ВХОД ДЛЯ ПАЦИЕНТОВ
вверх
поиск
админ
главная
исходное
|
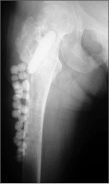
Re: Остеомиелит бедра в условиях МОС
послал Djoldas Kuldjanov 31 Июль 2016, 10:39
|
Вертельные переломы хорошо срастаются, но допущенная небольшая флекcия изменила вектор динамического винта и сыграла против скольжения. С момента фиксации прошло достаточное время, и перелом должен срастаться хотя бы частично! Это подтверждается позицией DHS, который, несмотря на сломанные винты, не изменил позицию! Ложный сустав в этой области характерен более драматической картиной, но для уточнения можно сделать КТ!
По поводу послеоперационного осложнения: в раннем периоде проявляется в виде гематомы, которая со временем образует свищи. Это получается в результате многократных перевязок, промывания антисептиками или перекисью водорода, которые ускоряют образованию свища. Такая рана со временем осложняется вторично! Создается очаг инфекции возле металла или перелома и это задерживает процесс репарации. Антибиотик при наличии свища только затормаживает процесс, но не всегда помогает! Свищ может повториться в любое время, и поэтому любое осложнение вокруг операционной раны независмо от срока необходимо обработать срочно!
А что такое современное промывание (Irrigation&Debridment) говорили не раз, желательно в операционной, под общим обезболиванием, адекватно! Если инфекция с гнойным процессом, тогда временно бусы с цементом и вакуум! Во время промывки можно удалить металл и дефект кости заполнить бусами! Сделать стресс тест: отсутствие подвижности доказывает частичное сращение и бусы можно оставить. При наличии подвижности необходимо фиксировать, хотя бы наружным фиксатором - в шейку и в диафиз! При более интенсивном вовлечении в гнойный процесс процедуру можно повторить. Перекись и антисептики токсичны и плохо влияют на заживление!

Здесь пример лечения антибиотическими бусами и форма для бус!
|
| Послать ответ |
Обратите внимание: Поля с жирными названиями обязательны.
Старайтесь отвечать в рамках обсуждаемой темы, а не начинать новые обсуждения.
Указывайте адекватную тему сообщения, чтобы было ясно, о чем оно.
Не послайте сообщений не по теме (оффтопик), раздраженных, грубых или обидных комментариев. Здесь это неуместно.
|