Ответить
|
Re: Перелом лодыжек в сочетании с контрактурой 3-главой мышцы
Maxim Agalakov 11 Декабрь 2016, 23:29
|
Немедленно удалить "позиционный" винт, который работает как болт-стяжка и синдесмоз явно перетянут. Учитывая форму тарана, иной установки стопы ожидать сложно, оптимально спицы заменить на винт.
|
[
Ответить ]
|
Re: Перелом лодыжек в сочетании с контрактурой 3-главой мышцы
Отправитель: Бережной Сергей 12 Декабрь 2016, 00:13
|
Отправлял до- и послеоперационные снимки, но почему-то проявились только послеоперационные. Досылаю остальные.

Такое впечатление, Максим, что Вы куда-то бежали и написали ответ, не успев перевести дух. Прочитайте, пожалуйста, внимательно вопросы. Они не о качестве остеосинтеза, который я не планировал обсуждать. Но если уж на то пошло, как можно говорить о перетянутом синдесмозе, не видя другой ноги? Сначала я ввел этот винт даже глубже, но затем отпустил, ориентируясь на здоровый голеностоп. Пациентка к моменту выписки безболезненно и свободно двигала стопой. Тыльное сгибание оперированной стопы практически сравнялось с противоположной. Обычно я выписываю таких пациентов на следующий день или через день после операции. Эту пациентку задержал на 4 дня, чтобы с ней позанимался специалист по ЛФК, учитывая контрактуру трицепсов. А фиксировать такие маленькие фрагменты внутренней лодыжки винтом привычки не имею из-за неизбежного повреждения прикрепляющейся к лодыжке связки. Спицы, как Вы видите, через связку не проходят.
|
[
Ответить ]
|
Re: Перелом лодыжек в сочетании с контрактурой 3-главой мышцы
Отправитель: Maxim Agalakov 12 Декабрь 2016, 01:04
|

бегу дальше, есть некие очевидные признаки
|
[
Ответить ]
|
Re: Перелом лодыжек в сочетании с контрактурой 3-главой мышцы
Отправитель: Бережной Сергей 12 Декабрь 2016, 01:30
|
Так по Вашей презентации вроде не дотянут получается. Что-то у меня с глазомером.
|
[
Ответить ]
|
Re: Перелом лодыжек в сочетании с контрактурой 3-главой мышцы
Отправитель: Maxim Agalakov 12 Декабрь 2016, 01:41
|
понятно, что это не моя презентация. Я истинные размеры подсчитать не могу. Слайд же для оценки повреждения, менее 5 мм трактуется -не более. Эти проблемы раньше часто бывали при использовании болтов-стяжек. Сделайте сравнительные + Mortise View + Stress Views и не будет никакого спора. Пока все это выглядит как бритва..
|
[
Ответить ]
|
Re: Перелом лодыжек в сочетании с контрактурой 3-главой мышцы
Отправитель: Бережной Сергей 12 Декабрь 2016, 02:32
|
Как бритва Оккама?
Ну скажите, зачем мне делать сравнительные и т.д. снимки выписанной с прекрасным результатом пациентке? Во время операции я уже сравнивал со здоровой ногой. Попытался поднять такую интересную тему, контрактуру трицепса. А Вы обсуждаете то, что уже сто раз тут обсуждалось.
|
[
Ответить ]
|
Re: Перелом лодыжек в сочетании с контрактурой 3-главой мышцы
Отправитель: Maxim Agalakov 12 Декабрь 2016, 10:11
|
Пока не исключены наиболее вероятные причины, я не готов обсуждать "такую интересную тему".
|
[
Ответить ]
|
Re: Перелом лодыжек в сочетании с контрактурой 3-главой мышцы
Отправитель: Maxim Agalakov 12 Декабрь 2016, 19:58
|
она
|
[
Ответить ]
|
Re: Перелом лодыжек в сочетании с контрактурой 3-главой мышцы
Отправитель: Levikovich 12 Декабрь 2016, 00:17
|
как можно перетянуть таким винтом синдесмоз,ладно обычным кортикальным,а этим....+винт вообще недотянут,головка винта выпирает.подтянутые вровень,а этот выпирает.не?
|
[
Ответить ]
|
Re: Перелом лодыжек в сочетании с контрактурой 3-главой мышцы
Отправитель: Бережной Сергей 12 Декабрь 2016, 01:36
|
С винтом тут понятно. Пластина блокируемая. Винты ввинчены в нее заподлицо. А синдесмозный введен под углом. Это синтезовская пластина. Угол введения только один, прямой. Поэтому головка синдесмозного винта и не могла погрузиться полностью. Но синдесмоз не перетянут, это правда.
|
[
Ответить ]
|
|
Re: Перелом лодыжек в сочетании с контрактурой 3-главой мышцы
Levikovich 12 Декабрь 2016, 09:53
|
Дк..я тож за то,что синдесмоз не перетянут!
