AOTRAUMA.ORG Центр Илизарова  

Ортопедия и травматология Общие вопросы/General questions Help Информационные технологии в медицине
 вверх
 отправить
 поиск
 админ
 главная


Нелеченный более полугода перелом проксимального отдела tibia - что делать???
Ортопедия и травматология Отправлено Данилов Евгений Кислицын Михаил ГБ 38 03 Июнь 2015, 15:10 Гб38 г. Пушкин
Уважаемые коллеги, форумчане! Хочется услышать ваше мнение по данной проблеме.
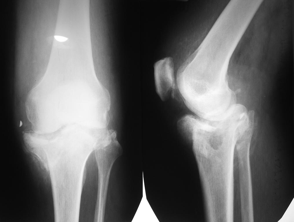
Пациент мужчина, 46 лет, гражданин Украины, рост 170, вес около 70-74. Работал до травмы и в настоящее время, средние физические нагрузки.Травма в декабре 2014, со слов выставил прямую ногу вперед во время катания на велосипеде, факту травмы не придал значение вплоть до моего осмотра (апрель 2015), лечил ушиб. Рентгенограммы (1) январь 2015 год, (2) 25.05.2015 г.

Порочное положение конечности, объем движений: разгибание в к/суставе до 165 - 170 гр, сгибание до 105-110, выраженная хромота, болезненность при нагрузках и в ночное время, но работать может.Онкоанамнез не отягощен, туберкулезом не болел (спросил, учитывая странное соотношение тяжести и механизма травмы).
Диагноз: Застарелый многооскольчатый (С3) перелом проксимального отдела ББК.По срокам после травмы (более 6 мес): Ложный сустав (неоартроз) проксимального отдела ББК.
Эндопротез пациенту не доступен 100% (тем более при таком дефекте ББК), поэтому мы можем предложить ему остеосинтез или артродез.
Вопросы:
1. Ваше мнение по тактике лечения.
2. При артродезе:
- гвоздь бедро-голень?
- открыто или закрыто?
- сколько этапов?
- что предпринять, чтобы оставить как можно меньший дефект, исключив тем самым большое укорочение конечности)?

3. Для этого случая и на будущее: гвоздь бедро-голень где найти, как заказать, инструмент?!

Большое всем спасибо.
С уважением, вр Кислицын, вр Данилов

<  |  >

 

  • Сообщения о Ортопедия и травматология
  • Также Данилов Евгений Кислицын Михаил ГБ 38
  • Связаться с автором
  • Ответить

    Re: Нелеченный более полугода перелом проксимального отдела tibia - что делать???
    Alexander Artemiev 04 Июнь 2015, 00:55
    Здравствуйте.
    На этом этапе нет смысла вмешиваться.
    Перелом сросся, поэтому синтезировать нечего.
    Фактически сформировался неоартроз, такое бывает с неплохим функциональным результатом.
    Артродез не улучшит качество жизни работяге.
    Если хотите забить гвоздь бедро-голень, то это не показание к операции.
    Интересно посмотреть насколько порочное положение, как Вы пишете.
    Вышлите фото ноги.
    [ Ответить ]

    Re: Нелеченный более полугода перелом проксимального отдела tibia - что делать???
    Иван 04 Июнь 2015, 01:26
    артродез, на мой взгляд, позволит получить безболезненную опороспособную конечность. Стержень для этого есть в страйкере, если не ошибаюсь. Как то заказывали в арете, что существенно дешевле.
    [ Ответить ]

    Re: Нелеченный более полугода перелом проксимального отдела tibia - что делать???
    Paul 04 Июнь 2015, 09:17
    Диагноз подстать фельдшеру...
    Необходима оценка функциональной пригодности конечности. Фотографии в стандартных движениях - могут помочь.
    [ Ответить ]

    • Re: Нелеченный более полугода перелом проксимального отдела tibia - что делать???
      Отправитель: Иван 04 Июнь 2015, 22:11
      Paul, опубликуйте свой протокол "функциональной пригодности конечности". И если конечность на основании оценки будет функционально не пригодна тогда что?

      [ Ответить ]
    Re: Нелеченный более полугода перелом проксимального отдела tibia - что делать???
    Ахсарбек 06 Июнь 2015, 03:38
    Здравствуйте. Идеальный вариант конечно эндопротез коленного сустава, и кстати, такие дефекты это абсолютно не проблема. Можно установить полномыщелковый блок для поднятия интерлинии или использовать метаэпифизарную втулку фирмы DePuy или танталовый конус фирмы Зиммер. Есть варианты выхода из этой ситуации путем эндопротезирования с восстановлением функциональности коленного сустава. Вопрос с получением квоты на эндопротезирование с учетом гражданства пациента, вот основная проблема, которую можно решить путем получения этого гражданства...
    С уважением Джигкаев А.Х.
    [ Ответить ]

    Re: Нелеченный более полугода перелом проксимального отдела tibia - что делать???
    Alexander Larionov 07 Июнь 2015, 22:17
    А что беспокоит самого пациента? Это как то не прозвучало. Но, если что-то и делать тут, то ТЭКС.

