Ответить
|
Re: Последствия травмы у подростка
Alibek 28 Апрель 2017, 08:06
|
Лучше подождать! Удлинить -то можно, но восстановить конгруэнтность- вряд ли : деформирована и таранная кость. Надеюсь 2 см это опечатка?,
|
[
Ответить ]
|
Re: Последствия травмы у подростка
Отправитель: Ниязов Нияз 29 Апрель 2017, 00:11
|
Сустав деформирован конечно, но уже 2 года, а боли пол года. По снимку напрашивается остеотомия. Сделайте скиаграмму, вырежьте клин и соберите снова. Так вы уменьшите нагрузку на голеностопной сустав. Но даст ли корригирующая надлодыжечная клиновидная остеотомия большеберцой эффекта трудно сказать? Так как основное показание это боль в голеностопном суставе,а не нарушение конгрунтности.
Тем более автор написал, что движения в коленном и голеностопном суставе в полном объеме. Значит конгрунтен более менее. Я тоже как Алибек за подождать, но и дообследовать.
Попробуйте скомпенсировать неравенство за счет обуви, если боли пройдут то значит это из за укорочения пятка болит.
|
[
Ответить ]
|
Re: Последствия травмы у подростка
Отправитель: Ниязов Нияз 29 Апрель 2017, 00:40
|
Принцип планирования как в этой статье http://surgicaltechniques.jbjs.org/content/3/1/e4.full.pdf
Но основание клина в вашем случае с другой стороны.
Сразу скажу технически это сложно. Много деталей следует учитывать. Но статей на эту тему много))))
|
[
Ответить ]
|
Re: Последствия травмы у подростка
Отправитель: Алибек 29 Апрель 2017, 13:55
|
Мне кажется, что хороший объём движений в голеностопном суставе сохраняется за счёт снижения опорной нагрузки на латеральную деформированную часть большеберцово-таранного сочленения (малоберцовая кость, как распорка). Поэтому и инконгруэнтность клинически почти не проявляется. Любая коррекция ( остеотомия, удлинение б/берцовой, резекция м/ берцовой) может привести к ухудшению ситуации.