А по поводу контрактуры,если больной это и надо,то можно при удалении металла выполнить.
|
[
Ответить ]
|
Re: Перелом лодыжек в сочетании с контрактурой 3-главой мышцы
Шведовченко Игорь Владимирович 12 Декабрь 2016, 10:59
|
Добрый день, уважаемый Сергей. А какой основной диагноз у пациентки. Это ДЦП?
|
[
Ответить ]
|
Re: Перелом лодыжек в сочетании с контрактурой 3-главой мышцы
Отправитель: Maxim Agalakov 12 Декабрь 2016, 11:06
|
Очень правильный вопрос, все-таки класс. Я это исключил, подумав, что уже определено, но вопросы к синтезу есть
|
[
Ответить ]
|
Re: Перелом лодыжек в сочетании с контрактурой 3-главой мышцы
Отправитель: Бережной Сергей 12 Декабрь 2016, 11:48
|
Здравствуйте, уважаемый Игорь Владимирович.
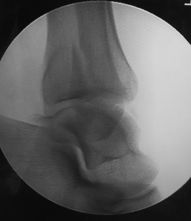
Основной диагноз: закрытый перелом лодыжек левой голени со смещением отломков, разрыв дистального межберцового синдесмоза, отрыв фрагмента переднего края левой большеберцовой кости, перелом заднего края левой большеберцовой кости без смещения отломков.
Сопутствующий диагноз: контрактура трехглавых мышц обеих голеней.
О ДЦП речь в данном случае не идет, о тугоподвижности голеностопных суставов пациентка до сих пор ничего не знала. Занимает достаточно высокий пост, офисный работник. В детстве занималась балетом и теперь выявленную эквинусную установку стоп пытается связать с этим.
|
[
Ответить ]
|
|
Re: Перелом лодыжек в сочетании с контрактурой 3-главой мышцы
Шведовченко Игорь Владимирович 12 Декабрь 2016, 14:31
|
Уважаемый Сергей Юрьевич, спасибо. Действительно очень интересная статья. Особенно фразой, что "настоящее исследование не определяло причинно-следственной связи между измененным объемом движений в голеностопном суставе и сопутствующей патологией".
Что же касается девушки, которая благополучно дожила до 30 лет "на пуантах", то может быть и не разубеждать ее в этиологии этого состояния, а отпустить с отлично репонированным переломом.
|
[
Ответить ]
|
Re: Перелом лодыжек в сочетании с контрактурой 3-главой мышцы
Отправитель: Maxim Agalakov 12 Декабрь 2016, 20:05
|
на пуантах на одной ноге
|
[
Ответить ]
|
Re: Перелом лодыжек в сочетании с контрактурой 3-главой мышцы
Отправитель: Бережной Сергей 13 Декабрь 2016, 00:46
|
Спасибо.
Мысли об удлинении сухожилия трицепса беспокоят из-за того, что у пациентки уже есть натоптыши в переднем отделе стоп. Пусть и бессимптомные. А подобная тяжелая травма, даже идеально вылеченная, неизбежно приведет к той или иной степени тугоподвижности голеностопного сустава. И тогда бессимптомная перегрузка переднего отдела стопы с большой степенью вероятности перейдет в симптоматическую стадию. В свою очередь, операция удлинения сухожилия малотравматичная. Время реабилитации после нее не превысит сроки восстановления после перелома лодыжек. Отсюда и соблазн решить обе задачи одновременно.
|
[
Ответить ]
|
Re: Перелом лодыжек в сочетании с контрактурой 3-главой мышцы
Отправитель: Бережной Сергей 13 Декабрь 2016, 00:57
|
Предыдущий пост был адресован Шведовченко И.В. (в частности, спасибо).
А Вы, Максим, все-таки притормозите. Хирург, как разведчик, должен управлять своими эмоциями.
|
[
Ответить ]
|
Re: Перелом лодыжек в сочетании с контрактурой 3-главой мышцы
Отправитель: Maxim Agalakov 13 Декабрь 2016, 07:24
|
это же публичная дискуссия, позволил себе вмешаться.
|
[
Ответить ]
|
Re: Перелом лодыжек в сочетании с контрактурой 3-главой мышцы
Отправитель: Бережной Сергей 13 Декабрь 2016, 08:53
|
Замечательно, что Вы вмешались в дискуссию. Я и пытался ее спровоцировать этим постом. Но эмоции не должны перевешивать.
|
[
Ответить ]
|
Re: Перелом лодыжек в сочетании с контрактурой 3-главой мышцы
Отправитель: Alexey Semenistyy 15 Декабрь 2016, 02:27
|
Я поддержу Максима. Не нравиться мне остеосинтез! Имплант модный, современный, репозиция наружной лодыжки идеальная, суставная щель какаду-то равномерная.....Какбуд-то.
