Ответить
|
Re: Опять про вакуумирование
Станислав Дмитриев 21 Июнь 2015, 11:00
|
Есть небольшой (2 случая) опыт такого вакуумирования. Декортикация до "кровяной росы" и частая остеоперфорация сверлом 2,8 - 3,2 мм в этом случае наше все. В обоих случаях все прошло удачно, рану закрыли как 1 этап расщепленным кожным лоскутом с полным приживлением.
|
[
Ответить ]
|
Re: Опять про вакуумирование
Отправитель: Лубенец Александр 21 Июнь 2015, 15:12
|
Так же прошло несколько больных, кость нормально перекрывается грануляциями ,потом пластика
|
[
Ответить ]
|
Re: Опять про вакуумирование
Отправитель: Др.Бахтамян 21 Июнь 2015, 22:02
|
T.e. Вы вакуумировали классическим способом? Губка и т.д.?
|
[
Ответить ]
|
Re: Опять про вакуумирование
Отправитель: Станислав Дмитриев 21 Июнь 2015, 22:45
|
Именно так. 2 раза по 3-4 суток. Одного раза оказалось мало, грануляции были только местами, вокруг трепанационных отверстий. После недельной VAC-терапии почти вся рана была в грануляциях. оговорюсь сразу, размеры ран были не слишком большими, до 3х5 см.
|
[
Ответить ]
|
Re: Опять про вакуумирование
Отправитель: Др.Бахтамян 21 Июнь 2015, 23:00
|
То есть Ви делали и трепанационные отверстя и накладывали вакуумирование? Я Вас правильно понял?
У моего б-го обширна ран по всей передней половине с/3 голени, в основном гранулирует, но область перелома по передне-медиалной поверхности открыта 2 на 2 см
|
[
Ответить ]
|
Re: Опять про вакуумирование
Отправитель: Dr.Bakhtamyan 22 Июнь 2015, 01:55
|
Но вакуумирование с трепанационными отверстиями не приведет к большой кровопотери?
|
[
Ответить ]
|
|
Re: Опять про вакуумирование
Сергей 21 Июнь 2015, 22:57
|
Пробовал, эффект хороший, но некротизированная кость выходит секвестрами.
|
[
Ответить ]
|
Re: Опять про вакуумирование
Отправитель: Др.Бахтамян 21 Июнь 2015, 23:02
|
кость некротизируется в результате вакуумирования или изначально омертвевшая была?
|
[
Ответить ]
|
|
Re: Опять про вакуумирование
Dr.Bakhtamyan 22 Июнь 2015, 01:58
|