|
[
Ответить ]
|
|
Re: Последствия травмы голеностопного сустава у подростка
Виталий 29 Апрель 2017, 20:21
|
Есть мнение, если вы считаете что проблема с разной длиной ног укоротить другую ногу на см ток не на апарате а на блокирующем стержне, малоберцовку косо перепилить или буром или долотом если нет бура.
Если проблемы останутся с голеностопом оценить перспективы надлодыжечной остеотомии
|
[
Ответить ]
|
Re: Последствия травмы голеностопного сустава у подростка
Отправитель: Данила Курышев 30 Апрель 2017, 21:51
|
Очевидно, что проблема не в разности длины ног. Суть вопроса - в разности длины костей голени у очень молодого пациента.
|
[
Ответить ]
|
|
Re: Последствия травмы голеностопного сустава у подростка
Баир 30 Апрель 2017, 00:12
|
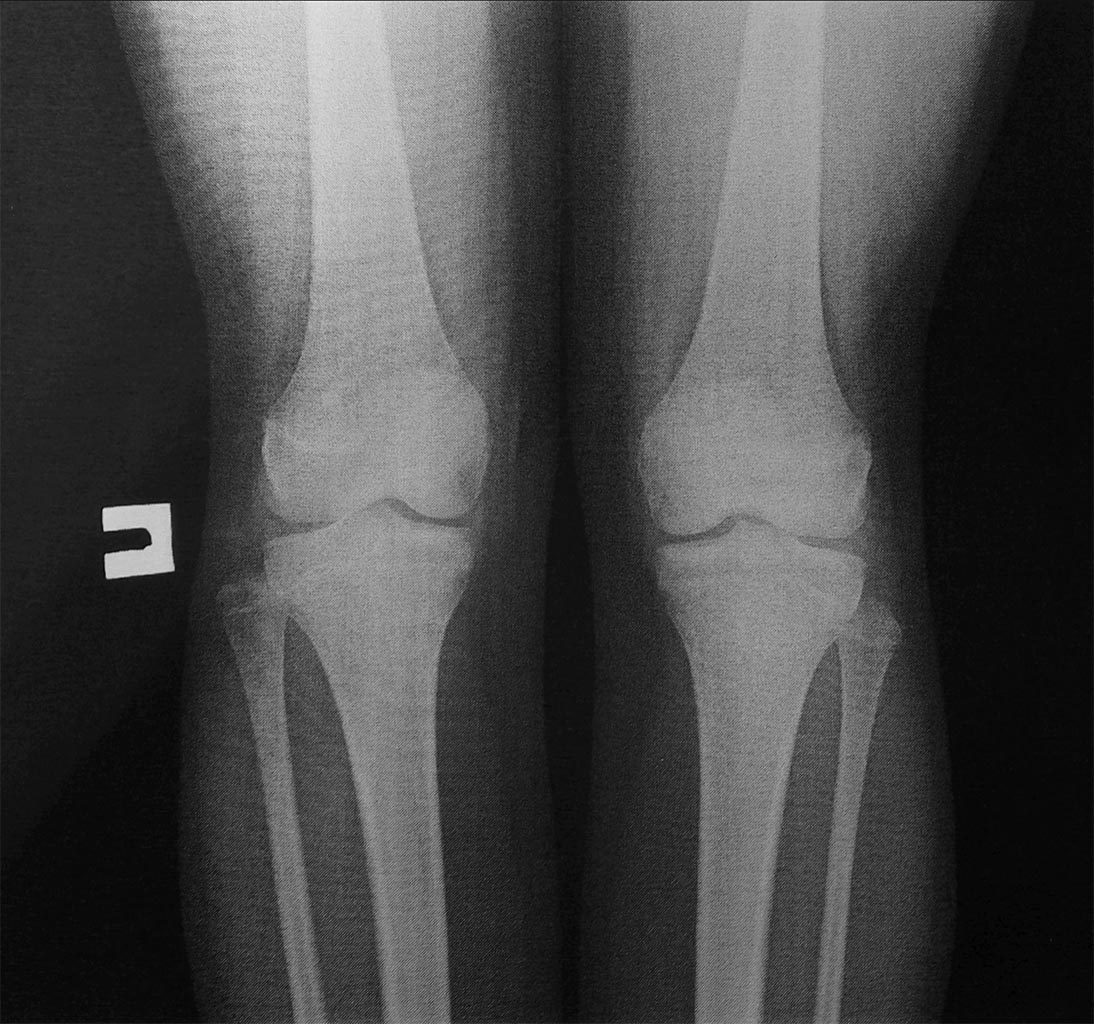
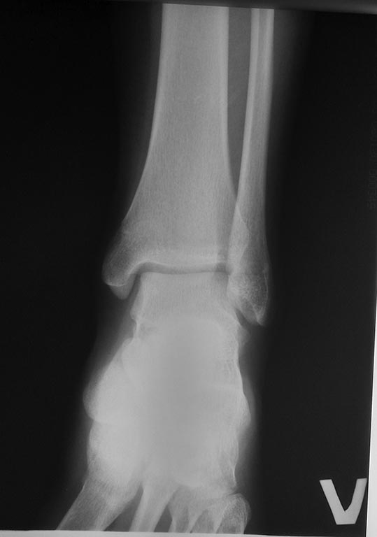
Здравствуйте. Спасибо за комментарии и Ваши мнения.
Если в настоящий момент у меня сложности с отправкой файла со снимком коленного сустава. Сайт пишет ошибку при попытках отправления прикрепленного файла. Попробую еще.
|
[
Ответить ]
|
Re: Последствия травмы голеностопного сустава у подростка
Отправитель: Баир 30 Апрель 2017, 00:22
|
После коррекции суставной площадки большеберцовой кости у нас по прежнему будет сохраняться относительное переудлинение малоберцовой кости с последующим нарастанием клиники невропатии малоберцового нерва. Девочка к нам и обратилась с болями в области колена (в области головки малоберцовой кости) и стопе.
В принципе при удлинении изолированно большеберцовой кости посредством остеотомии в н/3 можно устранить и деформацию суставной площадки.
Оставлять как есть, как то не очень, деформация голеностопного сустава по моему мнению будет только нарастать и дестабилизировать сустав.
Я как то больше склоняюсь к удлинению:).