Про репозицию: Медиальная лодыжка чуть не дорепонированв, реально медиальное щель уже, чем в норме. Про синдсмоз по этим проекциям судить нельзя. Сделайте КТ - можете удивиться тому, что найдете.
Про остеосинтез: перелом наружной лодыжки простой, отремонтирован идеально, а где стягивающий винт? Межберцовый винт: в его качестве locking had screw, а не обычный кортикальный? В каких руководствах или статьях есть такая рекомендация? Этот винт проведен через сам синдесмоз на 1 см проксимальнее сустава - а это в соответствии с какими рекомендациями? Вроде рекомендуют повыше немного?
По поднятой проблеме: Вы больную только на операционном столе увидели? До операции ни натоптавшей, ни чего другого необычного не видели? Ну и так далее...
Простите, вырвалось...
|
[
Ответить ]
|
Re: Перелом лодыжек в сочетании с контрактурой 3-главой мышцы
Отправитель: Бережной Сергей 16 Декабрь 2016, 00:39
|
Ну вот, думал, что дискуссия закончена. Придется потерять время на поиск аргументов.
Имплант модный, современный...
Ну какой же это модный имплант? Заурядная треть-трубчатая пластина. С 2002 или 2003 г. я других и не ставил.
Медиальная лодыжка чуть не дорепонированв...
Прекрасно знаете, что такой миллиметр для внутренней лодыжки значения не имеет и на результате не скажется.
Сделайте КТ - можете удивиться тому, что найдете.
Когда-то я писал и приводил примеры здесь на форуме, как много полезного и меняющего тактику операции можно находить при рутинном КТ исследовании переломов лодыжек. Вы же были основным возражавшим (если мне не изменяет память). В каждом из нас сидит дух противоречия.
а где стягивающий винт?
Уверен, что с приходом фиксаторов с угловой стабильностью надобность в стягивающих винтах при переломах наружной лодыжки (особенно простых) полностью отпала. Уже много лет не ставлю их. Наверное, где-то еще работают по старинке.
Межберцовый винт: в его качестве locking had screw, а не обычный кортикальный? В каких руководствах или статьях есть такая рекомендация?
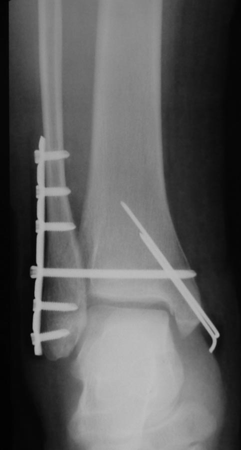
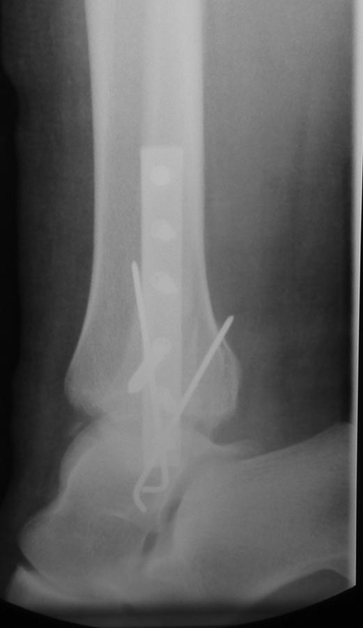
Вопрос не очень понятно сформулирован. Что не так? Поставлен обычный кортикальный не блокированный в пластине винт. Во вложении - фото отрывка из руководства по внутреннему остеосинтезу АО. В переводе А.В. Королева.

Как раз там рекомендуется введение обычного 3.5 мм шурупа через оба кортикальных слоя большеберцовой кости.
Этот винт проведен через сам синдесмоз на 1 см проксимальнее сустава - а это в соответствии с какими рекомендациями?
Во вложении рентгенограмма из руководства Кэмпбэлла, издания 2013 г. (стр. 2623), демонстрирующая технику фиксации синдесмоза через отверстие в пластине. Расстояние от суставной линии там явно не 2 см. тем более не 3.

Вы больную только на операционном столе увидели? До операции ни натоптавшей, ни чего другого необычного не видели?
По-моему, дооперационный локальный статус описан достаточно подробно, включая функциональную пробу.
Ну и так далее...
Интересно, что же еще далее могло быть? Все, что можно перечислить оказалось не так. Неужели не все?
|
[
Ответить ]
|
Re: Перелом лодыжек в сочетании с контрактурой 3-главой мышцы
Отправитель: Alexey Semenistyy 16 Декабрь 2016, 03:28
|
>Ну какой же это модный имплант? Заурядная треть-трубчатая пластина. С 2002 или 2003 г. я других и не ставил.
Заурядная это обычная DCP 1/3-трубки, а здесь LCP
>Прекрасно знаете, что такой миллиметр для внутренней лодыжки значения не имеет и на результате не скажется.
Это миллиметр не для внутренней лодыжки, а для суженного medial space (см. приложение), что, как и его расширение, косвенно указывает на проблемы в области дистального тибио-фибуллярного сочленения.