Вид покачественне
|
[
Ответить ]
|
Re: Опять про вакуумирование
Отправитель: Станислав Дмитриев 22 Июнь 2015, 22:58
|
На мой взгляд, рана достаточно "благоприятная" в плане дальнейшего прогноза. Осторожно удалите мертвые ткани, постарайтесь сохранить грануляции. "наползшие" на кость, узким остеотомом удалите часть гребня б/берцовой кости, не вскрывая медуллярный канал - прочность не потеряете, а рана станет более "плоской". Мы обычно кортикальную кость срезаем на 1/3 - 1/2 толщины. Насверлите отверстий сверлом не толще 3.2 мм (часто хватает и 2.5 мм)с перемычками до 2- 3 мм. Уберите по краям мертвую клетчатку - грануляции на ней все равно расти не будут. После этого сажайте на VAC. После первой перевязки посмОтрите, где еще остались нежизнеспособные ткани. удалите.
Вопрос: у вас рубец в в/3 голени - это "случайно" не интармедуллярный гвоздь стоит?
|
[
Ответить ]
|
Re: Опять про вакуумирование
Отправитель: Др.Бaхтамян 23 Июнь 2015, 12:55
|
Спасибо, Др.Дмитриев! Да у Вас просто орлиный глаз! :)) Действительно, там гвоздь без рассверливания, ведь перелом был закрытый. Я думаю, некроз пошел от удара бампером автомибиля
И в ране видна область перелома. Трепанации так близко к перелому не навредят? Кровушки вакуумом слишком не потеряем из костнмозгового? Как насчет гвоздя и вакуума?
|
[
Ответить ]
|
Re: Опять про вакуумирование
Отправитель: Станислав Дмитриев 25 Июнь 2015, 20:28
|
Насчет "гвоздя и вакуума" - плохо. В процессе остеонекрэктомии может обнажиться гвоздь. Это совсем нехорошо. Если тенденции к "наползанию" грануляций на кость нет, может быть, действительно попробовать закрыть мышечным брюшком. Рана расположена достаточно проксимально - медиальной головкой икроножной мышцы или солеусом должно получиться.
По прогнозу: после заживления раны в более-менее отдаленном периоде будьте готовы к развитию остеомиелита, санации и установке гвоздя с а/б покрытием. У нас такие случаи бывают нередко.
С уважением, Станислав Дмитриев, руководитель регионального центра дорожной травмы №2 г. Ниж. Новгород, ГКБ №13
|
[
Ответить ]
|
Re: Опять про вакуумирование
Отправитель: Др.Бахтамян 26 Июнь 2015, 00:42
|
Спасибо, Др.Дмитриев, за Ваш отклик!
Сегодня 4-й сеанс ежедневного ваккумирования - со вчерашнего дня имеются яркие сочные грануляции с медиальной стороны (я только туда ставлю губку, под кожный мостик!), а сегодня вокруг кости появились первые "икринки"! Признаюсь честно - забыл сфотографировать.... :(
У нас отличные пластические хирурги, однако, пластику местными тканями их сдерживает то, что медиальное брюшко поперечно повреждено, т.е. есть возможность только отдаленного лоскута на сосудистой ножке.
Со вторника больной начал температурить, до 38.5-39 гр,проходит после однократного приема 500мг парацетамола. Я тут же подумал - ну все, началось, остеомиелит. Однако, сам больной отмечает,что простыл, у нас жара до 40, не во всех палатах кондиционеры, б-ые включают вентиляторы, пьют очень холодные воду,напитки. Сам больной отмечает кашель со скудной мокротой. Я его тут же на ципрофлоксацин, в/в/ рингер. По сегодняшней рентгенограмме легких - ничего особенного, однако, наш опытный терапевт (она давно консультирует наше отделение, т.е. превосходно знакома с нашим контингентом!) отмечает, что аускультативно легкие неспокойны. Ципринол заменен на клафоран 1г дважды в день в/в, АЦЦ и теотард. "От нас" вакуумирование 1 минуту 150 мм рт. ст. каждые 15 минут 24 часа. We shell see what we shell see!
А более-менее отдаленный период - это сколько недель?
P.S. У Вашего центра есть свой сайт?
|
[
Ответить ]
|
|
Re: Опять про вакуумирование
Владимир 23 Июнь 2015, 15:17
|
А вариант несвободной мышечной пластики не рассматривался?
|
[
Ответить ]
|
Re: Опять про вакуумирование
Др.Бахтамян 26 Июнь 2015, 00:52
|

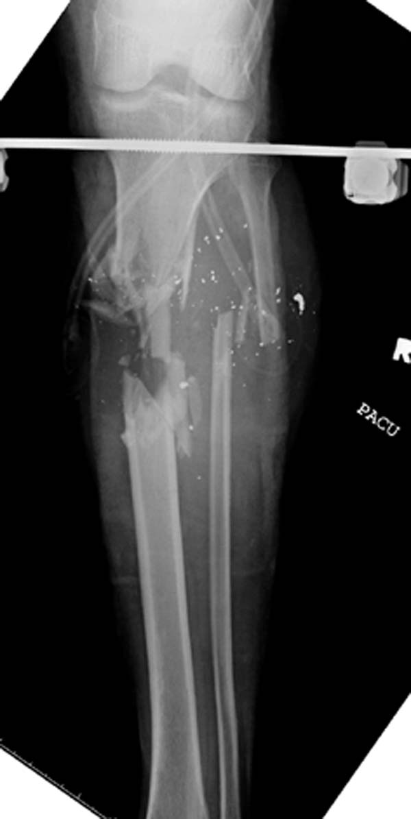
Снимки от 23-го июня
|
[
Ответить ]
|
Re: Опять про вакуумирование
Отправитель: Alexander Chelnokov 27 Июнь 2015, 14:53
|
Изображения размером 4608х2592 пиксела с размером файла больше 5 mb избыточны и неудобны. Экранов с таким разрешением нет ни на каких массовых компьютерах, планшетах и отовых телефонах.
А при работе через сотовую связь за городом и вовсе вспоминаешь отправителей таких громоздких картинок добрым тихим словом.
Достаточно картинки с разрешением 1024x768 пикселов, или около того - все видно. Даже когда jpg далеко не максимального качества. И размер файла раз в 20 меньше.
|
[
Ответить ]
|
|
Re: Опять про вакуумирование
Др.Бахтамян 26 Июнь 2015, 00:55
|

