вверх
отправить
поиск
админ
главная
Предыдущее
Весь тред
|
Re: Врожденный ложный сустав костей голени
Ниязов Нияз 12 Март 2017, 18:34
|
Несколько см для трехлетнего ребенка это уже не мало. Смысл как раз в том что не делается резекция а концы костей в виде сосулек подводятся в нахлест. Кровотечения я не имел ввиду, а обычную каплю росы.
По поводу импланта я слышал только про дименирализованную кость.
Спасибо за информацию уважаемый Никита. Очень многое прояснилось. Но у меня ощущение что мы говорим о разных псевдоартрозах. Я имею ввиду истинный атрофичный псевдоартроз на почве нейфиброматоза, а не на почве фиброзной дисплазии или миелодиспластического характера. Про посттравматический или патологический на фоне несовешенного остеогенеза тоже не имею виду.
У вас как то все просто))))) и слава богу но вот по данным Grill et al при применении метода Илизарова сращение было у 75% детей при этом не сказано в статье про процент от вида ложного сустава. То есть получается у каждого 4 ребенка. В приложении фото последнего ребенка кого хочу прооперировать но пока дал отбой.
|
|
|
Ответить
|
Re: Врожденный ложный сустав костей голени
Ниязов Нияз 12 Март 2017, 20:01
|

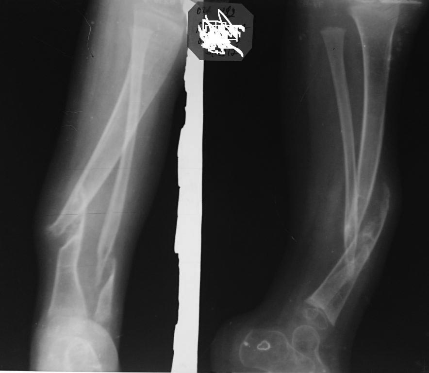
Пример будущего пациента
|
[
Ответить ]
|
Re: Врожденный ложный сустав костей голени
Никита 12 Март 2017, 21:34
|
Я участвовал в этих операциях. Без вскрытия костномозгового канала и освежения краев не будет никакого сращения.
Сами подумайте, каким образом вы компрессируете деминерализованную кость - она нарезается ножницами, как мокрый картон. Твердые аллокортикалы.
Нет, мы не говорим о разных псевдоартрозах. Вы серьезно считаете, что есть псевдоартрозы "миелодиспластического характера"?
Я не говорю, что получить сращение просто. Те вещи, которые вы считаете важными - на самом деле, простые.
|
[
Ответить ]
|
Re: Врожденный ложный сустав костей голени
Отправитель: Ниязов Нияз 12 Март 2017, 22:13
|
Уважаемый Никита. Освежить и вскрытие канала это само собой разумееющее. По поводу толщины пластинок в интернете написано, но не написано как их правильно располагать.
В любой книге по ортопедии написано что после N-го количества неудачных операций встает вопрос об ампутации голени. Уже одно это говорит что не все так просто.
По поводу миелодиспластического характера генеза я не думал так как больных маловато.
|
[
Ответить ]
|
Re: Врожденный ложный сустав костей голени
Отправитель: Никита 13 Март 2017, 23:20
|
Эээ-э..сбоку? Ведь поэтому и название такое: открытый боковой компрессионный остеосинтез, правда?
При любой нозологии после N-го количества неудачных операций может встать вопрос об ампутации.
Вот.
http://dissovet.rniito.ru/ds2/upload/files/zaharian_ea/diss.pdf
На здоровье.
|
[
Ответить ]
|
Re: Врожденный ложный сустав костей голени
Отправитель: Ниязов Нияз 14 Март 2017, 00:24
|
Никита))))))))) я видел фото операции, но одно плоскостное фото еще не о чем не говорит, с боку)))))))
За диссертацию спасибо, буду читать с удовольствием, надеюсь найду нужные вопросы,которые позже по делу спрошу у Поздеева.
|
[
Ответить ]
|
|
( Ответить )
|
|