Когда-то я писал и приводил примеры здесь на форуме, как много полезного и меняющего тактику операции можно находить при рутинном КТ исследовании переломов лодыжек. Вы же были основным возражавшим (если мне не изменяет память). В каждом из нас сидит дух противоречия.
Я и сейчас настаиваю, что для обычного перелома лодыжек клинических данных и стандартных проекций вполне достаточно для понимания сущности повреждения (костного и мягкотканного), КТ -избыточно. Сейчас я же говорю о пользе КТ после операции для понимания того, что что-то не получилось или пошло не так (это как раз относится к обсуждаемому случаю).
Уверен, что с приходом фиксаторов с угловой стабильностью надобность в стягивающих винтах при переломах наружной лодыжки (особенно простых) полностью отпала. Уже много лет не ставлю их. Наверное, где-то еще работают по старинке.
Тут Вы ошибаетесь! На чем основана такая уверенность? Приход фиксаторов с угловой стабильностью ни как не изменил ни пути и биологию сращения (прямое или непрямое), ни принципы фиксации (абсолютная стабильность для прямого сращения, относительная - для непрямого).
Есть простой косой перелом в области метафиза, -Перелом отрепонирован анатомично, - Ожидаем первичное сращение, - это требует абсолютной стабильности, которая обеспечивается только межфрагментарной компрессией, и больше ничем. Компрессии можно добиться: на пластине с эксцентричным проведением винтов (у Вас все винты блокированные); установкой пластины по задней поверхности в качестве противоскользящей (этого тоже нет); стягивающим винтом, проведенным перпендикулярно плоскости перелома (его тоже нет) - пластина при этом, неважно какими винтами она прикручена, по функции нейтрализующая (защитная).
LCP это только лишь устройство, более продвинутое по сравнению с LC-DCP, преимущества которого (LCP) минимальны для кости хорошего качества, и более существенны для остеопорозной кости.
Возможно, Вы добивались компрессии сжиманием обломков репозиционными щипцами, но это самый ненадежный способ, в смысле, что компрессия теряется.
>Вопрос не очень понятно сформулирован. Что не так? Поставлен обычный кортикальный не блокированный в пластине винт.
НЕ-НЕ! Это не кортикальный винт!!! Это 3,5 мм LHS self-tapping c гексагональным шлицем (413.0хх) (см. приложение)

Во вложении рентгенограмма из руководства Кэмпбэлла, издания 2013 г. (стр. 2623), демонстрирующая технику фиксации синдесмоза через отверстие в пластине. Расстояние от суставной линии там явно не 2 см. тем более не 3.
Ну, хорошо, Кэмпбелл так Кэмпбелл.- Согласно этому руководству 13-го издания хоть и не 3-4, но все же на 2-3 проксимальнее tibial plafond (не суставной щели!) (см. приложение)

|
[
Ответить ]
|
Re: Перелом лодыжек в сочетании с контрактурой 3-главой мышцы
Отправитель: Бережной Сергей 17 Декабрь 2016, 18:18
|
Ну уж если Кэмпбелл 2013 г. на двух соседних страницах дает разные рекомендации, и обе неверные, то я со всеми замечаниями согласен. В том смысле, что при желании на любой аргумент каждый из нас легко найдет свой контраргумент. Так можно до бесконечности препираться. Скажем, для меня 1/3-трубчатая LCP заурядная пластина, поскольку других уже почти 15 лет не ставлю. А для кого-то нет. Ну и ладно. Вы говорите, что: "Приход фиксаторов с угловой стабильностью ни как не изменил ... принципы фиксации (абсолютная стабильность для прямого сращения, относительная - для непрямого)". Отлично. Зачем тогда в данном случае обязательная межфрагментарная компрессия? Пусть себе лодыжка непрямым сращением срастается. С такой пластиной проблем со сращением не будет. Но с чем точно не соглашусь, так это что: "LCP это только лишь устройство, более продвинутое по сравнению с LC-DCP, преимущества которого (LCP) минимальны ...". Я расцениваю приход фиксаторов с угловой стабильностью как революцию (одну из революций) в травматологии и ортопедии. По значимости сравнимую, к примеру, с внедрением одноразовых шприцев. Поскольку в своей работе часто имею дело со всякими осложнениями и неудачами предыдущих вмешательств, то с уверенностью могу сказать, что ложных суставов, переломов и миграций фиксаторов с угловой стабильностью на порядок меньше, чем при применении фиксаторов без этой самой стабильности. В данном случае ссылаюсь на собственный опыт. Но при желании, как Вы понимаете, легко найду и массу подтверждений этому в мировой литературе.
|
[
Ответить ]
|
Re: Перелом лодыжек в сочетании с контрактурой 3-главой мышцы
Отправитель: Alexey Semenistyy 17 Декабрь 2016, 22:12
|
>Ну уж если Кэмпбелл 2013 г. на двух соседних страницах дает разные рекомендации, и обе неверные,
Ну почему же обе неверные? В тексте все правильно, а вот картинка явно просто переходит из одного издания в другое уже лет 30 без изменений и уже морально устарела. Надо будет редакторам feеdback послать.