23-е июня
|
[
Ответить ]
|
Re: Опять про вакуумирование
Отправитель: Станислав Дмитриев 26 Июнь 2015, 09:46
|
Уважемый д-р Бахтамян! Судя по виду ран, раны подготовлены, вполне можно "сажать" трансплантаты. Насчет сроков возможного остеомиелита - у нас было несколько случаев, примерно 2-3 в год на 70-80 синтезов б/берцовой и диафиза бедра - открытых и закрытых переломов. К сожалению, отдельной статистики по открытым под рукой нет. Чаще всего случались после длительного нахождения АВФ при открытых переломах. Пару раз были при закрытых + АВФ. Статистика небольшая, т.к. центр функционирует с января 2013 года.
По срокам возникновения - через 5-8 мес, на стадии срастания перелома или формирования ложного сустава.
|
[
Ответить ]
|
Re: Опять про вакуумирование
Отправитель: Dr.Bakhtamyan 26 Июнь 2015, 10:19
|
Большое спасибо, Др.Дмитриев!
А как насчет термического некроза кости при обработке фрезами?
А насчет остеомилеита - Вы сами указываете, ДЛИТЕЛЬНОЕ нахождение АВФ, независимо от вида перелома!
|
[
Ответить ]
|
|
Re: Опять про вакуумирование
Др.Бахтамян 27 Июнь 2015, 04:30
|

Посылаю сегодняшние снимки раны. По краям кости появились первые зернышки грануляций! Сегодня в условиях операционной обработал кость ферзами (burrs), но получил очень мало "росы". Не рискнул сильно надавить на фрезу, чтобы не провалиться в костномозговой канал до гвоздя. И снова вакуумирование!
|
[
Ответить ]
|
Re: Опять про вакуумирование
Отправитель: Maxim Agalakov 30 Июнь 2015, 10:20
|
чего вы ждете? закрывайте пока что есть с грануляциями
|
[
Ответить ]
|
|
Re: Опять про вакуумирование
Djoldas Kuldjanov 17 Июль 2015, 00:41
|

>чего вы ждете? закрывайте пока что есть с грануляциями
Под воздействием вакуума образовалась готовая к кожной пластике грануляционная поверхность, но не стал бы спешить, потому что посаженная на кость кожа имеет плохое питание и легко травмируется. В данном варианте, кроме закрытия дефекта необходимо решить проблему сращения кости, потому что в зоне с пониженным кровообращением восстановление происходит медленнее и в большинстве открытые, инфецированные переломы осложняются атрофическим ложным суставом!
Нехватка кровообращения решается подведением “спасательной подушки” из мышцы. Усиленное кровообращение легко справляется инфекцией, а также облегчает кожную пластику. Ротируется мышца, а на нее можно сажать кожу, и проводить вакуумирование до периода приживления кожи...
Здесь примерный протокол лечения открытых ран с дефектом кости и мягких тканей. Применение вакуума с первых дней предупреждает
инфецирование раны и, не ожидая закрытия дефекта, можно проводит фиксацию даже внутрикостными фиксаторами. Затем можно продолжить процедуры по закрытию мягкотканннего дефекта.
Такая этапная тактика: Irrigation and Debridement, наружный фиксатор, вакуум, гвоздь, покрытие дефекта с ротацией medial gastroc и c кожной пластикой позволяет более агрессивно, в короткие сроки, создать более благоприятные условия для восставления переломов с дефектом мягких тканей
С уважение,
Djoldas Kuldjanov
|
[
Ответить ]
|
( Ответить )
|
|