Хотя можно и еще с полгода подождать.
|
[
Ответить ]
|
|
Re: Последствия травмы голеностопного сустава у подростка
Николай 30 Апрель 2017, 03:05
|
Дистальный малоберцовый эпифизеодез...
|
[
Ответить ]
|
Re: Последствия травмы голеностопного сустава у подростка
Баир 30 Апрель 2017, 15:50
|
Не думаю, что эпифиодез поможет. Уже произошло инволютивное закрытие зоны роста . Но идея отличная. Спасибо
|
[
Ответить ]
|
Re: Последствия травмы голеностопного сустава у подростка
Николай 30 Апрель 2017, 17:06
|
Ages of physeal closure of the major bones of the upper (A) and lower (B) extremities. y, Year.
|
[
Ответить ]
|
Re: Последствия травмы голеностопного сустава у подростка
Отправитель: Данила Курышев 30 Апрель 2017, 21:59
|
Это вряд ли поможет . Дистального физа нет. Может быть Вы имели в виду укорочение фибулы?
|
[
Ответить ]
|
Re: Последствия травмы голеностопного сустава у подростка
Отправитель: Данила Курышев 30 Апрель 2017, 23:25
|
Глубокоуважаемый Николай. Очень хороший теоретический пример, но.. Есть ли пример хорошего исхода лечения данного случая данным способом в конкретных условиях? Я прошу прощения за категоричность - этот больной мне знаком косвенно. Заранее спасибо за участие!
|
[
Ответить ]
|
|
Re: Последствия травмы голеностопного сустава у подростка
Баир 30 Апрель 2017, 20:58
|
Николай. Вы считаете, ещё не поздно выполнить эпифизиодез? Мне казалось на рентгенограммах не прослеживается полоска зоны роста.
|
[
Ответить ]
|
Re: Последствия травмы голеностопного сустава у подростка
Отправитель: Данила Курышев 30 Апрель 2017, 23:30
|
Глубокоуважаемые участники форума. Как Вы считаете? Следует ли дополнить обследование подростка КТ, МРТ, ЭНМГ? Невропатолог? или и так всё понятно в плане лечения? Только опыт? С глубоким уважением!
|
[
Ответить ]
|
Re: Последствия травмы голеностопного сустава у подростка
Отправитель: Алибек 01 Май 2017, 16:20
|
Судя по молчанию и настрою Баира на хирургическую агрессию, ЭНМГ уже сделана , невропатолог уже посмотрел и исключил неврологическую патологию?
|
[
Ответить ]
|
|
Re: Последствия травмы голеностопного сустава у подростка
Молодой специалист 30 Апрель 2017, 23:24
|
Компенсаторы, ортопедические стельки!
|
[
Ответить ]
|
Re: Последствия травмы голеностопного сустава у подростка
Отправитель: Levikovich 02 Май 2017, 00:23
|
+1...и ни слова за стопы,нет ли плоскостопия и т.д и т.п..?,которые также вызывают боли до колен, при длительной ходьбе !
|
[
Ответить ]
|
|
Re: Последствия травмы голеностопного сустава у подростка
Баир 01 Май 2017, 17:56
|
На самом деле все эти исследования ещё не выполнены. Ребёнок ушёл в амбулаторную сеть для обследования.
Остаётся вопрос укоротить малоберцовую или удлинить большеберцовый кость? Если малоберцоаую будет ли достаточно только остеотомии?
Оставлять как есть не стоит . Человек к нам пришёл за помощью. Она уже ходила по другим врачам. Ее не устраивает такая жизнь. Болят ноги в колене и стопе много ходить не может устаёт от тренировок.
Можно конечно порекомендовать сидеть не заниматься спортом. Но нужно ли?
|
[
Ответить ]
|
Re: Последствия травмы голеностопного сустава у подростка
Отправитель: Ниязов Нияз 01 Май 2017, 18:17
|
Удлинение большеберцой вообще какую цель преследует?
Малоберцовую в дистальной ее части вообще трогать не надо мое мнение. Это же вилка. Немного больше немного меньше резекция и результат непредвиденный.
|
[
Ответить ]
|
Re: Последствия травмы голеностопного сустава у подростка
Отправитель: Алибек 01 Май 2017, 21:20
|
Имеющаяся импрессия (или более раннее замыкание росткового хряща) латеральной части эпифиза б/берцовой кости привели к угловой деформации её суставной поверхности на вальгус. Смещению вслед таранной кости мешает лишь более длинная м/берцовая кость. Любое из предлагаемых укорочений м/берцовой или удлинений б/берцовой костей приведёт к вальгусной деформации голеностопного сустава, а желаемый равномерный контакт суставных поверхностей - к манифестации инконгруэнтности и артроза. Исход вполне предсказуемый! Предлагаемая Ниязом клиновидная остеотомия биомеханически вроде более обоснована, однако в конкретном случае действительно сложна , и результат непредсказуем.
