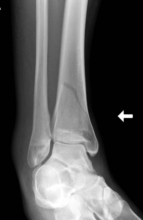
Второй случай в результате скоростной травмы, кроме пилона, вовлечение других органов! Отек при поступлении и открытый перелом на другой стороне. В таких случаях нет смысла спешить, и временный наружный фиксатор на несколько дней. После спадения отека фиксация передне-наружной пластиной. Реабилитация - ранние движения, без нагрузки.

>Свяжитесь со мной Что-нибудь придумаем

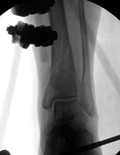
Не надо долго думать! Если желаете перкутанный план, тогда надо спешить, потому что ожидание затруднит репозицию. Вместо спонгиозных,
рекомендуются обычные кортикальные 3.5 мм!


Djoldas Kuldjanov, M.D.
Department of Orthopedic Surgery
St. Louis University

Послать ответ

Имя
Email
Уведомление Сообщить мне по e-mail об ответах на это сообщение
Название
Комментарий
(Проверьте URL! Не забудьте написать http://!)
Кодировка
Если не знаете, что выбрать, выберите "Просто текст"!
Приложение
Можно приложить к сообщению файл c изображением, который затем будет доступен увидевшим сообщение.
Подготовка иллюстраций:
  • Рентгенограммы: черно-белые полутоновые изображения в формате JPEG (8 bit, greyscale) с разрешением от 300х200 до 1024х768 пикселов;
  • Клинические фотографии: полноцветные изображения в формате JPEG (24 bit, truecolor) с разрешением от 300х200 до 1024х768 пикселов;
  • Схемы и рисунки: черно-белые (2 bit) штриховые (line-art) изображения в формате GIF или compressed TIFF
  • Подберите степень сжатия файла JPEG и размер изображения таким образом, чтобы необходимые детали были различимы, но размер файла не превышал 75 кб.
  • Учтите, что текущая версия программного обеспечения Форума позволяет приложить к одному сообщению лишь один файл-вложение. Поэтому, если необходимо отправить несколько изображений, можно либо послать каждое как отдельное сообщение, либо в графическом редакторе объединить изображения в одно (сделать коллаж).
  • Если при подготовке изображений встречаются трудности, не стесняйтесь обратиться к координатору Форума.

  • Введите видимые символы в обратном порядке. Enter the above characters in reverse order (*Обязательно)
    В тексте сообщения можно использовать теги HTML <B> <I> <P> <A> <LI> <OL> <UL> <EM> <BR> <TT> <HR> <STRONG> <BLOCKQUOTE> <DIV .*> <DIV> <P .*>
  • Обратите внимание: Поля с жирными названиями обязательны.
  • Старайтесь отвечать в рамках обсуждаемой темы, а не начинать новые обсуждения.
  • Указывайте адекватную тему сообщения, чтобы было ясно, о чем оно.
  • Не послайте сообщений не по теме (оффтопик), раздраженных, грубых или обидных комментариев. Здесь это неуместно.
  • Powered by Zope  Squishdot Powered MedLink
    Посетитель: 0191941
      "По форме правильно, а по существу - издевательство" В.И.Ленин
    ©2001-2019Orthoforum Coordinator.
    [ Главная | Отправить сообщение | Поиск | Админ ]