вверх
отправить
поиск
админ
главная
|
Пилон - спортивная травма |
 |
 |
 |
Отправлено Денис Юрьевич Николаев 22 Май 2015, 16:55
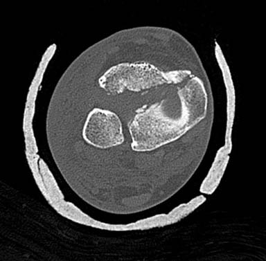
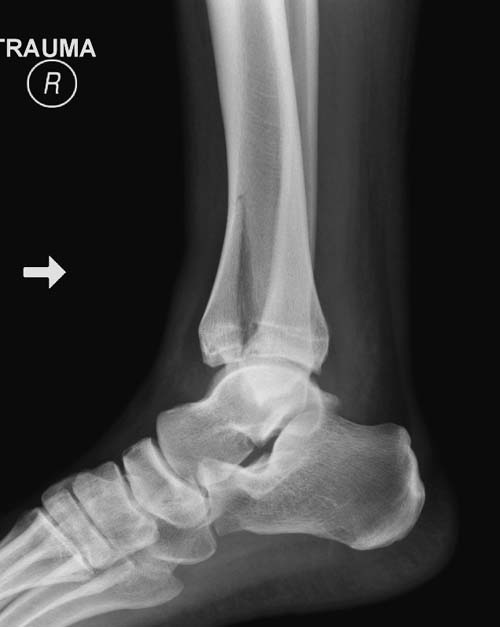
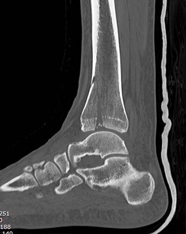
Уважаемые коллеги, представляю вашему вниманию клинический случай. Молодой человек 15 лет получил травму во время игры в регби. Через 30 минут был доставлен в стационар. Проведена рентгенография, для уточнения особенностей повреждения КТ. Выявлено повреждение типа 43-С1, с распространением перелома на ростковую зону большеберцовой кости. Под наркозом проведена ручная репозиция перелома костей левой голени + гипсовая иммобилизация U-образным глубоким гипсовым лонгетом до средней трети бедра. Сосудистых и неврологических растройств нет. Умереный отёк нижней трети голени. Из анамнеза: хронических заболеваний нет, не курит, серьёзно занимается греко-римской борьбой. Уважаемые коллеги, интересует ваше мнение по поводу дальнейшей тактики лечения. У меня 2 варианта, какой выбрать затрудняюсь. 1. Консервативный в условиях гипсовой иммобилизации, сроком до 3х месяцев. Через полтора месяца заменить длинный гипс на повязку по типу Сармиенто до в\3 голени. 2. Оперативный: MIPO с использованием дистально медиальной большеберцовой предизогнутой пластиноы с угловой стабильностью и винтами по АО.
<
|
>
|
|
Ответить
|
Re: Спортивная травма
Савранский Александр 24 Май 2015, 12:33
|
Я за первый вариант- колено освободить через месяц, еще через месяц снять гипсовую повязку полностью, ЛФК без осевой нагрузки еще месяц.
|
[
Ответить ]
|
Re: Пилон - спортивная травма
Paul 25 Май 2015, 16:31
|
В момент применения дистракции наступит репозиция перелома, перелом внутрисуставной. Я, бы посоветовал - метод Илизарова Г.А. 5-6 недель и аппарат можно - снимать. Разгрузка сустава позволит надеяться на самый лучший исход.
|
[
Ответить ]
|
Re: Пилон - спортивная травма
Paul 25 Май 2015, 16:32
|
В момент применения дистракции наступит репозиция перелома, перелом внутрисуставной. Я, бы посоветовал - метод Илизарова Г.А. 5-6 недель и аппарат можно - снимать. Разгрузка сустава позволит надеяться на самый лучший исход.
|
[
Ответить ]
|
Re: Пилон - спортивная травма
Отправитель: Денис Юрьевич Николаев 25 Май 2015, 16:39
|
Благодарю за внимание. Репозиция была проведена при поступлении. По вашему мнению репозиция недостаточная? ЧКДО для разгрузки сустава и стабилизации перелома?
|
[
Ответить ]
|
Re: Пилон - спортивная травма
Отправитель: Paul 28 Май 2015, 10:52
|
Простите за невнимательность, репозиция - хорошая.