>Так можно до бесконечности препираться. Скажем, для меня 1/3-трубчатая LCP заурядная пластина, поскольку других уже почти 15 лет не ставлю.
Для меня тоже, хотя во многих случаях, особенно у молодых, неблокированной пластины было бы достаточно с тем же результатом. Просто тогда надо склад расширять.
> Вы говорите, что: "Приход фиксаторов с угловой стабильностью ни как не изменил ... принципы фиксации (абсолютная стабильность для прямого сращения, относительная - для непрямого)". Отлично. Зачем тогда в данном случае обязательная межфрагментарная компрессия? Пусть себе лодыжка непрямым сращением срастается.
Сращение (любое-прямое или непрямое) при условиях АНАТОМИЧНОЙ репозициии в отсутствие межфрагментарной компрессии, т.е. при ОТНОСИТЕЛЬНОЙ стабильности может вообще не наступить. Точно также, как при функциональной (не аналогичной, не "зубец в зубец") при слишком ригидной (жесткой) фиксации сращение тоже замедленно, и нередко имплантат, даже очень качественный, ломается раньше, чем перлом срастется. Анатомияная репозиция требует компрессии, жесткой фиксации, функциональная репозиция нуждается в эластичной фиксации. Вспомните (или выучите заново) теорию Перрена.
>С такой пластиной проблем со сращением не будет.
Дай Бог срастется! Но это не благодаря пластине)))
>Но с чем точно не соглашусь, так это что: "LCP это только лишь устройство, более продвинутое по сравнению с LC-DCP, преимущества которого (LCP) минимальны ...".
В оригинале было "...более продвинутое по сравнению с LC-DCP, преимущества которого (LCP) минимальны для кости хорошего качества, и более существенны для остеопорозной кости".
Примерно это же написано про блокированные пластины и в уважаемом издании Кэмпбелл на стр 2694 (13-еиздание) (см вложение)
>Я расцениваю приход фиксаторов с угловой стабильностью как революцию (одну из революций) в травматологии и ортопедии. По значимости сравнимую, к примеру, с внедрением одноразовых шприцев.
ДА! Если речь идет фиксации переломов на фоне остеопороза, внутрисуставных переломов с метафизарным раздролением (comminution) и значительном развитии техники MIPO
> с уверенностью могу сказать, что ложных суставов, переломов и миграций фиксаторов с угловой стабильностью на порядок меньше, чем при применении фиксаторов без этой самой стабильности.
Про миграцию и/или несостоятельность (расшатывание в кости) фиксаторов согласен. Про ложные суставы - не уверен. Про снижение частоты переломов пластин с угловой стабильностью винтов по сравнению с пластинами без этой самой стабильности винтов в них - скорее не согласен. Переломов пластин (типа LCP) я как раз стал встречать больше, чем в эпоху DCP и LC-DCP, и точно уверен, что "виноваты" не пластины.
>как Вы понимаете, легко найду и массу подтверждений этому в мировой литературе.
Было бы интересно! Попробуйте найти про частоту переломов блокированных и неблокированных пластин!
Снимок экрана 2016-12-17 в 19.23.19.png
311KB (318892 bytes)
|
[
Ответить ]
|
|
Re: Перелом лодыжек в сочетании с контрактурой 3-главой мышцы
Андрей 12 Декабрь 2016, 22:02
|
На мой взгляд синдесмоз "передавлен". Возможно чем то активно зажимали до проведения позиционного винта( например Маттом)? Или где то ещё отошли от классики
|
[
Ответить ]
|
Re: Перелом лодыжек в сочетании с контрактурой 3-главой мышцы
Отправитель: Чернюк Евгений 12 Декабрь 2016, 23:59
|
По - моему, здесь вообще не нужен позиционный винт, а такую мед.лодыжку мы фиксируем по Веберу.. Ответ не по теме вопроса.
|
[
Ответить ]
|
|
Re: Перелом лодыжек в сочетании с контрактурой 3-главой мышцы
Андрей 13 Декабрь 2016, 00:04
|
Для нужен не нужен позиционный винт- нужен стресс тест.
|
[
Ответить ]
|
Re: Перелом лодыжек в сочетании с контрактурой 3-главой мышцы
Отправитель: Бережной Сергей 13 Декабрь 2016, 01:15
|
Перед введением позиционного винта берцовые кости сжал пальцами одной руки. Спокойно, без мата. Через противоположный кортикал винт провел из-за того, что после остесинтеза наружной лодыжки щель синдесмоза все-таки оставалась расширенной и легко сжималась пальцами руки. Теоретически это может происходить из-за неточной репозиции наружной лодыжки. Но, насколько я видел во время операции - репозиция была точной. И еще раз повторю, что после проведения винта через противоположный кортикал, вывинтил его обратно на 2-3 оборота, ориентируясь под ЭОПом на здоровую конечность.