|
[
Ответить ]
|
|
Re: Последствия травмы голеностопного сустава у подростка
Анатолий 02 Май 2017, 01:07
|
Желательно выполнить МРТ, а также рентгенографию голеностопного сустава с нагрузкой (в положении стоя), но предварительно предпочтение можно отдать консервативному лечению - ограничение физических нагрузок, исключение занятий спортом (бег, прыжки и т.д) использование ортопедической стельки, при необходимости коррекция длины конечности обувью. Мне кажется - Риск возможных осложнений оперативного лечения превышает возможность достижения положительного результата.
|
[
Ответить ]
|
Re: Последствия травмы голеностопного сустава у подростка
Djoldas Kuldjanov 03 Май 2017, 21:22
|
Из-за травмы ростковой зоны большеберцовая отстала от нормального развития, и эта диспропорция костей привела к тому, что малоберцовая принимает активное участие в распределении нагрузки. Дистальное сочленение лучше выдерживает нагрузку и поэтому латеральная лодыжка гипертрофируется. Продолжающаяся нагрузка выталкивает из ложа головку малоберцовой вверх, переводит в подвывих и поэтому появляется боль с характерным выступающим контуром головки!
Примерно такой феномен часто наблюдается при лечении методом Илизарова ложных суставов или переломов большеберцовой кости, где сросшаяся или неповрежденная малоберцовая действует как подпорка или выталкивает головку верх. Кстати, степень вывиха головки зависит от позиции сустава, в межберцовом сочленении встречается горизонтальное, косое и вертикальное положение. При горизонтальном трудно создать компрессию в большеберцовой, а косой или вертикальный тип позволяют компрессию, но с вывихом головки, иногда на 1.5-2.0 см. (снимки форм проксимального сочленения приложены)

Остаётся вопрос укоротить малоберцовую или удлинить большеберцовый кость? Если малоберцоаую будет ли достаточно только остеотомии? Оставлять как есть не стоит Человек к нам пришёл за помощью.
Безусловно, надо помочь, но предложенные методы очень радикальные. Больной всего 13 лет, и минимальная симптоматика, на рентгене не так плохо с голеностопным суставом! При явном вывихе головки нет уверенности, что удлинение большеберцовой окажет эффект. При лечении ложных суставов остеотомия малоберцовой с резекцией - частая процедура, но компрессия в аппарате до долженствующей анатомии что-то новое? Это специальный аппарат для малоберцовой или наш старый аппарат Илизарова?
Не знаю, кто из коллег без осложнения сможет сделать такую скрупулезную операцию. Вместео сложной реконструкции на малоберцовой лучше одновременное укорочение с фиксацией пластиной. Но без дополнительных исследований трудно что-то предпринимать. Компьютерная Томография определит соотношения головки в проксимальном сочленении. Можно остановится на минимальной операции, винт на уровне проксимального сочленения, который создаст стабильность и уменьшит боль! А со временем будут видно что делать...
|
[
Ответить ]
|
Re: Последствия травмы голеностопного сустава у подростка
Самбатов Баир 05 Май 2017, 12:30
|
Прошу прощения за длительное молчание.
Огромная благодарность коллегам от себя лично и нашего коллектива, за активное участие в обсуждение нашего пациента.
После госпитализации ее и дообследования будем дальше думать, как нам поступить.
Наиболее вероятно как предложил Глубокоуважаемый Djoldas Kuldjanov (боюсь ошибиться в правильности написании)нами будет выполнена резекция малоберцовой кости с остеосинтезом, либо еще менее инвазивно-фиксация головки малоберцовой кости.
По поводу укорочения малоберцовой кости, расчет был на обычный аппарат Илизарова, либо на стержнях. Почему аппарат? Были сомнения о возможности одномоментной тракции, компрессии малоберцовой кости. Величина укорочение могла быть определена по мере ее тракции в сравнении со здоровым суставом, положением головки малоберцовой кости клинически и рентгенологически, латеральной лодыжки. В случае если головка малоберцовой кости опуститься первой в нормальное ее положение, то фиксация ее винтом. Дальнейшая тракция до некоторого подьема лодыжки до 2,3 мм.
Была такая мысль. По всей видимости оставим ее.
Еще раз всем спасибо.
|
[
Ответить ]
|
Re: Последствия травмы голеностопного сустава у подростка
Levikovich 08 Май 2017, 01:11
|
А каков там симптом Симптом Щёткина — Блюмберга?..мож аппендикс тож обрежете ?
|
[
Ответить ]
|
( Ответить )
|