Djoldas Kuldjanov - правильно изложил конечную цель и сложности лечения спортсменов.
|
[
Ответить ]
|
|
Re: Пилон - спортивная травма
К.С.А. 26 Май 2015, 22:57
|
На мой взгляд, оптимально будет вести консервативно. Влезть в пилон не сложно, сложно бывает красиво выйти из пилона.
|
[
Ответить ]
|
Re: Пилон - спортивная травма
Djoldas Kuldjanov, M.D. 27 Май 2015, 23:49
|
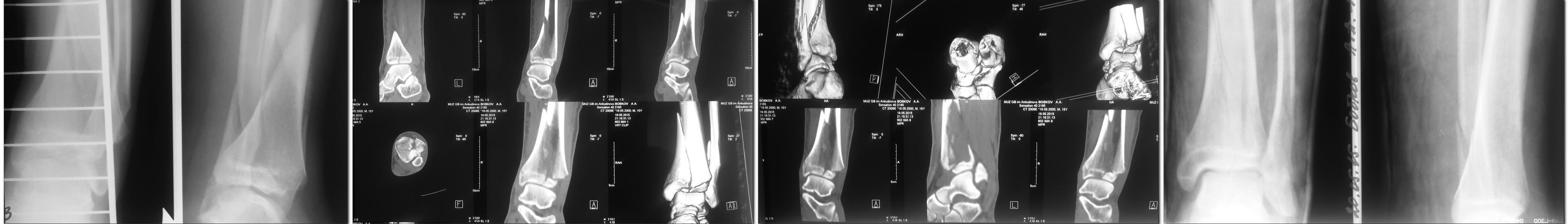
На первый взгляд, репозиция удалась, но из-за срезанных снимков трудно оценить качество. Без стандартных снимков: прямой, боковой и мортиз, невозможно доказать о репозиции суставной поверхности.
У молодых активных, особенно кто занимается спортом, окончательное решение надо принимать после более тщательного анализа исследований. Надо дополнительные - длинные с вовлечением диафиза и отдельные стандартные снимки, а также повторить КТ!
По снимку варусная версия перелома и такой перелом трудно удержать в гипсе. Иммобилизация в гипсе удлиняет восстановление спортсменов и поэтому желательно оперировать как можно скорее. Надо нейтрализовать варусные силы, иногда медиальным buttress пластиной, но данный вариант более благоприятный, только надо удержать репозицию.
Зафиксировать можно перкутанными винтами, а топографические срезы КТ укажут направление установки винтов. Кортикальные винты 3.5 мм доступный вариант, который даст преимущество в раннем сроке (3 недели) начать движение в суставе!
|
[
Ответить ]
|
Re: Пилон - спортивная травма
Отправитель: Денис Юрьевич Николаев 31 Май 2015, 18:24
|

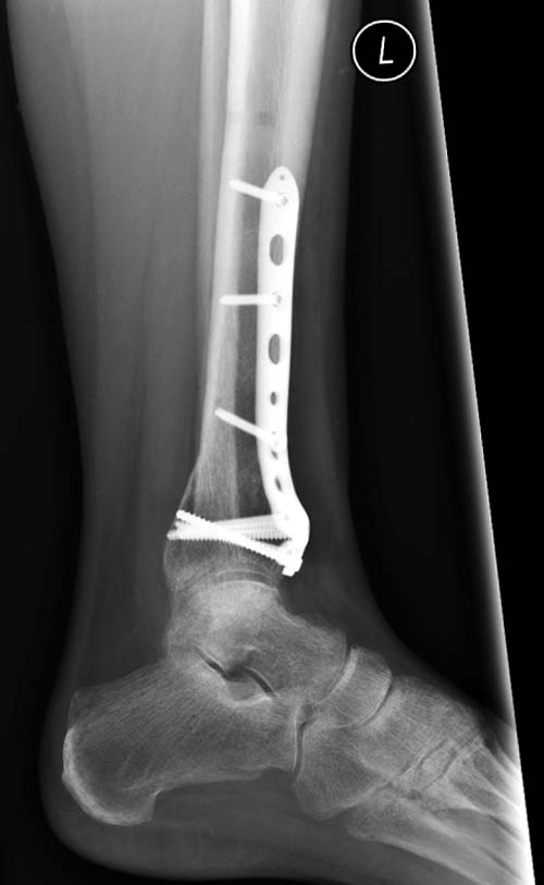
Сделал КТ контроль. Можно обойтись 3 винтами.В области эпифиза: 1 спонгиозный стягивающий винт провести снаружи кнутри, 2 стягивающий спонгиозный винт спереди назад и немного изнутри кнуаружи. На диафизе 1 кортикальный стягивающий винт. После операции 3 недели гипсовой иммобилизации, после чего рентген контроль и начинать постепенную поэтапную нагрузку на оперированную конечность. Сперва ходить 2 - 3 недели с нагрузкой "контакт с полом" + активное ЛФК с инструктором, затем еженедельно повышать нагрузку на 15% от массы тела, через 6 недель рентген контроль и ходить при помощи трости 1 месяц. Если поставить пластину, то срок консолидации будет такой же, но нагрузку можно давать раньше раньше. Джолдас, можете прокоментировать. Заранее благодарен.
|
[
Ответить ]
|
Re: Пилон - спортивная травма
Отправитель: Александр 31 Май 2015, 22:22
|
За эпифизарную зону с винтами согласен на 100%.