А фиксировать такую лодыжку по Веберу - это насколько же травматичнее должна быть операция? Через маленький доступ шилом прижать лодыжку и ввести перекрестно спицы или обнажить еще и проксимальный фрагмент для проведения проволоки.
|
[
Ответить ]
|
|
Re: Перелом лодыжек в сочетании с контрактурой 3-главой мышцы
Levikovich 13 Декабрь 2016, 01:41
|
Эта тема становится всё интересней и интересней для меня.Понятно что сходим с колеи и прём по-паханому,но всё же...
Всем сходу не понравился позиционный винт и межберцовое расстояние в области синдесмоза,оно и Вам не понравилось, поэтому и открутили его чуток...открутили, но расстояние не увеличилось ,видимо малоберцовка держится на резьбе (хотя,неужели она так прочно держится на резьбе?!). Да,репозиция хорошая,но вопросов по МОС много (пластина не моделировна, винт низковат и непонятна его функция, синдесмоз процентов на 80 состоятелен,спицы тож можно было б подбить импактором...)..хотя у меня бывало и похуже МОС и ничё..-бегают. В данном случае мне МОС понравился и не хочется верить,что синдесмоз перетянут. Но,".... сгибание со значительным усилием в голеностопном суставе на здоровой стопе едва достигало 90 гр".. Даж не могу представить её походку,с такой амплитудой, которая не тревожила её в течении 30 лет.
Шота я тож начал сомневаться).. Может и вправду убрать его?......опять двадцать пять)
|
[
Ответить ]
|
Re: Перелом лодыжек в сочетании с контрактурой 3-главой мышцы
Дедок Михаил 13 Декабрь 2016, 03:36
|
Коллеги! Может хватит выё.. и перестанем прилираться ?! Репозиция идеальная. Пластины с угловой стадильностью не требуют идеального моделирования по кости. У них другой механизм работы. Да, в конце концов, фиг с синдесмозом. Не имея возможности сравнить с противоположной стороной и оценить степень ротации сустава при укладке говорить о " перетянутости" некорректно. Или у всех ВСЕГДА идеально ? Вопрос был об эквинусе. Моё мнение, вопрос об эквинусе ставить тогда, когда больная попросит его убрать. Я как то предложил операцию парню с ригидным эквинусом ( градусов под 170) , с которым он 8 лет проходил как балерина. Так он год думал. ( предлагал и сделал потом артродез голеностопа с тенотомией ахилла). Не надо бежать вперёд проблемы. Как говорят англичане Don't trouble trouble until trouble troubles you.
|
[
Ответить ]
|
Re: Перелом лодыжек в сочетании с контрактурой 3-главой мышцы
Отправитель: Levikovich 13 Декабрь 2016, 10:10
|
Та я изначально был в защиту позиции винта,просто тема угасала и уходила от поставленных вопросов и на просьбы С.Б. писать по теме, продолжался разбор МОС.Вспомнились недавние слова А.Н..."потеряли там,но фонарь висит здесь,поэтому ищем здесь.Поэтому решил "поострить" и разшевелить)..ведь у каждого здесь есть свои "авторитетные лица"мнения которых хочется услышать...Вот уже Ботокс для меня это што-то новое.
|
[
Ответить ]
|
|
Re: Перелом лодыжек в сочетании с контрактурой 3-главой мышцы
Андрей 13 Декабрь 2016, 06:53
|
Что значит выкрутил винт на 2-3 оборота для позиционного винта? Те винт у вас работает как на компрессию?
|
[
Ответить ]
|
Re: Перелом лодыжек в сочетании с контрактурой 3-главой мышцы
Ниязов Нияз 13 Декабрь 2016, 07:24
|
Уважаемый Сергей у пациентки контрактура голеностопного сустава или все таки трицепса?! Честно говоря я не слышал про контрактуру мышц вообще. Есть понятие миофасциотенодез. Если вы это имеете ввиду?
Поводу эвинуса, как с тестом Сильвершельда? Сделайте специальные укладки для рентгенологического уточнения эвинуса стопы, тогда возможно что-то прояснится. Если окажется что эвинус динамический можно попробовать сделать Ботокс в трицепс.
|
[
Ответить ]
|
Re: Перелом лодыжек в сочетании с контрактурой 3-главой мышцы
Отправитель: Бережной Сергей 13 Декабрь 2016, 09:05
|
Так я специально статью про контрактуру этих мышц приложил. Там немного, но прочитатйте все равно. И положительный Silfverskiold test (пробу Сильверскольда (или Сильверскельда) описал в самом начале. Как раз он и указывает на отсутствие контрактуры голеностопного сустава и ахилловых сухожилий. А про ботокс... Вы в какие точки и в какой дозировке делаете обычно? Мышца большая.
|
[
Ответить ]
|
Re: Перелом лодыжек в сочетании с контрактурой 3-главой мышцы
Отправитель: Ниязов Нияз 13 Декабрь 2016, 15:51
|
Я делаю согласно методичке института им.Турнера.