    ААЛ

    [ Ответить ]

    Re: Нелеченный более полугода перелом проксимального отдела tibia - что делать???
    Виталий 08 Июнь 2015, 02:21
    артродез в наше время пациенту 46 лет с такой картиной это садизм. нет денег и возможности сейчас - пусть живет как живет. рано или поздно финансовый вопрос может решиться, а из анкилоза потом как вылазить?
    [ Ответить ]

    Re: Нелеченный более полугода перелом проксимального отдела tibia - что делать???
    Denis Rimashevsky 08 Июнь 2015, 12:56
    Всех приветствую!

    Конечно рассматривать как аргумент финансовую составляющую можно, но на мой взгляд в 46 лет делать артродез при таком суставе явный перебор.
    Если пациент адекватный, следует сделать КТ, определиться с реконструкцией большеберцовой кости и изыскать варианты удешевления протеза для пациента. Поверьте они есть. С уверенностью в 90% здесь можно обойтись большеберцовым компонентом с ножкой с аугментом или без (для удешевления конструкции можно заменить его армированием винтами) и установить любой первичный бедренный компонент.

    Если для Вас поиск вариантов удешевления протеза окажется слишком затруднителен - обращайтесь.
    drimashe@yandex.ru

    Денис Римашевский
    [ Ответить ]

    Re: Нелеченный более полугода перелом проксимального отдела tibia - что делать???
    Maxim Agalakov 09 Июнь 2015, 17:40
    а я не уверен, что это вообще перелом. Бикондилярному перелому пациент явно придал бы значение (даже бомжи придают). На мой взгляд это спонтанный аваскулярный некроз колена (SPONK) , хотя возраст и пол не совсем типичные. Результаты артродеза и ТКА не фонтан, может имеет смысл ничего не делать пока? В этой ситуации лучше результата можно и не получить

    [ Ответить ]

    • Re: Нелеченный более полугода перелом проксимального отдела tibia - что делать???
      Отправитель: Maxim Agalakov 09 Июнь 2015, 17:44
      как вариант - НТО

      [ Ответить ]
    • Re: Нелеченный более полугода перелом проксимального отдела tibia - что делать???
      Отправитель: erokhin alexandr 09 Июнь 2015, 23:25
      Что асептический некроз колена самостоятельная нозология я впервые узнал. Сейчас погуглю,спасибо.
      Но,скорее,тут травма "растянутая во времени",если можно так сказать. Сустав,скорее всего неоднократно травмировался,были микротрещины,что в свою очередь и привело к асептическому некрозу и деформации,а в декабре прошлого года произошла уже на фоне одна из рефрактур? Впрочем спондилит Кюммеля имеет такую же природу: компрессионный перелом,ранняя нагрузка и длительные мучения после.

      [ Ответить ]
    Перелом проксимального отдела tibia
    Михаил Кислицын 10 Июнь 2015, 13:16
    Отправили пациента на КТ, как выполнит, добавим фото срезов на форум.
    Коллеги, может имеет смысл взять костный гистологический материал и зоны в/3 ББК, цель - поиск субстрата патологической деструкции? Или это не столь важно сейчас?
    Всем большое спасибо за дельные советы!


    [ Ответить ]

    • Re: Перелом проксимального отдела tibia
      Отправитель: Maxim Agalakov 17 Июнь 2015, 15:21
      >может имеет смысл взять костный гистологический >материал и зоны в/3 ББК
      - наверное имеет, диагноза нет

      [ Ответить ]
    КТ сложного перелома TIBIA
    Михаил Кислицын 16 Июнь 2015, 17:38


    Пациент выполнил КТ коленного сустава. У кого как-то изменилось мнение про тактику, пожалуйста, напишите. Спасибо

    [ Ответить ]

    • Re: КТ сложного перелома TIBIA
      Отправитель: Maxim Agalakov 17 Июнь 2015, 12:40
      для меня ничего не прояснилось в плане диагноза, соответственно и тактики. В перелом не очень верится, для спонтанного остеонекроза слишком уж большой масштаб разрушений, для туберкулезного и септического артрита картинка не слишком характерна (бедро почти интактно). Может быть Charcot joint или Secondary Osteonecrosis of the Knee? Может быть эти статьи вам помогут
      http://www.orlincohen.com/newsarticle.cfm?newsguid=668e00db716ef67a9878088d8815fe76
      http://rheumatology.oxfordjournals.org/content/39/9/982.long

      [ Ответить ]
      • Re: КТ сложного перелома TIBIA
        Отправитель: Maxim Agalakov 30 Июнь 2015, 10:34
        Попросил совета у доктора Кульджанова по поводу этого случая, говорит Charcot joint и надо протезировать цементным эндопротезом. По поводу гражданства - пусть примет статус беженца и его прооперируют на общих основаниях.
        PS из-за загруженности доктор кульджанов не смог ответить сам, я очень надеюсь на микролекцию в его стиле по этой проблеме

        [ Ответить ]

     

    ( Ответить )

    Powered by Zope  Squishdot Powered MedLink
    Посетитель: 0386294
      "По форме правильно, а по существу - издевательство" В.И.Ленин
    ©2001-2019Orthoforum Coordinator.
    [ Главная | Отправить сообщение | Поиск | Админ ]