вверх
отправить
поиск
админ
главная
|
Остеомиелит бедра в условиях МОС |
 |
 |
 |
Отправлено Антон 30 Июль 2016, 01:51
Здравствуйте, уважаемые коллеги.Поделитесь пожалуйста мнением о возможной дальнейшей тактике лечения при данном осложнении. У нас в клинике, в мае 2015 года была прооперирована пациентка 50 лет, страдающая сахарным диабетом, по поводу закрытого чрезвертельного перелома левого бедра со смещением отломков. Был выполнен остеосинтез левого бедра пластиной DHS. Через 3 недели после выписки, в проекции дистального конца пластины сформировались 2 свища с серозно-гнойным отделяемым. Через 1,5 месяца после операции пациентка была госпитализирована в наше отделение. При поступлении у пациентки отмечался умеренный отек мягких тканей в области левого бедра, два свищевых хода с серозно-гнойным отделяемым. Гиперемии в области п\о рубца не было. В отделение была проведена антибактериальная терапия соответственно результатам посева. На фоне лечения свищи закрылись, пациентка не лихорадит. Была выписана из стационара. Что делать дальше?Оставить так и ждать сращения, которое в условиях инфекции и нестабильной фиксации может и не наступить.Или же необходимо оперативное лечение, какая тактика?К сожалению не могу предоставить фистулограммы, но на них контраст распространяется вдоль пластины и заполняет дефект в области большого вертела.Заранее спасибо!
<
|
>
|
|
Ответить
|
Re: Остеомиелит бедра в условиях МОС
ИСТ 31 Июль 2016, 01:04
|
Здравствуйте. Хотелось бы уточнить дату операции (2015 год?)
|
[
Ответить ]
|
Re: Остеомиелит бедра в условиях МОС
Отправитель: Антон 31 Июль 2016, 11:00
|
Простите за допущенную неточность, операция была выполнена 19.05.16
|
[
Ответить ]
|
|
Re: Остеомиелит бедра в условиях МОС
Djoldas Kuldjanov 31 Июль 2016, 10:39
|
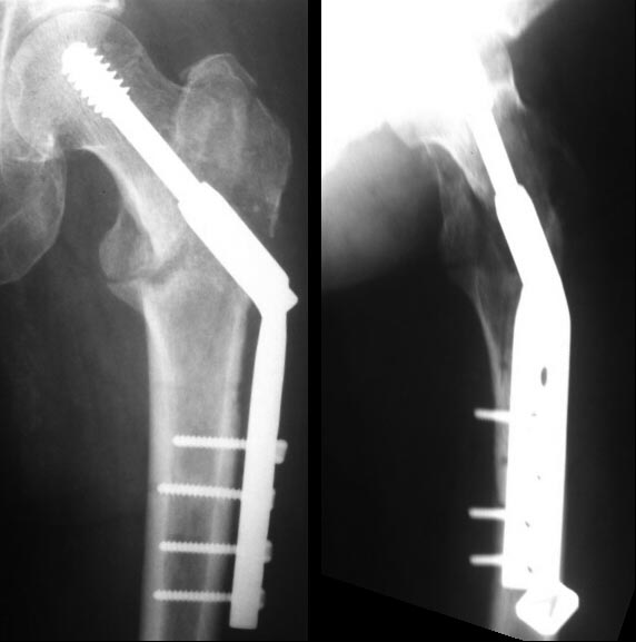
Вертельные переломы хорошо срастаются, но допущенная небольшая флекcия изменила вектор динамического винта и сыграла против скольжения. С момента фиксации прошло достаточное время, и перелом должен срастаться хотя бы частично! Это подтверждается позицией DHS, который, несмотря на сломанные винты, не изменил позицию! Ложный сустав в этой области характерен более драматической картиной, но для уточнения можно сделать КТ!
По поводу послеоперационного осложнения: в раннем периоде проявляется в виде гематомы, которая со временем образует свищи. Это получается в результате многократных перевязок, промывания антисептиками или перекисью водорода, которые ускоряют образованию свища. Такая рана со временем осложняется вторично! Создается очаг инфекции возле металла или перелома и это задерживает процесс репарации. Антибиотик при наличии свища только затормаживает процесс, но не всегда помогает! Свищ может повториться в любое время, и поэтому любое осложнение вокруг операционной раны независмо от срока необходимо обработать срочно!
А что такое современное промывание (Irrigation&Debridment) говорили не раз, желательно в операционной, под общим обезболиванием, адекватно! Если инфекция с гнойным процессом, тогда временно бусы с цементом и вакуум! Во время промывки можно удалить металл и дефект кости заполнить бусами! Сделать стресс тест: отсутствие подвижности доказывает частичное сращение и бусы можно оставить. При наличии подвижности необходимо фиксировать, хотя бы наружным фиксатором - в шейку и в диафиз! При более интенсивном вовлечении в гнойный процесс процедуру можно повторить. Перекись и антисептики токсичны и плохо влияют на заживление!

Здесь пример лечения антибиотическими бусами и форма для бус!
|
[
Ответить ]
|
Re: Остеомиелит бедра в условиях МОС
Юрий Алексеевич Булахтин 01 Август 2016, 03:09
|
Полностью согласен с Джолдасом в оценке причины несращения - о неидеальной постановки DHS говорит неплотное прилегание пластины, а значит динамической компрессии не получилось. А вот по дальнейшей тактике, у пациентки с диабетом, я бы убрал конструкцию сразу и бусы.
Джолдас, скажи, пожалуйста, в твоем примере в шейке "колбаска" это тоже цемент с антибиотиком?
С уважением, Юрий Алексеевич Булахтин
Камчатский Военно-морской госпиталь
|
[
Ответить ]
|
Re: Остеомиелит бедра в условиях МОС
Отправитель: Djoldas Kuldjanov, M.D. 03 Август 2016, 09:19
|
В нашем примере удаление пластины было произведено из-за поздней инфекции на фоне сросшегося перелома. На месте винта в шейке образовался огромный костный дефект и для профилактики стрессового перелома установили “колбаску” из остатка цемента с антбиотиком. Следующую операцию закончили замещением костного дефекта пластикой из губчатой аллокости, которая была забита в дефект.
Учитывая, что осложнение случилось в раннем периоде, т.е в фазе сращения, надо постараться довести консолидацию без удаления конструкции. Цемент с антибиотиком и неоднократные (I&D) создадут условия против инфицирования раны, а также условия для сращения!
|
[
Ответить ]
|
|
Re: Остеомиелит бедра в условиях МОС
денис 17 Август 2016, 11:10
|
1) ребята, остеосинтез подвертельного перелома и динамический бедренный винт это 2 несовместимы вещи, вроде как то так..........
2) Интрамедуллярный остеосинтез гвоздем короткой версии вот выход из положения, клинок можно и спиральный как на PFN или с резьбой как на Trohanter, нагрузка с первого дня, операция 15 минут, зачем изобретать велосипед????
|
[
Ответить ]
|
( Ответить )
|
|