Доза по Диспорту 5-15 ед/кг/мышцу. Обычно на первый раз одного флакона должно хватить. По 250 на каждую сторону если пациент не спортивного телосложения конечно.
IMG_20161213_47324.jpg
24KB (25360 bytes)
|
[
Ответить ]
|
Re: Перелом лодыжек в сочетании с контрактурой 3-главой мышцы
Отправитель: Бережной Сергей 13 Декабрь 2016, 16:37
|
Так это же методичка для детишек со спастикой, вероятно. А тут здоровая взрослая пациентка. И что значит спортивное телосложение в отношении ног? Икры штангиста или марафонца?
|
[
Ответить ]
|
Re: Перелом лодыжек в сочетании с контрактурой 3-главой мышцы
Отправитель: Ниязов Нияз 13 Декабрь 2016, 17:53
|
Тут Михаил писал про английскую погорку. Он на все сто прав.
Эвинус и контрактура это не разные понятия, а переход с динамической деформации до стойкой тугоподвижности. Эквинус не абсолютное показание к операции, а контрактура это уже показание(относительное но все-же.) Натоптоши могут быть связаны с миелодиспластической природой трицепса(при ПВДС перераспределение нагрузки стопы ), тогда конечно это показание к операции. Но вам опять же нужны специальные снимки. Если натоптоши связаны с пронацией пятки (которая бывает при ПВДС)или еще чего нибудь типа этого то возможно просто ахиллотомия не даст ожидаемого результата.
И ботокс тоже точно не поможет если это связано с врожденным недоразвитием трицепса
|
[
Ответить ]
|
Re: Перелом лодыжек в сочетании с контрактурой 3-главой мышцы
Отправитель: Ниязов Нияз 13 Декабрь 2016, 18:17
|
На боковом снимке если таран косо стоит, то значит точно трицепс не доразвит(смотрите большеберцо пяточный, тарано-пяточный, большеберцо таранный углы). Недоразвитый ахил тянет пятку это нарушает перекат стопы вот вам и натоптоши
|
[
Ответить ]
|
|
Re: Перелом лодыжек в сочетании с контрактурой 3-главой мышцы
Шведовченко Игорь Владимирович 13 Декабрь 2016, 11:28
|
Доброе утро, уважаемый Сергей Юрьевич. Как я понял из вашего первичного сообщения, речь идет о симметричном поражении (имею в виду эквинусную установку обеих стоп). Возможно травма декомпенсирует имеющееся на сегодняшний день состояние нижней конечности на стороне поражения.
А как быть с симметричностью деформации? Не опасаетесь ли вы, что попытка увеличить объем движений в голеностопном суставе с одной стороны приведет к еще большему дисбалансу? И окончательно запутает ситуацию.
|
[
Ответить ]
|
Re: Перелом лодыжек в сочетании с контрактурой 3-главой мышцы
Отправитель: Бережной Сергей 13 Декабрь 2016, 12:02
|
Уважаемый Игорь Владимирович. Деформации стоп у пациентки нет. Есть только ограничение тыльного сгибания в голеностопных суставах, которое приводит к перегрузке переднего отдела стоп при ходьбе из-за затрудненной фазы переката. И операция, о которой я думаю, призвана не столько увеличить объем движений, сколько не допустить его уменьшения, практически неизбежного при такой травме. То есть, речь идет именно о попытке сохранения баланса. А операция (в различныз модификациях) удлинения сухожилий трицепса сейчас очень популярна в хирургии стопы. Есть хирурги, которые практически полностью отказываются от операций типа остеотомии Вейля при перегрузочных метатарзалгиях в пользу удлинения трицепса. И данный случай с позиции хирургии стопы затруднений не вызывает. Необычность его в сочетании двух состояний, каждое из которых по отдельности понятно. Вместе же они мне не попадались. В любом случае обязательно выложу контрольные снимки и отчет о проведенном лечении.
|
[
Ответить ]
|
|
Re: Перелом лодыжек в сочетании с контрактурой 3-главой мышцы
Шведовченко Игорь Владимирович 13 Декабрь 2016, 12:23
|
Уважаемый Сергей Юрьевич, цитирую Вас. "До операции обращали на себя внимание выраженный дефицит тыльного сгибания другой стопы и обширные натоптыши под головками центральных плюсневых костей на обеих стопах."
