ВХОД ДЛЯ ПАЦИЕНТОВ
вверх
поиск
админ
главная
исходное
последующие
|
Re: Перелом лодыжек в сочетании с контрактурой 3-главой мышцы
послал Бережной Сергей 16 Декабрь 2016, 00:39
|
Ну вот, думал, что дискуссия закончена. Придется потерять время на поиск аргументов.
Имплант модный, современный...
Ну какой же это модный имплант? Заурядная треть-трубчатая пластина. С 2002 или 2003 г. я других и не ставил.
Медиальная лодыжка чуть не дорепонированв...
Прекрасно знаете, что такой миллиметр для внутренней лодыжки значения не имеет и на результате не скажется.
Сделайте КТ - можете удивиться тому, что найдете.
Когда-то я писал и приводил примеры здесь на форуме, как много полезного и меняющего тактику операции можно находить при рутинном КТ исследовании переломов лодыжек. Вы же были основным возражавшим (если мне не изменяет память). В каждом из нас сидит дух противоречия.
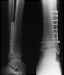
а где стягивающий винт?
Уверен, что с приходом фиксаторов с угловой стабильностью надобность в стягивающих винтах при переломах наружной лодыжки (особенно простых) полностью отпала. Уже много лет не ставлю их. Наверное, где-то еще работают по старинке.
Межберцовый винт: в его качестве locking had screw, а не обычный кортикальный? В каких руководствах или статьях есть такая рекомендация?
Вопрос не очень понятно сформулирован. Что не так? Поставлен обычный кортикальный не блокированный в пластине винт. Во вложении - фото отрывка из руководства по внутреннему остеосинтезу АО. В переводе А.В. Королева.

Как раз там рекомендуется введение обычного 3.5 мм шурупа через оба кортикальных слоя большеберцовой кости.
Этот винт проведен через сам синдесмоз на 1 см проксимальнее сустава - а это в соответствии с какими рекомендациями?
Во вложении рентгенограмма из руководства Кэмпбэлла, издания 2013 г. (стр. 2623), демонстрирующая технику фиксации синдесмоза через отверстие в пластине. Расстояние от суставной линии там явно не 2 см. тем более не 3.

Вы больную только на операционном столе увидели? До операции ни натоптавшей, ни чего другого необычного не видели?
По-моему, дооперационный локальный статус описан достаточно подробно, включая функциональную пробу.
Ну и так далее...
Интересно, что же еще далее могло быть? Все, что можно перечислить оказалось не так. Неужели не все?
|
| Послать ответ |
Обратите внимание: Поля с жирными названиями обязательны.
Старайтесь отвечать в рамках обсуждаемой темы, а не начинать новые обсуждения.
Указывайте адекватную тему сообщения, чтобы было ясно, о чем оно.
Не послайте сообщений не по теме (оффтопик), раздраженных, грубых или обидных комментариев. Здесь это неуместно.
|