вверх
отправить
поиск
админ
главная
Предыдущее
Весь тред
|
Re: Несращение проксимального отдела плеча
Alexander Chelnokov 22 Август 2016, 21:49
|
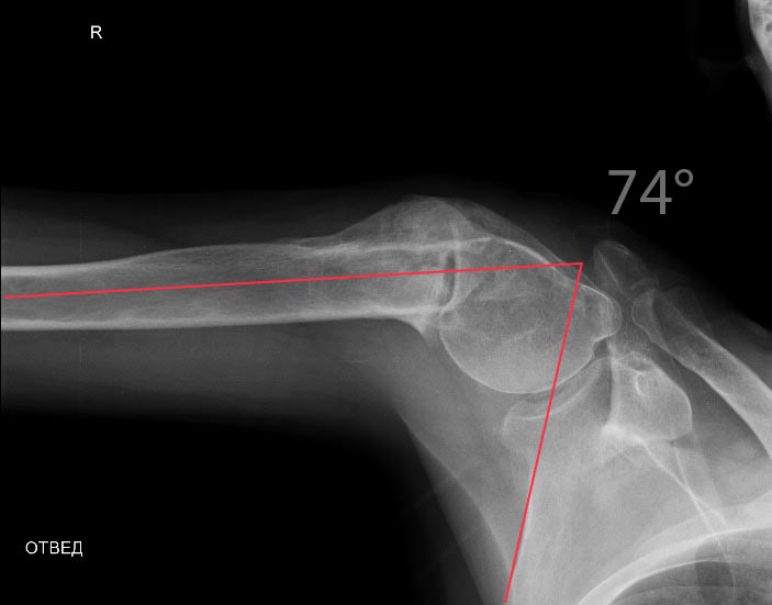
Тут ведь больше проблем. Консервативное лечение хорошо, когда оно с приемлемой анатомией и в обычный срок достигает результата. А сейчас прошел период, когда должно уже было срастись. Продолжение лечения без операции - на авось. Уже на работу пора, а тут неясно, когда даже движения начать можно. Оперировать стоило сразу. Ну хоть на два месяца опоздали всего, не на год.
А насчет функции - вот примерчик. До и после коррекции.

|
|
|
|
|