А теперь представьте себе, что с одной стороны вы добились нормализации объема движений в голеностопном суставе, а со второй стороны?? Или Вы прооперируете обе стопы одновременно?
|
[
Ответить ]
|
Re: Перелом лодыжек в сочетании с контрактурой 3-главой мышцы
Отправитель: Бережной Сергей 13 Декабрь 2016, 15:57
|
Когда-то по молодости на утренней конференции, я, желая подчеркнуть, что на прооперированной за ночь нижней конечности было нормальное кровообращение, сказал что пульсация на артериях обеих стоп одинакова. На что старшие товарищи изрядно посмеялись, поскольку вторая стопа у пациента отсутствовала - давно уже была ампутирована. С тех пор так не ошибаюсь. Понятно, что до операции я не мог оценить сгибание стопы с переломом лодыжек. Поэтому и написал дальше (цитирую сам себя): "Такой же объем движений был выявлен на операционном столе на травмированной ноге после выполнения остеосинтеза". То есть, когда появилась возможность безопасно приложить к стопе достаточное усилие. Поэтому еще раз повторюсь: об операции думаю в плане того, чтобы не допустить ухудшения и перехода бессимптомной перегрузки стопы в симптоматическую стадию.
|
[
Ответить ]
|
|
Re: Перелом лодыжек в сочетании с контрактурой 3-главой мышцы
Djoldas Kuldjanov, M.D 20 Декабрь 2016, 19:34
|
Если сказать честно, то не все отзывы смог прочесть, во первых их очень много и во вторых, у нас начались пред Рождественские каникулы, и в тропиках.., между "дринками" трудно найти время… Поэтому извиняюсь, если пропустил ранее высказанные рекомендации…
Во время лечения основного заболевания очень часто обнаруживаются случайные находки. Если острые: сердечные или легочные их нельзя оставлять, надо лечить срочно, а перелом позже.. В данном случае собрать анамнез, оценить находку, установить диагноз.
Возможно, такая установка стопы не волнует, и вопрос снимется автоматически. "Натоптыши" с другими деформациями на стопе, в виде hallus valgus, распластанной стопы можно увидеть у профессиональных танцовщиц… Беседа с больной уточнит картину и если действительно волнует положение, тогда к вопросу исправления можно подойти позже, через год!
Причина хождения на кончиках пальцев (Tip Toe Walking) в большинстве нейро-мускулярная, нп: Duchenne Muscular Dystrophy, тетеред корд, spina bifida, но все описанные симптомы в основном встречается в детском возрасте. Возможно, данная патология остаточная в виде дисбаланса роста с дегенерацией мышц, которая привела к укорочению и к эквинусу стопы. Несмотря анатомически в контрактуру ахиллового сухожилия вовлекается трицепс мышца, но в литературе больше говорят о контрактуре мышц: Soleus и Gastrocnemius!
Лечение в основном это удлинение ахиллова сухожилия. В наших краях популярный по Strayer, где внимание уделяют анатомическим вариациям сурального нерва. Научная литература и статьи хороший источник, но как в любой процедуре нужен опыт специалиста!!
Выставленные на форум снимки редко оставляются без комментария, поэтому обилие мнений… Соглашусь, усилие на винт приведет к ухудшению движения в голеностопном суставе и поэтому во время установки винта проверяются движения!
Данный перелом относится к Weber B 2, косой перелом наружной лодыжки с разрывом переднего отдела синдесмоза. Правильно установленная пластина отрепонирует перелом и синдесмоз! Небольшие разрывы синдесмоза можно оставить без фиксации, но этот вопрос преференции хирурга. Чтобы не выступал на пластине позиционный винт можно провести спереди или сзади пластины, и для доказательства надо делать стресс тест, и желательно сохранить снимки!
Для фиксации перелома лодыжки подойдет любая пластина, но блокируемая имеет преимущество, потому что внизу, где лодыжка не покрыта мягкими тканями, блокируемые винты прячутся заподлицо пластины. Винты 3.5 мм, выступая, начинают раздражать, тогда как 2.7 мм винты меньше!
|
[
Ответить ]
|
Re: Перелом лодыжек в сочетании с контрактурой 3-главой мышцы
Отправитель: Бережной Сергей 21 Декабрь 2016, 00:16
|
Спокойный и рассудительный отзыв. Наверное и нам нужно почаще "дринкать". В холод тоже хорошо идет.
По поводу Strayer procedure. Все-таки это удлинение не ахиллова сухожилия, а m. gastrocnemius. В англоязычной литературе - gastrocnemius recession. Хоть убей, не могу найти этому recession адекватный перевод на русский. В хирургии стопы - нередкая операция при центральных метатарзалгиях, связанных с укорочением или контрактурой трицепса. Технически простая, хотя проблемы с икроножным нервом бывают, и именно из-за многообразия анатомических вариантов его расположения и разветвления.
|
[
Ответить ]
|
Re: Перелом лодыжек в сочетании с контрактурой 3-главой мышцы
Отправитель: maxim agalarjv 23 Декабрь 2016, 11:25
|
большое спасибо за комvvнтврий, как обычно
|
[
Ответить ]
|
|
( Ответить )
|
|