AOTRAUMA.ORG Центр Илизарова  

Ортопедия и травматология Общие вопросы/General questions Help Информационные технологии в медицине
 вверх
 отправить
 поиск
 админ
 главная
 Предыдущее


Re: Остеосинтез н/3 предплечья
Alexander Chelnokov 28 Июль 2015, 09:50

А ретроградно спицы вводить не ближе? И покомпактнее получается.
  • Сообщения о Ортопедия и травматология
  • Также Alexander Chelnokov
  • Связаться с автором
  • Ответить

    Re: Остеосинтез н/3 предплечья
    Молодой специалист 28 Июль 2015, 10:54
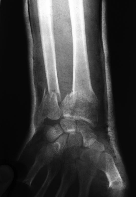
    Здравствуйте, Александр Николаевич! Такой вариант я, находясь у Вас на учебе, видел и рассматривал. Но у меня перелом лучевой кости внутрисуставной и локтевая сломана. В итоге то, что придумалось мне показалось приемлемее.


    Р-грамма после репозиции.


    [ Ответить ]


    ( Ответить )

    Powered by Zope  Squishdot Powered MedLink
    Посетитель: 0000211
      "По форме правильно, а по существу - издевательство" В.И.Ленин
    ©2001-2019Orthoforum Coordinator.
    [ Главная | Отправить сообщение | Поиск | Админ ]