ВХОД ДЛЯ ПАЦИЕНТОВ
вверх
поиск
админ
главная
исходное
|
Re: Опять про вакуумирование
послал Djoldas Kuldjanov 17 Июль 2015, 00:41
|

>чего вы ждете? закрывайте пока что есть с грануляциями
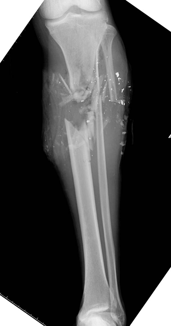
Под воздействием вакуума образовалась готовая к кожной пластике грануляционная поверхность, но не стал бы спешить, потому что посаженная на кость кожа имеет плохое питание и легко травмируется. В данном варианте, кроме закрытия дефекта необходимо решить проблему сращения кости, потому что в зоне с пониженным кровообращением восстановление происходит медленнее и в большинстве открытые, инфецированные переломы осложняются атрофическим ложным суставом!
Нехватка кровообращения решается подведением “спасательной подушки” из мышцы. Усиленное кровообращение легко справляется инфекцией, а также облегчает кожную пластику. Ротируется мышца, а на нее можно сажать кожу, и проводить вакуумирование до периода приживления кожи...
Здесь примерный протокол лечения открытых ран с дефектом кости и мягких тканей. Применение вакуума с первых дней предупреждает
инфецирование раны и, не ожидая закрытия дефекта, можно проводит фиксацию даже внутрикостными фиксаторами. Затем можно продолжить процедуры по закрытию мягкотканннего дефекта.
Такая этапная тактика: Irrigation and Debridement, наружный фиксатор, вакуум, гвоздь, покрытие дефекта с ротацией medial gastroc и c кожной пластикой позволяет более агрессивно, в короткие сроки, создать более благоприятные условия для восставления переломов с дефектом мягких тканей
С уважение,
Djoldas Kuldjanov
|
| Послать ответ |
Обратите внимание: Поля с жирными названиями обязательны.
Старайтесь отвечать в рамках обсуждаемой темы, а не начинать новые обсуждения.
Указывайте адекватную тему сообщения, чтобы было ясно, о чем оно.
Не послайте сообщений не по теме (оффтопик), раздраженных, грубых или обидных комментариев. Здесь это неуместно.
|