В диафиз поставил бы всё-таки минимум два. По классике 3.
|
[
Ответить ]
|
Re: Пилон - спортивная травма
Отправитель: Денис Юрьевич Николаев 01 Июнь 2015, 07:10
|
Благодарю за внимание. Коллега, вы про какую классику говорите? По современной философии не рекомендуется проводить винты через зону диафизарного перелома. В данном случае проведение нескольких винтом в диафизе, по моему будет не совсем удобно и травматично. Проще провести MIPO, для нейтрализации перелома, а винты провести только через неповреждённый диафиз и метаэпифизарную зону + стягивающие винты.
|
[
Ответить ]
|
Re: Пилон - спортивная травма
Отправитель: bonedoc 01 Июнь 2015, 12:57
|
Или если вы имеете в виду что при экстрамедуллярном остеосинтезе пластиной выше линии перелома рекомендуется устанавливать 3 винта. Если винты с угловой стабильностью, то 2 будет достаточно.
|
[
Ответить ]
|
|
Re: Пилон - спортивная травма
Денис Магсумов 28 Май 2015, 11:20
|
Склоняюсь к следующему варианту - репозиция под контролем ЭОП, фиксация 2-3 винтами чрескожными и гипсовая иммобилизация 1,5 месяца, далее без нагрузки осевой разработка движений в суставе. Общий срок ограничения нагрузки 3-3,5 месяца. Малоберцовая должная встать на место после репозиции. Если нет - подправить шилом положение отломков.
|
[
Ответить ]
|
Re: Пилон - спортивная травма
Максим 02 Июнь 2015, 15:24
|
А вы не рассматриваете возможность использования биодеградируемых винтов?
Компрессия дольше и лучше, для спортсмена лучше!
Количество используемых винтов такое же!
|
[
Ответить ]
|
Re: Пилон - спортивная травма
Отправитель: bonedoc 02 Июнь 2015, 15:37
|
Рассматривал. Но к сожалению, у нас в стационаре их нет. Пока администрация закупит, перелом у этого пациента сам собой консолидируется.
|
[
Ответить ]
|
Re: Пилон - спортивная травма
Отправитель: Максим 02 Июнь 2015, 17:31
|
Свяжитесь со мной 89215626521
Что-нибудь придумаем
|
[
Ответить ]
|
Re: Пилон - спортивная травма
Отправитель: Максим 02 Июнь 2015, 17:44
|
Свяжитесь со мной 89215626521
Что-нибудь придумаем
|
[
Ответить ]
|
|
Re: Пилон - спортивная травма
Djoldas Kuldjanov 04 Июнь 2015, 01:36
|
Уважаемый Денис,
С ответом немного задержался, хотел подобрать материал, но трудно найти идентичный случай. На всякий случай подобрал пару, надеюсь, поможет.
Первый случай, где перелом в результате падения с небольшой высоты, где мортиз рентген снимок показал отстутствие укорочения наружной
лодыжки и КТ срезы подсказали направления атаки. После такой фиксации нет надобности в гипсовой повязке, брейс и через две недели движения в
суставе без нагрузки.
Второй случай в результате скоростной травмы, кроме пилона, вовлечение других органов! Отек при поступлении и открытый перелом на другой стороне. В таких случаях нет смысла спешить, и временный наружный фиксатор на несколько дней. После спадения отека фиксация передне-наружной пластиной. Реабилитация - ранние движения, без нагрузки.
>Свяжитесь со мной Что-нибудь придумаем
Не надо долго думать! Если желаете перкутанный план, тогда надо спешить, потому что ожидание затруднит репозицию. Вместо спонгиозных,
рекомендуются обычные кортикальные 3.5 мм!
Djoldas Kuldjanov, M.D.
Department of Orthopedic Surgery
St. Louis University
|
[
Ответить ]
|
Re: Пилон - спортивная травма
Отправитель: Денис Юрьевич Николаев 04 Июнь 2015, 05:29
|
Уважаемый Джолдас, благодарю за внимание. Операция запланирована на пятницу. Решение принято. Буду фиксировать перкутанно винтами. Пластины на всякий случай приготовил.
|
[
Ответить ]
|
|
( Ответить )
|
|